JavaScript is disabled in your browser. Please enable JavaScript to view this website.
AB12157

Anti-PLK1 (phospho T210) antibody

1

(1 Review)

|

(5 Publications)

Rabbit Polyclonal PLK1 phospho T210 antibody. Suitable for WB, IHC-P and reacts with Mouse, Human samples. Cited in 5 publications.

View Alternative Names

PLK, PLK1, Serine/threonine-protein kinase PLK1, Polo-like kinase 1, Serine/threonine-protein kinase 13, PLK-1, STPK13

3 Images
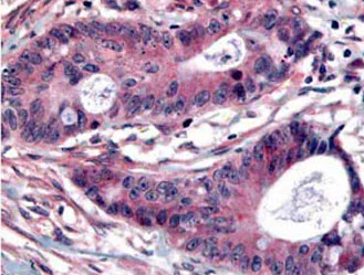
Immunohistochemistry (Formalin/PFA-fixed paraffin-embedded sections) - Anti-PLK1 (phospho T210) antibody (AB12157)
  • IHC-P

Unknown

Immunohistochemistry (Formalin/PFA-fixed paraffin-embedded sections) - Anti-PLK1 (phospho T210) antibody (AB12157)

ab12157 was used at a 1 : 200 dilution to detect Plk1 by immunohistochemistry in human colon carcinoma tumor tissue. Tissue was formalin-fixed and paraffin embedded. Detection with AEC (pink), nuclear counterstaining with Haematoxylin (blue).

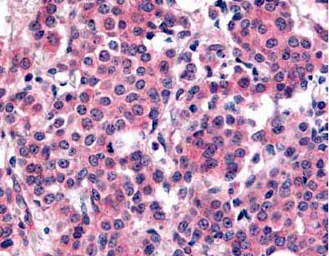
Immunohistochemistry (Formalin/PFA-fixed paraffin-embedded sections) - Anti-PLK1 (phospho T210) antibody (AB12157)
  • IHC-P

Unknown

Immunohistochemistry (Formalin/PFA-fixed paraffin-embedded sections) - Anti-PLK1 (phospho T210) antibody (AB12157)

ab12157 (1/200) detecting Plk1 (phospho T210) in formalin-fixed paraffin embedded human breast carcinoma tissue.

Western blot - Anti-PLK1 (phospho T210) antibody (AB12157)
  • WB

Unknown

Western blot - Anti-PLK1 (phospho T210) antibody (AB12157)

We believe the 55kDa band represents Plk1. However, we cannot be sure that the antibody is detecting phospho T210 Plk1 specifically.

All lanes:

Western blot - Anti-PLK1 (phospho T210) antibody (ab12157) at 1/500 dilution

All lanes:

Mouse A20 cell lysate

Predicted band size: 68 kDa

Observed band size: 23 kDa,40 kDa,42 kDa,55 kDa

false

Key facts

Host species

Rabbit

Clonality

Polyclonal

Isotype

IgG

Carrier free

No

Reacts with

Mouse, Human

Applications

WB, IHC-P

applications

Immunogen

The exact immunogen used to generate this antibody is proprietary information.

Specificity

Detects a band at 55kDa in mouse A20 cells that we believe corresponds to Plk1 (predicted molecular weight 68kDa). Also gives positive staining in immunohistochemistry in human colon carcinoma as expected. However, we have been unable to conclusively demonstrate the specificity of the antibody for phospho T210 Plk1.

Anti-Polo-like Kinase pT210 Antibody is directed against human phosphorylated Plk1 protein. This antibody is specific for phosphorylated human Plk-1 protein at the pT210 residue. BLAST analysis indicates 100 % homology of the immunizing sequence with Plk-1 homologues from human, chimpanzee, pig, chicken, mouse, rat, Xenopus, dog, mosquito, zebra fish, starfish, sea urchin and fruit fly. Cross reactivity with Plk-1 protein homologues from C.elgans and honeybee may also occur as sequence homology varies by one amino acid residue in this sequence. Reactivity with Plk-1 protein from other sources is not known. Minimal reactivity is expected with the non-phosphorylated form of the protein.

Reactivity data

{ "title": "Reactivity Data", "filters": { "stats": ["", "Species", "Dilution Info", "Notes"], "tabs": { "all-applications": {"fullname" : "All Applications", "shortname": "All Applications"}, "WB" : {"fullname" : "Western blot", "shortname":"WB"}, "IHCP" : {"fullname" : "Immunohistochemistry (Formalin/PFA-fixed paraffin-embedded sections)", "shortname":"IHC-P"} }, "product-promise": { "all": "all", "testedAndGuaranteed": "tested", "guaranteed": "expected", "predicted": "predicted", "notRecommended": "not-recommended" } }, "values": { "Human": { "WB-species-checked": "guaranteed", "WB-species-dilution-info": "", "WB-species-notes": "", "IHCP-species-checked": "testedAndGuaranteed", "IHCP-species-dilution-info": "", "IHCP-species-notes": "<p></p>" }, "Mouse": { "WB-species-checked": "testedAndGuaranteed", "WB-species-dilution-info": "1/200 - 1/2000", "WB-species-notes": "<p></p>", "IHCP-species-checked": "guaranteed", "IHCP-species-dilution-info": "", "IHCP-species-notes": "" }, "Rat": { "WB-species-checked": "predicted", "WB-species-dilution-info": "", "WB-species-notes": "", "IHCP-species-checked": "predicted", "IHCP-species-dilution-info": "", "IHCP-species-notes": "" }, "Drosophila melanogaster": { "WB-species-checked": "predicted", "WB-species-dilution-info": "", "WB-species-notes": "", "IHCP-species-checked": "predicted", "IHCP-species-dilution-info": "", "IHCP-species-notes": "" }, "Xenopus laevis": { "WB-species-checked": "predicted", "WB-species-dilution-info": "", "WB-species-notes": "", "IHCP-species-checked": "predicted", "IHCP-species-dilution-info": "", "IHCP-species-notes": "" }, "Zebrafish": { "WB-species-checked": "predicted", "WB-species-dilution-info": "", "WB-species-notes": "", "IHCP-species-checked": "predicted", "IHCP-species-dilution-info": "", "IHCP-species-notes": "" } } }

Properties and storage information

Form
Liquid
Purification technique
Affinity purification Immunogen
Purification notes
This product is directed against human phosphorylated Plk1 protein. This antibody was affinity purified.
Storage buffer
pH: 7.2 Preservative: 0.01% Sodium azide Constituents: 0.88% Sodium chloride, 0.424% Potassium phosphate solution
Shipped at conditions
Blue Ice
Appropriate short-term storage duration
1-2 weeks
Appropriate short-term storage conditions
+4°C
Appropriate long-term storage conditions
-20°C
Aliquoting information
Upon delivery aliquot
Storage information
Avoid freeze / thaw cycle

Product protocols

For this product, it's our understanding that no specific protocols are required. You can visit:

Target data

Serine/threonine-protein kinase that performs several important functions throughout M phase of the cell cycle, including the regulation of centrosome maturation and spindle assembly, the removal of cohesins from chromosome arms, the inactivation of anaphase-promoting complex/cyclosome (APC/C) inhibitors, and the regulation of mitotic exit and cytokinesis (PubMed : 11202906, PubMed : 12207013, PubMed : 12447691, PubMed : 12524548, PubMed : 12738781, PubMed : 12852856, PubMed : 12939256, PubMed : 14532005, PubMed : 14734534, PubMed : 15070733, PubMed : 15148369, PubMed : 15469984, PubMed : 16198290, PubMed : 16247472, PubMed : 16980960, PubMed : 17081991, PubMed : 17351640, PubMed : 17376779, PubMed : 17617734, PubMed : 18174154, PubMed : 18331714, PubMed : 18418051, PubMed : 18477460, PubMed : 18521620, PubMed : 18615013, PubMed : 19160488, PubMed : 19351716, PubMed : 19468300, PubMed : 19468302, PubMed : 19473992, PubMed : 19509060, PubMed : 19597481, PubMed : 23455478, PubMed : 23509069, PubMed : 28512243, PubMed : 8991084). Polo-like kinase proteins act by binding and phosphorylating proteins that are already phosphorylated on a specific motif recognized by the POLO box domains (PubMed : 11202906, PubMed : 12207013, PubMed : 12447691, PubMed : 12524548, PubMed : 12738781, PubMed : 12852856, PubMed : 12939256, PubMed : 14532005, PubMed : 14734534, PubMed : 15070733, PubMed : 15148369, PubMed : 15469984, PubMed : 16198290, PubMed : 16247472, PubMed : 16980960, PubMed : 17081991, PubMed : 17351640, PubMed : 17376779, PubMed : 17617734, PubMed : 18174154, PubMed : 18331714, PubMed : 18418051, PubMed : 18477460, PubMed : 18521620, PubMed : 18615013, PubMed : 19160488, PubMed : 19351716, PubMed : 19468300, PubMed : 19468302, PubMed : 19473992, PubMed : 19509060, PubMed : 19597481, PubMed : 23455478, PubMed : 23509069, PubMed : 28512243, PubMed : 8991084). Phosphorylates BORA, BUB1B/BUBR1, CCNB1, CDC25C, CEP55, ECT2, ERCC6L, FBXO5/EMI1, FOXM1, KIF20A/MKLP2, CENPU, NEDD1, NINL, NPM1, NUDC, PKMYT1/MYT1, KIZ, MRE11, PPP1R12A/MYPT1, POLQ, PRC1, RACGAP1/CYK4, RAD51, RHNO1, SGO1, STAG2/SA2, TEX14, TOPORS, p73/TP73, TPT1, WEE1 and HNRNPU (PubMed : 11202906, PubMed : 12207013, PubMed : 12447691, PubMed : 12524548, PubMed : 12738781, PubMed : 12852856, PubMed : 12939256, PubMed : 14532005, PubMed : 14734534, PubMed : 15070733, PubMed : 15148369, PubMed : 15469984, PubMed : 16198290, PubMed : 16247472, PubMed : 16980960, PubMed : 17081991, PubMed : 17218258, PubMed : 17351640, PubMed : 17376779, PubMed : 17617734, PubMed : 18174154, PubMed : 18331714, PubMed : 18418051, PubMed : 18477460, PubMed : 18521620, PubMed : 18615013, PubMed : 19160488, PubMed : 19351716, PubMed : 19468300, PubMed : 19468302, PubMed : 19473992, PubMed : 19509060, PubMed : 19597481, PubMed : 22325354, PubMed : 23455478, PubMed : 23509069, PubMed : 25986610, PubMed : 26811421, PubMed : 28512243, PubMed : 37440612, PubMed : 37674080, PubMed : 8991084). Plays a key role in centrosome functions and the assembly of bipolar spindles by phosphorylating KIZ, NEDD1 and NINL (PubMed : 16980960, PubMed : 19509060). NEDD1 phosphorylation promotes subsequent targeting of the gamma-tubulin ring complex (gTuRC) to the centrosome, an important step for spindle formation (PubMed : 19509060). Phosphorylation of NINL component of the centrosome leads to NINL dissociation from other centrosomal proteins (PubMed : 12852856). Involved in mitosis exit and cytokinesis by phosphorylating CEP55, ECT2, KIF20A/MKLP2, CENPU, PRC1 and RACGAP1 (PubMed : 12939256, PubMed : 16247472, PubMed : 17351640, PubMed : 19468300, PubMed : 19468302). Recruited at the central spindle by phosphorylating and docking PRC1 and KIF20A/MKLP2; creates its own docking sites on PRC1 and KIF20A/MKLP2 by mediating phosphorylation of sites subsequently recognized by the POLO box domains (PubMed : 12939256, PubMed : 17351640). Phosphorylates RACGAP1, thereby creating a docking site for the Rho GTP exchange factor ECT2 that is essential for the cleavage furrow formation (PubMed : 19468300, PubMed : 19468302). Promotes the central spindle recruitment of ECT2 (PubMed : 16247472). Plays a central role in G2/M transition of mitotic cell cycle by phosphorylating CCNB1, CDC25C, FOXM1, CENPU, PKMYT1/MYT1, PPP1R12A/MYPT1 and WEE1 (PubMed : 11202906, PubMed : 12447691, PubMed : 12524548, PubMed : 19160488). Part of a regulatory circuit that promotes the activation of CDK1 by phosphorylating the positive regulator CDC25C and inhibiting the negative regulators WEE1 and PKMYT1/MYT1 (PubMed : 11202906). Also acts by mediating phosphorylation of cyclin-B1 (CCNB1) on centrosomes in prophase (PubMed : 12447691, PubMed : 12524548). Phosphorylates FOXM1, a key mitotic transcription regulator, leading to enhance FOXM1 transcriptional activity (PubMed : 19160488). Involved in kinetochore functions and sister chromatid cohesion by phosphorylating BUB1B/BUBR1, FBXO5/EMI1 and STAG2/SA2 (PubMed : 15148369, PubMed : 15469984, PubMed : 17376779, PubMed : 18331714). PLK1 is high on non-attached kinetochores suggesting a role of PLK1 in kinetochore attachment or in spindle assembly checkpoint (SAC) regulation (PubMed : 17617734). Required for kinetochore localization of BUB1B (PubMed : 17376779). Regulates the dissociation of cohesin from chromosomes by phosphorylating cohesin subunits such as STAG2/SA2 (By similarity). Phosphorylates SGO1 : required for spindle pole localization of isoform 3 of SGO1 and plays a role in regulating its centriole cohesion function (PubMed : 18331714). Mediates phosphorylation of FBXO5/EMI1, a negative regulator of the APC/C complex during prophase, leading to FBXO5/EMI1 ubiquitination and degradation by the proteasome (PubMed : 15148369, PubMed : 15469984). Acts as a negative regulator of p53 family members : phosphorylates TOPORS, leading to inhibit the sumoylation of p53/TP53 and simultaneously enhance the ubiquitination and subsequent degradation of p53/TP53 (PubMed : 19473992). Phosphorylates the transactivation domain of the transcription factor p73/TP73, leading to inhibit p73/TP73-mediated transcriptional activation and pro-apoptotic functions. Phosphorylates BORA, and thereby promotes the degradation of BORA (PubMed : 18521620). Contributes to the regulation of AURKA function (PubMed : 18615013, PubMed : 18662541). Also required for recovery after DNA damage checkpoint and entry into mitosis (PubMed : 18615013, PubMed : 18662541). Phosphorylates MISP, leading to stabilization of cortical and astral microtubule attachments required for proper spindle positioning (PubMed : 23509069). Together with MEIKIN, acts as a regulator of kinetochore function during meiosis I : required both for mono-orientation of kinetochores on sister chromosomes and protection of centromeric cohesin from separase-mediated cleavage (By similarity). Phosphorylates CEP68 and is required for its degradation (PubMed : 25503564). Regulates nuclear envelope breakdown during prophase by phosphorylating DCTN1 resulting in its localization in the nuclear envelope (PubMed : 20679239). Phosphorylates the heat shock transcription factor HSF1, promoting HSF1 nuclear translocation upon heat shock (PubMed : 15661742). Phosphorylates HSF1 also in the early mitotic period; this phosphorylation regulates HSF1 localization to the spindle pole, the recruitment of the SCF(BTRC) ubiquitin ligase complex induicing HSF1 degradation, and hence mitotic progression (PubMed : 18794143). Regulates mitotic progression by phosphorylating RIOK2 (PubMed : 21880710). Through the phosphorylation of DZIP1 regulates the localization during mitosis of the BBSome, a ciliary protein complex involved in cilium biogenesis (PubMed : 27979967). Regulates DNA repair during mitosis by mediating phosphorylation of POLQ and RHNO1, thereby promoting POLQ recruitment to DNA damage sites (PubMed : 37440612, PubMed : 37674080). Phosphorylates ATXN10 which may play a role in the regulation of cytokinesis and may stimulate the proteasome-mediated degradation of ATXN10 (PubMed : 21857149).
See full target information PLK1 phospho T210

Publications (5)

Recent publications for all applications. Explore the full list and refine your search

Proceedings of the National Academy of Sciences of the United States of America 113:11306-11311 PubMed27655895

2016

Mutational landscape, clonal evolution patterns, and role of RAS mutations in relapsed acute lymphoblastic leukemia.

Applications

Unspecified application

Species

Unspecified reactive species

Koichi Oshima,Hossein Khiabanian,Ana C da Silva-Almeida,Gannie Tzoneva,Francesco Abate,Alberto Ambesi-Impiombato,Marta Sanchez-Martin,Zachary Carpenter,Alex Penson,Arianne Perez-Garcia,Cornelia Eckert,Concepción Nicolas,Milagros Balbin,Maria Luisa Sulis,Motohiro Kato,Katsuyoshi Koh,Maddalena Paganin,Giuseppe Basso,Julie M Gastier-Foster,Meenakshi Devidas,Mignon L Loh,Renate Kirschner-Schwabe,Teresa Palomero,Raul Rabadan,Adolfo A Ferrando

Journal of cellular biochemistry 116:1888-97 PubMed25737075

2015

Sirt1 Regulates Microtubule Dynamics Through Negative Regulation of Plk1 in Mitosis.

Applications

Unspecified application

Species

Unspecified reactive species

Jin-Ju Kim,Na-Yeon Gil,Xiang Hua Zhang,Kwang-Hoon Chun,Guowei Fang,Joon Kim,Hyeseong Cho,Chang-Young Jang,Hyuk-Jin Cha

Journal of cellular biochemistry 115:1077-88 PubMed24166892

2013

DNA-PKcs associates with PLK1 and is involved in proper chromosome segregation and cytokinesis.

Applications

Unspecified application

Species

Unspecified reactive species

Bo Huang,Zeng-Fu Shang,Bing Li,Yu Wang,Xiao-Dan Liu,Shi-Meng Zhang,Hua Guan,Wei-Qing Rang,Jian-An Hu,Ping-Kun Zhou

The Journal of biological chemistry 287:15923-34 PubMed22427657

2012

Involvement of polo-like kinase 1 (Plk1) in mitotic arrest by inhibition of mitogen-activated protein kinase-extracellular signal-regulated kinase-ribosomal S6 kinase 1 (MEK-ERK-RSK1) cascade.

Applications

WB

Species

Unspecified reactive species

Ran Li,Dian-Fu Chen,Rong Zhou,Sheng-Nan Jia,Jin-Shu Yang,James S Clegg,Wei-Jun Yang

Science signaling 3:ra2 PubMed20068230

2010

Extensive crosstalk between O-GlcNAcylation and phosphorylation regulates cytokinesis.

Applications

Unspecified application

Species

Unspecified reactive species

Zihao Wang,Namrata D Udeshi,Chad Slawson,Philip D Compton,Kaoru Sakabe,Win D Cheung,Jeffrey Shabanowitz,Donald F Hunt,Gerald W Hart
View all publications

Product promise

We are committed to supporting your work with high-quality reagents, and we're here for you every step of the way. In the unlikely event that one of our products does not perform as expected, you're protected by our Product Promise.
For full details, please see our Terms & Conditions

Please note: All products are 'FOR RESEARCH USE ONLY. NOT FOR USE IN DIAGNOSTIC OR THERAPEUTIC PROCEDURES'.

For licensing inquiries, please contact partnerships@abcam.com