JavaScript is disabled in your browser. Please enable JavaScript to view this website.
AB180734

Anti-PLGF1 antibody

Be the first to review this product! Submit a review

|

(4 Publications)

Rabbit Polyclonal PLGF antibody. Suitable for WB, IHC-P and reacts with Human, Mouse, Rat samples. Cited in 4 publications. Immunogen corresponding to Recombinant Fragment Protein within Human PGF aa 1-200.

View Alternative Names

PGFL, PLGF, PGF, Placenta growth factor, PlGF

4 Images
Immunohistochemistry (Formalin/PFA-fixed paraffin-embedded sections) - Anti-PLGF1 antibody (AB180734)
  • IHC-P

Unknown

Immunohistochemistry (Formalin/PFA-fixed paraffin-embedded sections) - Anti-PLGF1 antibody (AB180734)

Immunohistochemistry (Formalin/PFA-fixed paraffin-embedded sections) analysis of human stomach cancer tissue labelling PLGF1 with ab180734 at 1/200. Magnification : 400x.

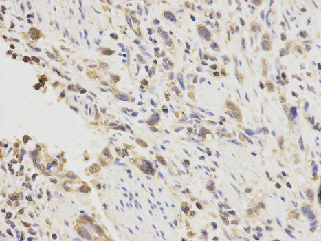
Immunohistochemistry (Formalin/PFA-fixed paraffin-embedded sections) - Anti-PLGF1 antibody (AB180734)
  • IHC-P

Unknown

Immunohistochemistry (Formalin/PFA-fixed paraffin-embedded sections) - Anti-PLGF1 antibody (AB180734)

Immunohistochemistry (Formalin/PFA-fixed paraffin-embedded sections) analysis of rat testis tissue labelling PLGF1 with ab180734 at 1/200. Magnification : 400x.

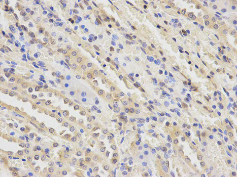
Immunohistochemistry (Formalin/PFA-fixed paraffin-embedded sections) - Anti-PLGF1 antibody (AB180734)
  • IHC-P

Unknown

Immunohistochemistry (Formalin/PFA-fixed paraffin-embedded sections) - Anti-PLGF1 antibody (AB180734)

Immunohistochemistry (Formalin/PFA-fixed paraffin-embedded sections) analysis of rat kidney tissue labelling PLGF1 with ab180734 at 1/200. Magnification : 400x.

Western blot - Anti-PLGF1 antibody (AB180734)
  • WB

Supplier Data

Western blot - Anti-PLGF1 antibody (AB180734)

All lanes:

Western blot - Anti-PLGF1 antibody (ab180734) at 1/500 dilution

Lane 1:

BT474 cell extracts

Lane 2:

Mouse brain cell extracts

Predicted band size: 25 kDa

false

Key facts

Host species

Rabbit

Clonality

Polyclonal

Isotype

IgG

Carrier free

No

Reacts with

Mouse, Rat, Human

Applications

IHC-P, WB

applications

Immunogen

Recombinant Fragment Protein within Human PGF aa 1-200. The exact immunogen used to generate this antibody is proprietary information.

P49763

Reactivity data

{ "title": "Reactivity Data", "filters": { "stats": ["", "Species", "Dilution Info", "Notes"], "tabs": { "all-applications": {"fullname" : "All Applications", "shortname": "All Applications"}, "WB" : {"fullname" : "Western blot", "shortname":"WB"}, "IHCP" : {"fullname" : "Immunohistochemistry (Formalin/PFA-fixed paraffin-embedded sections)", "shortname":"IHC-P"} }, "product-promise": { "all": "all", "testedAndGuaranteed": "tested", "guaranteed": "expected", "predicted": "predicted", "notRecommended": "not-recommended" } }, "values": { "Human": { "WB-species-checked": "testedAndGuaranteed", "WB-species-dilution-info": "1/500 - 1/2000", "WB-species-notes": "<p></p>", "IHCP-species-checked": "testedAndGuaranteed", "IHCP-species-dilution-info": "1/50 - 1/200", "IHCP-species-notes": "<p><a href='/en-us/products/primary-antibodies/rabbit-igg-polyclonal-isotype-control-chip-grade-ab171870'>ab171870</a> - Rabbit polyclonal IgG, is suitable for use as an isotype control with this antibody.</p>" }, "Mouse": { "WB-species-checked": "testedAndGuaranteed", "WB-species-dilution-info": "1/500 - 1/2000", "WB-species-notes": "<p></p>", "IHCP-species-checked": "guaranteed", "IHCP-species-dilution-info": "", "IHCP-species-notes": "" }, "Rat": { "WB-species-checked": "guaranteed", "WB-species-dilution-info": "", "WB-species-notes": "", "IHCP-species-checked": "testedAndGuaranteed", "IHCP-species-dilution-info": "1/50 - 1/200", "IHCP-species-notes": "<p><a href='/en-us/products/primary-antibodies/rabbit-igg-polyclonal-isotype-control-chip-grade-ab171870'>ab171870</a> - Rabbit polyclonal IgG, is suitable for use as an isotype control with this antibody.</p>" } } }

Properties and storage information

Form
Liquid
Purification technique
Affinity purification Immunogen
Storage buffer
pH: 7.3 Preservative: 0.05% Proclin 300 Constituents: PBS, 50% Glycerol (glycerin, glycerine)
Shipped at conditions
Blue Ice
Appropriate short-term storage duration
1-2 weeks
Appropriate short-term storage conditions
+4°C
Appropriate long-term storage conditions
-20°C
Aliquoting information
Upon delivery aliquot
Storage information
Avoid freeze / thaw cycle

Product protocols

For this product, it's our understanding that no specific protocols are required. You can visit:

Target data

Growth factor active in angiogenesis and endothelial cell growth, stimulating their proliferation and migration. It binds to the receptor FLT1/VEGFR-1. Isoform PlGF-2 binds NRP1/neuropilin-1 and NRP2/neuropilin-2 in a heparin-dependent manner. Also promotes cell tumor growth.
See full target information PGF

Publications (4)

Recent publications for all applications. Explore the full list and refine your search

Open medicine (Warsaw, Poland) 16:1090-1100 PubMed34414282

2021

Long noncoding RNA XIST knockdown relieves the injury of microglia cells after spinal cord injury by sponging miR-219-5p.

Applications

Unspecified application

Species

Unspecified reactive species

Xueren Zhong,Yongzheng Bao,Qiang Wu,Xinhua Xi,Wengang Zhu,Sanmei Chen,Junjian Liao

Frontiers in endocrinology 12:650328 PubMed34149611

2021

FKBPL and SIRT-1 Are Downregulated by Diabetes in Pregnancy Impacting on Angiogenesis and Endothelial Function.

Applications

Unspecified application

Species

Unspecified reactive species

Abdelrahim Alqudah,Kelly-Ann Eastwood,Djurdja Jerotic,Naomi Todd,Denise Hoch,Ross McNally,Danilo Obradovic,Stefan Dugalic,Alyson J Hunter,Valerie A Holmes,David R McCance,Ian S Young,Chris J Watson,Tracy Robson,Gernot Desoye,David J Grieve,Lana McClements

International journal of molecular sciences 22: PubMed33450816

2021

Epigallocatechin Gallate Ameliorates the Effects of Prenatal Alcohol Exposure in a Fetal Alcohol Spectrum Disorder-Like Mouse Model.

Applications

Unspecified application

Species

Unspecified reactive species

Laura Almeida-Toledano,Vicente Andreu-Fernández,Rosa Aras-López,Óscar García-Algar,Leopoldo Martínez,María Dolores Gómez-Roig

Hypertension (Dallas, Tex. : 1979) 76:875-883 PubMed32654553

2020

Total Versus Free Placental Growth Factor Levels in the Pathogenesis of Preeclampsia.

Applications

Unspecified application

Species

Unspecified reactive species

Edouard Lecarpentier,Zsuzsanna K Zsengellér,Saira Salahuddin,Ambart E Covarrubias,Agnes Lo,Bassam Haddad,Ravi I Thadhani,S Ananth Karumanchi
View all publications

Product promise

We are committed to supporting your work with high-quality reagents, and we're here for you every step of the way. In the unlikely event that one of our products does not perform as expected, you're protected by our Product Promise.
For full details, please see our Terms & Conditions

Please note: All products are 'FOR RESEARCH USE ONLY. NOT FOR USE IN DIAGNOSTIC OR THERAPEUTIC PROCEDURES'.

For licensing inquiries, please contact partnerships@abcam.com