JavaScript is disabled in your browser. Please enable JavaScript to view this website.
AB217001

Anti-PLGF antibody

Be the first to review this product! Submit a review

|

(2 Publications)

Rabbit Polyclonal PLGF antibody. Suitable for IHC-P and reacts with Human samples. Cited in 2 publications. Immunogen corresponding to Synthetic Peptide within Human PGF aa 150 to C-terminus conjugated to Keyhole Limpet Haemocyanin.

View Alternative Names

PGFL, PLGF, PGF, Placenta growth factor, PlGF

2 Images
Immunohistochemistry (Formalin/PFA-fixed paraffin-embedded sections) - Anti-PLGF antibody (AB217001)
  • IHC-P

Supplier Data

Immunohistochemistry (Formalin/PFA-fixed paraffin-embedded sections) - Anti-PLGF antibody (AB217001)

Immunohistochemical analysis of formalin-fixed paraffin-embedded Human liver carcinoma tissue, labeling PLGF using ab217001 at a 1/200 dilution, followed by conjugation to the secondary antibody and DAB staining.

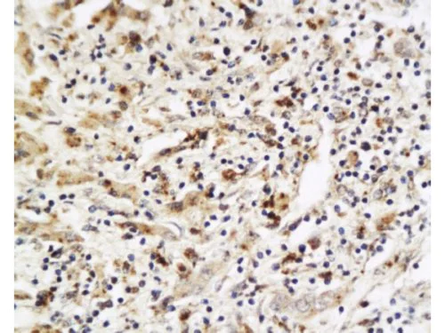
Immunohistochemistry (Formalin/PFA-fixed paraffin-embedded sections) - Anti-PLGF antibody (AB217001)
  • IHC-P

Supplier Data

Immunohistochemistry (Formalin/PFA-fixed paraffin-embedded sections) - Anti-PLGF antibody (AB217001)

Immunohistochemical analysis of formalin-fixed paraffin-embedded Human colon cancer tissue, labeling PLGF using ab217001 at a 1/400 dilution, followed by conjugation to the secondary antibody and DAB staining.

Key facts

Host species

Rabbit

Clonality

Polyclonal

Isotype

IgG

Carrier free

No

Reacts with

Human

Applications

IHC-P

applications

Immunogen

Synthetic Peptide within Human PGF aa 150 to C-terminus conjugated to Keyhole Limpet Haemocyanin. The exact immunogen used to generate this antibody is proprietary information.

P49763

Reactivity data

{ "title": "Reactivity Data", "filters": { "stats": ["", "Species", "Dilution Info", "Notes"], "tabs": { "all-applications": {"fullname" : "All Applications", "shortname": "All Applications"}, "IHCP" : {"fullname" : "Immunohistochemistry (Formalin/PFA-fixed paraffin-embedded sections)", "shortname":"IHC-P"} }, "product-promise": { "all": "all", "testedAndGuaranteed": "tested", "guaranteed": "expected", "predicted": "predicted", "notRecommended": "not-recommended" } }, "values": { "Human": { "IHCP-species-checked": "testedAndGuaranteed", "IHCP-species-dilution-info": "1/100 - 1/500", "IHCP-species-notes": "<p></p> Perform heat-mediated antigen retrieval with citrate buffer pH 6 before commencing with IHC staining protocol." } } }

Properties and storage information

Form
Liquid
Purification technique
Affinity purification Protein A
Storage buffer
pH: 7.4 Preservative: 0.02% Proclin 300 Constituents: 50% Glycerol (glycerin, glycerine), 48.98% TBS, 1X, 1% BSA
Shipped at conditions
Blue Ice
Appropriate short-term storage duration
1-2 weeks
Appropriate short-term storage conditions
+4°C
Appropriate long-term storage conditions
-20°C
Aliquoting information
Upon delivery aliquot
Storage information
Avoid freeze / thaw cycle

Product protocols

For this product, it's our understanding that no specific protocols are required. You can visit:

Target data

Growth factor active in angiogenesis and endothelial cell growth, stimulating their proliferation and migration. It binds to the receptor FLT1/VEGFR-1. Isoform PlGF-2 binds NRP1/neuropilin-1 and NRP2/neuropilin-2 in a heparin-dependent manner. Also promotes cell tumor growth.
See full target information PGF

Publications (2)

Recent publications for all applications. Explore the full list and refine your search

International journal of molecular sciences 26: PubMed40943516

2025

Changes in Placentas of Pregnant Women Infected with COVID-19.

Applications

Unspecified application

Species

Unspecified reactive species

Solomiia Kramar,Zoia Nebesna,Yuliia Yakymchuk,Alla Boychuk,Oksana Shevchuk,Mykhaylo Korda,Sandor George Vari

Food science & nutrition 13:e70688 PubMed40755501

2025

Naringenin Accelerates Diabetic Wound Healing via Regulating Macrophage M2 Polarization and Efferocytosis.

Applications

Unspecified application

Species

Unspecified reactive species

Beizhi Wang,Yumeng Huang,Youjun Ding,Jingyi Chen,Yutong Chen,Hao Zhang,Qian Tan
View all publications

Product promise

We are committed to supporting your work with high-quality reagents, and we're here for you every step of the way. In the unlikely event that one of our products does not perform as expected, you're protected by our Product Promise.
For full details, please see our Terms & Conditions

Please note: All products are 'FOR RESEARCH USE ONLY. NOT FOR USE IN DIAGNOSTIC OR THERAPEUTIC PROCEDURES'.

For licensing inquiries, please contact partnerships@abcam.com