JavaScript is disabled in your browser. Please enable JavaScript to view this website.
AB245337

Anti-PML Protein antibody

Be the first to review this product! Submit a review

|

(0 Publication)

Rabbit Polyclonal PML Protein antibody. Suitable for IHC-P, IP, WB and reacts with Human samples. Immunogen corresponding to Synthetic Peptide within Human PML aa 550-650.

View Alternative Names

MYL, PP8675, RNF71, TRIM19, PML, Protein PML, E3 SUMO-protein ligase PML, Promyelocytic leukemia protein, RING finger protein 71, RING-type E3 SUMO transferase PML, Tripartite motif-containing protein 19

3 Images
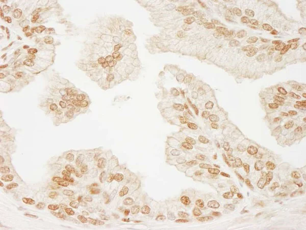
Immunohistochemistry (Formalin/PFA-fixed paraffin-embedded sections) - Anti-PML Protein antibody (AB245337)
  • IHC-P

Supplier Data

Immunohistochemistry (Formalin/PFA-fixed paraffin-embedded sections) - Anti-PML Protein antibody (AB245337)

Formalin-fixed, paraffin-embedded human prostate carcinoma tissue stained for PML Protein using ab245337 at 1/200 dilution in immunohistochemical analysis. Detection : DAB staining.

Immunoprecipitation - Anti-PML Protein antibody (AB245337)
  • IP

Supplier Data

Immunoprecipitation - Anti-PML Protein antibody (AB245337)

PML Protein was immunoprecipitated from HeLa (human epithelial cell line from cervix adenocarcinoma) whole cell lysate (1 mg for IP, 20% of IP loaded) with ab245337 at 3 μg/mg lysate. Western blot was performed from the immunoprecipitate using ab245337 at 1 μg/ml.

Lane 1 : ab245337 IP in HeLa whole cell lysate.
Lane 2 : Control IgG IP in HeLa whole cell lysate.

Detection : Chemiluminescence with exposure time of 10 seconds.

All lanes:

Immunoprecipitation - Anti-PML Protein antibody (ab245337)

Predicted band size: 98 kDa

false

Western blot - Anti-PML Protein antibody (AB245337)
  • WB

Supplier Data

Western blot - Anti-PML Protein antibody (AB245337)

All lanes:

Western blot - Anti-PML Protein antibody (ab245337) at 0.04 µg

Lane 1:

HeLa (human epithelial cell line from cervix adenocarcinoma) whole cell lysate at 50 µg

Lane 2:

HeLa whole cell lysate at 15 µg

Lane 3:

HeLa whole cell lysate at 5 µg

Predicted band size: 98 kDa

false

Exposure time: 3min

Key facts

Host species

Rabbit

Clonality

Polyclonal

Isotype

IgG

Carrier free

No

Reacts with

Human

Applications

IHC-P, WB, IP

applications

Immunogen

Synthetic Peptide within Human PML aa 550-650. The exact immunogen used to generate this antibody is proprietary information.

P29590

Reactivity data

{ "title": "Reactivity Data", "filters": { "stats": ["", "Species", "Dilution Info", "Notes"], "tabs": { "all-applications": {"fullname" : "All Applications", "shortname": "All Applications"}, "IHCP" : {"fullname" : "Immunohistochemistry (Formalin/PFA-fixed paraffin-embedded sections)", "shortname":"IHC-P"}, "IP" : {"fullname" : "Immunoprecipitation", "shortname":"IP"}, "WB" : {"fullname" : "Western blot", "shortname":"WB"} }, "product-promise": { "all": "all", "testedAndGuaranteed": "tested", "guaranteed": "expected", "predicted": "predicted", "notRecommended": "not-recommended" } }, "values": { "Human": { "IHCP-species-checked": "testedAndGuaranteed", "IHCP-species-dilution-info": "1/200 - 1/1000", "IHCP-species-notes": "<p></p> Perform heat-mediated antigen retrieval with citrate buffer pH 6 before commencing with IHC staining protocol.", "IP-species-checked": "testedAndGuaranteed", "IP-species-dilution-info": "2-5 µg/mg of lysate", "IP-species-notes": "<p></p>", "WB-species-checked": "testedAndGuaranteed", "WB-species-dilution-info": "1/2000 - 1/10000", "WB-species-notes": "<p></p>" } } }

Properties and storage information

Form
Liquid
Purification technique
Affinity purification Immunogen
Purification notes
ab245337 was affinity purified using an epitope specific to PML Protein immobilized on solid support.
Storage buffer
pH: 6.8 - 7.4 Preservative: 0.09% Sodium azide Constituents: Tris buffered saline, 0.1% BSA
Shipped at conditions
Blue Ice
Appropriate short-term storage duration
1-2 weeks
Appropriate short-term storage conditions
+4°C
Appropriate long-term storage conditions
+4°C
Aliquoting information
Upon delivery aliquot
Storage information
Avoid freeze / thaw cycle

Supplementary information

This supplementary information is collated from multiple sources and compiled automatically.

The PML protein also known as promyelocytic leukemia protein has a mass of about 97 kilodaltons. PML is typically expressed in the nucleus in distinct structures called nuclear bodies. These nuclear bodies often referred to as PML-nuclear bodies or PML-NBs serve several functions within the cell. The PML protein is commonly identified in tissues such as the bone marrow and blood cells where it plays a significant role in various cellular processes. Numerous antibodies including anti-PML are used to study the distribution and function of PML protein in different cellular contexts.
Biological function summary

The PML protein interacts with various molecular partners and forms a part of multiprotein complexes within the PML-nuclear bodies. Its functions include the regulation of transcription induction of apoptosis DNA damage response and control of cell proliferation. PML can recruit other proteins such as p53 a tumor suppressor protein to influence these cellular activities. PML's ability to act as a scaffold within these complexes makes it essential for maintaining cellular homeostasis and response to stress. Various techniques such as PML protein ELISA are used to analyze PML-related biological activities.

Pathways

The PML protein plays a significant role in critical cellular pathways such as apoptosis and the interferon response pathway. PML's interaction with the p53 protein links it to the apoptosis pathway where it acts as an inducer of cell death in response to cellular stress and damage. In the interferon response pathway PML contributes to antiviral defense mechanisms. The involvement of PML in these pathways emphasizes its importance in cellular defense and programmed cell death. Related proteins like STATs (signal transducers and activators of transcription) are known to interact with PML in these pathways.

Abnormalities in PML protein expression and function are linked to specific diseases including acute promyelocytic leukemia (APL) and certain types of cancer. Acute promyelocytic leukemia is characterized by a translocation involving the PML gene resulting in the PML-RARα fusion protein which interferes with normal cell differentiation. PML also relates to neurodegenerative disorders where changes in PML expression impact cellular stress responses. In the context of these diseases the PML protein's interaction with oncogenic proteins like RARα in leukemia highlights its role in disease development and potential as a therapeutic target.

Product protocols

For this product, it's our understanding that no specific protocols are required. You can visit:

Target data

Functions via its association with PML-nuclear bodies (PML-NBs) in a wide range of important cellular processes, including tumor suppression, transcriptional regulation, apoptosis, senescence, DNA damage response, and viral defense mechanisms. Acts as the scaffold of PML-NBs allowing other proteins to shuttle in and out, a process which is regulated by SUMO-mediated modifications and interactions. Inhibits EIF4E-mediated mRNA nuclear export by reducing EIF4E affinity for the 5' 7-methylguanosine (m7G) cap of target mRNAs (PubMed : 11500381, PubMed : 11575918, PubMed : 18391071). Isoform PML-4 has a multifaceted role in the regulation of apoptosis and growth suppression : activates RB1 and inhibits AKT1 via interactions with PP1 and PP2A phosphatases respectively, negatively affects the PI3K pathway by inhibiting MTOR and activating PTEN, and positively regulates p53/TP53 by acting at different levels (by promoting its acetylation and phosphorylation and by inhibiting its MDM2-dependent degradation). Isoform PML-4 also : acts as a transcriptional repressor of TBX2 during cellular senescence and the repression is dependent on a functional RBL2/E2F4 repressor complex, regulates double-strand break repair in gamma-irradiation-induced DNA damage responses via its interaction with WRN, acts as a negative regulator of telomerase by interacting with TERT, and regulates PER2 nuclear localization and circadian function. Isoform PML-6 inhibits specifically the activity of the tetrameric form of PKM. The nuclear isoforms (isoform PML-1, isoform PML-2, isoform PML-3, isoform PML-4 and isoform PML-5) in concert with SATB1 are involved in local chromatin-loop remodeling and gene expression regulation at the MHC-I locus. Isoform PML-2 is required for efficient IFN-gamma induced MHC II gene transcription via regulation of CIITA. Cytoplasmic PML is involved in the regulation of the TGF-beta signaling pathway. PML also regulates transcription activity of ELF4 and can act as an important mediator for TNF-alpha- and IFN-alpha-mediated inhibition of endothelial cell network formation and migration.. Exhibits antiviral activity against both DNA and RNA viruses. The antiviral activity can involve one or several isoform(s) and can be enhanced by the permanent PML-NB-associated protein DAXX or by the recruitment of p53/TP53 within these structures. Isoform PML-4 restricts varicella zoster virus (VZV) via sequestration of virion capsids in PML-NBs thereby preventing their nuclear egress and inhibiting formation of infectious virus particles. The sumoylated isoform PML-4 restricts rabies virus by inhibiting viral mRNA and protein synthesis. The cytoplasmic isoform PML-14 can restrict herpes simplex virus-1 (HHV-1) replication by sequestering the viral E3 ubiquitin-protein ligase ICP0 in the cytoplasm. Isoform PML-6 shows restriction activity towards human cytomegalovirus (HHV-5) and influenza A virus strains PR8(H1N1) and ST364(H3N2). Sumoylated isoform PML-4 and isoform PML-12 show antiviral activity against encephalomyocarditis virus (EMCV) by promoting nuclear sequestration of viral polymerase (P3D-POL) within PML NBs. Isoform PML-3 exhibits antiviral activity against poliovirus by inducing apoptosis in infected cells through the recruitment and the activation of p53/TP53 in the PML-NBs. Isoform PML-3 represses human foamy virus (HFV) transcription by complexing the HFV transactivator, bel1/tas, preventing its binding to viral DNA. PML may positively regulate infectious hepatitis C viral (HCV) production and isoform PML-2 may enhance adenovirus transcription. Functions as an E3 SUMO-protein ligase that sumoylates (HHV-5) immediate early protein IE1, thereby participating in the antiviral response (PubMed : 20972456, PubMed : 28250117). Isoforms PML-3 and PML-6 display the highest levels of sumoylation activity (PubMed : 20972456, PubMed : 28250117).
See full target information PML

Product promise

We are committed to supporting your work with high-quality reagents, and we're here for you every step of the way. In the unlikely event that one of our products does not perform as expected, you're protected by our Product Promise.
For full details, please see our Terms & Conditions

Please note: All products are 'FOR RESEARCH USE ONLY. NOT FOR USE IN DIAGNOSTIC OR THERAPEUTIC PROCEDURES'.

For licensing inquiries, please contact partnerships@abcam.com