JavaScript is disabled in your browser. Please enable JavaScript to view this website.
AB240213

Anti-PML Protein antibody [EPR16792] - BSA and Azide free

Be the first to review this product! Submit a review

|

(1 Publication)

Rabbit Recombinant Monoclonal PML Protein antibody. Carrier free. Suitable for IP, WB, ICC/IF, IHC-P and reacts with Human samples. Cited in 1 publication.

View Alternative Names

MYL, PP8675, RNF71, TRIM19, PML, Protein PML, E3 SUMO-protein ligase PML, Promyelocytic leukemia protein, RING finger protein 71, RING-type E3 SUMO transferase PML, Tripartite motif-containing protein 19

7 Images
Immunocytochemistry/ Immunofluorescence - Anti-PML Protein antibody [EPR16792] - BSA and Azide free (AB240213)
  • ICC/IF

Supplier Data

Immunocytochemistry/ Immunofluorescence - Anti-PML Protein antibody [EPR16792] - BSA and Azide free (AB240213)

Immunofluorescent analysis of 4% paraformaldehyde-fixed, 0.1% Triton X-100 permeabilized K562 (Human chronic myelogenous leukemia cells from bone marrow) cells labeling PML Protein with ab179466 at 1/500 dilution, followed by Goat anti-rabbit IgG (Alexa Fluor® 488) (ab150077) secondary antibody at 1/400 dilution (green). Cytoplasm and nuclear staining on K562 cell line is observed. The nuclear counterstain is DAPI (blue). Tubulin is detected with ab7291 (anti-Tubulin mouse mAb) at 1/500 dilution and ab150120 (AlexaFluor®594 Goat anti-Mouse secondary) at 1/500 dilution (red).

The negative controls are as follows : -
-ve control 1 -  ab179466 at 1/500 dilution followed by ab150120 (AlexaFluor®594 Goat anti-Mouse secondary) at 1/500 dilution.
-ve control 2. - ab7291 (anti-Tubulin mouse mAb) at 1/500 dilution followed by ab150077 (Alexa Fluor®488 Goat Anti-Rabbit IgG H&L) at 1/400 dilution.

This data was developed using the same antibody clone in a different buffer formulation containing PBS, BSA, glycerol, and sodium azide (ab179466).

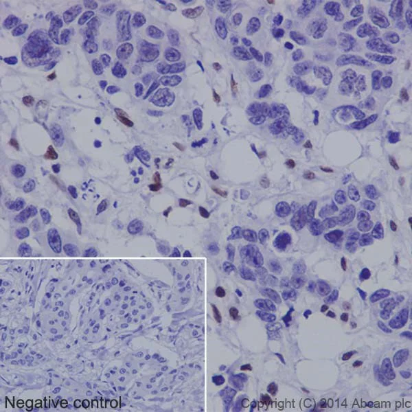
Immunohistochemistry (Formalin/PFA-fixed paraffin-embedded sections) - Anti-PML Protein antibody [EPR16792] - BSA and Azide free (AB240213)
  • IHC-P

Supplier Data

Immunohistochemistry (Formalin/PFA-fixed paraffin-embedded sections) - Anti-PML Protein antibody [EPR16792] - BSA and Azide free (AB240213)

Immunohistochemical analysis of paraffin-embedded Human mammary gland tissue labeling PML Protein with ab179466 at 1/2000 dilution followed by prediluted HRP Polymer for Rabbit/Mouse IgG. Nucleus staining on epithelial cells of Human mammary gland tissue is observed. Counter stained with Hematoxylin.

Negative control : Used PBS instead of primary ab, secondary ab is prediluted HRP Polymer for Rabbit/Mouse IgG.

This data was developed using the same antibody clone in a different buffer formulation containing PBS, BSA, glycerol, and sodium azide (ab179466).

Heat mediated antigen retrieval was performed with Tris/EDTA buffer pH 9.0 before commencing with IHC staining protocol.

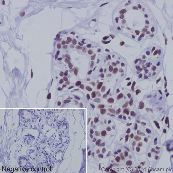
Immunohistochemistry (Formalin/PFA-fixed paraffin-embedded sections) - Anti-PML Protein antibody [EPR16792] - BSA and Azide free (AB240213)
  • IHC-P

Supplier Data

Immunohistochemistry (Formalin/PFA-fixed paraffin-embedded sections) - Anti-PML Protein antibody [EPR16792] - BSA and Azide free (AB240213)

Immunohistochemical analysis of paraffin-embedded Human breast carcinoma tissue labeling PML Protein with ab179466 at 1/2000 dilution followed by prediluted HRP Polymer for Rabbit/Mouse IgG. Counter stained with Hematoxylin. The breast cancer cells lost expression.

Reference : Gurrieri C et al. Loss of the Tumor Suppressor PML in Human Cancers of Multiple Histologic Origins. J Natl Cancer Inst 96 : 269 –279 (2004).

Negative control : Used PBS instead of primary ab, secondary ab is prediluted HRP Polymer for Rabbit/Mouse IgG.

This data was developed using the same antibody clone in a different buffer formulation containing PBS, BSA, glycerol, and sodium azide (ab179466).

Heat mediated antigen retrieval was performed with Tris/EDTA buffer pH 9.0 before commencing with IHC staining protocol.

Western blot - Anti-PML Protein antibody [EPR16792] - BSA and Azide free (AB240213)
  • WB

Lab

Western blot - Anti-PML Protein antibody [EPR16792] - BSA and Azide free (AB240213)

This data was developed using the same antibody clone in a different buffer formulation (ab179466).

Lanes 1-3 : Merged signal (red and green). Green - ab179466 observed at 50-110 kDa. Red - loading control, ab8245 observed at 37 kDa.

ab179466 Anti-PML Protein antibody [EPR16792] was shown to specifically react with PML Protein in wild-type HeLa cells. Loss of signal was observed when knockout cell line ab261811 (knockout cell lysate ab257081) was used. Wild-type and PML Protein knockout samples were subjected to SDS-PAGE. ab179466 and Anti-GAPDH antibody [6C5] - Loading Control (ab8245) were incubated overnight at 4°C at 1 in 1000 dilution and 1 in 20000 dilution respectively. Blots were developed with Goat anti-Rabbit IgG H&L (IRDye® 800CW) preadsorbed (ab216773) and Goat anti-Mouse IgG H&L (IRDye® 680RD) preadsorbed (ab216776) secondary antibodies at 1 in 10000 dilution for 1 hour at room temperature before imaging.

All lanes:

Western blot - Anti-PML Protein antibody [EPR16792] (<a href='/en-us/products/primary-antibodies/pml-protein-antibody-epr16792-ab179466'>ab179466</a>) at 1/1000 dilution

Lane 1:

Wild-type HeLa cell lysate at 20 µg

Lane 2:

PML knockout HeLa cell lysate at 20 µg

Lane 2:

Western blot - Human PML (PML Protein) knockout HeLa cell line (<a href='/en-us/products/cell-lines/human-pml-pml-protein-knockout-hela-cell-line-ab261811'>ab261811</a>)

Lane 3:

293T cell lysate at 20 µg

Predicted band size: 98 kDa

Observed band size: 110 kDa

false

Western blot - Anti-PML Protein antibody [EPR16792] - BSA and Azide free (AB240213)
  • WB

Lab

Western blot - Anti-PML Protein antibody [EPR16792] - BSA and Azide free (AB240213)

Lanes 1 - 4 : Merged signal (red and green). Green - ab179466 observed at 50-110 kDa. Red - loading control, ab8245, observed at 37 kDa.

ab179466 was shown to recognize in wild-type HAP1 cells as signal was lost at the expected MW in PML knockout cells. Additional cross-reactive bands were observed in the wild-type and knockout cells. Wild-type and PML knockout samples were subjected to SDS-PAGE. ab179466 and ab8245 (Mouse anti GAPDH loading control) were incubated overnight at 4°C at 1/1000 dilution and 1/20000 dilution respectively. Blots were developed with Goat anti-Rabbit IgG H&L (IRDye® 800CW) preabsorbed ab216773 and Goat anti-Mouse IgG H&L (IRDye® 680RD) preabsorbed ab216776 secondary antibodies at 1/20000 dilution for 1 hour at room temperature before imaging.

This data was developed using the same antibody clone in a different buffer formulation containing PBS, BSA, glycerol, and sodium azide (ab179466).

All lanes:

Western blot - Anti-PML Protein antibody [EPR16792] (<a href='/en-us/products/primary-antibodies/pml-protein-antibody-epr16792-ab179466'>ab179466</a>) at 1/1000 dilution

Lane 1:

Wild-type HAP1 whole cell lysate at 20 µg

Lane 2:

PML knockout HAP1 whole cell lysate at 20 µg

Lane 3:

HeLa whole cell lysate at 20 µg

Lane 4:

HEK293 whole cell lysate at 20 µg

Predicted band size: 98 kDa

Observed band size: 50-110 kDa

false

Immunoprecipitation - Anti-PML Protein antibody [EPR16792] - BSA and Azide free (AB240213)
  • IP

Supplier Data

Immunoprecipitation - Anti-PML Protein antibody [EPR16792] - BSA and Azide free (AB240213)

PML Protein was immunoprecipitated from 1mg of K562 (Human chronic myelogenous leukemia cells from bone marrow) whole cell extract with ab179466 at 1/70 diltuion. Western blot was performed from the immunoprecipitate using ab179466 at 1/1000 dilution. Anti-Rabbit IgG (HRP), specific to the non-reduced form of IgG, was used as secondary antibody at 1/1500 dilution. Lane 1 : K562 whole cell extract. Lane 2 : PBS instead of K562 whole cell extract.

Blocking and dilution buffer and concentration : 5% NFDM/TBST.

ab179466 recognizes 12 isoforms shown as multiple bands ranging from 50 kDa to 110 kDa.

This data was developed using the same antibody clone in a different buffer formulation containing PBS, BSA, glycerol, and sodium azide (ab179466).

All lanes:

Immunoprecipitation - Anti-PML Protein antibody [EPR16792] (<a href='/en-us/products/primary-antibodies/pml-protein-antibody-epr16792-ab179466'>ab179466</a>)

Predicted band size: 98 kDa

Observed band size: 50-110 kDa

false

Western blot - Anti-PML Protein antibody [EPR16792] - BSA and Azide free (AB240213)
  • WB

Lab

Western blot - Anti-PML Protein antibody [EPR16792] - BSA and Azide free (AB240213)

This data was developed using the same antibody clone in a different buffer formulation (ab179466).

Lanes 1 - 2 : Merged signal (red and green). Green - ab179466 observed at 110 kDa. Red - loading control ab7291 (Mouse anti-Alpha Tubulin [DM1A]) observed at 55kDa.

ab179466 was shown to react with PML in A549 wild-type cells in western blot with loss of signal observed in PML knockout cell line ab266980 (PML knockout cell lysate ab257082). Wild-type and PML knockout A549 cell lysates were subjected to SDS-PAGE. Membranes were blocked in 3% Milk before incubation with ab179466 and ab7291 (Mouse anti-Alpha Tubulin [DM1A]) overnight at 4 °C at a 1 in 1000 dilution and a 1 in 20000 dilution respectively. Blots were incubated with Goat anti-Rabbit IgG H&L (IRDye® 800CW) preabsorbed (ab216773) and Goat anti-Mouse IgG H&L (IRDye® 680RD) preabsorbed (ab216776) secondary antibodies at 1 in 20000 dilution for 1 h at room temperature before imaging.

All lanes:

Western blot - Anti-PML Protein antibody [EPR16792] (<a href='/en-us/products/primary-antibodies/pml-protein-antibody-epr16792-ab179466'>ab179466</a>) at 1/1000 dilution

Lane 1:

Wild-type A549 cell lysate at 20 µg

Lane 2:

PML knockout A549 cell lysate at 20 µg

Lane 2:

Western blot - Human PML (PML Protein) knockout A549 cell line (<a href='/en-us/products/cell-lines/human-pml-pml-protein-knockout-a549-cell-line-ab266980'>ab266980</a>)

Secondary

All lanes:

Goat anti-Rabbit IgG H&L (IRDye® 800CW) preabsorbed (<a href='/en-us/products/secondary-antibodies/goat-rabbit-igg-h-l-irdye-800cw-preadsorbed-ab216773'>ab216773</a>) and Goat anti-Mouse IgG H&L (IRDye® 680RD) preabsorbed (<a href='/en-us/products/secondary-antibodies/goat-mouse-igg-h-l-irdye-680rd-preadsorbed-ab216776'>ab216776</a>) at 1/20000 dilution

Predicted band size: 98 kDa

Observed band size: 110 kDa

false

Key facts

Host species

Rabbit

Clonality

Monoclonal

Clone number

EPR16792

Isotype

IgG

Carrier free

Yes

Reacts with

Human

Applications

WB, IHC-P, IP, ICC/IF

applications

Immunogen

The exact immunogen used to generate this antibody is proprietary information.

Reactivity data

{ "title": "Reactivity Data", "filters": { "stats": ["", "Species", "Dilution Info", "Notes"], "tabs": { "all-applications": {"fullname" : "All Applications", "shortname": "All Applications"}, "IP" : {"fullname" : "Immunoprecipitation", "shortname":"IP"}, "WB" : {"fullname" : "Western blot", "shortname":"WB"}, "ICCIF" : {"fullname" : "Immunocytochemistry/ Immunofluorescence", "shortname":"ICC/IF"}, "IHCP" : {"fullname" : "Immunohistochemistry (Formalin/PFA-fixed paraffin-embedded sections)", "shortname":"IHC-P"} }, "product-promise": { "all": "all", "testedAndGuaranteed": "tested", "guaranteed": "expected", "predicted": "predicted", "notRecommended": "not-recommended" } }, "values": { "Human": { "IP-species-checked": "testedAndGuaranteed", "IP-species-dilution-info": "", "IP-species-notes": "<p></p>", "WB-species-checked": "testedAndGuaranteed", "WB-species-dilution-info": "", "WB-species-notes": "<p></p>", "ICCIF-species-checked": "testedAndGuaranteed", "ICCIF-species-dilution-info": "", "ICCIF-species-notes": "<p></p>", "IHCP-species-checked": "testedAndGuaranteed", "IHCP-species-dilution-info": "", "IHCP-species-notes": "<p></p>" } } }

Product details

ab240213 is the carrier-free version of ab179466.

Patented technology
Our RabMAb® technology is a patented hybridoma-based technology for making rabbit monoclonal antibodies. For details on our patents, please refer to RabMAb® patents.

What are the advantages of a recombinant monoclonal antibody?
This product is a recombinant monoclonal antibody, which offers several advantages including:

  • - High batch-to-batch consistency and reproducibility
  • - Improved sensitivity and specificity
  • - Long-term security of supply
  • - Animal-free batch production

For more information, read more on recombinant antibodies.

Conjugation ready
Our carrier-free antibodies are typically supplied in a PBS-only formulation, purified and free of BSA, sodium azide and glycerol. This conjugation-ready format is designed for use with fluorochromes, metal isotopes, oligonucleotides, and enzymes, which makes them ideal for antibody labelling, functional and cell-based assays, flow-based assays (e.g. mass cytometry) and Multiplex Imaging applications.

Use our conjugation kits for antibody conjugates that are ready-to-use in as little as 20 minutes with 1 minute hands-on-time and 100% antibody recovery: available for fluorescent dyes, HRP, biotin and gold.

Compatibility
This product is compatible with the Maxpar® Antibody Labeling Kit from Fluidigm, without the need for antibody preparation. Maxpar® is a trademark of Fluidigm Canada Inc.

Properties and storage information

Form
Liquid
Purification technique
Affinity purification Protein A
Storage buffer
pH: 7.2 - 7.4 Constituents: PBS
Shipped at conditions
Blue Ice
Appropriate short-term storage conditions
+4°C
Appropriate long-term storage conditions
+4°C
Storage information
Do Not Freeze

Supplementary information

This supplementary information is collated from multiple sources and compiled automatically.

The PML protein also known as promyelocytic leukemia protein has a mass of about 97 kilodaltons. PML is typically expressed in the nucleus in distinct structures called nuclear bodies. These nuclear bodies often referred to as PML-nuclear bodies or PML-NBs serve several functions within the cell. The PML protein is commonly identified in tissues such as the bone marrow and blood cells where it plays a significant role in various cellular processes. Numerous antibodies including anti-PML are used to study the distribution and function of PML protein in different cellular contexts.
Biological function summary

The PML protein interacts with various molecular partners and forms a part of multiprotein complexes within the PML-nuclear bodies. Its functions include the regulation of transcription induction of apoptosis DNA damage response and control of cell proliferation. PML can recruit other proteins such as p53 a tumor suppressor protein to influence these cellular activities. PML's ability to act as a scaffold within these complexes makes it essential for maintaining cellular homeostasis and response to stress. Various techniques such as PML protein ELISA are used to analyze PML-related biological activities.

Pathways

The PML protein plays a significant role in critical cellular pathways such as apoptosis and the interferon response pathway. PML's interaction with the p53 protein links it to the apoptosis pathway where it acts as an inducer of cell death in response to cellular stress and damage. In the interferon response pathway PML contributes to antiviral defense mechanisms. The involvement of PML in these pathways emphasizes its importance in cellular defense and programmed cell death. Related proteins like STATs (signal transducers and activators of transcription) are known to interact with PML in these pathways.

Abnormalities in PML protein expression and function are linked to specific diseases including acute promyelocytic leukemia (APL) and certain types of cancer. Acute promyelocytic leukemia is characterized by a translocation involving the PML gene resulting in the PML-RARα fusion protein which interferes with normal cell differentiation. PML also relates to neurodegenerative disorders where changes in PML expression impact cellular stress responses. In the context of these diseases the PML protein's interaction with oncogenic proteins like RARα in leukemia highlights its role in disease development and potential as a therapeutic target.

Product protocols

For this product, it's our understanding that no specific protocols are required. You can visit:

Target data

Functions via its association with PML-nuclear bodies (PML-NBs) in a wide range of important cellular processes, including tumor suppression, transcriptional regulation, apoptosis, senescence, DNA damage response, and viral defense mechanisms. Acts as the scaffold of PML-NBs allowing other proteins to shuttle in and out, a process which is regulated by SUMO-mediated modifications and interactions. Inhibits EIF4E-mediated mRNA nuclear export by reducing EIF4E affinity for the 5' 7-methylguanosine (m7G) cap of target mRNAs (PubMed : 11500381, PubMed : 11575918, PubMed : 18391071). Isoform PML-4 has a multifaceted role in the regulation of apoptosis and growth suppression : activates RB1 and inhibits AKT1 via interactions with PP1 and PP2A phosphatases respectively, negatively affects the PI3K pathway by inhibiting MTOR and activating PTEN, and positively regulates p53/TP53 by acting at different levels (by promoting its acetylation and phosphorylation and by inhibiting its MDM2-dependent degradation). Isoform PML-4 also : acts as a transcriptional repressor of TBX2 during cellular senescence and the repression is dependent on a functional RBL2/E2F4 repressor complex, regulates double-strand break repair in gamma-irradiation-induced DNA damage responses via its interaction with WRN, acts as a negative regulator of telomerase by interacting with TERT, and regulates PER2 nuclear localization and circadian function. Isoform PML-6 inhibits specifically the activity of the tetrameric form of PKM. The nuclear isoforms (isoform PML-1, isoform PML-2, isoform PML-3, isoform PML-4 and isoform PML-5) in concert with SATB1 are involved in local chromatin-loop remodeling and gene expression regulation at the MHC-I locus. Isoform PML-2 is required for efficient IFN-gamma induced MHC II gene transcription via regulation of CIITA. Cytoplasmic PML is involved in the regulation of the TGF-beta signaling pathway. PML also regulates transcription activity of ELF4 and can act as an important mediator for TNF-alpha- and IFN-alpha-mediated inhibition of endothelial cell network formation and migration.. Exhibits antiviral activity against both DNA and RNA viruses. The antiviral activity can involve one or several isoform(s) and can be enhanced by the permanent PML-NB-associated protein DAXX or by the recruitment of p53/TP53 within these structures. Isoform PML-4 restricts varicella zoster virus (VZV) via sequestration of virion capsids in PML-NBs thereby preventing their nuclear egress and inhibiting formation of infectious virus particles. The sumoylated isoform PML-4 restricts rabies virus by inhibiting viral mRNA and protein synthesis. The cytoplasmic isoform PML-14 can restrict herpes simplex virus-1 (HHV-1) replication by sequestering the viral E3 ubiquitin-protein ligase ICP0 in the cytoplasm. Isoform PML-6 shows restriction activity towards human cytomegalovirus (HHV-5) and influenza A virus strains PR8(H1N1) and ST364(H3N2). Sumoylated isoform PML-4 and isoform PML-12 show antiviral activity against encephalomyocarditis virus (EMCV) by promoting nuclear sequestration of viral polymerase (P3D-POL) within PML NBs. Isoform PML-3 exhibits antiviral activity against poliovirus by inducing apoptosis in infected cells through the recruitment and the activation of p53/TP53 in the PML-NBs. Isoform PML-3 represses human foamy virus (HFV) transcription by complexing the HFV transactivator, bel1/tas, preventing its binding to viral DNA. PML may positively regulate infectious hepatitis C viral (HCV) production and isoform PML-2 may enhance adenovirus transcription. Functions as an E3 SUMO-protein ligase that sumoylates (HHV-5) immediate early protein IE1, thereby participating in the antiviral response (PubMed : 20972456, PubMed : 28250117). Isoforms PML-3 and PML-6 display the highest levels of sumoylation activity (PubMed : 20972456, PubMed : 28250117).
See full target information PML

Publications (1)

Recent publications for all applications. Explore the full list and refine your search

Biologics : targets & therapy 18:181-193 PubMed38979130

2024

STAT5B Suppresses Ferroptosis by Promoting DCAF13 Transcription to Regulate p53/xCT Pathway to Promote Mantle Cell Lymphoma Progression.

Applications

Unspecified application

Species

Unspecified reactive species

Wen Jun Zhang,Chong Ling Hu,Bing Ling Guo,Xi Ping Liang,Chao Yu Wang,Tao Yang
View all publications

Product promise

We are committed to supporting your work with high-quality reagents, and we're here for you every step of the way. In the unlikely event that one of our products does not perform as expected, you're protected by our Product Promise.
For full details, please see our Terms & Conditions

Please note: All products are 'FOR RESEARCH USE ONLY. NOT FOR USE IN DIAGNOSTIC OR THERAPEUTIC PROCEDURES'.

For licensing inquiries, please contact partnerships@abcam.com