JavaScript is disabled in your browser. Please enable JavaScript to view this website.
AB282463

Anti-PLTP antibody [EPR24448-21] - BSA and Azide free

Be the first to review this product! Submit a review

|

(0 Publication)

Rabbit Recombinant Monoclonal PLTP antibody. Carrier free. Suitable for IP, WB, IHC-P and reacts with Human samples.

View Alternative Names

Phospholipid transfer protein, Lipid transfer protein II, PLTP

7 Images
Immunohistochemistry (Formalin/PFA-fixed paraffin-embedded sections) - Anti-PLTP antibody [EPR24448-21] - BSA and Azide free (AB282463)
  • IHC-P

Supplier Data

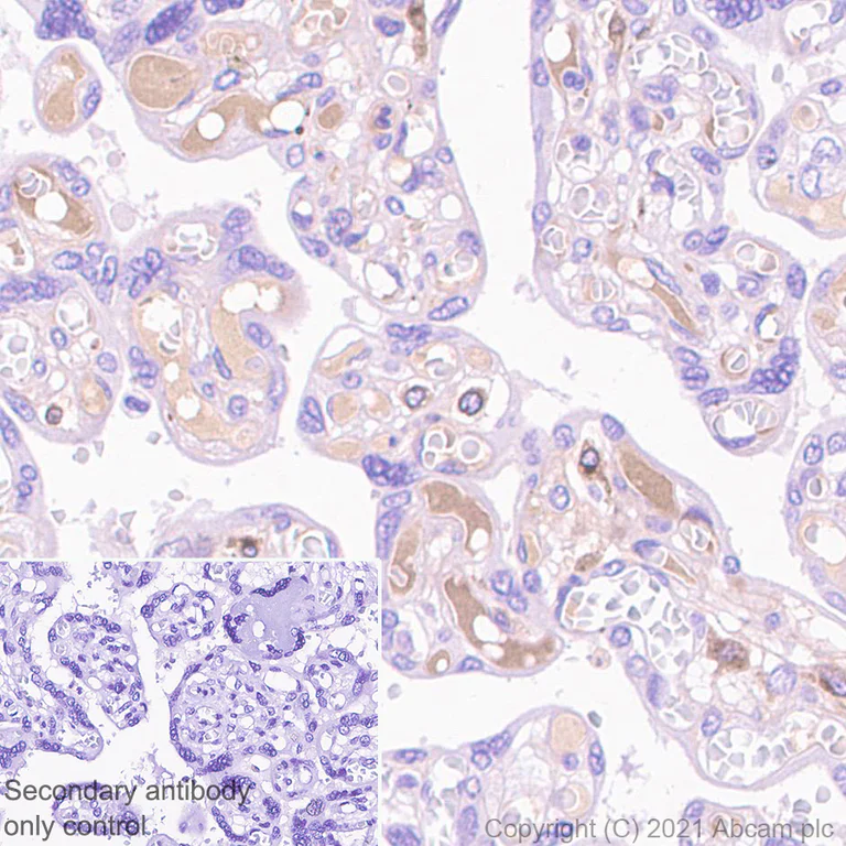
Immunohistochemistry (Formalin/PFA-fixed paraffin-embedded sections) - Anti-PLTP antibody [EPR24448-21] - BSA and Azide free (AB282463)

This data was developed using ab282456, the same antibody clone in a different buffer formulation.

Immunohistochemical analysis of paraffin-embedded human placenta tissue labelling PLTP with ab282456 at 1/500 (0.988 μg/ml) dilution followed by ready to use Rabbit specific IHC polymer detection kit HRP/DAB (ab209101). Positive staining on human placenta. (PMID : 7654777, 22090281). The section was incubated with ab282456 overnight at 4°C. The immunostaining was performed on a Leica Biosystems BOND® RX instrument. Counterstained with Hematoxylin.

Secondary antibody only control : Secondary antibody is ready to use Rabbit specific IHC polymer detection kit HRP/DAB (ab209101).

Heat mediated antigen retrieval with Tris-EDTA buffer (pH 9.0, epitope retrieval solution2) for 20 mins.

Immunohistochemistry (Formalin/PFA-fixed paraffin-embedded sections) - Anti-PLTP antibody [EPR24448-21] - BSA and Azide free (AB282463)
  • IHC-P

Supplier Data

Immunohistochemistry (Formalin/PFA-fixed paraffin-embedded sections) - Anti-PLTP antibody [EPR24448-21] - BSA and Azide free (AB282463)

This data was developed using ab282456, the same antibody clone in a different buffer formulation.

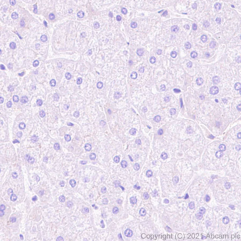
Immunohistochemical analysis of paraffin-embedded human liver tissue labelling PLTP with ab282456 at 1/500 (0.988 μg/ml) dilution followed by ready to use Rabbit specific IHC polymer detection kit HRP/DAB (ab209101).

Negative control : no staining on human liver.

The section was incubated with ab282456 overnight at 4°C. The immunostaining was performed on a Leica Biosystems BOND® RX instrument. Counterstained with Hematoxylin.

Secondary antibody only control : Secondary antibody is ready to use Rabbit specific IHC polymer detection kit HRP/DAB (ab209101).

Heat mediated antigen retrieval with Tris-EDTA buffer (pH 9.0, epitope retrieval solution2) for 20 mins.

Immunohistochemistry (Formalin/PFA-fixed paraffin-embedded sections) - Anti-PLTP antibody [EPR24448-21] - BSA and Azide free (AB282463)
  • IHC-P

Supplier Data

Immunohistochemistry (Formalin/PFA-fixed paraffin-embedded sections) - Anti-PLTP antibody [EPR24448-21] - BSA and Azide free (AB282463)

This data was developed using ab282456, the same antibody clone in a different buffer formulation.

Immunohistochemical analysis of paraffin-embedded human cerebrum tissue labelling PLTP with ab282456 at 1/500 (0.988 μg/ml) dilution followed by ready to use Rabbit specific IHC polymer detection kit HRP/DAB (ab209101). Positive staining on human cerebrum. The section was incubated with ab282456 for overnight at 4°C. The immunostaining was performed on a Leica Biosystems BOND® RX instrument. Counterstained with Hematoxylin.

Secondary antibody only control : Secondary antibody is a ready to use Rabbit specific IHC polymer detection kit HRP/DAB (ab209101).

Heat mediated antigen retrieval with Tris-EDTA buffer (pH 9.0, epitope retrieval solution2) for 20 mins.

Immunohistochemistry (Formalin/PFA-fixed paraffin-embedded sections) - Anti-PLTP antibody [EPR24448-21] - BSA and Azide free (AB282463)
  • IHC-P

Supplier Data

Immunohistochemistry (Formalin/PFA-fixed paraffin-embedded sections) - Anti-PLTP antibody [EPR24448-21] - BSA and Azide free (AB282463)

This data was developed using ab282456, the same antibody clone in a different buffer formulation.

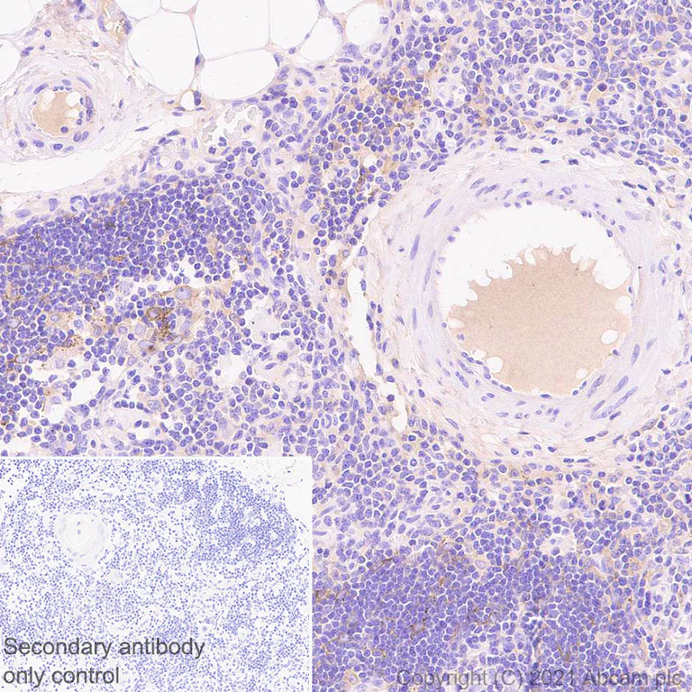
Immunohistochemical analysis of paraffin-embedded human thymus tissue labelling PLTP with ab282456 at 1/500 (0.988 μg/ml) dilution followed by ready to use Rabbit specific IHC polymer detection kit HRP/DAB (ab209101). Positive staining on human thymus (PMID : 7654777). The section was incubated with ab282456 overnight at 4°C. The immunostaining was performed on a Leica Biosystems BOND® RX instrument. Counterstained with Hematoxylin.

Secondary antibody only control : Secondary antibody is a ready to use Rabbit specific IHC polymer detection kit HRP/DAB (ab209101).

Heat mediated antigen retrieval with Tris-EDTA buffer (pH 9.0, epitope retrieval solution2) for 20 mins.

Immunoprecipitation - Anti-PLTP antibody [EPR24448-21] - BSA and Azide free (AB282463)
  • IP

Supplier Data

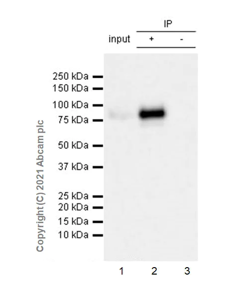
Immunoprecipitation - Anti-PLTP antibody [EPR24448-21] - BSA and Azide free (AB282463)

This data was developed using ab282456, the same antibody clone in a different buffer formulation.

PLTP was immunoprecipitated from 0.35 mg human placenta tissue lysate 10 μg with ab282456 at 1/30 dilution (2μg in 0.35mg lysates). Western blot was performed on the immunoprecipitate using ab282456 at 1/1000 dilution. VeriBlot for IP secondary antibody(HRP)(ab131366) was used at 1/5000 dilution.

Lane 1 : Human placenta tissue lysate 10 μg

Lane 2 : ab282456 IP in human placenta tissue lysate

Lane 3 : Rabbit monoclonal IgG (ab172730) instead of ab282456 in Human placenta tissue lysate

Blocking and dilution buffer and concentration : 5% NFDM/TBST.

Exposure time : 10 seconds.

All lanes:

Immunoprecipitation - Anti-PLTP antibody [EPR24448-21] (<a href='/en-us/products/primary-antibodies/pltp-antibody-epr24448-21-ab282456'>ab282456</a>)

Predicted band size: 55 kDa

Observed band size: 80 kDa

false

Western blot - Anti-PLTP antibody [EPR24448-21] - BSA and Azide free (AB282463)
  • WB

Lab

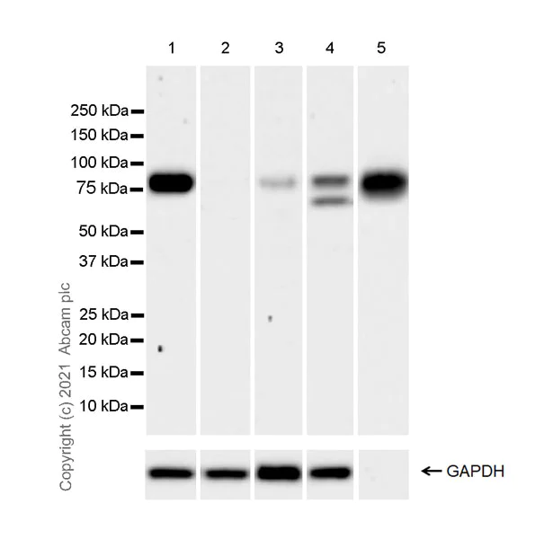
Western blot - Anti-PLTP antibody [EPR24448-21] - BSA and Azide free (AB282463)

This data was developed using ab282456, the same antibody clone in a different buffer formulation.

Blocking and diluting buffer and concentration : 5% NFDM/TBST

The expression profile/molecular weight observed is consistent with what has been described in the literature (PMID : 15342679, 19321130, 11013307, 7654777).

High expression : plasma (PMID : 15342679, 11013307).

Low expression : liver and skeletal muscle (PMID : 7654777).

Bands of 80KDa and 70KDa respectively represent the extracellular form and intracellular form.

Exposure time : Lanes 1-4 : 59 seconds; Lane 5 : 10 seconds.

All lanes:

Western blot - Anti-PLTP antibody [EPR24448-21] (<a href='/en-us/products/primary-antibodies/pltp-antibody-epr24448-21-ab282456'>ab282456</a>) at 1/1000 dilution

Lane 1:

Human placenta tissue lysate at 20 µg

Lane 2:

Human liver tissue lysate at 20 µg

Lane 3:

Human skeletal muscle tissue lysate at 20 µg

Lane 4:

JAR (human placenta choriocarcinoma epithelial cell) whole cell lysate at 20 µg

Lane 5:

Human plasma at 5 µL

Secondary

All lanes:

Goat Anti-Rabbit IgG (HRP) with minimal cross-reactivity with human IgG at 1/2000 dilution

Predicted band size: 55 kDa

Observed band size: 70-80 kDa

false

Western blot - Anti-PLTP antibody [EPR24448-21] - BSA and Azide free (AB282463)
  • WB

Lab

Western blot - Anti-PLTP antibody [EPR24448-21] - BSA and Azide free (AB282463)

This data was developed using ab282456, the same antibody clone in a different buffer formulation.

Blocking and diluting buffer and concentration :

26 seconds

Exposure time :

All lanes:

Western blot - Anti-PLTP antibody [EPR24448-21] (<a href='/en-us/products/primary-antibodies/pltp-antibody-epr24448-21-ab282456'>ab282456</a>) at 1/1000 dilution

All lanes:

His-tagged human PLTP recombinant protein (aa 18-493) at 0.05 µg

Secondary

All lanes:

Western blot - Goat Anti-Rabbit IgG H&L (HRP) (<a href='/en-us/products/secondary-antibodies/goat-rabbit-igg-h-l-hrp-ab97051'>ab97051</a>) at 1/100000 dilution

Predicted band size: 55 kDa

false

Key facts

Host species

Rabbit

Clonality

Monoclonal

Clone number

EPR24448-21

Isotype

IgG

Carrier free

Yes

Reacts with

Human

Applications

IHC-P, IP, WB

applications

Immunogen

The exact immunogen used to generate this antibody is proprietary information.

Reactivity data

{ "title": "Reactivity Data", "filters": { "stats": ["", "Species", "Dilution Info", "Notes"], "tabs": { "all-applications": {"fullname" : "All Applications", "shortname": "All Applications"}, "ICCIF" : {"fullname" : "Immunocytochemistry/ Immunofluorescence", "shortname":"ICC/IF"}, "IP" : {"fullname" : "Immunoprecipitation", "shortname":"IP"}, "WB" : {"fullname" : "Western blot", "shortname":"WB"}, "IHCP" : {"fullname" : "Immunohistochemistry (Formalin/PFA-fixed paraffin-embedded sections)", "shortname":"IHC-P"}, "FlowCytIntra" : {"fullname" : "Flow Cytometry (Intracellular)", "shortname":"Flow Cyt (Intra)"} }, "product-promise": { "all": "all", "testedAndGuaranteed": "tested", "guaranteed": "expected", "predicted": "predicted", "notRecommended": "not-recommended" } }, "values": { "Human": { "ICCIF-species-checked": "notRecommended", "ICCIF-species-dilution-info": "", "ICCIF-species-notes": "<p></p>", "IP-species-checked": "testedAndGuaranteed", "IP-species-dilution-info": "", "IP-species-notes": "<p></p>", "WB-species-checked": "testedAndGuaranteed", "WB-species-dilution-info": "", "WB-species-notes": "<p></p>", "IHCP-species-checked": "testedAndGuaranteed", "IHCP-species-dilution-info": "", "IHCP-species-notes": "<p></p>", "FlowCytIntra-species-checked": "notRecommended", "FlowCytIntra-species-dilution-info": "", "FlowCytIntra-species-notes": "<p></p>" }, "Mouse": { "ICCIF-species-checked": "notRecommended", "ICCIF-species-dilution-info": "", "ICCIF-species-notes": "", "IP-species-checked": "notRecommended", "IP-species-dilution-info": "", "IP-species-notes": "", "WB-species-checked": "notRecommended", "WB-species-dilution-info": "", "WB-species-notes": "<p></p>", "IHCP-species-checked": "notRecommended", "IHCP-species-dilution-info": "", "IHCP-species-notes": "<p></p>", "FlowCytIntra-species-checked": "notRecommended", "FlowCytIntra-species-dilution-info": "", "FlowCytIntra-species-notes": "" }, "Rat": { "ICCIF-species-checked": "notRecommended", "ICCIF-species-dilution-info": "", "ICCIF-species-notes": "", "IP-species-checked": "notRecommended", "IP-species-dilution-info": "", "IP-species-notes": "", "WB-species-checked": "notRecommended", "WB-species-dilution-info": "", "WB-species-notes": "<p></p>", "IHCP-species-checked": "notRecommended", "IHCP-species-dilution-info": "", "IHCP-species-notes": "<p></p>", "FlowCytIntra-species-checked": "notRecommended", "FlowCytIntra-species-dilution-info": "", "FlowCytIntra-species-notes": "" } } }

Product details

ab282463 is the carrier-free version of ab282456.

Patented technology
Our RabMAb® technology is a patented hybridoma-based technology for making rabbit monoclonal antibodies. For details on our patents, please refer to RabMAb® patents.

What are the advantages of a recombinant monoclonal antibody?
This product is a recombinant monoclonal antibody, which offers several advantages including:

  • - High batch-to-batch consistency and reproducibility
  • - Improved sensitivity and specificity
  • - Long-term security of supply
  • - Animal-free batch production

For more information, read more on recombinant antibodies.

Conjugation ready
Our carrier-free antibodies are typically supplied in a PBS-only formulation, purified and free of BSA, sodium azide and glycerol. This conjugation-ready format is designed for use with fluorochromes, metal isotopes, oligonucleotides, and enzymes, which makes them ideal for antibody labelling, functional and cell-based assays, flow-based assays (e.g. mass cytometry) and Multiplex Imaging applications.

Use our conjugation kits for antibody conjugates that are ready-to-use in as little as 20 minutes with 1 minute hands-on-time and 100% antibody recovery: available for fluorescent dyes, HRP, biotin and gold.

Compatibility
This product is compatible with the Maxpar® Antibody Labeling Kit from Fluidigm, without the need for antibody preparation. Maxpar® is a trademark of Fluidigm Canada Inc.

Properties and storage information

Form
Liquid
Purification technique
Affinity purification Protein A
Storage buffer
pH: 7.2 - 7.4 Constituents: PBS
Shipped at conditions
Blue Ice
Appropriate short-term storage conditions
+4°C
Appropriate long-term storage conditions
+4°C

Supplementary information

This supplementary information is collated from multiple sources and compiled automatically.

PLTP also known as Phospholipid Transfer Protein is an important component in human lipid metabolism. This protein functions by transferring phospholipids between different types of lipoproteins in plasma. PLTP possesses a molecular mass of about 56 kDa. Its expression occurs mainly in the liver and adipose tissue with additional presence in the brain and lungs. These locales of expression facilitate its key roles in lipid processing and lipoprotein metabolism.
Biological function summary

PLTP plays a significant role in remodeling high-density lipoproteins (HDL) and regulating lipoprotein particles. PLTP exists as a part of a larger complex involved in these processes interacting closely with other proteins in the lipoprotein maturation and transformation. This activity of PLTP significantly affects the levels and sizes of HDL particles in circulation thereby influencing cholesterol homeostasis within the body.

Pathways

PLTP acts within the reverse cholesterol transport pathway important for the removal of excess cholesterol from peripheral tissues. The protein works alongside Apolipoprotein A-I (ApoA-I) and Lecithin-Cholesterol Acyltransferase (LCAT) to promote cholesterol efflux and HDL maturation. Another key pathway involving PLTP is the lipid metabolism pathway where it influences lipid levels and impacts the function of other proteins such as Apolipoprotein E (ApoE).

PLTP has associations with atherosclerosis and metabolic syndrome. Variations in PLTP activity or expression can lead to altered HDL levels increasing the risk for heart disease and related cardiovascular conditions. In atherosclerosis PLTP's relationship with ApoA-I becomes especially relevant as this interaction influences lipid transport dynamics and plaque formation. Additionally in metabolic syndrome abnormal PLTP function may contribute to dyslipidemia a common factor in metabolic disorders.

Product protocols

For this product, it's our understanding that no specific protocols are required. You can visit:

Target data

Mediates the transfer of phospholipids and free cholesterol from triglyceride-rich lipoproteins (low density lipoproteins or LDL and very low density lipoproteins or VLDL) into high-density lipoproteins (HDL) as well as the exchange of phospholipids between triglyceride-rich lipoproteins themselves (PubMed : 11013307, PubMed : 19321130, PubMed : 21515415, PubMed : 29883800, PubMed : 7654777, PubMed : 9132017). Facilitates the transfer of a spectrum of different lipid molecules, including diacylglycerol, phosphatidic acid, sphingomyelin, phosphatidylcholine, phosphatidylinositol, phosphatidylglycerol, cerebroside and phosphatidyl ethanolamine (PubMed : 9132017). Plays an important role in HDL remodeling which involves modulating the size and composition of HDL (PubMed : 29883800). Also plays a key role in the uptake of cholesterol from peripheral cells and tissues that is subsequently transported to the liver for degradation and excretion (PubMed : 21736953). Two distinct forms of PLTP exist in plasma : an active form that can transfer phosphatidylcholine from phospholipid vesicles to HDL, and an inactive form that lacks this capability (PubMed : 11013307).
See full target information PLTP

Product promise

We are committed to supporting your work with high-quality reagents, and we're here for you every step of the way. In the unlikely event that one of our products does not perform as expected, you're protected by our Product Promise.
For full details, please see our Terms & Conditions

Please note: All products are 'FOR RESEARCH USE ONLY. NOT FOR USE IN DIAGNOSTIC OR THERAPEUTIC PROCEDURES'.

For licensing inquiries, please contact partnerships@abcam.com