JavaScript is disabled in your browser. Please enable JavaScript to view this website.
AB321889

Anti-PLVAP/PV-1 antibody [EPR29045-558]

  • BOND RX™ Validated
  • 20ul selling size
  • Recombinant
  • RabMAb
  • Advanced Validation
  • What is this?

Be the first to review this product! Submit a review

|

(0 Publication)

Rabbit Recombinant Monoclonal PLVAP/PV-1 antibody. Suitable for Flow Cyt, ICC/IF, IHC-P, mIHC and reacts with Human samples.

View Alternative Names

FELS, PV1, PLVAP, Plasmalemma vesicle-associated protein, Fenestrated endothelial-linked structure protein, Plasmalemma vesicle protein 1, PV-1

8 Images
Multiplex immunohistochemistry - Anti-PLVAP/PV-1 antibody [EPR29045-558] (AB321889)
  • mIHC

Lab

Multiplex immunohistochemistry - Anti-PLVAP/PV-1 antibody [EPR29045-558] (AB321889)

Panel A : anti-SIGLEC6 (green; Opal™520), anti-TFAP2C (magenta; Opal™690) and anti-PLVAP/PV-1 (gray; Opal™570) on human placenta. Panel B : anti-SIGLEC6 staining membrane of trophoblast in human placenta. Panel C : anti-TFAP2C staining nucleus of trophoblast in human placenta. Panel D : anti-PLVAP/PV-1 staining endothelium in human placenta. Nuclear DNA was labeled with DAPI (shown in blue). The section was incubated in three rounds of staining : in the order of ab317307, ab218107 and ab321889 for 30 mins at room temperature. Each round was followed by a separate fluorescent tyramide signal amplification system. The immunostaining was performed on a Leica Biosystems BOND® RX instrument with an Opal™ 4-color kit. Image acquisition was performed with Leica SP8 confocal microscope.

Immunohistochemistry (Formalin/PFA-fixed paraffin-embedded sections) - Anti-PLVAP/PV-1 antibody [EPR29045-558] (AB321889)
  • IHC-P

Supplier Data

Immunohistochemistry (Formalin/PFA-fixed paraffin-embedded sections) - Anti-PLVAP/PV-1 antibody [EPR29045-558] (AB321889)

Immunohistochemical analysis of paraffin-embedded Human skeletal muscle tissue labeling PLVAP/PV-1 with ab321889 at 1/1000 (0.502 ug/ml) dilution followed by a ready to use LeicaDS9800 (Bond™ Polymer Refine Detection).

Low expression : weak staining on endothelium of human skeletal muscle.
The section was incubated with ab321889 for 30 mins at room temperature.
The immunostaining was performed on a Leica Biosystems BOND® RX instrument

Counterstained with Hematoxylin.

Secondary antibody only control : Secondary antibody is a ready to use LeicaDS9800 (Bond™ Polymer Refine Detection).

Heat mediated antigen retrieval was performed with Tris-EDTA buffer (pH 9.0 Epitope Retrieval Solution2) for 20 mins

Immunohistochemistry (Formalin/PFA-fixed paraffin-embedded sections) - Anti-PLVAP/PV-1 antibody [EPR29045-558] (AB321889)
  • IHC-P

Supplier Data

Immunohistochemistry (Formalin/PFA-fixed paraffin-embedded sections) - Anti-PLVAP/PV-1 antibody [EPR29045-558] (AB321889)

Immunohistochemical analysis of paraffin-embedded (A) TF-1 (human erythroleukemia erythroblast) cell pellet; (B) Raji (human Burkitt's lymphoma B lymphocyte) cell pellet tissue labeling PLVAP/PV-1 with ab321889 at 1/1000 (0.502 ug/ml) dilution followed by a ready to use LeicaDS9800 (Bond™ Polymer Refine Detection).

Positive staining on (A) TF-1 cell pellet; no staining on (B) Raji cell pellet.
The section was incubated with ab321889 for 30 mins at room temperature.
The immunostaining was performed on a Leica Biosystems BOND® RX instrument

Counterstained with Hematoxylin.

Secondary antibody only control : Secondary antibody is a ready to use LeicaDS9800 (Bond™ Polymer Refine Detection).

Heat mediated antigen retrieval was performed with Tris-EDTA buffer (pH 9.0 Epitope Retrieval Solution2) for 20 mins

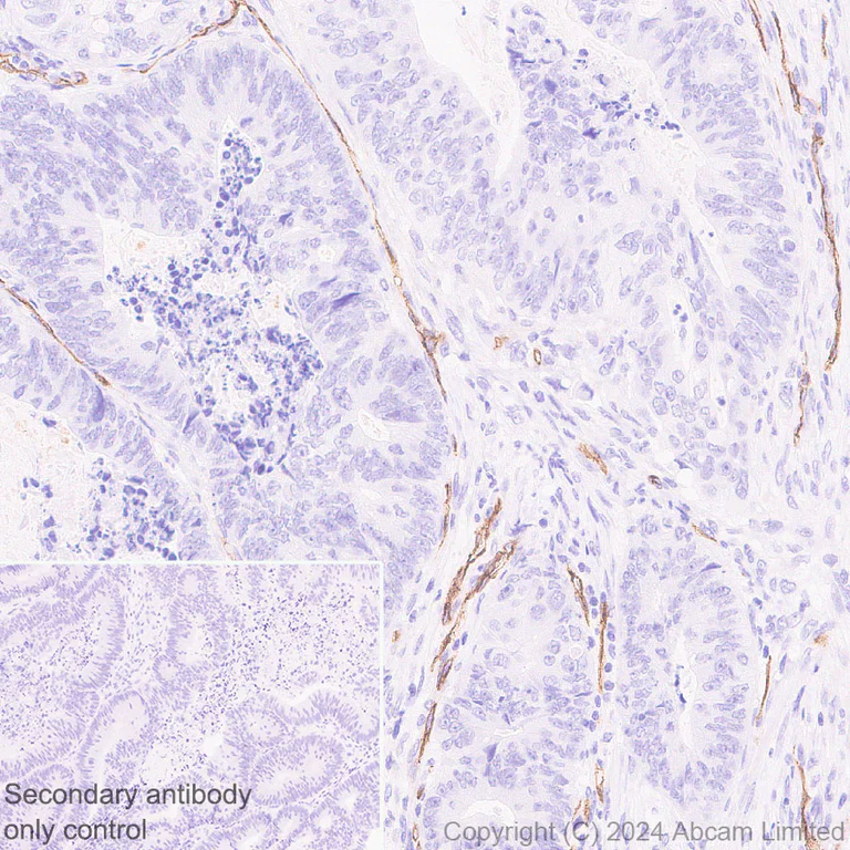
Immunohistochemistry (Formalin/PFA-fixed paraffin-embedded sections) - Anti-PLVAP/PV-1 antibody [EPR29045-558] (AB321889)
  • IHC-P

Supplier Data

Immunohistochemistry (Formalin/PFA-fixed paraffin-embedded sections) - Anti-PLVAP/PV-1 antibody [EPR29045-558] (AB321889)

Immunohistochemical analysis of paraffin-embedded Human appendix tissue labeling PLVAP/PV-1 with ab321889 at 1/1000 (0.502 ug/ml) dilution followed by a ready to use LeicaDS9800 (Bond™ Polymer Refine Detection).

Positive staining on endothelium of human appendix (PMID : 31419514).
The section was incubated with ab321889 for 30 mins at room temperature.
The immunostaining was performed on a Leica Biosystems BOND® RX instrument

Counterstained with Hematoxylin.

Secondary antibody only control : Secondary antibody is a ready to use LeicaDS9800 (Bond™ Polymer Refine Detection).

Heat mediated antigen retrieval was performed with Tris-EDTA buffer (pH 9.0 Epitope Retrieval Solution2) for 20 mins

Immunocytochemistry/ Immunofluorescence - Anti-PLVAP/PV-1 antibody [EPR29045-558] (AB321889)
  • ICC/IF

Supplier Data

Immunocytochemistry/ Immunofluorescence - Anti-PLVAP/PV-1 antibody [EPR29045-558] (AB321889)

Immunofluorescent analysis of 100% methanol-fixed 0.1% TritonX-100 permeabilized TF-1 (human erythroleukemia erythroblast) cells labelling PLVAP/PV-1 with ab321889 at 1/50 (10.04 ug/ml) dilution followed by ab150081 Goat Anti-Rabbit IgG H&L (Alexa Fluor® 488) preadsorbed antibody at 1/1000 2 ug/ml dilution (Green).

Confocal image showing cytoplasmic with membranous staining in TF-1 cell line (shown in green). The counterstain was observed in magenta. Nuclear DNA was labelled with DAPI (shown in blue).
Negative control : Raji
Image was taken with a confocal microscope (Leica-Microsystems TCS SP8).

ab195889 Anti-alpha Tubulin mouse monoclonal antibody - Microtubule Marker (Alexa Fluor® 594) was used to counterstain tubulin at 1/200 2.5ug/ml dilution (Magenta). The Nuclear counterstain was DAPI (Blue).

Secondary antibody only control : Secondary antibody is ab150081 Goat Anti-Rabbit IgG H&L (Alexa Fluor® 488) preadsorbed at 1/1000 2 ug/ml dilution.

Flow Cytometry - Anti-PLVAP/PV-1 antibody [EPR29045-558] (AB321889)
  • Flow Cyt

Supplier Data

Flow Cytometry - Anti-PLVAP/PV-1 antibody [EPR29045-558] (AB321889)

Flow cytometric analysis of Raji (human Burkitt's lymphoma B lymphocyte Left) / TF-1 (human erythroleukemia erythroblast Right).

Cells were labelled with ab321889 at 1/5000 dilution (0.01 μg) (red) or with Rabbit monoclonal IgG isotype control (ab172730) (black) or cells were unlabelled (blue).

Goat Anti-Rabbit IgG (Alexa Fluor® 488 ab150081) at 1/5000 dilution was used as the secondary antibody.

Gated on viable cells.

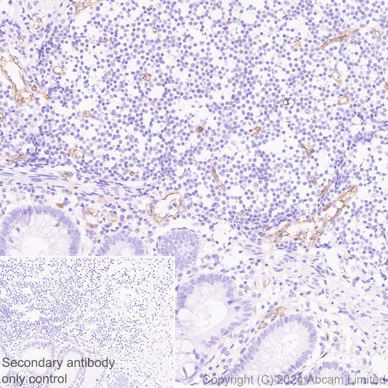
Immunohistochemistry (Formalin/PFA-fixed paraffin-embedded sections) - Anti-PLVAP/PV-1 antibody [EPR29045-558] (AB321889)
  • IHC-P

Supplier Data

Immunohistochemistry (Formalin/PFA-fixed paraffin-embedded sections) - Anti-PLVAP/PV-1 antibody [EPR29045-558] (AB321889)

Immunohistochemical analysis of paraffin-embedded Human colorectal carcinoma tissue labeling PLVAP/PV-1 with ab321889 at 1/1000 (0.502 ug/ml) dilution followed by a ready to use LeicaDS9800 (Bond™ Polymer Refine Detection).

Positive staining on endothelium of human colorectal carcinoma (PMID : 31419514).
The section was incubated with ab321889 for 30 mins at room temperature.
The immunostaining was performed on a Leica Biosystems BOND® RX instrument

Counterstained with Hematoxylin.

Secondary antibody only control : Secondary antibody is a ready to use LeicaDS9800 (Bond™ Polymer Refine Detection).

Heat mediated antigen retrieval was performed with Tris-EDTA buffer (pH 9.0 Epitope Retrieval Solution2) for 20 mins

Immunohistochemistry (Formalin/PFA-fixed paraffin-embedded sections) - Anti-PLVAP/PV-1 antibody [EPR29045-558] (AB321889)
  • IHC-P

Supplier Data

Immunohistochemistry (Formalin/PFA-fixed paraffin-embedded sections) - Anti-PLVAP/PV-1 antibody [EPR29045-558] (AB321889)

Immunohistochemical analysis of paraffin-embedded Human kidney tissue labeling PLVAP/PV-1 with ab321889 at 1/1000 (0.502 ug/ml) dilution followed by a ready to use LeicaDS9800 (Bond™ Polymer Refine Detection).

Positive staining on endothelium of human kidney (PMID : 16099878).
The section was incubated with ab321889 for 30 mins at room temperature.
The immunostaining was performed on a Leica Biosystems BOND® RX instrument

Counterstained with Hematoxylin.

Secondary antibody only control : Secondary antibody is a ready to use LeicaDS9800 (Bond™ Polymer Refine Detection).

Heat mediated antigen retrieval was performed with Tris-EDTA buffer (pH 9.0 Epitope Retrieval Solution2) for 20 mins

  • Carrier free

    Anti-PLVAP/PV-1 antibody [EPR29045-558] - BSA and Azide free

  • 565 Alexa Fluor® 555

    Alexa Fluor® 555 Anti-PLVAP/PV-1 antibody [EPR29045-558]

  • 519 Alexa Fluor® 488

    Alexa Fluor® 488 Anti-PLVAP/PV-1 antibody [EPR29045-558]

Key facts

Host species

Rabbit

Clonality

Monoclonal

Clone number

EPR29045-558

Isotype

IgG

Carrier free

No

Reacts with

Human

Applications

Flow Cyt, ICC/IF, IHC-P, mIHC

applications

Immunogen

The exact immunogen used to generate this antibody is proprietary information.

Reactivity data

{ "title": "Reactivity Data", "filters": { "stats": ["", "Species", "Dilution Info", "Notes"], "tabs": { "all-applications": {"fullname" : "All Applications", "shortname": "All Applications"}, "FlowCyt" : {"fullname" : "Flow Cytometry", "shortname":"Flow Cyt"}, "ICCIF" : {"fullname" : "Immunocytochemistry/ Immunofluorescence", "shortname":"ICC/IF"}, "IHCP" : {"fullname" : "Immunohistochemistry (Formalin/PFA-fixed paraffin-embedded sections)", "shortname":"IHC-P"}, "WB" : {"fullname" : "Western blot", "shortname":"WB"}, "mIHC" : {"fullname" : "Multiplex immunohistochemistry", "shortname":"mIHC"} }, "product-promise": { "all": "all", "testedAndGuaranteed": "tested", "guaranteed": "expected", "predicted": "predicted", "notRecommended": "not-recommended" } }, "values": { "Human": { "FlowCyt-species-checked": "testedAndGuaranteed", "FlowCyt-species-dilution-info": "1/500", "FlowCyt-species-notes": "<p></p>", "ICCIF-species-checked": "testedAndGuaranteed", "ICCIF-species-dilution-info": "1/50", "ICCIF-species-notes": "<p></p>", "IHCP-species-checked": "testedAndGuaranteed", "IHCP-species-dilution-info": "1/1000", "IHCP-species-notes": "<p></p> Perform heat-mediated antigen retrieval with Tris/EDTA buffer pH 9.0 before commencing with IHC staining protocol.", "WB-species-checked": "notRecommended", "WB-species-dilution-info": "", "WB-species-notes": "", "mIHC-species-checked": "testedAndGuaranteed", "mIHC-species-dilution-info": "1/1000", "mIHC-species-notes": "<p></p> Perform heat-mediated antigen retrieval with Tris/EDTA buffer pH 9.0 before commencing with IHC staining protocol." }, "Mouse": { "FlowCyt-species-checked": "notRecommended", "FlowCyt-species-dilution-info": "", "FlowCyt-species-notes": "", "ICCIF-species-checked": "notRecommended", "ICCIF-species-dilution-info": "", "ICCIF-species-notes": "", "IHCP-species-checked": "notRecommended", "IHCP-species-dilution-info": "", "IHCP-species-notes": "<p></p>", "WB-species-checked": "notRecommended", "WB-species-dilution-info": "", "WB-species-notes": "<p></p>", "mIHC-species-checked": "notRecommended", "mIHC-species-dilution-info": "", "mIHC-species-notes": "" } } }

Product details

Patented technology
Our RabMAb® technology is a patented hybridoma-based technology for making rabbit monoclonal antibodies. For details on our patents, please refer to RabMAb® patents.

What are the advantages of a recombinant monoclonal antibody?
This product is a recombinant monoclonal antibody, which offers several advantages including:

  • - High batch-to-batch consistency and reproducibility
  • - Improved sensitivity and specificity
  • - Long-term security of supply
  • - Animal-free batch production

For more information, read more on recombinant antibodies.

Properties and storage information

Form
Liquid
Purification technique
Affinity purification Protein A
Storage buffer
pH: 7.2 - 7.4 Preservative: 0.01% Sodium azide Constituents: PBS, 40% Glycerol (glycerin, glycerine), 0.05% BSA
Shipped at conditions
Blue Ice
Appropriate short-term storage duration
1-2 weeks
Appropriate short-term storage conditions
+4°C
Appropriate long-term storage conditions
-20°C
Aliquoting information
Upon delivery aliquot
Storage information
Avoid freeze / thaw cycle

Supplementary information

This supplementary information is collated from multiple sources and compiled automatically.

PLVAP also known as PV-1 is a transmembrane protein that plays a significant role in organizing the stomatal and fenestral diaphragms of endothelial cells. It weighs approximately 60 kDa. This protein is mainly expressed in fenestrated capillaries and sinusoidal endothelium where it forms diaphragms and contributes to the permeability and ultrastructure of capillary beds. PLVAP's role in endothelial cells highlights its importance in maintaining vascular permeability and cellular structures.
Biological function summary

The functions of PLVAP are significant in maintaining an organized structure within endothelial cells. It forms part of the complex structure that comprises the diaphragms of endothelial fenestrae transendothelial channels and caveolae. These structures are necessary for regulating fluid exchange and molecular transport between blood and tissue. The presence of PLVAP at these sites signals its role in modulating vascular barrier functions essential for efficient blood-tissue communication.

Pathways

Researchers have identified PLVAP's involvement in important vascular and endothelial pathways. It plays a critical part in the VEGF signaling pathway which regulates vascular permeability and endothelial cell behavior. PLVAP is closely associated with other proteins like VE-cadherin and claudin-5 that ensure cohesion and permeability in endothelial cells. In pathways regulating vascular permeability PLVAP's presence helps mediate fluid exchange and maintain tissue homeostasis.

PLVAP associates with conditions involving vascular dysregulation. Hypo- or hyper-expression of PLVAP can relate to the pathogenesis of cancer and inflammatory diseases. In cancer changes in PLVAP expression might contribute to altered tumor vasculature and metastasis often in association with proteins like VEGF and VEGFR-2. Furthermore inflammatory diseases such as atherosclerosis see changes in the protein expression levels that might disrupt vascular integrity linking them with proteins involved in inflammatory responses like ICAM-1 and VCAM-1.

Product protocols

For this product, it's our understanding that no specific protocols are required. You can visit:

Target data

Endothelial cell-specific membrane protein involved in the formation of the diaphragms that bridge endothelial fenestrae. It is also required for the formation of stomata of caveolae and transendothelial channels. Functions in microvascular permeability, endothelial fenestrae contributing to the passage of water and solutes and regulating transcellular versus paracellular flow in different organs. Plays a specific role in embryonic development.
See full target information PLVAP

Product promise

We are committed to supporting your work with high-quality reagents, and we're here for you every step of the way. In the unlikely event that one of our products does not perform as expected, you're protected by our Product Promise.
For full details, please see our Terms & Conditions

Please note: All products are 'FOR RESEARCH USE ONLY. NOT FOR USE IN DIAGNOSTIC OR THERAPEUTIC PROCEDURES'.

For licensing inquiries, please contact partnerships@abcam.com