JavaScript is disabled in your browser. Please enable JavaScript to view this website.
AB319151

Anti-PMCA2 antibody [EPR28923-56] - BSA and Azide free

Be the first to review this product! Submit a review

|

(0 Publication)

Rabbit Recombinant Monoclonal Calcium Pump PMCA2 ATPase antibody. Carrier free. Suitable for IHC-P, WB, ICC/IF and reacts with Mouse, Rat, Human samples.

View Alternative Names

Pmca2, Plasma membrane calcium-transporting ATPase 2, PMCA2, Plasma membrane calcium ATPase isoform 2, Plasma membrane calcium pump isoform 2

8 Images
Immunohistochemistry (Formalin/PFA-fixed paraffin-embedded sections) - Anti-PMCA2 antibody [EPR28923-56] - BSA and Azide free (AB319151)
  • IHC-P

Supplier Data

Immunohistochemistry (Formalin/PFA-fixed paraffin-embedded sections) - Anti-PMCA2 antibody [EPR28923-56] - BSA and Azide free (AB319151)

This data was developed using ab319150, the same antibody clone in a different buffer formulation.

Immunohistochemical analysis of paraffin-embedded Mouse cerebrum tissue labeling PMCA2 with ab319150 at 1/1000 (0.518 ug/ml) dilution, followed by a ready to use LeicaDS9800 (Bond™ Polymer Refine Detection).

Positive staining on mouse cerebrum (PMID : 19735545).
The section was incubated with ab319150 for 30 mins at room temperature.
The immunostaining was performed on a Leica Biosystems BOND®
RX instrument
Incubate slides with 3% Hydrogen Peroxide for 10 mins at room temperature after secondary antibody incubation to reduce the background

Counterstained with Hematoxylin.

Secondary antibody only control : Secondary antibody is a ready to use LeicaDS9800 (Bond™ Polymer Refine Detection).

Heat mediated antigen retrieval was performed with Tris-EDTA buffer (pH 9.0, Epitope Retrieval Solution2) for 20 mins

Immunohistochemistry (Formalin/PFA-fixed paraffin-embedded sections) - Anti-PMCA2 antibody [EPR28923-56] - BSA and Azide free (AB319151)
  • IHC-P

Supplier Data

Immunohistochemistry (Formalin/PFA-fixed paraffin-embedded sections) - Anti-PMCA2 antibody [EPR28923-56] - BSA and Azide free (AB319151)

This data was developed using ab319150, the same antibody clone in a different buffer formulation.

Immunohistochemical analysis of paraffin-embedded Mouse lung tissue labeling PMCA2 with ab319150 at 1/1000 (0.518 ug/ml) dilution, followed by a ready to use LeicaDS9800 (Bond™ Polymer Refine Detection).

Negative control : no staining on mouse lung.
The section was incubated with ab319150 for 30 mins at room temperature.
The immunostaining was performed on a Leica Biosystems BOND® RX instrument
Incubate slides with 3% Hydrogen Peroxide for 10 mins at room temperature after secondary antibody incubation to reduce the background

Counterstained with Hematoxylin.

Secondary antibody only control : Secondary antibody is a ready to use LeicaDS9800 (Bond™ Polymer Refine Detection).

Heat mediated antigen retrieval was performed with Tris-EDTA buffer (pH 9.0, Epitope Retrieval Solution2) for 20 mins

Immunocytochemistry/ Immunofluorescence - Anti-PMCA2 antibody [EPR28923-56] - BSA and Azide free (AB319151)
  • ICC/IF

Supplier Data

Immunocytochemistry/ Immunofluorescence - Anti-PMCA2 antibody [EPR28923-56] - BSA and Azide free (AB319151)

This data was developed using ab319150, the same antibody clone in a different buffer formulation.

Immunofluorescent analysis of 4% Paraformaldehyde-fixed, 0.1% TritonX-100 permeabilized Mouse splenocyte cells labelling PMCA2 with ab319150 at 1/50 (10.36 ug/ml) dilution, followed by ab150081 Goat Anti-Rabbit IgG H&L (Alexa Fluor® 488) preadsorbed antibody at 1/1000 2 ug/ml dilution (Green).

Negative control : Confocal image showing no staining in mouse splenocytes. The counterstain was observed in magenta. Nuclear DNA was labelled with DAPI (shown in blue). Image was taken with a confocal microscope (Leica-Microsystems, TCS SP8).

ab195889 Anti-alpha Tubulin mouse monoclonal antibody - Microtubule Marker (Alexa Fluor® 594) was used to counterstain tubulin at 1/200 2.5ug/ml dilution (Magenta). The Nuclear counterstain was DAPI (Blue).

Secondary antibody only control : Secondary antibody is ab150081 Goat Anti-Rabbit IgG H&L (Alexa Fluor® 488) preadsorbed at 1/1000 2 ug/ml dilution.

Immunohistochemistry (Formalin/PFA-fixed paraffin-embedded sections) - Anti-PMCA2 antibody [EPR28923-56] - BSA and Azide free (AB319151)
  • IHC-P

Supplier Data

Immunohistochemistry (Formalin/PFA-fixed paraffin-embedded sections) - Anti-PMCA2 antibody [EPR28923-56] - BSA and Azide free (AB319151)

This data was developed using ab319150, the same antibody clone in a different buffer formulation.

Immunohistochemical analysis of paraffin-embedded Rat cerebrum tissue labeling PMCA2 with ab319150 at 1/1000 (0.518 ug/ml) dilution, followed by a ready to use LeicaDS9800 (Bond™ Polymer Refine Detection).

Positive staining on rat cerebrum.
The section was incubated with ab319150 for 30 mins at room temperature.
The immunostaining was performed on a Leica Biosystems BOND® RX instrument
Incubate slides with 3% Hydrogen Peroxide for 10 mins at room temperature after secondary antibody incubation to reduce the background

Counterstained with Hematoxylin.

Secondary antibody only control : Secondary antibody is a ready to use LeicaDS9800 (Bond™ Polymer Refine Detection).

Heat mediated antigen retrieval was performed with Tris-EDTA buffer (pH 9.0, Epitope Retrieval Solution2) for 20 mins

Immunocytochemistry/ Immunofluorescence - Anti-PMCA2 antibody [EPR28923-56] - BSA and Azide free (AB319151)
  • ICC/IF

Supplier Data

Immunocytochemistry/ Immunofluorescence - Anti-PMCA2 antibody [EPR28923-56] - BSA and Azide free (AB319151)

This data was developed using ab319150, the same antibody clone in a different buffer formulation.

Immunofluorescent analysis of 4% Paraformaldehyde-fixed, 0.1% TritonX-100 permeabilized mouse primary neural/glia cell cells labelling PMCA2 with ab319150 at 1/50 (10.36 ug/ml) dilution, followed by ab150081 Goat Anti-Rabbit IgG H&L (Alexa Fluor® 488) preadsorbed antibody at 1/1000 2 ug/ml dilution (Green).

Confocal image showing positive staining in part of the mouse primary neurons (shown in green). The counterstain was observed in magenta. Nuclear DNA was labelled with DAPI (shown in blue). Confocal scanning Z step was set as 0.3 μm followed by image processing with maximum Z projection. Image was taken with a confocal microscope (Leica-Microsystems, TCS SP8).

ab11267 Anti-MAP2 mouse monoclonal antibody was used to counterstain tubulin at 1/500 4ug/ml dilution (Magenta). The Nuclear counterstain was DAPI (Blue).

-ve control 1 : ab319150 at 1/50 dilution, followed by ab150120 Goat Anti-Mouse IgG H&L (Alexa Fluor® 594) antibody at 1/1000 dilution.
-ve control 2 : ab11267 at 1/500 dilution, followed by ab150081 Goat Anti-Rabbit IgG H&L (Alexa Fluor® 488) preadsorbed antibody at 1/1000 dilution.

Immunohistochemistry (Formalin/PFA-fixed paraffin-embedded sections) - Anti-PMCA2 antibody [EPR28923-56] - BSA and Azide free (AB319151)
  • IHC-P

Supplier Data

Immunohistochemistry (Formalin/PFA-fixed paraffin-embedded sections) - Anti-PMCA2 antibody [EPR28923-56] - BSA and Azide free (AB319151)

This data was developed using ab319150, the same antibody clone in a different buffer formulation.

Immunohistochemical analysis of paraffin-embedded Rat lung tissue labeling PMCA2 with ab319150 at 1/1000 (0.518 ug/ml) dilution, followed by a ready to use LeicaDS9800 (Bond™ Polymer Refine Detection).

Negative control : no staining on rat lung.
The section was incubated with ab319150 for 30 mins at room temperature.
The immunostaining was performed on a Leica Biosystems BOND® RX instrument
Incubate slides with 3% Hydrogen Peroxide for 10 mins at room temperature after secondary antibody incubation to reduce the background

Counterstained with Hematoxylin.

Secondary antibody only control : Secondary antibody is a ready to use LeicaDS9800 (Bond™ Polymer Refine Detection).

Heat mediated antigen retrieval was performed with Tris-EDTA buffer (pH 9.0, Epitope Retrieval Solution2) for 20 mins

Immunohistochemistry (Formalin/PFA-fixed paraffin-embedded sections) - Anti-PMCA2 antibody [EPR28923-56] - BSA and Azide free (AB319151)
  • IHC-P

Supplier Data

Immunohistochemistry (Formalin/PFA-fixed paraffin-embedded sections) - Anti-PMCA2 antibody [EPR28923-56] - BSA and Azide free (AB319151)

This data was developed using ab319150, the same antibody clone in a different buffer formulation.

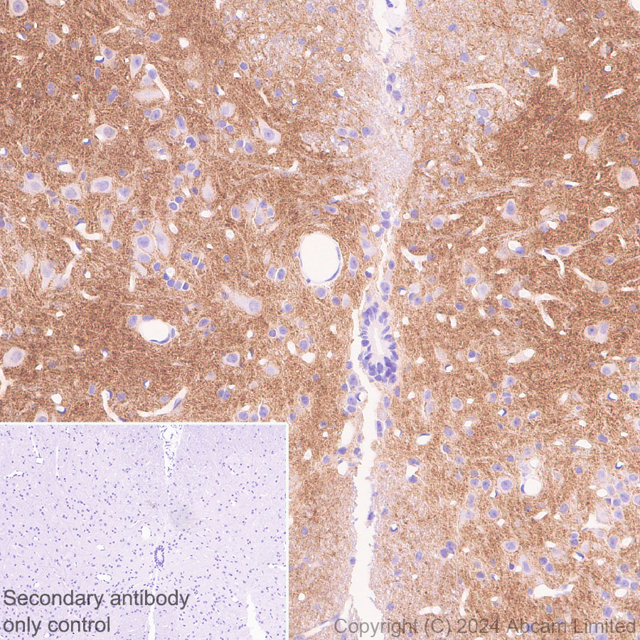
Immunohistochemical analysis of paraffin-embedded Mouse spinal cord tissue labeling PMCA2 with ab319150 at 1/1000 (0.518 ug/ml) dilution, followed by a ready to use LeicaDS9800 (Bond™ Polymer Refine Detection).

Positive staining on mouse spinal cord (PMID : 31703709).
The section was incubated with ab319150 for 30 mins at room temperature.
The immunostaining was performed on a Leica Biosystems BOND®
RX instrument
Incubate slides with 3% Hydrogen Peroxide for 10 mins at room temperature after secondary antibody incubation to reduce the background

Counterstained with Hematoxylin.

Secondary antibody only control : Secondary antibody is a ready to use LeicaDS9800 (Bond™ Polymer Refine Detection).

Heat mediated antigen retrieval was performed with Tris-EDTA buffer (pH 9.0, Epitope Retrieval Solution2) for 20 mins

Western blot - Anti-PMCA2 antibody [EPR28923-56] - BSA and Azide free (AB319151)
  • WB

Supplier Data

Western blot - Anti-PMCA2 antibody [EPR28923-56] - BSA and Azide free (AB319151)

This data was developed using ab319150, the same antibody clone in a different buffer formulation.

Blocking and diluting buffer and concentration : 5% NFDM/TBST.

Negative control : lung, testis, spleen (PMID : 1531651)

Samples are non-boiled as boiling may cause protein aggregation.

In Western blot, Anti-GAPDH antibody [EPR16891] - Loading Control (ab181602) staining at 1/200000 dilution.

All lanes:

Western blot - Anti-PMCA2 antibody [EPR28923-56] (<a href='/en-us/products/primary-antibodies/pmca2-antibody-epr28923-56-ab319150'>ab319150</a>) at 1/1000 dilution

Lane 1:

Mouse brain tissue lysate at 20 µg

Lane 2:

Mouse retina tissue lysate at 20 µg

Lane 3:

Mouse lung tissue lysate at 20 µg

Lane 4:

Mouse testis tissue lysate at 20 µg

Lane 5:

Mouse spleen tissue lysate at 20 µg

Secondary

All lanes:

Western blot - Goat Anti-Rabbit IgG H&L (HRP) (<a href='/en-us/products/secondary-antibodies/goat-rabbit-igg-h-l-hrp-ab97051'>ab97051</a>) at 1/100000 dilution

Observed band size: 150 kDa,36 kDa

false

Exposure time: 37s

  • 519 Alexa Fluor® 488

    Alexa Fluor® 488 Anti-Calcium Pump PMCA2 ATPase antibody [EPR28923-56]

  • 603 Alexa Fluor® 568

    Alexa Fluor® 568 Anti-Calcium Pump PMCA2 ATPase antibody [EPR28923-56]

  • 565 Alexa Fluor® 555

    Alexa Fluor® 555 Anti-Calcium Pump PMCA2 ATPase antibody [EPR28923-56]

  • Unconjugated

    Anti-PMCA2 antibody [EPR28923-56]

  • 665 Alexa Fluor® 647

    Alexa Fluor® 647 Anti-PMCA2 antibody [EPR28923-56]

Key facts

Host species

Rabbit

Clonality

Monoclonal

Clone number

EPR28923-56

Isotype

IgG

Carrier free

Yes

Reacts with

Mouse, Rat, Human

Applications

WB, IHC-P, ICC/IF

applications

Immunogen

The exact immunogen used to generate this antibody is proprietary information.

Specificity

Not suitable for human IHC-P and rat ICC. This antibody weakly cross-react with PMCA1, PMCA3 and PMCA4 overexpression lysates.

Reactivity data

{ "title": "Reactivity Data", "filters": { "stats": ["", "Species", "Dilution Info", "Notes"], "tabs": { "all-applications": {"fullname" : "All Applications", "shortname": "All Applications"}, "IHCP" : {"fullname" : "Immunohistochemistry (Formalin/PFA-fixed paraffin-embedded sections)", "shortname":"IHC-P"}, "WB" : {"fullname" : "Western blot", "shortname":"WB"}, "ICCIF" : {"fullname" : "Immunocytochemistry/ Immunofluorescence", "shortname":"ICC/IF"}, "IP" : {"fullname" : "Immunoprecipitation", "shortname":"IP"} }, "product-promise": { "all": "all", "testedAndGuaranteed": "tested", "guaranteed": "expected", "predicted": "predicted", "notRecommended": "not-recommended" } }, "values": { "Human": { "IHCP-species-checked": "notRecommended", "IHCP-species-dilution-info": "", "IHCP-species-notes": "<p></p>", "WB-species-checked": "testedAndGuaranteed", "WB-species-dilution-info": "", "WB-species-notes": "<p></p>", "ICCIF-species-checked": "guaranteed", "ICCIF-species-dilution-info": "", "ICCIF-species-notes": "", "IP-species-checked": "notRecommended", "IP-species-dilution-info": "", "IP-species-notes": "" }, "Mouse": { "IHCP-species-checked": "testedAndGuaranteed", "IHCP-species-dilution-info": "", "IHCP-species-notes": "<p></p> Perform heat-mediated antigen retrieval with Tris/EDTA buffer pH 9.0 before commencing with IHC staining protocol.", "WB-species-checked": "testedAndGuaranteed", "WB-species-dilution-info": "", "WB-species-notes": "<p></p>", "ICCIF-species-checked": "testedAndGuaranteed", "ICCIF-species-dilution-info": "", "ICCIF-species-notes": "<p></p>", "IP-species-checked": "notRecommended", "IP-species-dilution-info": "", "IP-species-notes": "<p></p>" }, "Rat": { "IHCP-species-checked": "testedAndGuaranteed", "IHCP-species-dilution-info": "", "IHCP-species-notes": "<p></p> Perform heat-mediated antigen retrieval with Tris/EDTA buffer pH 9.0 before commencing with IHC staining protocol.", "WB-species-checked": "testedAndGuaranteed", "WB-species-dilution-info": "", "WB-species-notes": "<p></p>", "ICCIF-species-checked": "notRecommended", "ICCIF-species-dilution-info": "", "ICCIF-species-notes": "<p></p>", "IP-species-checked": "notRecommended", "IP-species-dilution-info": "", "IP-species-notes": "<p></p>" } } }

Product details

ab319151 is the carrier-free version of ab319150.

Patented technology
Our RabMAb® technology is a patented hybridoma-based technology for making rabbit monoclonal antibodies. For details on our patents, please refer to RabMAb® patents.

What are the advantages of a recombinant monoclonal antibody?
This product is a recombinant monoclonal antibody, which offers several advantages including:

  • - High batch-to-batch consistency and reproducibility
  • - Improved sensitivity and specificity
  • - Long-term security of supply
  • - Animal-free batch production

For more information, read more on recombinant antibodies.

Conjugation ready
Our carrier-free antibodies are typically supplied in a PBS-only formulation, purified and free of BSA, sodium azide and glycerol. This conjugation-ready format is designed for use with fluorochromes, metal isotopes, oligonucleotides, and enzymes, which makes them ideal for antibody labelling, functional and cell-based assays, flow-based assays (e.g. mass cytometry) and Multiplex Imaging applications.

Use our conjugation kits for antibody conjugates that are ready-to-use in as little as 20 minutes with 1 minute hands-on-time and 100% antibody recovery: available for fluorescent dyes, HRP, biotin and gold.

Compatibility
This product is compatible with the Maxpar® Antibody Labeling Kit from Fluidigm, without the need for antibody preparation. Maxpar® is a trademark of Fluidigm Canada Inc.

Properties and storage information

Form
Liquid
Purification technique
Affinity purification Protein A
Storage buffer
pH: 7.2 - 7.4 Constituents: PBS
Shipped at conditions
Blue Ice
Appropriate short-term storage conditions
+4°C
Appropriate long-term storage conditions
+4°C

Supplementary information

This supplementary information is collated from multiple sources and compiled automatically.

The Calcium Pump PMCA2 ATPase also known as PMCA2 or Ca-ATPase pump plays an important role in the active transport of calcium ions from the cytoplasm across the plasma membrane. It functions by hydrolyzing ATP to provide the energy needed for this process. PMCA2 belongs to the family of P-type ATPases and has a molecular mass of approximately 135 kDa. This pump is prominently expressed in the brain and inner ear particularly in the cerebellum and cochlea highlighting its importance in neuronal and auditory functions.
Biological function summary

PMCA2 regulates intracellular calcium concentration which is critical for cellular signaling and homeostasis. It does not form part of a larger complex but works independently to balance calcium levels. In neuronal cells efficient calcium clearance is necessary for synaptic activity and PMCA2 helps in maintaining the rapid calcium ion flux during neuronal firing. The presence of PMCA2 in auditory hair cells signifies its role in cochlear function and hearing sensitivity by aiding the processing of sound signals through calcium modulation.

Pathways

PMCA2 integrates into calcium signaling pathways and interacts with calmodulin which enhances its activity. Its function in the calmodulin-calcium signaling pathway is essential for processes such as neurotransmitter release and muscle contraction. In association with proteins like calmodulin PMCA2 ensures precise calcium dynamics safeguarding against cytotoxicity triggered by excessive calcium accumulation. The coordination with calmodulin formulates a pivotal connection within various signaling cascades.

PMCA2 mutations or dysfunctions have associations with neurological disorders and hearing impairments. Research links PMCA2 dysregulation to conditions such as spinocerebellar ataxia and hereditary hearing loss. In these scenarios PMCA2 interacts with molecular components that when impaired disrupt the normal calcium homeostasis. Such interruptions can lead to neurodegeneration or compromised auditory function underlining the significance of PMCA2 in maintaining health and preventing disease.

Product protocols

For this product, it's our understanding that no specific protocols are required. You can visit:

Target data

ATP-driven Ca(2+) ion pump involved in the maintenance of basal intracellular Ca(2+) levels in specialized cells of cerebellar circuit and vestibular and cochlear systems (PubMed : 17234811, PubMed : 9668038). Uses ATP as an energy source to transport cytosolic Ca(2+) ions across the plasma membrane to the extracellular compartment. Has fast activation and Ca(2+) clearance rate suited to control fast neuronal Ca(2+) dynamics (PubMed : 17409239, PubMed : 20083513). At parallel fiber to Purkinje neuron synapse, mediates presynaptic Ca(2+) efflux in response to climbing fiber-induced Ca(2+) rise. Provides for fast return of Ca(2+) concentrations back to their resting levels, ultimately contributing to long-term depression induction and motor learning (PubMed : 17409239, PubMed : 20083513). Plays an essential role in hearing and balance. In cochlear hair cells, shuttles Ca(2+) ions from stereocilia to the endolymph and dissipates Ca(2+) transients generated by the opening of the mechanoelectrical transduction channels. Regulates Ca(2+) levels in the vestibular system, where it contributes to the formation of otoconia (By similarity) (PubMed : 9668038). Regulates Ca(2+) signaling through dissipation of Ca(2+) transients generated by store-operated channels (By similarity). In lactating mammary gland, allows for the high content of Ca(2+) ions in the milk (PubMed : 15302868).
See full target information Atp2b2

Product promise

We are committed to supporting your work with high-quality reagents, and we're here for you every step of the way. In the unlikely event that one of our products does not perform as expected, you're protected by our Product Promise.
For full details, please see our Terms & Conditions

Please note: All products are 'FOR RESEARCH USE ONLY. NOT FOR USE IN DIAGNOSTIC OR THERAPEUTIC PROCEDURES'.

For licensing inquiries, please contact partnerships@abcam.com