JavaScript is disabled in your browser. Please enable JavaScript to view this website.
AB313765

Anti-PLOD2/LH2 antibody [EPR25160-20]

  • BOND RX™ Validated
  • 20ul selling size
  • RabMAb
  • KO Validated
  • Recombinant
  • What is this?

Be the first to review this product! Submit a review

|

(1 Publication)

Knockout Tested Rabbit Recombinant Monoclonal PLOD2/LH2 antibody. Suitable for WB, IP, IHC-P, Dot and reacts with Human, Mouse, Rat, Recombinant fragment - Human samples. Cited in 1 publication.

View Alternative Names

Lysyl hydroxylase 2, LH2, PLOD2

10 Images
Immunohistochemistry (Formalin/PFA-fixed paraffin-embedded sections) - Anti-PLOD2/LH2 antibody [EPR25160-20] (AB313765)
  • IHC-P

Supplier Data

Immunohistochemistry (Formalin/PFA-fixed paraffin-embedded sections) - Anti-PLOD2/LH2 antibody [EPR25160-20] (AB313765)

Immunohistochemical analysis of paraffin-embedded (A) Wild-type HEK293T tissue labeling PLOD2/LH2 with ab313765 at 1/2000 (0.252 µg/ml) followed by a ready to use LeicaDS9800 (Bond™ Polymer Refine Detection). Cytoplasmic staining on (A) Wild-type HEK293T cell pellet, no staining on (B) PLOD2 knockout HEK293T cell pellet. The section was incubated with ab313765 for 30 mins at room temperature. The immunostaining was performed on a Leica Biosystems BOND® RX instrument Counterstained with Hematoxylin. Secondary antibody only control : Secondary antibody is a ready to use LeicaDS9800 (Bond™ Polymer Refine Detection).Heat mediated antigen retrieval was performed with Tris-EDTA buffer (pH 9.0, Epitope Retrieval Solution2) for 20 mins

Immunohistochemistry (Formalin/PFA-fixed paraffin-embedded sections) - Anti-PLOD2/LH2 antibody [EPR25160-20] (AB313765)
  • IHC-P

Supplier Data

Immunohistochemistry (Formalin/PFA-fixed paraffin-embedded sections) - Anti-PLOD2/LH2 antibody [EPR25160-20] (AB313765)

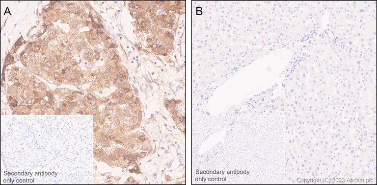
Immunohistochemical analysis of paraffin-embedded Human hepatocellular tissue labeling PLOD2/LH2 with ab313765 at 1/2000 (0.252 µg/ml) followed by a ready to use LeicaDS9800 (Bond™ Polymer Refine Detection). Cytoplasmic staining on (A) human hepatocellular carcinoma tissue and (B) very weak staining on the adjacent tissue (PMID : 33014843). The section was incubated with ab313765 for 30 mins at room temperature. The immunostaining was performed on a Leica Biosystems BOND® RX instrument Counterstained with Hematoxylin. Secondary antibody only control : Secondary antibody is a ready to use LeicaDS9800 (Bond™ Polymer Refine Detection).Heat mediated antigen retrieval was performed with Tris-EDTA buffer (pH 9.0, Epitope Retrieval Solution2) for 20 mins

Immunohistochemistry (Formalin/PFA-fixed paraffin-embedded sections) - Anti-PLOD2/LH2 antibody [EPR25160-20] (AB313765)
  • IHC-P

Supplier Data

Immunohistochemistry (Formalin/PFA-fixed paraffin-embedded sections) - Anti-PLOD2/LH2 antibody [EPR25160-20] (AB313765)

Immunohistochemical analysis of paraffin-embedded Human clear cell renal tissue labeling PLOD2/LH2 with ab313765 at 1/2000 (0.252 µg/ml) followed by a ready to use LeicaDS9800 (Bond™ Polymer Refine Detection). Cytoplasmic staining on (A) human clear cell renal cell carcinoma tissue and (B) very weak staining on the adjacent tissue (PMID : 33287763). The section was incubated with ab313765 for 30 mins at room temperature. The immunostaining was performed on a Leica Biosystems BOND® RX instrument Counterstained with Hematoxylin. Secondary antibody only control : Secondary antibody is a ready to use LeicaDS9800 (Bond™ Polymer Refine Detection).Heat mediated antigen retrieval was performed with Tris-EDTA buffer (pH 9.0, Epitope Retrieval Solution2) for 20 mins

Immunoprecipitation - Anti-PLOD2/LH2 antibody [EPR25160-20] (AB313765)
  • IP

Supplier Data

Immunoprecipitation - Anti-PLOD2/LH2 antibody [EPR25160-20] (AB313765)

PLOD2/LH2 was immunoprecipitated from 0.35 mg HeLa (human cervical adenocarcinoma epithelial cell) whole cell lysate with ab313765 at 1/30 dilution (2µg in 0.35mg lysates). Western blot was performed on the immunoprecipitate using ab313765 at 1/1000 dilution. VeriBlot for IP secondary antibody(HRP)(ab131366) was used at 1/5000 dilution. Lane 1 : HeLa (human cervical adenocarcinoma epithelial cell) whole cell lysate Lane 2 : ab313765 IP in HeLa (human cervical adenocarcinoma epithelial cell) whole cell lysate Lane 3 : Rabbit monoclonal IgG (ab172730) instead of ab313765 in HeLa whole cell lysate. Blocking and dilution buffer and concentration : 5% NFDM/TBST. Exposure time : 15 seconds

All lanes:

Immunoprecipitation - Anti-PLOD2/LH2 antibody [EPR25160-20] (ab313765) at 1/30 dilution

All lanes:

HeLa (human cervical adenocarcinoma epithelial cell) whole cell lysate

Secondary

All lanes:

Immunoprecipitation - VeriBlot for IP Detection Reagent (HRP) (<a href='/en-us/products/reagents/veriblot-for-ip-detection-reagent-hrp-ab131366'>ab131366</a>)

false

Exposure time: 15s

Immunoprecipitation - Anti-PLOD2/LH2 antibody [EPR25160-20] (AB313765)
  • IP

Supplier Data

Immunoprecipitation - Anti-PLOD2/LH2 antibody [EPR25160-20] (AB313765)

PLOD2/LH2 was immunoprecipitated from 0.35 mg NIH/3T3 (mouse embryonic fibroblast) whole cell lysate with ab313765 at 1/30 dilution (2µg in 0.35mg lysates). Western blot was performed on the immunoprecipitate using ab313765 at 1/1000 dilution. VeriBlot for IP secondary antibody(HRP)(ab131366) was used at 1/5000 dilution. Lane 1 : NIH/3T3 (mouse embryonic fibroblast) whole cell lysate Lane 2 : ab313765 IP in NIH/3T3 (mouse embryonic fibroblast) whole cell lysate Lane 3 : Rabbit monoclonal IgG (ab172730) instead of ab313765 in NIH/3T3 whole cell lysate. Blocking and dilution buffer and concentration : 5% NFDM/TBST. Exposure time : 180 seconds

All lanes:

Immunoprecipitation - Anti-PLOD2/LH2 antibody [EPR25160-20] (ab313765) at 1/30 dilution

All lanes:

NIH/3T3 (mouse embryonic fibroblast) whole cell lysate

Secondary

All lanes:

Immunoprecipitation - VeriBlot for IP Detection Reagent (HRP) (<a href='/en-us/products/reagents/veriblot-for-ip-detection-reagent-hrp-ab131366'>ab131366</a>) at 1/5000 dilution

false

Exposure time: 180s

Western blot - Anti-PLOD2/LH2 antibody [EPR25160-20] (AB313765)
  • WB

Supplier Data

Western blot - Anti-PLOD2/LH2 antibody [EPR25160-20] (AB313765)

Blocking and diluting buffer and concentration : 5% NFDM/TBST

Lysates at 20 µg per lane.

The samples were run on a Bis-Tris gel under reducing conditions. Western blot : Anti-PLOD2/LH2 antibody (ab313765) staining at 1/1000 dilution, shown in green; Mouse anti-GAPDH antibody 6C5 (ab8245) loading control staining at 1/20000 dilution, shown in red.

In Western blot, ab313765 was shown to bind specifically to PLOD2/LH2.

Target of interest was observed at 95 kDa in wild-type Hela cell lysates (lane 1) with no signal observed at this size in PLOD2 knockout cell line ab266279 (knockout cell lysate ab258591) (lane 2). To generate this image, samples were first run on an SDS-PAGE gel then transferred onto an immobilon-FL PVDF membrane. Membranes were blocked in a fluorescent western blot (TBS-based) blocking solution before incubation with primary antibodies overnight at 4°C. Blots were washed in TBS-T, incubated with secondary antibodies Goat anti-Rabbit IgG H&L 800CW and Goat anti-Mouse IgG H&L 680RD at 1/20000 dilution for 1 h at room temperature, washed again then imaged.

All lanes:

Western blot - Anti-PLOD2/LH2 antibody [EPR25160-20] (ab313765) at 1/1000 dilution

Lane 1:

Wild-type HEK293T (human embryonic kidney epithelial cell) whole cell lysate at 20 µg

Lane 2:

Western blot - Human PLOD2 (PLOD2/LH2) knockout HEK-293T cell line (<a href='/en-us/products/cell-lines/human-plod2-plod2-lh2-knockout-hek-293t-cell-line-ab266279'>ab266279</a>)

Lane 2:

Western blot - Human PLOD2 (PLOD2/LH2) knockout HEK-293T cell lysate (<a href='/en-us/products/cell-lysates/human-plod2-plod2-lh2-knockout-hek-293t-cell-lysate-ab258591'>ab258591</a>) at 20 µg

Lane 3:

HeLa (human cervical adenocarcinoma epithelial cell) whole cell lysate at 20 µg

Lane 4:

A431 (human epidermoid carcinoma epithelial cell) whole cell lysate at 20 µg

Secondary

All lanes:

Goat Anti-Rabbit IgG H&L (800CW) and Goat Anti-Mouse IgG H&L (680RD) at 1/20000 dilution

Observed band size: 95 kDa

false

Western blot - Anti-PLOD2/LH2 antibody [EPR25160-20] (AB313765)
  • WB

Supplier Data

Western blot - Anti-PLOD2/LH2 antibody [EPR25160-20] (AB313765)

Blocking and diluting buffer and concentration : 5% NFDM/TBST Exposure time : 81 seconds

All lanes:

Western blot - Anti-PLOD2/LH2 antibody [EPR25160-20] (ab313765) at 1/1000 dilution

Lane 1:

Human testis tissue lysate at 20 µg

Lane 2:

Human colon cancer tissue lysate at 20 µg

Lane 3:

Human liver cancer tissue lysate at 20 µg

Secondary

All lanes:

Goat Anti-Rabbit IgG (HRP) with minimal cross-reactivity with human IgG at 1/2000 dilution

Observed band size: 95 kDa

false

Exposure time: 81s

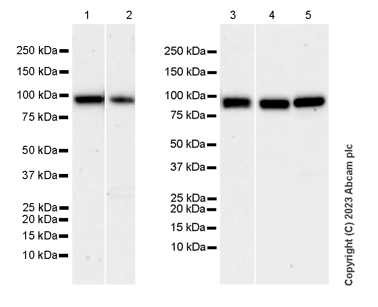
Western blot - Anti-PLOD2/LH2 antibody [EPR25160-20] (AB313765)
  • WB

Supplier Data

Western blot - Anti-PLOD2/LH2 antibody [EPR25160-20] (AB313765)

Blocking and diluting buffer and concentration : 5% NFDM/TBST Exposure time : Lane 1-3 : 158 seconds, Lane 4-5 : 48 seconds

All lanes:

Western blot - Anti-PLOD2/LH2 antibody [EPR25160-20] (ab313765) at 1/1000 dilution

Lane 1:

Caco-2 (human colorectal adenocarcinoma epithelial cell) whole cell lysate at 20 µg

Lane 2:

NIH/3T3 (mouse embryonic fibroblast) whole cell lysate at 20 µg

Lane 3:

PC-12 (rat adrenal gland pheochromocytoma cell) whole cell lysate at 20 µg

Lane 4:

Mouse testis tissue lysate at 20 µg

Lane 5:

C2C12 (mouse myoblast) whole cell lysate at 20 µg

Secondary

All lanes:

Western blot - Goat Anti-Rabbit IgG H&L (HRP) (<a href='/en-us/products/secondary-antibodies/goat-rabbit-igg-h-l-hrp-ab97051'>ab97051</a>) at 1/20000 dilution

Observed band size: 95 kDa

false

Exposure time: 158s

Western blot - Anti-PLOD2/LH2 antibody [EPR25160-20] (AB313765)
  • WB

Supplier Data

Western blot - Anti-PLOD2/LH2 antibody [EPR25160-20] (AB313765)

Blocking and diluting buffer and concentration : 5% NFDM/TBST In Western blot, Anti-GAPDH antibody [EPR16891] - Loading Control (ab181602) staining at 1/200000 dilution. Exposure time : 26 seconds

All lanes:

Western blot - Anti-PLOD2/LH2 antibody [EPR25160-20] (ab313765) at 1/1000 dilution

Lane 1:

HeLa (human cervical adenocarcinoma epithelial cell) transfected with scrambled siRNA control, whole cell lysate at 20 µg

Lane 2:

Hela transfected with siRNA specifically targeting PLOD2, whole cell lysate at 20 µg

Lane 3:

DU 145 (human prostate carcinoma epithelial cell) whole cell lysate at 20 µg

Secondary

All lanes:

Western blot - Goat Anti-Rabbit IgG H&L (HRP) (<a href='/en-us/products/secondary-antibodies/goat-rabbit-igg-h-l-hrp-ab97051'>ab97051</a>) at 1/20000 dilution

Observed band size: 95 kDa

false

Exposure time: 26s

Dot Blot - Anti-PLOD2/LH2 antibody [EPR25160-20] (AB313765)
  • Dot

Supplier Data

Dot Blot - Anti-PLOD2/LH2 antibody [EPR25160-20] (AB313765)

Dot blot analysis of PLOD2/LH2 using ab313765 at 1 : 1000 (0.503 ug/ml) followed by a Goat Anti-Rabbit IgG, (H+L), Peroxidase conjugated (ab97051) at 1 : 100,000 dilution. Exposure time : 180 seconds. Blocking and diluting buffer and concentration : 5% NFDM/TBST

Key facts

Host species

Rabbit

Clonality

Monoclonal

Clone number

EPR25160-20

Isotype

IgG

Carrier free

No

Reacts with

Human, Mouse, Rat

Applications

Dot, WB, IP, IHC-P

applications

Immunogen

The exact immunogen used to generate this antibody is proprietary information.

Specificity

Unsuitable for mouse/rat IHC.

Reactivity data

{ "title": "Reactivity Data", "filters": { "stats": ["", "Species", "Dilution Info", "Notes"], "tabs": { "all-applications": {"fullname" : "All Applications", "shortname": "All Applications"}, "WB" : {"fullname" : "Western blot", "shortname":"WB"}, "IP" : {"fullname" : "Immunoprecipitation", "shortname":"IP"}, "IHCP" : {"fullname" : "Immunohistochemistry (Formalin/PFA-fixed paraffin-embedded sections)", "shortname":"IHC-P"}, "Dot" : {"fullname" : "Dot Blot", "shortname":"Dot"}, "FlowCytIntra" : {"fullname" : "Flow Cytometry (Intracellular)", "shortname":"Flow Cyt (Intra)"}, "IHCFr" : {"fullname" : "Immunohistochemistry (Frozen sections)", "shortname":"IHC-Fr"}, "ICCIF" : {"fullname" : "Immunocytochemistry/ Immunofluorescence", "shortname":"ICC/IF"} }, "product-promise": { "all": "all", "testedAndGuaranteed": "tested", "guaranteed": "expected", "predicted": "predicted", "notRecommended": "not-recommended" } }, "values": { "Human": { "WB-species-checked": "testedAndGuaranteed", "WB-species-dilution-info": "1/1000", "WB-species-notes": "<p></p>", "IP-species-checked": "testedAndGuaranteed", "IP-species-dilution-info": "1/30", "IP-species-notes": "<p></p>", "IHCP-species-checked": "testedAndGuaranteed", "IHCP-species-dilution-info": "1/2000", "IHCP-species-notes": "<p></p> Perform heat-mediated antigen retrieval with Tris/EDTA buffer pH 9.0 before commencing with IHC staining protocol.", "Dot-species-checked": "guaranteed", "Dot-species-dilution-info": "", "Dot-species-notes": "", "FlowCytIntra-species-checked": "notRecommended", "FlowCytIntra-species-dilution-info": "", "FlowCytIntra-species-notes": "<p></p>", "IHCFr-species-checked": "notRecommended", "IHCFr-species-dilution-info": "", "IHCFr-species-notes": "", "ICCIF-species-checked": "notRecommended", "ICCIF-species-dilution-info": "", "ICCIF-species-notes": "<p></p>" }, "Mouse": { "WB-species-checked": "testedAndGuaranteed", "WB-species-dilution-info": "1/1000", "WB-species-notes": "<p></p>", "IP-species-checked": "testedAndGuaranteed", "IP-species-dilution-info": "1/30", "IP-species-notes": "<p></p>", "IHCP-species-checked": "notRecommended", "IHCP-species-dilution-info": "", "IHCP-species-notes": "<p></p> Perform heat-mediated antigen retrieval with Tris/EDTA buffer pH 9.0 before commencing with IHC staining protocol.", "Dot-species-checked": "guaranteed", "Dot-species-dilution-info": "", "Dot-species-notes": "", "FlowCytIntra-species-checked": "notRecommended", "FlowCytIntra-species-dilution-info": "", "FlowCytIntra-species-notes": "<p></p>", "IHCFr-species-checked": "notRecommended", "IHCFr-species-dilution-info": "", "IHCFr-species-notes": "<p></p>", "ICCIF-species-checked": "notRecommended", "ICCIF-species-dilution-info": "", "ICCIF-species-notes": "<p></p>" }, "Rat": { "WB-species-checked": "testedAndGuaranteed", "WB-species-dilution-info": "1/1000", "WB-species-notes": "<p></p>", "IP-species-checked": "guaranteed", "IP-species-dilution-info": "", "IP-species-notes": "", "IHCP-species-checked": "notRecommended", "IHCP-species-dilution-info": "", "IHCP-species-notes": "<p></p> Perform heat-mediated antigen retrieval with Tris/EDTA buffer pH 9.0 before commencing with IHC staining protocol.", "Dot-species-checked": "guaranteed", "Dot-species-dilution-info": "", "Dot-species-notes": "", "FlowCytIntra-species-checked": "notRecommended", "FlowCytIntra-species-dilution-info": "", "FlowCytIntra-species-notes": "", "IHCFr-species-checked": "notRecommended", "IHCFr-species-dilution-info": "", "IHCFr-species-notes": "<p></p>", "ICCIF-species-checked": "notRecommended", "ICCIF-species-dilution-info": "", "ICCIF-species-notes": "" }, "Recombinant fragment - Human": { "WB-species-checked": "notRecommended", "WB-species-dilution-info": "", "WB-species-notes": "", "IP-species-checked": "notRecommended", "IP-species-dilution-info": "", "IP-species-notes": "", "IHCP-species-checked": "notRecommended", "IHCP-species-dilution-info": "", "IHCP-species-notes": "", "Dot-species-checked": "testedAndGuaranteed", "Dot-species-dilution-info": "1/1000", "Dot-species-notes": "<p></p>", "FlowCytIntra-species-checked": "notRecommended", "FlowCytIntra-species-dilution-info": "", "FlowCytIntra-species-notes": "", "IHCFr-species-checked": "notRecommended", "IHCFr-species-dilution-info": "", "IHCFr-species-notes": "", "ICCIF-species-checked": "notRecommended", "ICCIF-species-dilution-info": "", "ICCIF-species-notes": "" } } }

Product details

Patented technology
Our RabMAb® technology is a patented hybridoma-based technology for making rabbit monoclonal antibodies. For details on our patents, please refer to RabMAb® patents.

What are the advantages of a recombinant monoclonal antibody?
This product is a recombinant monoclonal antibody, which offers several advantages including:

  • - High batch-to-batch consistency and reproducibility
  • - Improved sensitivity and specificity
  • - Long-term security of supply
  • - Animal-free batch production

For more information, read more on recombinant antibodies.

Properties and storage information

Form
Liquid
Purification technique
Affinity purification Protein A
Storage buffer
pH: 7.2 - 7.4 Preservative: 0.01% Sodium azide Constituents: PBS, 40% Glycerol (glycerin, glycerine), 0.05% BSA
Shipped at conditions
Blue Ice
Appropriate short-term storage duration
1-2 weeks
Appropriate short-term storage conditions
+4°C
Appropriate long-term storage conditions
-20°C
Aliquoting information
Upon delivery aliquot
Storage information
Avoid freeze / thaw cycle

Product protocols

For this product, it's our understanding that no specific protocols are required. You can visit:

Target data

Forms hydroxylysine residues in -Xaa-Lys-Gly- sequences in collagens. These hydroxylysines serve as sites of attachment for carbohydrate units and are essential for the stability of the intermolecular collagen cross-links.
See full target information PLOD2

Publications (1)

Recent publications for all applications. Explore the full list and refine your search

Molecular medicine reports 31: PubMed39513600

2024

PLOD2 exacerbates cervical squamous cell carcinoma by suppressing p53 by binding to YAP1.

Applications

Unspecified application

Species

Unspecified reactive species

Meilin Yin,Yanhua Weng,Tianshu Qi
View all publications

Product promise

We are committed to supporting your work with high-quality reagents, and we're here for you every step of the way. In the unlikely event that one of our products does not perform as expected, you're protected by our Product Promise.
For full details, please see our Terms & Conditions

Please note: All products are 'FOR RESEARCH USE ONLY. NOT FOR USE IN DIAGNOSTIC OR THERAPEUTIC PROCEDURES'.

For licensing inquiries, please contact partnerships@abcam.com