JavaScript is disabled in your browser. Please enable JavaScript to view this website.
AB196666

Anti-PLGF antibody

Be the first to review this product! Submit a review

|

(12 Publications)

Rabbit Polyclonal PLGF antibody. Suitable for WB, IHC-P and reacts with Human, Mouse, Rat samples. Cited in 12 publications. Immunogen corresponding to Recombinant Fragment Protein within Human PGF.

View Alternative Names

PGFL, PLGF, PGF, Placenta growth factor, PlGF

4 Images
Immunohistochemistry (Formalin/PFA-fixed paraffin-embedded sections) - Anti-PLGF antibody (AB196666)
  • IHC-P

Supplier Data

Immunohistochemistry (Formalin/PFA-fixed paraffin-embedded sections) - Anti-PLGF antibody (AB196666)

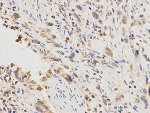
Immunohistochemical analysis of paraffin embedded Human stomach cancer tissue labeling PLGF with ab196666 at 1/200 dilution. (400x magnification).

Immunohistochemistry (Formalin/PFA-fixed paraffin-embedded sections) - Anti-PLGF antibody (AB196666)
  • IHC-P

Supplier Data

Immunohistochemistry (Formalin/PFA-fixed paraffin-embedded sections) - Anti-PLGF antibody (AB196666)

Immunohistochemical analysis of paraffin embedded Rat kidney tissue labeling PLGF with ab196666 at 1/200 dilution. (400x magnification).

Western blot - Anti-PLGF antibody (AB196666)
  • WB

Supplier Data

Western blot - Anti-PLGF antibody (AB196666)

All lanes:

Western blot - Anti-PLGF antibody (ab196666) at 1/500 dilution

Lane 1:

BT474 cell extract

Lane 2:

Mouse brain tissue extract

Predicted band size: 25 kDa

false

Immunohistochemistry (Formalin/PFA-fixed paraffin-embedded sections) - Anti-PLGF antibody (AB196666)
  • IHC-P

Supplier Data

Immunohistochemistry (Formalin/PFA-fixed paraffin-embedded sections) - Anti-PLGF antibody (AB196666)

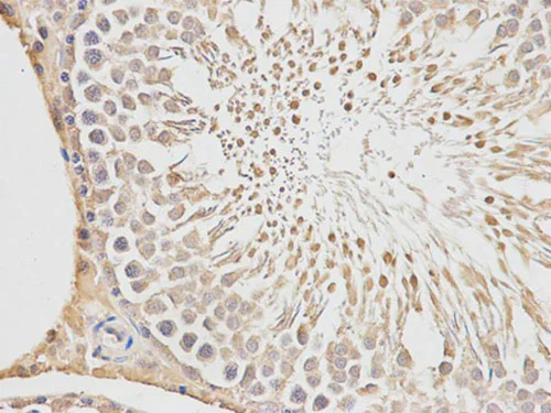
Immunohistochemical analysis of paraffin embedded Rat testis tissue labeling PLGF with ab196666 at 1/200 dilution. (400x magnification).

Key facts

Host species

Rabbit

Clonality

Polyclonal

Isotype

IgG

Carrier free

No

Reacts with

Mouse, Rat, Human

Applications

WB, IHC-P

applications

Immunogen

Recombinant Fragment Protein within Human PGF. The exact immunogen used to generate this antibody is proprietary information.

P49763

Reactivity data

{ "title": "Reactivity Data", "filters": { "stats": ["", "Species", "Dilution Info", "Notes"], "tabs": { "all-applications": {"fullname" : "All Applications", "shortname": "All Applications"}, "WB" : {"fullname" : "Western blot", "shortname":"WB"}, "IHCP" : {"fullname" : "Immunohistochemistry (Formalin/PFA-fixed paraffin-embedded sections)", "shortname":"IHC-P"} }, "product-promise": { "all": "all", "testedAndGuaranteed": "tested", "guaranteed": "expected", "predicted": "predicted", "notRecommended": "not-recommended" } }, "values": { "Human": { "WB-species-checked": "testedAndGuaranteed", "WB-species-dilution-info": "1/500 - 1/2000", "WB-species-notes": "<p></p>", "IHCP-species-checked": "testedAndGuaranteed", "IHCP-species-dilution-info": "1/50 - 1/100", "IHCP-species-notes": "<p></p>" }, "Mouse": { "WB-species-checked": "testedAndGuaranteed", "WB-species-dilution-info": "1/500 - 1/2000", "WB-species-notes": "<p></p>", "IHCP-species-checked": "guaranteed", "IHCP-species-dilution-info": "", "IHCP-species-notes": "" }, "Rat": { "WB-species-checked": "guaranteed", "WB-species-dilution-info": "", "WB-species-notes": "", "IHCP-species-checked": "testedAndGuaranteed", "IHCP-species-dilution-info": "1/50 - 1/100", "IHCP-species-notes": "<p></p>" } } }

Properties and storage information

Form
Liquid
Purification technique
Affinity purification Immunogen
Storage buffer
pH: 7.4 Preservative: 0.02% Sodium azide Constituents: 50% Glycerol (glycerin, glycerine), 49% PBS, 0.87% Sodium chloride
Shipped at conditions
Blue Ice
Appropriate short-term storage duration
1-2 weeks
Appropriate short-term storage conditions
+4°C
Appropriate long-term storage conditions
-20°C
Aliquoting information
Upon delivery aliquot
Storage information
Avoid freeze / thaw cycle

Product protocols

For this product, it's our understanding that no specific protocols are required. You can visit:

Target data

Growth factor active in angiogenesis and endothelial cell growth, stimulating their proliferation and migration. It binds to the receptor FLT1/VEGFR-1. Isoform PlGF-2 binds NRP1/neuropilin-1 and NRP2/neuropilin-2 in a heparin-dependent manner. Also promotes cell tumor growth.
See full target information PGF

Publications (12)

Recent publications for all applications. Explore the full list and refine your search

PeerJ 11:e14562 PubMed36846460

2023

Effects of swimming before and during pregnancy on placental angiogenesis and perinatal outcome in high-fat diet-fed mice.

Applications

Unspecified application

Species

Unspecified reactive species

Xiaofeng Zhu,Weiwei Chen,Haitang Wang

Cancers 14: PubMed36428669

2022

The Anti-Vascular Endothelial Growth Factor Receptor 1 (VEGFR-1) D16F7 Monoclonal Antibody Inhibits Melanoma Adhesion to Soluble VEGFR-1 and Tissue Invasion in Response to Placenta Growth Factor.

Applications

Unspecified application

Species

Unspecified reactive species

Maria Grazia Atzori,Claudia Ceci,Federica Ruffini,Manuel Scimeca,Rosella Cicconi,Maurizio Mattei,Pedro Miguel Lacal,Grazia Graziani

Nature communications 13:6292 PubMed36272973

2022

PD-L1-directed PlGF/VEGF blockade synergizes with chemotherapy by targeting CD141 cancer-associated fibroblasts in pancreatic cancer.

Applications

Unspecified application

Species

Unspecified reactive species

Duk Ki Kim,Juhee Jeong,Dong Sun Lee,Do Young Hyeon,Geon Woo Park,Suwan Jeon,Kyung Bun Lee,Jin-Young Jang,Daehee Hwang,Ho Min Kim,Keehoon Jung

International journal of molecular sciences 22: PubMed34298913

2021

Increased Placental Cell Senescence and Oxidative Stress in Women with Pre-Eclampsia and Normotensive Post-Term Pregnancies.

Applications

Unspecified application

Species

Unspecified reactive species

Paula J Scaife,Amy Simpson,Lesia O Kurlak,Louise V Briggs,David S Gardner,Fiona Broughton Pipkin,Carolyn J P Jones,Hiten D Mistry

Brain pathology (Zurich, Switzerland) 31:e12968 PubMed33960564

2021

Antenatal low-intensity pulsed ultrasound reduces neurobehavioral deficits and brain injury following dexamethasone-induced intrauterine growth restriction.

Applications

Unspecified application

Species

Unspecified reactive species

Tai-Ho Hung,Yu-Cheng Liu,Chun-Hu Wu,Chien-Cheng Chen,Hsien Chao,Feng-Yi Yang,Szu-Fu Chen

Cancer cell international 21:18 PubMed33407494

2021

PlGF knockdown attenuates hypoxia-induced stimulation of cell proliferation and glycolysis of lung adenocarcinoma through inhibiting Wnt/β-catenin pathway.

Applications

Unspecified application

Species

Unspecified reactive species

Wei Zhang,Yanwei Zhang,Wensheng Zhou,Fangfei Qian,Minjuan Hu,Ya Chen,Jun Lu,Yuqing Lou,Baohui Han

Molecular medicine (Cambridge, Mass.) 26:99 PubMed33143661

2020

Involvement of Hdac3-mediated inhibition of microRNA cluster 17-92 in bronchopulmonary dysplasia development.

Applications

Unspecified application

Species

Unspecified reactive species

Di Wang,Hui Hong,Xiao-Xia Li,Jing Li,Zhi-Qun Zhang

Open medicine (Warsaw, Poland) 15:1061-1071 PubMed33336062

2020

Circular RNA hsa_circ_0007121 regulates proliferation, migration, invasion, and epithelial-mesenchymal transition of trophoblast cells by miR-182-5p/PGF axis in preeclampsia.

Applications

Unspecified application

Species

Unspecified reactive species

Shukun Gai,Li Sun,Huiying Wang,Ping Yang

Cell reports 27:3152-3166.e7 PubMed31189102

2019

Injured Axons Instruct Schwann Cells to Build Constricting Actin Spheres to Accelerate Axonal Disintegration.

Applications

Unspecified application

Species

Unspecified reactive species

Adrien Vaquié,Alizée Sauvain,Mert Duman,Gianluigi Nocera,Boris Egger,Felix Meyenhofer,Laurent Falquet,Luca Bartesaghi,Roman Chrast,Christophe Maurice Lamy,Seokyoung Bang,Seung-Ryeol Lee,Noo Li Jeon,Sophie Ruff,Claire Jacob

Frontiers in oncology 9:323 PubMed31106153

2019

Neoadjuvant Chemotherapy Alters Neuropilin-1, PlGF, and Expression Levels and Predicts Breast Cancer Patients Response.

Applications

Unspecified application

Species

Unspecified reactive species

Noura Al-Zeheimi,Adviti Naik,Charles Saki Bakheit,Marwa Al Riyami,Adil Al Ajarrah,Suaad Al Badi,Khalid Al Baimani,Kamran Malik,Zamzam Al Habsi,Mansour S Al Moundhri,Sirin A Adham
View all publications

Product promise

We are committed to supporting your work with high-quality reagents, and we're here for you every step of the way. In the unlikely event that one of our products does not perform as expected, you're protected by our Product Promise.
For full details, please see our Terms & Conditions

Please note: All products are 'FOR RESEARCH USE ONLY. NOT FOR USE IN DIAGNOSTIC OR THERAPEUTIC PROCEDURES'.

For licensing inquiries, please contact partnerships@abcam.com