JavaScript is disabled in your browser. Please enable JavaScript to view this website.
AB325528

Anti-PLCZ1 antibody [EPR29768-46]

Be the first to review this product! Submit a review

|

(0 Publication)

Rabbit Recombinant Monoclonal PLCZ1 antibody. Suitable for IHC-P, ICC/IF, Flow Cyt (Intra), I-ELISA, IHC-Fr and reacts with Transfected cell line - Human, Human, Mouse, Recombinant full length protein - Human samples.

View Alternative Names

Phosphoinositide phospholipase C-zeta-1, Phospholipase C-zeta-1, Testis-development protein NYD-SP27, PLC-zeta-1, PLCZ1

12 Images
Flow Cytometry (Intracellular) - Anti-PLCZ1 antibody [EPR29768-46] (AB325528)
  • Flow Cyt (Intra)

Lab

Flow Cytometry (Intracellular) - Anti-PLCZ1 antibody [EPR29768-46] (AB325528)

Flow cytometric analysis of 4% paraformaldehyde fixed 90% methanol permeabilized 293T cells transfected with a human PLCZ1 expression vector containing a myc-His-tag® (Middle) 293T cells transfected with an empty expression vector containing a myc-His-tag® (Right) cells labelling PLCZ1 with ab325528 at 1/5000 dilution (0.01ug) / Middle and Right compared with a Rabbit monoclonal IgG (ab172730) / Left isotype control and an unlabelled control (cells without incubation with primary antibody and secondary antibody).

Goat Anti-Rabbit IgG (Alexa Fluor® 488, ab150081) at 1/5000 dilution was used as the secondary antibody.

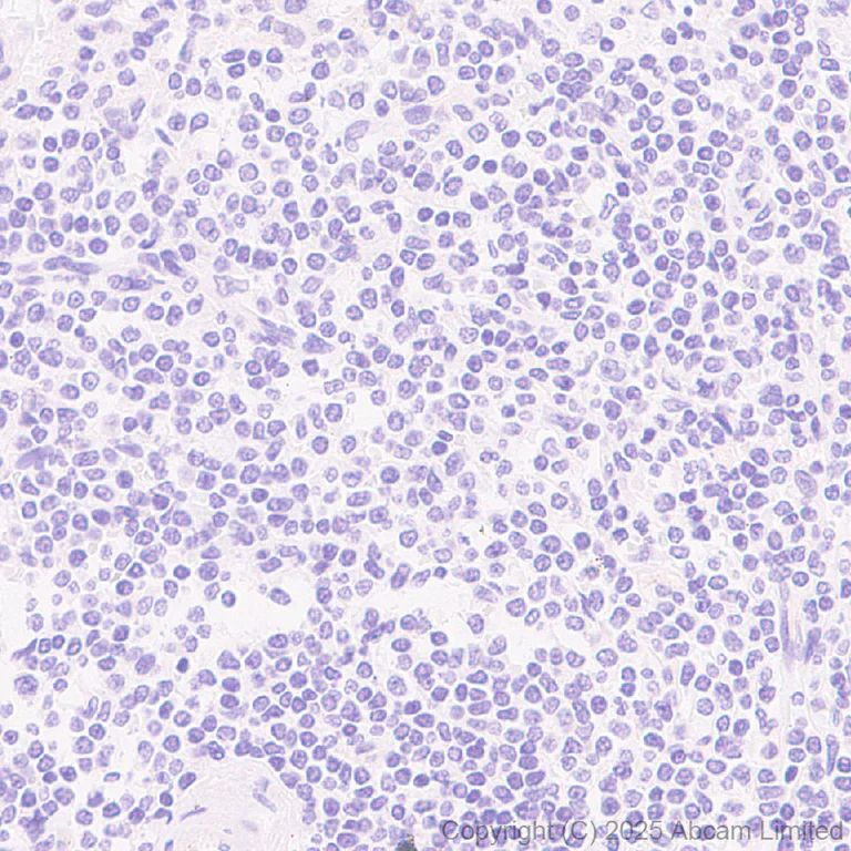
Immunohistochemistry (Formalin/PFA-fixed paraffin-embedded sections) - Anti-PLCZ1 antibody [EPR29768-46] (AB325528)
  • IHC-P

Lab

Immunohistochemistry (Formalin/PFA-fixed paraffin-embedded sections) - Anti-PLCZ1 antibody [EPR29768-46] (AB325528)

Immunohistochemical analysis of paraffin-embedded Human spleen tissue labeling PLCZ1 with ab325528 at 1/500 (1.028 μg/ml) dilution, followed by a ready to use LeicaDS9800 (Bond™ Polymer Refine Detection).

Low expression : no staining on human spleen. The primary antibody was incubated for 30 mins at room temperature.

The immunostaining was performed on a Leica Biosystems BOND® RX instrument

Counterstained with Hematoxylin.

Secondary antibody only control : Secondary antibody is a ready to use LeicaDS9800 (Bond™ Polymer Refine Detection).

Heat mediated antigen retrieval was performed with Tris-EDTA buffer (pH 9.0, Epitope Retrieval Solution2) for 20 mins

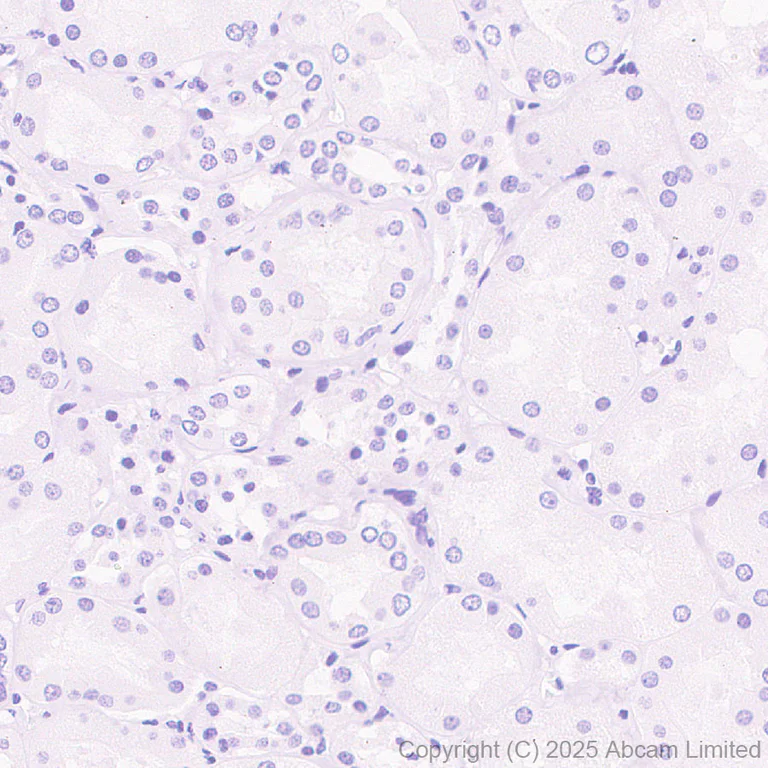
Immunohistochemistry (Formalin/PFA-fixed paraffin-embedded sections) - Anti-PLCZ1 antibody [EPR29768-46] (AB325528)
  • IHC-P

Lab

Immunohistochemistry (Formalin/PFA-fixed paraffin-embedded sections) - Anti-PLCZ1 antibody [EPR29768-46] (AB325528)

Immunohistochemical analysis of paraffin-embedded Human kidney tissue labeling PLCZ1 with ab325528 at 1/500 (1.028 μg/ml) dilution, followed by a ready to use LeicaDS9800 (Bond™ Polymer Refine Detection).

Low expression : no staining on human kidney. The primary antibody was incubated for 30 mins at room temperature.

The immunostaining was performed on a Leica Biosystems BOND® RX instrument

Counterstained with Hematoxylin.

Secondary antibody only control : Secondary antibody is a ready to use LeicaDS9800 (Bond™ Polymer Refine Detection).

Heat mediated antigen retrieval was performed with Tris-EDTA buffer (pH 9.0, Epitope Retrieval Solution2) for 20 mins

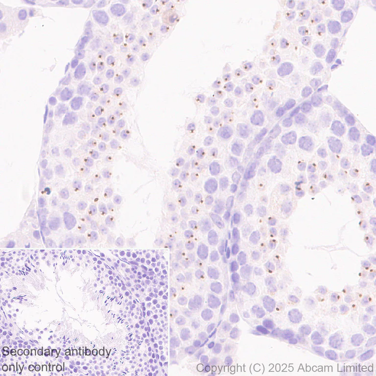
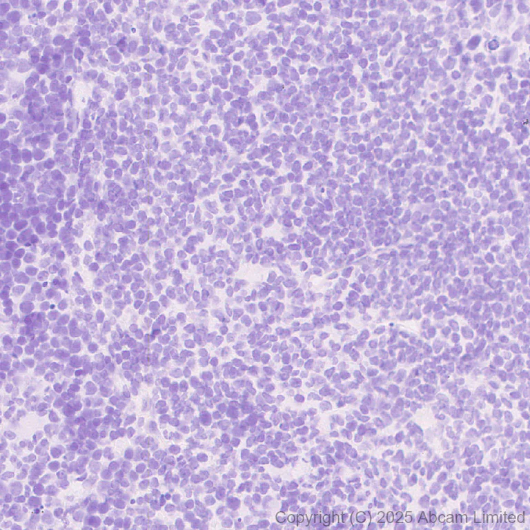
Immunohistochemistry (Formalin/PFA-fixed paraffin-embedded sections) - Anti-PLCZ1 antibody [EPR29768-46] (AB325528)
  • IHC-P

Lab

Immunohistochemistry (Formalin/PFA-fixed paraffin-embedded sections) - Anti-PLCZ1 antibody [EPR29768-46] (AB325528)

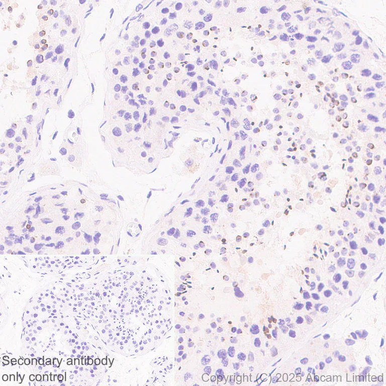
Immunohistochemical analysis of paraffin-embedded Human testis tissue labeling PLCZ1 with ab325528 at 1/500 (1.028 μg/ml) dilution, followed by a ready to use LeicaDS9800 (Bond™ Polymer Refine Detection).

Positive staining on human testis (PMID : 26721930, PMID : 32146562). The primary antibody was incubated for 30 mins at room temperature.

The immunostaining was performed on a Leica Biosystems BOND® RX instrument

Counterstained with Hematoxylin.

Secondary antibody only control : Secondary antibody is a ready to use LeicaDS9800 (Bond™ Polymer Refine Detection).

Heat mediated antigen retrieval was performed with Tris-EDTA buffer (pH 9.0, Epitope Retrieval Solution2) for 20 mins

Immunocytochemistry/ Immunofluorescence - Anti-PLCZ1 antibody [EPR29768-46] (AB325528)
  • ICC/IF

Lab

Immunocytochemistry/ Immunofluorescence - Anti-PLCZ1 antibody [EPR29768-46] (AB325528)

Immunofluorescent analysis of 4% Paraformaldehyde-fixed, 0.1% TritonX-100 permeabilized 293T (human embryonic kidney epithelial cell) cells labelling PLCZ1 with ab325528 at 1/5000 (0.103 μg/ml) dilution , followed by ab150081 Goat Anti-Rabbit IgG H&L (Alexa Fluor® 488) preadsorbed antibody at 1/1000 dilution (Green).

Confocal image showing positive staining in 293T cells (shown in green) transfected with a human PLCZ1 vector containing a myc-His-tag®. The counterstain was observed in magenta. Nuclear DNA was labelled with DAPI (shown in blue). Image was taken with a confocal microscope (Leica-Microsystems, TCS SP8).

ab223894 Anti-Myc tag mouse monoclonal antibody (Alexa Fluor® 594) was used to counterstain tubulin at 1/100 dilution (Magenta). The Nuclear counterstain was DAPI (Blue).

Secondary antibody only control : Secondary antibody is ab150081 Goat Anti-Rabbit IgG H&L (Alexa Fluor® 488) preadsorbed at 1/1000 dilution.

Immunohistochemistry (Formalin/PFA-fixed paraffin-embedded sections) - Anti-PLCZ1 antibody [EPR29768-46] (AB325528)
  • IHC-P

Lab

Immunohistochemistry (Formalin/PFA-fixed paraffin-embedded sections) - Anti-PLCZ1 antibody [EPR29768-46] (AB325528)

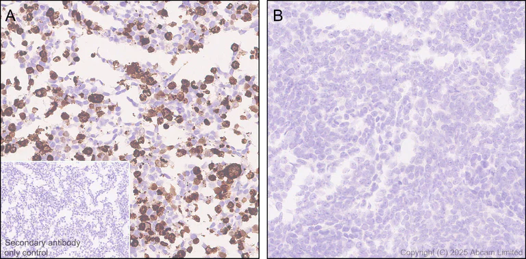
Immunohistochemical analysis of paraffin-embedded (A) : HEK-293T (human embryonic kidney epithelial cell) transfected with a human PLCZ1 expression vector containing a myc-His-tag (B) : HEK-293T transfected with empty vector containing a His tag tissue labeling PLCZ1 with ab325528 at 1/1000 (0.514 μg/ml) dilution, followed by a ready to use LeicaDS9800 (Bond™ Polymer Refine Detection).

Positive staining on (A) : HEK-293T transfected with a human PLCZ1 expression vector containing a myc-His-tag, no staining on (B) HEK-293T transfected with empty vector containing a His tag. The primary antibody was incubated for 30 mins at room temperature.

The immunostaining was performed on a Leica Biosystems BOND® RX instrument

Counterstained with Hematoxylin.

Secondary antibody only control : Secondary antibody is a ready to use LeicaDS9800 (Bond™ Polymer Refine Detection).

Heat mediated antigen retrieval was performed with Tris-EDTA buffer (pH 9.0, Epitope Retrieval Solution2) for 20 mins

Indirect ELISA - Anti-PLCZ1 antibody [EPR29768-46] (AB325528)
  • I-ELISA

Lab

Indirect ELISA - Anti-PLCZ1 antibody [EPR29768-46] (AB325528)

Indirect ELISA analysis of ab325528 at 1000-0 ng/ml. The Secondary antibody used was Alkaline Phosphatase-conjugated AffiniPure Goat Anti-Rabbit IgG (H+L) at 1 : 2500 dilution dilution.

Antigen : Human PLCZ1 protein.

Antigen concentration : 1000 ng/ml

Immunocytochemistry/ Immunofluorescence - Anti-PLCZ1 antibody [EPR29768-46] (AB325528)
  • ICC/IF

Lab

Immunocytochemistry/ Immunofluorescence - Anti-PLCZ1 antibody [EPR29768-46] (AB325528)

Immunofluorescent analysis of 80% Methanol-fixed, 0.1% TritonX-100 permeabilized mouse sperm; Mouse PBMC (mouse primary peripheral blood mononuclear cell) cells labelling PLCZ1 with ab325528 at 1/50 (10.28 μg/ml) dilution , followed by ab150081 Goat Anti-Rabbit IgG H&L (Alexa Fluor® 488) preadsorbed antibody at 1/1000 dilution (Green).

Confocal image showing nuclear staining in mouse sperms (shown in green). The counterstain was observed in magenta. Nuclear DNA was labelled with DAPI (shown in blue). Negative control : mouse PBMC. Image was taken with a confocal microscope (Leica-Microsystems, TCS SP8).

ab7291 Anti-alpha Tubulin mouse monoclonal antibody was used to counterstain tubulin at 1/1000 dilution (Magenta). The Nuclear counterstain was DAPI (Blue).

Secondary antibody only control : Secondary antibody is ab150081 Goat Anti-Rabbit IgG H&L (Alexa Fluor® 488) preadsorbed at 1/1000 dilution.

Immunohistochemistry (Formalin/PFA-fixed paraffin-embedded sections) - Anti-PLCZ1 antibody [EPR29768-46] (AB325528)
  • IHC-P

Lab

Immunohistochemistry (Formalin/PFA-fixed paraffin-embedded sections) - Anti-PLCZ1 antibody [EPR29768-46] (AB325528)

Immunohistochemical analysis of paraffin-embedded Mouse testis tissue labeling PLCZ1 with ab325528 at 1/1000 (0.514 μg/ml) dilution, followed by a ready to use LeicaDS9800 (Bond™ Polymer Refine Detection).

Positive staining on mouse testis. The primary antibody was incubated for 30 mins at room temperature.

The immunostaining was performed on a Leica Biosystems BOND® RX instrument

Counterstained with Hematoxylin.

Secondary antibody only control : Secondary antibody is a ready to use LeicaDS9800 (Bond™ Polymer Refine Detection).

Heat mediated antigen retrieval was performed with Tris-EDTA buffer (pH 9.0, Epitope Retrieval Solution2) for 20 mins

Immunohistochemistry (Frozen sections) - Anti-PLCZ1 antibody [EPR29768-46] (AB325528)
  • IHC-Fr

Lab

Immunohistochemistry (Frozen sections) - Anti-PLCZ1 antibody [EPR29768-46] (AB325528)

Immunohistochemical analysis of 4% PFA-fixed, 0.2% Triton X-100 permeabilized frozen Mouse testis (perfused fixed) tissue labeling PLCZ1 with ab325528 at 1/200 (2.57 μg/ml) dilution followed by ab150081 Goat Anti-Rabbit IgG H&L (Alexa Fluor®488) preadsorbed at 1/1000 2 μg/ml dilution (Green).

Confocal image showing positive staining on mouse testis. The nuclear counterstain was DAPI (Blue). The section was incubated with the primary antibody for 60 mins at room temperature. The section was then mounted using Fluoromount™.The immunostaining was performed on a Leica Biosystems BOND® RX instrument. Image was taken with a confocal microscope (Leica-Microsystems, TCS SP8).

Secondary antibody control : Secondary antibody is ab150081 Goat Anti-Rabbit IgG H&L (Alexa Fluor®488) preadsorbed at 1/1000 2 μg/ml dilution.

Heat mediated antigen retrieval using sodium citrate buffer (10mM citrate pH 6.0 + 0.05% Tween-20)

Immunohistochemistry (Formalin/PFA-fixed paraffin-embedded sections) - Anti-PLCZ1 antibody [EPR29768-46] (AB325528)
  • IHC-P

Lab

Immunohistochemistry (Formalin/PFA-fixed paraffin-embedded sections) - Anti-PLCZ1 antibody [EPR29768-46] (AB325528)

Immunohistochemical analysis of paraffin-embedded Mouse spleen tissue labeling PLCZ1 with ab325528 at 1/1000 (1.028 μg/ml) dilution, followed by a ready to use LeicaDS9800 (Bond™ Polymer Refine Detection).

Low expression : no staining on mouse spleen (PMID : 14697805). The primary antibody was incubated for 30 mins at room temperature.

The immunostaining was performed on a Leica Biosystems BOND® RX instrument

Counterstained with Hematoxylin.

Secondary antibody only control : Secondary antibody is a ready to use LeicaDS9800 (Bond™ Polymer Refine Detection).

Heat mediated antigen retrieval was performed with Tris-EDTA buffer (pH 9.0, Epitope Retrieval Solution2) for 20 mins

Immunohistochemistry (Frozen sections) - Anti-PLCZ1 antibody [EPR29768-46] (AB325528)
  • IHC-Fr

Lab

Immunohistochemistry (Frozen sections) - Anti-PLCZ1 antibody [EPR29768-46] (AB325528)

Immunohistochemical analysis of 4% PFA-fixed, 0.2% Triton X-100 permeabilized frozen Mouse spleen (perfused fixed) tissue labeling PLCZ1 with ab325528 at 1/200 (2.57 μg/ml) dilution followed by ab150081 Goat Anti-Rabbit IgG H&L (Alexa Fluor® 488) preadsorbed at 1/1000 2 μg/ml dilution (Green).

Low expression : confocal image showing positive staining on mouse spleen. The nuclear counterstain was DAPI (Blue). The section was incubated with the primary antibody for 60 mins at room temperature. The section was then mounted using Fluoromount™.The immunostaining was performed on a Leica Biosystems BOND® RX instrument. Image was taken with a confocal microscope (Leica-Microsystems, TCS SP8).

Secondary antibody control : Secondary antibody is ab150081 Goat Anti-Rabbit IgG H&L (Alexa Fluor® 488) preadsorbed at 1/1000 2 μg/ml dilution.

Heat mediated antigen retrieval using sodium citrate buffer (10mM citrate pH 6.0 + 0.05% Tween-20)

Key facts

Host species

Rabbit

Clonality

Monoclonal

Clone number

EPR29768-46

Isotype

IgG

Carrier free

No

Reacts with

Mouse, Human

Applications

ICC/IF, I-ELISA, IHC-P, Flow Cyt (Intra), IHC-Fr

applications

Immunogen

The exact immunogen used to generate this antibody is proprietary information.

Reactivity data

{ "title": "Reactivity Data", "filters": { "stats": ["", "Species", "Dilution Info", "Notes"], "tabs": { "all-applications": {"fullname" : "All Applications", "shortname": "All Applications"}, "IHCP" : {"fullname" : "Immunohistochemistry (Formalin/PFA-fixed paraffin-embedded sections)", "shortname":"IHC-P"}, "ICCIF" : {"fullname" : "Immunocytochemistry/ Immunofluorescence", "shortname":"ICC/IF"}, "FlowCytIntra" : {"fullname" : "Flow Cytometry (Intracellular)", "shortname":"Flow Cyt (Intra)"}, "IELISA" : {"fullname" : "Indirect ELISA", "shortname":"I-ELISA"}, "IHCFr" : {"fullname" : "Immunohistochemistry (Frozen sections)", "shortname":"IHC-Fr"}, "IP" : {"fullname" : "Immunoprecipitation", "shortname":"IP"}, "WB" : {"fullname" : "Western blot", "shortname":"WB"} }, "product-promise": { "all": "all", "testedAndGuaranteed": "tested", "guaranteed": "expected", "predicted": "predicted", "notRecommended": "not-recommended" } }, "values": { "Human": { "IHCP-species-checked": "testedAndGuaranteed", "IHCP-species-dilution-info": "1/500", "IHCP-species-notes": "<p></p> Perform heat-mediated antigen retrieval with Tris/EDTA buffer pH 9.0 before commencing with IHC staining protocol.", "ICCIF-species-checked": "guaranteed", "ICCIF-species-dilution-info": "", "ICCIF-species-notes": "", "FlowCytIntra-species-checked": "guaranteed", "FlowCytIntra-species-dilution-info": "", "FlowCytIntra-species-notes": "", "IELISA-species-checked": "guaranteed", "IELISA-species-dilution-info": "", "IELISA-species-notes": "", "IHCFr-species-checked": "guaranteed", "IHCFr-species-dilution-info": "", "IHCFr-species-notes": "", "IP-species-checked": "notRecommended", "IP-species-dilution-info": "", "IP-species-notes": "<p></p>", "WB-species-checked": "notRecommended", "WB-species-dilution-info": "", "WB-species-notes": "<p></p>" }, "Mouse": { "IHCP-species-checked": "testedAndGuaranteed", "IHCP-species-dilution-info": "1/500", "IHCP-species-notes": "<p></p> Perform heat-mediated antigen retrieval with Tris/EDTA buffer pH 9.0 before commencing with IHC staining protocol.", "ICCIF-species-checked": "testedAndGuaranteed", "ICCIF-species-dilution-info": "1/50", "ICCIF-species-notes": "<p></p>", "FlowCytIntra-species-checked": "guaranteed", "FlowCytIntra-species-dilution-info": "", "FlowCytIntra-species-notes": "", "IELISA-species-checked": "guaranteed", "IELISA-species-dilution-info": "", "IELISA-species-notes": "", "IHCFr-species-checked": "testedAndGuaranteed", "IHCFr-species-dilution-info": "1/200", "IHCFr-species-notes": "<p></p>", "IP-species-checked": "notRecommended", "IP-species-dilution-info": "", "IP-species-notes": "<p></p>", "WB-species-checked": "notRecommended", "WB-species-dilution-info": "", "WB-species-notes": "<p></p>" }, "Recombinant full length protein - Human": { "IHCP-species-checked": "notRecommended", "IHCP-species-dilution-info": "", "IHCP-species-notes": "", "ICCIF-species-checked": "notRecommended", "ICCIF-species-dilution-info": "", "ICCIF-species-notes": "", "FlowCytIntra-species-checked": "notRecommended", "FlowCytIntra-species-dilution-info": "", "FlowCytIntra-species-notes": "", "IELISA-species-checked": "testedAndGuaranteed", "IELISA-species-dilution-info": "", "IELISA-species-notes": "<p></p>", "IHCFr-species-checked": "notRecommended", "IHCFr-species-dilution-info": "", "IHCFr-species-notes": "", "IP-species-checked": "notRecommended", "IP-species-dilution-info": "", "IP-species-notes": "", "WB-species-checked": "notRecommended", "WB-species-dilution-info": "", "WB-species-notes": "" }, "Transfected cell line - Human": { "IHCP-species-checked": "testedAndGuaranteed", "IHCP-species-dilution-info": "", "IHCP-species-notes": "<p></p>", "ICCIF-species-checked": "testedAndGuaranteed", "ICCIF-species-dilution-info": "", "ICCIF-species-notes": "<p></p>", "FlowCytIntra-species-checked": "testedAndGuaranteed", "FlowCytIntra-species-dilution-info": "", "FlowCytIntra-species-notes": "<p></p>", "IELISA-species-checked": "notRecommended", "IELISA-species-dilution-info": "", "IELISA-species-notes": "", "IHCFr-species-checked": "notRecommended", "IHCFr-species-dilution-info": "", "IHCFr-species-notes": "", "IP-species-checked": "notRecommended", "IP-species-dilution-info": "", "IP-species-notes": "", "WB-species-checked": "notRecommended", "WB-species-dilution-info": "", "WB-species-notes": "" } } }

Product details

Patented technology
Our RabMAb® technology is a patented hybridoma-based technology for making rabbit monoclonal antibodies. For details on our patents, please refer to RabMAb® patents.

What are the advantages of a recombinant monoclonal antibody?
This product is a recombinant monoclonal antibody, which offers several advantages including:

  • - High batch-to-batch consistency and reproducibility
  • - Improved sensitivity and specificity
  • - Long-term security of supply
  • - Animal-free batch production

For more information, read more on recombinant antibodies.

Properties and storage information

Form
Liquid
Purification technique
Affinity purification Protein A
Storage buffer
pH: 7.2 - 7.4 Preservative: 0.01% Sodium azide Constituents: PBS, 40% Glycerol (glycerin, glycerine), 0.05% BSA
Shipped at conditions
Blue Ice
Appropriate short-term storage duration
1-2 weeks
Appropriate short-term storage conditions
+4°C
Appropriate long-term storage conditions
-20°C
Aliquoting information
Upon delivery aliquot
Storage information
Avoid freeze / thaw cycle

Product protocols

For this product, it's our understanding that no specific protocols are required. You can visit:

Target data

The production of the second messenger molecules diacylglycerol (DAG) and inositol 1,4,5-trisphosphate (IP3) is mediated by activated phosphatidylinositol-specific phospholipase C enzymes. In vitro, hydrolyzes PtdIns(4,5)P2 in a Ca(2+)-dependent manner. Triggers intracellular Ca(2+) oscillations in oocytes solely during M phase and is involved in inducing oocyte activation and initiating embryonic development up to the blastocyst stage. Is therefore a strong candidate for the egg-activating soluble sperm factor that is transferred from the sperm into the egg cytoplasm following gamete membrane fusion. May exert an inhibitory effect on phospholipase-C-coupled processes that depend on calcium ions and protein kinase C, including CFTR trafficking and function.
See full target information PLCZ1

Product promise

We are committed to supporting your work with high-quality reagents, and we're here for you every step of the way. In the unlikely event that one of our products does not perform as expected, you're protected by our Product Promise.
For full details, please see our Terms & Conditions

Please note: All products are 'FOR RESEARCH USE ONLY. NOT FOR USE IN DIAGNOSTIC OR THERAPEUTIC PROCEDURES'.

For licensing inquiries, please contact partnerships@abcam.com