JavaScript is disabled in your browser. Please enable JavaScript to view this website.
AB251018

Anti-PMCA1 antibody [EPR12029] - BSA and Azide free

  • BOND RX™ Validated
  • KO Validated
  • RabMAb
  • Recombinant
  • What is this?

Be the first to review this product! Submit a review

|

(0 Publication)

Rabbit Recombinant Monoclonal PMCA1 antibody. Carrier free. Suitable for WB, IHC-P, IP and reacts with Human, Mouse, Rat samples.

View Alternative Names

PMCA1, ATP2B1, Plasma membrane calcium-transporting ATPase 1, Plasma membrane calcium ATPase isoform 1, Plasma membrane calcium pump isoform 1

7 Images
Immunoprecipitation - Anti-PMCA1 antibody [EPR12029] - BSA and Azide free (AB251018)
  • IP

Lab

Immunoprecipitation - Anti-PMCA1 antibody [EPR12029] - BSA and Azide free (AB251018)

This data was developed using ab190355, the same antibody clone in a different buffer formulation.

Immunoprecipitation of ATP2B1 in HAP1 cells. Lysates were prepared and immunoprecipitation was performed using 2.0 µg of ab190355 pre-coupled to Protein A beads. Samples were then washed and processed for western blot.

These data were provided by YCharOS Inc., an open science company with the mission of characterizing commercially available antibody reagents for all human proteins. Abcam and YCharOS are working together to help address the reproducibility crisis by enabling the life science community to better evaluate commercially available antibodies.

All lanes:

Immunoprecipitation - Anti-PMCA1 antibody [EPR12029] (<a href='/en-us/products/primary-antibodies/pmca1-antibody-epr12029-ab190355'>ab190355</a>) at 2 µg

All lanes:

HAP1 cells

false

Immunohistochemistry (Formalin/PFA-fixed paraffin-embedded sections) - Anti-PMCA1 antibody [EPR12029] - BSA and Azide free (AB251018)
  • IHC-P

Supplier Data

Immunohistochemistry (Formalin/PFA-fixed paraffin-embedded sections) - Anti-PMCA1 antibody [EPR12029] - BSA and Azide free (AB251018)

This data was developed using the same antibody clone in a different buffer formulation (ab190355).

Immunohistochemical analysis of paraffin-embedded mouse lung cancer tissue labelling PMCA1 with ab190355 at 1/2000 dilution, followed by ready-to-use secondary antibody Rabbit specific IHC polymer detection kit HRP/DAB (ab209101) at dilution 1/1. Counterstained with Hematoxylin.

Performed heat mediated antigen retrieval with Tris-EDTA buffer (pH 9.0, epitope retrieval solution 2) for 20 mins.

Positive staining mouse lung cancer.

The section was incubated with ab190355 for 10 mins at room temperature. The immunostaining staining was performed on a Leica Biosystems BOND® RX instrument.

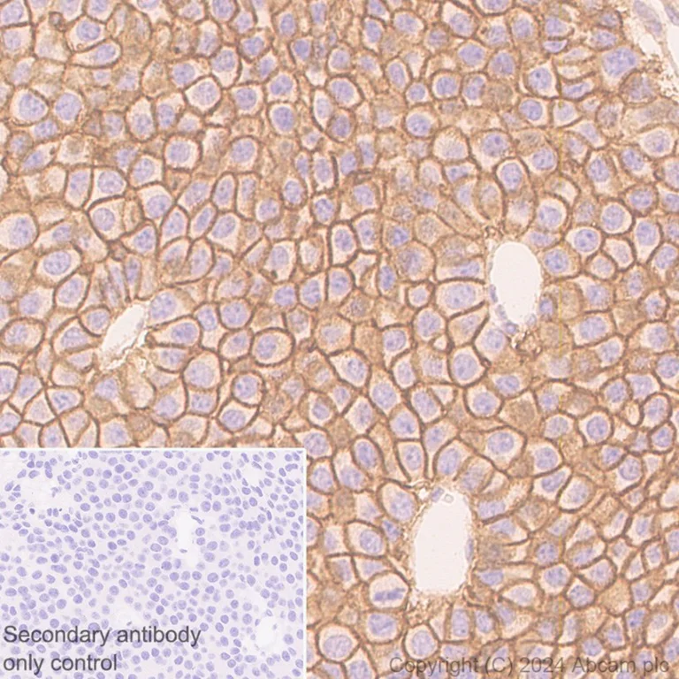
Immunohistochemistry (Formalin/PFA-fixed paraffin-embedded sections) - Anti-PMCA1 antibody [EPR12029] - BSA and Azide free (AB251018)
  • IHC-P

Supplier Data

Immunohistochemistry (Formalin/PFA-fixed paraffin-embedded sections) - Anti-PMCA1 antibody [EPR12029] - BSA and Azide free (AB251018)

This data was developed using the same antibody clone in a different buffer formulation (ab190355).

Immunohistochemical analysis of paraffin-embedded mouse stomach tissue labelling PMCA1 with ab190355 at 1/2000 dilution, followed by ready-to-use secondary antibody Rabbit specific IHC polymer detection kit HRP/DAB (ab209101) at dilution 1/1. Counterstained with Hematoxylin.

Performed heat mediated antigen retrieval with Tris-EDTA buffer (pH 9.0, epitope retrieval solution 2) for 20 mins.

Positive staining mouse stomach.

The section was incubated with ab190355 for 10 mins at room temperature. The immunostaining staining was performed on a Leica Biosystems BOND® RX instrument.

Immunohistochemistry (Formalin/PFA-fixed paraffin-embedded sections) - Anti-PMCA1 antibody [EPR12029] - BSA and Azide free (AB251018)
  • IHC-P

Supplier Data

Immunohistochemistry (Formalin/PFA-fixed paraffin-embedded sections) - Anti-PMCA1 antibody [EPR12029] - BSA and Azide free (AB251018)

This data was developed using the same antibody clone in a different buffer formulation (ab190355).

Immunohistochemical analysis of paraffin-embedded rat stomach tissue labelling PMCA1 with ab190355 at 1/2000 dilution, followed by ready-to-use secondary antibody Rabbit specific IHC polymer detection kit HRP/DAB (ab209101) at dilution 1/1. Counterstained with Hematoxylin.

Performed heat mediated antigen retrieval with Tris-EDTA buffer (pH 9.0, epitope retrieval solution 2) for 20 mins.

Positive staining mouse lung cancer.

The section was incubated with ab190355 for 10 mins at room temperature. The immunostaining staining was performed on a Leica Biosystems BOND® RX instrument.

Western blot - Anti-PMCA1 antibody [EPR12029] - BSA and Azide free (AB251018)
  • WB

Supplier Data

Western blot - Anti-PMCA1 antibody [EPR12029] - BSA and Azide free (AB251018)

This data was developed using the same antibody clone in a different buffer formulation (ab190355).

Blocking/Diluting buffer and concentration : 5% NFDM/TBST.

Exposure time :
Lanes 1, 2 : 7 seconds

Lanes 3, 4, 5, 6 : 3 seconds

ab181602 is used as a Loading Control at dilution 1/1000000.

All lanes:

Western blot - Anti-PMCA1 antibody [EPR12029] (<a href='/en-us/products/primary-antibodies/pmca1-antibody-epr12029-ab190355'>ab190355</a>) at 1/5000 dilution

Lane 1:

HeLa (Human cervix adenocarcinoma epithelial cell) whole cell lysate, boiled at 20 µg

Lane 2:

HeLa (Human cervix adenocarcinoma epithelial cell) whole cell lysate, unboiled at 20 µg

Lane 3:

Neuro-2a (Mouse neuroblastoma neuroblast) whole cell lysate, boiled at 20 µg

Lane 4:

Neuro-2a (Mouse neuroblastoma neuroblast) whole cell lysate, unboiled at 20 µg

Lane 5:

C6 (Rat glial tumor glial cell) whole cell lysate, boiled at 20 µg

Lane 6:

C6 (Rat glial tumor glial cell) whole cell lysate, unboiled at 20 µg

Secondary

All lanes:

Western blot - Goat Anti-Rabbit IgG H&L (HRP) (<a href='/en-us/products/secondary-antibodies/goat-rabbit-igg-h-l-hrp-ab97051'>ab97051</a>) at 1/20000 dilution

Predicted band size: 139 kDa

Observed band size: 130-250 kDa

false

Western blot - Anti-PMCA1 antibody [EPR12029] - BSA and Azide free (AB251018)
  • WB

Lab

Western blot - Anti-PMCA1 antibody [EPR12029] - BSA and Azide free (AB251018)

This data was developed using ab190355, the same antibody clone in a different buffer formulation.

ab190355 was shown to react with ATP2B1 in wild-type HAP1 cells in Western blot with loss of signal observed in a ATP2B1 knockout cell line. Wild-type HAP1 and ATP2B1 knockout cell lysates were subjected to SDS-PAGE. Membranes were blocked in 5% milk in TBST for 1 hr before incubation with ab190355 overnight at 4 °C at a 1/1000 dilution. Blots were incubated with secondary antibodies at 0.2 µg/mL before imaging.

These data were provided by YCharOS Inc., an open science company with the mission of characterizing commercially available antibody reagents for all human proteins. Abcam and YCharOS are working together to help address the reproducibility crisis by enabling the life science community to better evaluate commercially available antibodies.

All lanes:

Western blot - Anti-PMCA1 antibody [EPR12029] (<a href='/en-us/products/primary-antibodies/pmca1-antibody-epr12029-ab190355'>ab190355</a>) at 1/1000 dilution

Lane 1:

Wild-type HAP1 lysate at 30 µg

Lane 2:

ATP2B1 knock-out HAP1 lysate at 30 µg

false

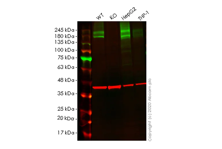
Western blot - Anti-PMCA1 antibody [EPR12029] - BSA and Azide free (AB251018)
  • WB

Lab

Western blot - Anti-PMCA1 antibody [EPR12029] - BSA and Azide free (AB251018)

This data was developed using the same antibody clone in a different buffer formulation (ab190355).

Lanes 1-4 : Merged signal (red and green). Green - ab190355 observed at 180-245 kDa. Red - loading control ab8245 observed at 36 kDa.

ab190355 Anti-PMCA1 antibody [EPR12029] was shown to specifically react with PMCA1 in wild-type HeLa cells. Loss of signal was observed when knockout cell line ab265561 (knockout cell lysate ab257365) was used. Wild-type and PMCA1 knockout samples were subjected to SDS-PAGE. ab190355 and Anti-GAPDH antibody [6C5] - Loading Control (ab8245) were incubated at room temperature for 2. 5 hours at 1 in 1000 dilution and 1 in 20000 dilution respectively. Blots were developed with Goat anti-Rabbit IgG H&L (IRDye® 800CW) preadsorbed (ab216773) and Goat anti-Mouse IgG H&L (IRDye® 680RD) preadsorbed (ab216776) secondary antibodies at 1 in 20000 dilution for 1 hour at room temperature before imaging.

All lanes:

Western blot - Anti-PMCA1 antibody [EPR12029] (<a href='/en-us/products/primary-antibodies/pmca1-antibody-epr12029-ab190355'>ab190355</a>) at 1/1000 dilution

Lane 1:

Wild-type HeLa cell lysate at 20 µg

Lane 2:

ATP2B1 knockout HeLa cell lysate at 20 µg

Lane 2:

Western blot - Human ATP2B1 (PMCA1) knockout HeLa cell line (<a href='/en-us/products/cell-lines/human-atp2b1-pmca1-knockout-hela-cell-line-ab265561'>ab265561</a>)

Lane 3:

HepG2 cell lysate at 20 µg

Lane 4:

THP-1 cell lysate at 20 µg

Secondary

All lanes:

Western blot - Goat anti-Rabbit IgG H&L (IRDye® 800CW) preadsorbed (<a href='/en-us/products/secondary-antibodies/goat-rabbit-igg-h-l-irdye-800cw-preadsorbed-ab216773'>ab216773</a>) at 1/10000 dilution

Predicted band size: 139 kDa

Observed band size: 180-245 kDa

false

Key facts

Host species

Rabbit

Clonality

Monoclonal

Clone number

EPR12029

Isotype

IgG

Carrier free

Yes

Reacts with

Mouse, Rat, Human

Applications

IHC-P, IP, WB

applications

Immunogen

The exact immunogen used to generate this antibody is proprietary information.

Reactivity data

{ "title": "Reactivity Data", "filters": { "stats": ["", "Species", "Dilution Info", "Notes"], "tabs": { "all-applications": {"fullname" : "All Applications", "shortname": "All Applications"}, "WB" : {"fullname" : "Western blot", "shortname":"WB"}, "IHCP" : {"fullname" : "Immunohistochemistry (Formalin/PFA-fixed paraffin-embedded sections)", "shortname":"IHC-P"}, "IP" : {"fullname" : "Immunoprecipitation", "shortname":"IP"} }, "product-promise": { "all": "all", "testedAndGuaranteed": "tested", "guaranteed": "expected", "predicted": "predicted", "notRecommended": "not-recommended" } }, "values": { "Human": { "WB-species-checked": "testedAndGuaranteed", "WB-species-dilution-info": "", "WB-species-notes": "<p></p>", "IHCP-species-checked": "testedAndGuaranteed", "IHCP-species-dilution-info": "", "IHCP-species-notes": "<p></p>", "IP-species-checked": "testedAndGuaranteed", "IP-species-dilution-info": "", "IP-species-notes": "<p></p>" }, "Mouse": { "WB-species-checked": "testedAndGuaranteed", "WB-species-dilution-info": "", "WB-species-notes": "<p></p>", "IHCP-species-checked": "testedAndGuaranteed", "IHCP-species-dilution-info": "", "IHCP-species-notes": "<p></p>", "IP-species-checked": "guaranteed", "IP-species-dilution-info": "", "IP-species-notes": "" }, "Rat": { "WB-species-checked": "testedAndGuaranteed", "WB-species-dilution-info": "", "WB-species-notes": "<p></p>", "IHCP-species-checked": "testedAndGuaranteed", "IHCP-species-dilution-info": "", "IHCP-species-notes": "<p></p>", "IP-species-checked": "guaranteed", "IP-species-dilution-info": "", "IP-species-notes": "" } } }

Product details

ab251018 is the carrier-free version of ab190355.

Patented technology
Our RabMAb® technology is a patented hybridoma-based technology for making rabbit monoclonal antibodies. For details on our patents, please refer to RabMAb® patents.

What are the advantages of a recombinant monoclonal antibody?
This product is a recombinant monoclonal antibody, which offers several advantages including:

  • - High batch-to-batch consistency and reproducibility
  • - Improved sensitivity and specificity
  • - Long-term security of supply
  • - Animal-free batch production

For more information, read more on recombinant antibodies.

Conjugation ready
Our carrier-free antibodies are typically supplied in a PBS-only formulation, purified and free of BSA, sodium azide and glycerol. This conjugation-ready format is designed for use with fluorochromes, metal isotopes, oligonucleotides, and enzymes, which makes them ideal for antibody labelling, functional and cell-based assays, flow-based assays (e.g. mass cytometry) and Multiplex Imaging applications.

Use our conjugation kits for antibody conjugates that are ready-to-use in as little as 20 minutes with 1 minute hands-on-time and 100% antibody recovery: available for fluorescent dyes, HRP, biotin and gold.

Compatibility
This product is compatible with the Maxpar® Antibody Labeling Kit from Fluidigm, without the need for antibody preparation. Maxpar® is a trademark of Fluidigm Canada Inc.

Properties and storage information

Form
Liquid
Purification technique
Affinity purification Protein A
Storage buffer
pH: 7.2 - 7.4 Constituents: PBS
Shipped at conditions
Blue Ice
Appropriate short-term storage conditions
+4°C
Appropriate long-term storage conditions
+4°C
Storage information
Do Not Freeze

Supplementary information

This supplementary information is collated from multiple sources and compiled automatically.

The plasma membrane calcium ATPase 1 (PMCA1) also known by its gene name ATP2B1 is an essential protein responsible for the regulation of intracellular calcium levels. Mechanically PMCA1 functions as a calcium pump actively transporting calcium ions out of the cell using ATP hydrolysis. This protein has a molecular mass of approximately 135 kDa. PMCA1 is widely expressed in many tissues but shows higher expression in excitable cells such as neurons and muscle cells where rapid calcium signaling is critical.
Biological function summary

PMCA1 plays a fundamental role in maintaining calcium homeostasis which is important for many cellular processes including muscle contraction nerve impulse transmission and cell signaling. It functions independently but in some contexts it may interact with other proteins to modulate its activity. The protein helps prevent toxic accumulation of calcium inside cells therefore protecting cellular integrity and function.

Pathways

PMCA1 is integral to the calcium signaling pathway where it helps regulate cellular responses to fluctuating calcium levels. It interacts with other key proteins such as calmodulin which can enhance its activity in response to increased intracellular calcium. PMCA1 also links to the phosphatidylinositol signaling pathway where its function assists in the propagation of signaling cascades that manage processes like growth and metabolism.

PMCA1 has associations with conditions impacting calcium regulation such as hypertension and cardiovascular diseases. Dysfunctional regulation of PMCA1 can lead to abnormal calcium homeostasis contributing to such disorders. Furthermore PMCA1's interaction with proteins like the sodium-calcium exchanger (NCX) suggests a complex regulatory network that when disrupted may trigger or exacerbate disease states.

Product protocols

For this product, it's our understanding that no specific protocols are required. You can visit:

Target data

Catalyzes the hydrolysis of ATP coupled with the transport of calcium from the cytoplasm to the extracellular space thereby maintaining intracellular calcium homeostasis (PubMed : 35358416). Plays a role in blood pressure regulation through regulation of intracellular calcium concentration and nitric oxide production leading to regulation of vascular smooth muscle cells vasoconstriction. Positively regulates bone mineralization through absorption of calcium from the intestine. Plays dual roles in osteoclast differentiation and survival by regulating RANKL-induced calcium oscillations in preosteoclasts and mediating calcium extrusion in mature osteoclasts (By similarity). Regulates insulin sensitivity through calcium/calmodulin signaling pathway by regulating AKT1 activation and NOS3 activation in endothelial cells (PubMed : 29104511). May play a role in synaptic transmission by modulating calcium and proton dynamics at the synaptic vesicles.
See full target information ATP2B1

Product promise

We are committed to supporting your work with high-quality reagents, and we're here for you every step of the way. In the unlikely event that one of our products does not perform as expected, you're protected by our Product Promise.
For full details, please see our Terms & Conditions

Please note: All products are 'FOR RESEARCH USE ONLY. NOT FOR USE IN DIAGNOSTIC OR THERAPEUTIC PROCEDURES'.

For licensing inquiries, please contact partnerships@abcam.com