JavaScript is disabled in your browser. Please enable JavaScript to view this website.
AB323707

Anti-PLVAP/PV-1 antibody [EPR29045-583] - BSA and Azide free

Be the first to review this product! Submit a review

|

(0 Publication)

Rabbit Recombinant Monoclonal PLVAP/PV-1 antibody. Carrier free. Suitable for IHC-P, WB and reacts with Human samples.

View Alternative Names

FELS, PV1, PLVAP, Plasmalemma vesicle-associated protein, Fenestrated endothelial-linked structure protein, Plasmalemma vesicle protein 1, PV-1

5 Images
Immunohistochemistry (Formalin/PFA-fixed paraffin-embedded sections) - Anti-PLVAP/PV-1 antibody [EPR29045-583] - BSA and Azide free (AB323707)
  • IHC-P

Supplier Data

Immunohistochemistry (Formalin/PFA-fixed paraffin-embedded sections) - Anti-PLVAP/PV-1 antibody [EPR29045-583] - BSA and Azide free (AB323707)

This data was developed using ab323706, the same antibody clone in a different buffer formulation.

Immunohistochemical analysis of paraffin-embedded Human clear cell carcinoma tissue labeling PLVAP/PV-1 with ab323706 at 1/2000 (0.239 ug/ml) dilution, followed by a ready to use LeicaDS9800 (Bond™ Polymer Refine Detection).

Positive on endothelial cells in human clear cell carcinoma. The section was incubated with ab323706 for 30 mins at room temperature.
The immunostaining was performed on a Leica Biosystems BOND® RX instrument

Counterstained with Hematoxylin.

Secondary antibody only control : Secondary antibody is a ready to use LeicaDS9800 (Bond™ Polymer Refine Detection).

Heat mediated antigen retrieval was performed with Tris-EDTA buffer (pH 9.0, Epitope Retrieval Solution2) for 20 mins

Immunohistochemistry (Formalin/PFA-fixed paraffin-embedded sections) - Anti-PLVAP/PV-1 antibody [EPR29045-583] - BSA and Azide free (AB323707)
  • IHC-P

Supplier Data

Immunohistochemistry (Formalin/PFA-fixed paraffin-embedded sections) - Anti-PLVAP/PV-1 antibody [EPR29045-583] - BSA and Azide free (AB323707)

This data was developed using ab323706, the same antibody clone in a different buffer formulation.

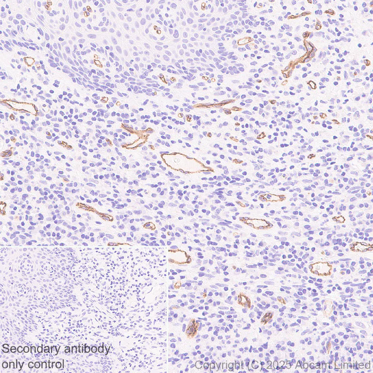
Immunohistochemical analysis of paraffin-embedded Human cervical squamous carcinoma tissue labeling PLVAP/PV-1 with ab323706 at 1/2000 (0.239 ug/ml) dilution, followed by a ready to use LeicaDS9800 (Bond™ Polymer Refine Detection).

Positive on endothelial cells in human cervical squamous carcinoma. The section was incubated with ab323706 for 30 mins at room temperature.
The immunostaining was performed on a Leica Biosystems BOND® RX instrument

Counterstained with Hematoxylin.

Secondary antibody only control : Secondary antibody is a ready to use LeicaDS9800 (Bond™ Polymer Refine Detection).

Heat mediated antigen retrieval was performed with Tris-EDTA buffer (pH 9.0, Epitope Retrieval Solution2) for 20 mins

Immunohistochemistry (Formalin/PFA-fixed paraffin-embedded sections) - Anti-PLVAP/PV-1 antibody [EPR29045-583] - BSA and Azide free (AB323707)
  • IHC-P

Supplier Data

Immunohistochemistry (Formalin/PFA-fixed paraffin-embedded sections) - Anti-PLVAP/PV-1 antibody [EPR29045-583] - BSA and Azide free (AB323707)

This data was developed using ab323706, the same antibody clone in a different buffer formulation.

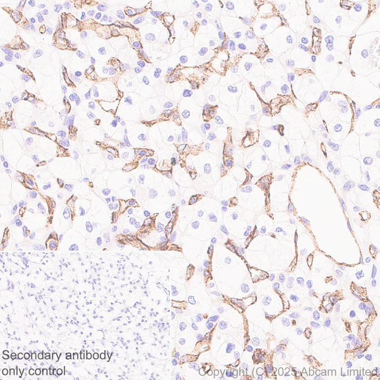
Immunohistochemical analysis of paraffin-embedded Human colon tissue labeling PLVAP/PV-1 with ab323706 at 1/2000 (0.239 ug/ml) dilution, followed by a ready to use LeicaDS9800 (Bond™ Polymer Refine Detection).

Positive on endothelial cells in human colon (PMID : 31419514). The section was incubated with ab323706 for 30 mins at room temperature.
The immunostaining was performed on a Leica Biosystems BOND® RX instrument

Counterstained with Hematoxylin.

Secondary antibody only control : Secondary antibody is a ready to use LeicaDS9800 (Bond™ Polymer Refine Detection).

Heat mediated antigen retrieval was performed with Tris-EDTA buffer (pH 9.0, Epitope Retrieval Solution2) for 20 mins

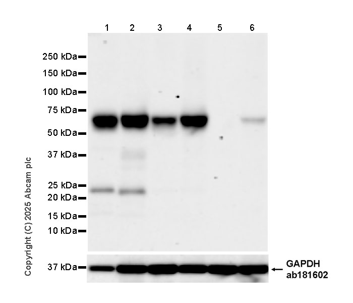
Western blot - Anti-PLVAP/PV-1 antibody [EPR29045-583] - BSA and Azide free (AB323707)
  • WB

Supplier Data

Western blot - Anti-PLVAP/PV-1 antibody [EPR29045-583] - BSA and Azide free (AB323707)

This data was developed using ab323706, the same antibody clone in a different buffer formulation.

Blocking and diluting buffer and concentration : 5% NFDM/TBST.

Low expression : cerebellum, testis(PMID : 11401446)

The expression profile/ molecular weight observed is consistent with what has been described in the literature (PMID : 30854484).

The identity of the bands lower than 70 kDa in lanes 1-2 are unknown.

In Western blot, Anti-GAPDH antibody [EPR16891] - Loading Control (ab181602) staining at 1/200000 dilution.

All lanes:

Western blot - Anti-PLVAP/PV-1 antibody [EPR29045-583] (<a href='/en-us/products/primary-antibodies/plvap-pv-1-antibody-epr29045-583-ab323706'>ab323706</a>) at 1/1000 dilution

Lane 1:

Human pancreas tissue lysate at 20 µg

Lane 2:

Human lymph node tissue lysate at 20 µg

Lane 3:

Human lung cancer tissue lysate at 20 µg

Lane 4:

Human lung tissue lysate at 20 µg

Lane 5:

Human cerebellum tissue lysate at 20 µg

Lane 6:

Human testis tissue lysate at 20 µg

Secondary

All lanes:

Goat Anti-Rabbit IgG (HRP) with minimal cross-reactivity with human IgG at 1/2000 dilution

Observed band size: 70 kDa,36 kDa

false

Exposure time: 180s

Western blot - Anti-PLVAP/PV-1 antibody [EPR29045-583] - BSA and Azide free (AB323707)
  • WB

Supplier Data

Western blot - Anti-PLVAP/PV-1 antibody [EPR29045-583] - BSA and Azide free (AB323707)

This data was developed using ab323706, the same antibody clone in a different buffer formulation.

Blocking and diluting buffer and concentration : 5% NFDM/TBST.

Negative control : Raji, MCF7.

In Western blot, Anti-GAPDH antibody [EPR16891] - Loading Control (ab181602) staining at 1/200000 dilution.

All lanes:

Western blot - Anti-PLVAP/PV-1 antibody [EPR29045-583] (<a href='/en-us/products/primary-antibodies/plvap-pv-1-antibody-epr29045-583-ab323706'>ab323706</a>) at 1/1000 dilution

Lane 1:

HUVEC (human umbilical vein endothelial cell) whole cell lysate at 20 µg

Lane 2:

TF-1 (human erythroleukemia erythroblast) whole cell lysate at 20 µg

Lane 3:

Raji (human Burkitts lymphoma B lymphocyte) whole cell lysate at 20 µg

Lane 4:

MCF7 (human breast adenocarcinoma epithelial cell) whole cell lysate at 20 µg

Secondary

All lanes:

Western blot - Goat Anti-Rabbit IgG H&L (HRP) (<a href='/en-us/products/secondary-antibodies/goat-rabbit-igg-h-l-hrp-ab97051'>ab97051</a>) at 1/100000 dilution

Observed band size: 70 kDa,36 kDa

false

Exposure time: 180s

Key facts

Host species

Rabbit

Clonality

Monoclonal

Clone number

EPR29045-583

Isotype

IgG

Carrier free

Yes

Reacts with

Human

Applications

WB, IHC-P

applications

Immunogen

The exact immunogen used to generate this antibody is proprietary information.

Reactivity data

{ "title": "Reactivity Data", "filters": { "stats": ["", "Species", "Dilution Info", "Notes"], "tabs": { "all-applications": {"fullname" : "All Applications", "shortname": "All Applications"}, "IHCP" : {"fullname" : "Immunohistochemistry (Formalin/PFA-fixed paraffin-embedded sections)", "shortname":"IHC-P"}, "WB" : {"fullname" : "Western blot", "shortname":"WB"}, "FlowCyt" : {"fullname" : "Flow Cytometry", "shortname":"Flow Cyt"}, "ICCIF" : {"fullname" : "Immunocytochemistry/ Immunofluorescence", "shortname":"ICC/IF"} }, "product-promise": { "all": "all", "testedAndGuaranteed": "tested", "guaranteed": "expected", "predicted": "predicted", "notRecommended": "not-recommended" } }, "values": { "Human": { "IHCP-species-checked": "testedAndGuaranteed", "IHCP-species-dilution-info": "", "IHCP-species-notes": "<p></p> Perform heat-mediated antigen retrieval with Tris/EDTA buffer pH 9.0 before commencing with IHC staining protocol.", "WB-species-checked": "testedAndGuaranteed", "WB-species-dilution-info": "", "WB-species-notes": "<p></p>", "FlowCyt-species-checked": "notRecommended", "FlowCyt-species-dilution-info": "", "FlowCyt-species-notes": "<p></p>", "ICCIF-species-checked": "notRecommended", "ICCIF-species-dilution-info": "", "ICCIF-species-notes": "<p></p>" }, "Mouse": { "IHCP-species-checked": "notRecommended", "IHCP-species-dilution-info": "", "IHCP-species-notes": "<p></p>", "WB-species-checked": "notRecommended", "WB-species-dilution-info": "", "WB-species-notes": "<p></p>", "FlowCyt-species-checked": "notRecommended", "FlowCyt-species-dilution-info": "", "FlowCyt-species-notes": "<p></p>", "ICCIF-species-checked": "notRecommended", "ICCIF-species-dilution-info": "", "ICCIF-species-notes": "" } } }

Product details

ab323707 is the carrier-free version of ab323706

What are the advantages of a recombinant monoclonal antibody?
This product is a recombinant monoclonal antibody, which offers several advantages including:

  • - High batch-to-batch consistency and reproducibility
  • - Improved sensitivity and specificity
  • - Long-term security of supply
  • - Animal-free batch production

For more information, read more on recombinant antibodies.

Patented technology
Our RabMAb® technology is a patented hybridoma-based technology for making rabbit monoclonal antibodies. For details on our patents, please refer to RabMAb® patents.

Conjugation ready
Our carrier-free antibodies are typically supplied in a PBS-only formulation, purified and free of BSA, sodium azide and glycerol. This conjugation-ready format is designed for use with fluorochromes, metal isotopes, oligonucleotides, and enzymes, which makes them ideal for antibody labelling, functional and cell-based assays, flow-based assays (e.g. mass cytometry) and Multiplex Imaging applications.

Use our conjugation kits for antibody conjugates that are ready-to-use in as little as 20 minutes with 1 minute hands-on-time and 100% antibody recovery: available for fluorescent dyes, HRP, biotin and gold.

Compatibility
This product is compatible with the Maxpar® Antibody Labeling Kit from Fluidigm, without the need for antibody preparation. Maxpar® is a trademark of Fluidigm Canada Inc.

Properties and storage information

Form
Liquid
Purification technique
Affinity purification Protein A
Storage buffer
pH: 7.2 - 7.4 Constituents: PBS
Shipped at conditions
Blue Ice
Appropriate short-term storage conditions
+4°C
Appropriate long-term storage conditions
+4°C

Product protocols

For this product, it's our understanding that no specific protocols are required. You can visit:

Target data

Endothelial cell-specific membrane protein involved in the formation of the diaphragms that bridge endothelial fenestrae. It is also required for the formation of stomata of caveolae and transendothelial channels. Functions in microvascular permeability, endothelial fenestrae contributing to the passage of water and solutes and regulating transcellular versus paracellular flow in different organs. Plays a specific role in embryonic development.
See full target information PLVAP

Product promise

We are committed to supporting your work with high-quality reagents, and we're here for you every step of the way. In the unlikely event that one of our products does not perform as expected, you're protected by our Product Promise.
For full details, please see our Terms & Conditions

Please note: All products are 'FOR RESEARCH USE ONLY. NOT FOR USE IN DIAGNOSTIC OR THERAPEUTIC PROCEDURES'.

For licensing inquiries, please contact partnerships@abcam.com