JavaScript is disabled in your browser. Please enable JavaScript to view this website.
AB317018

Anti-PML Protein antibody [EPR27157-75]

  • BOND RX™ Validated
  • 20ul selling size
  • Recombinant
  • RabMAb
  • What is this?

Be the first to review this product! Submit a review

|

(0 Publication)

Rabbit Recombinant Monoclonal PML Protein antibody. Suitable for WB, IP, ICC/IF, Flow Cyt (Intra), IHC-P and reacts with Transfected cell lysate, Mouse, Rat samples.

View Alternative Names

Protein PML, Pml

12 Images
Immunohistochemistry (Formalin/PFA-fixed paraffin-embedded sections) - Anti-PML Protein antibody [EPR27157-75] (AB317018)
  • IHC-P

Supplier Data

Immunohistochemistry (Formalin/PFA-fixed paraffin-embedded sections) - Anti-PML Protein antibody [EPR27157-75] (AB317018)

Immunohistochemical analysis of paraffin-embedded Mouse cerebrum tissue labeling PML Protein with ab317018 at 1/500 (0.98 ug/ml) dilution, followed by a ready to use LeicaDS9800 (Bond™ Polymer Refine Detection).

Low expression : weak staining on mouse cerebrum.
The section was incubated with ab317018 for 30 mins at room temperature.
The immunostaining was performed on a Leica Biosystems BOND® RX instrument

Counterstained with Hematoxylin.

Secondary antibody only control : Secondary antibody is a ready to use LeicaDS9800 (Bond™ Polymer Refine Detection).

Heat mediated antigen retrieval was performed with Tris-EDTA buffer (pH 9.0, Epitope Retrieval Solution2) for 20 mins

Immunohistochemistry (Formalin/PFA-fixed paraffin-embedded sections) - Anti-PML Protein antibody [EPR27157-75] (AB317018)
  • IHC-P

Supplier Data

Immunohistochemistry (Formalin/PFA-fixed paraffin-embedded sections) - Anti-PML Protein antibody [EPR27157-75] (AB317018)

Immunohistochemical analysis of paraffin-embedded Rat cerebrum tissue labeling PML Protein with ab317018 at 1/500 (0.98 ug/ml) dilution, followed by a ready to use LeicaDS9800 (Bond™ Polymer Refine Detection).

Low expression : weak staining on rat cerebrum.
The section was incubated with ab317018 for 30 mins at room temperature.
The immunostaining was performed on a Leica Biosystems BOND® RX instrument

Counterstained with Hematoxylin.

Secondary antibody only control : Secondary antibody is a ready to use LeicaDS9800 (Bond™ Polymer Refine Detection).

Heat mediated antigen retrieval was performed with Tris-EDTA buffer (pH 9.0, Epitope Retrieval Solution2) for 20 mins

Immunohistochemistry (Formalin/PFA-fixed paraffin-embedded sections) - Anti-PML Protein antibody [EPR27157-75] (AB317018)
  • IHC-P

Supplier Data

Immunohistochemistry (Formalin/PFA-fixed paraffin-embedded sections) - Anti-PML Protein antibody [EPR27157-75] (AB317018)

Immunohistochemical analysis of paraffin-embedded Mouse lung cancer tissue labeling PML Protein with ab317018 at 1/500 (0.98 ug/ml) dilution, followed by a ready to use LeicaDS9800 (Bond™ Polymer Refine Detection).

Positive staining on mouse lung cancer.
The section was incubated with ab317018 for 30 mins at room temperature.
The immunostaining was performed on a Leica Biosystems BOND® RX instrument

Counterstained with Hematoxylin.

Secondary antibody only control : Secondary antibody is a ready to use LeicaDS9800 (Bond™ Polymer Refine Detection).

Heat mediated antigen retrieval was performed with Tris-EDTA buffer (pH 9.0, Epitope Retrieval Solution2) for 20 mins

Immunohistochemistry (Formalin/PFA-fixed paraffin-embedded sections) - Anti-PML Protein antibody [EPR27157-75] (AB317018)
  • IHC-P

Supplier Data

Immunohistochemistry (Formalin/PFA-fixed paraffin-embedded sections) - Anti-PML Protein antibody [EPR27157-75] (AB317018)

Immunohistochemical analysis of paraffin-embedded Rat spleen tissue labeling PML Protein with ab317018 at 1/500 (0.98 ug/ml) dilution, followed by a ready to use LeicaDS9800 (Bond™ Polymer Refine Detection).

Positive staining on rat spleen.
The section was incubated with ab317018 for 30 mins at room temperature.
The immunostaining was performed on a Leica Biosystems BOND® RX instrument

Counterstained with Hematoxylin.

Secondary antibody only control : Secondary antibody is a ready to use LeicaDS9800 (Bond™ Polymer Refine Detection).

Heat mediated antigen retrieval was performed with Tris-EDTA buffer (pH 9.0, Epitope Retrieval Solution2) for 20 mins

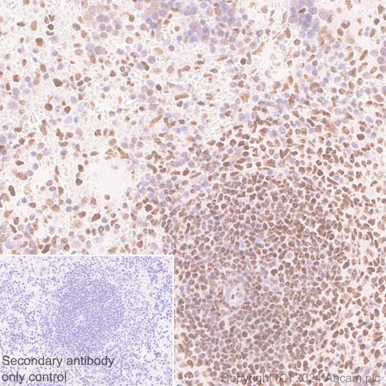
Immunohistochemistry (Formalin/PFA-fixed paraffin-embedded sections) - Anti-PML Protein antibody [EPR27157-75] (AB317018)
  • IHC-P

Supplier Data

Immunohistochemistry (Formalin/PFA-fixed paraffin-embedded sections) - Anti-PML Protein antibody [EPR27157-75] (AB317018)

Immunohistochemical analysis of paraffin-embedded Mouse spleen tissue labeling PML Protein with ab317018 at 1/500 (0.98 ug/ml) dilution, followed by a ready to use LeicaDS9800 (Bond™ Polymer Refine Detection).

Positive staining on mouse spleen.
The section was incubated with ab317018 for 30 mins at room temperature.
The immunostaining was performed on a Leica Biosystems BOND® RX instrument

Counterstained with Hematoxylin.

Secondary antibody only control : Secondary antibody is a ready to use LeicaDS9800 (Bond™ Polymer Refine Detection).

Heat mediated antigen retrieval was performed with Tris-EDTA buffer (pH 9.0, Epitope Retrieval Solution2) for 20 mins

Immunocytochemistry/ Immunofluorescence - Anti-PML Protein antibody [EPR27157-75] (AB317018)
  • ICC/IF

Supplier Data

Immunocytochemistry/ Immunofluorescence - Anti-PML Protein antibody [EPR27157-75] (AB317018)

Immunofluorescent analysis of 4% Paraformaldehyde-fixed, 0.1% TritonX-100 permeabilized F9 (mouse embryonal carcinoma epithelial cell) cells labelling PML Protein with ab317018 at 1/500 (0.98 ug/ml) dilution, followed by ab150081 Goat Anti-Rabbit IgG H&L (Alexa Fluor® 488) preadsorbed antibody at 1/1000 (2 ug/ml) dilution (Green).

Confocal image showing nuclear staining in F9 cell line (shown in green). The counterstain was observed in magenta. Nuclear DNA was labeled with DAPI (shown in blue).
Image was taken with a confocal microscope(Leica-Microsystems, TCS SP8).

ab195889 Anti-alpha Tubulin mouse monoclonal antibody - Microtubule Marker (Alexa Fluor® 594) was used to counterstain tubulin at 1/200 (2.5ug/ml) dilution (Magenta). The Nuclear counterstain was DAPI (Blue).

Secondary antibody only control : Secondary antibody is ab150081 Goat Anti-Rabbit IgG H&L (Alexa Fluor® 488) preadsorbed at 1/1000 (2 ug/ml) dilution.

Flow Cytometry (Intracellular) - Anti-PML Protein antibody [EPR27157-75] (AB317018)
  • Flow Cyt (Intra)

Supplier Data

Flow Cytometry (Intracellular) - Anti-PML Protein antibody [EPR27157-75] (AB317018)

Flow cytometric analysis of 4% paraformaldehyde fixed 90% methanol permeabilized F9 (mouse embryonal carcinoma epithelial cell) cells labelling PML Protein with ab317018 at 1/500 dilution (0.1 ug)/Red compared with a Rabbit monoclonal IgG (ab172730) (Black) isotype control and an unlabelled control (cells without incubation with primary antibody and secondary antibody) (Blue).

Goat Anti-Rabbit IgG (Alexa Fluor® 488, ab150081) at 1/5000 dilution was used as the secondary antibody.

Immunoprecipitation - Anti-PML Protein antibody [EPR27157-75] (AB317018)
  • IP

Supplier Data

Immunoprecipitation - Anti-PML Protein antibody [EPR27157-75] (AB317018)

PML Protein was immunoprecipitated from 0.35 mg F9 (mouse embryonal carcinoma epithelial cell) whole cell lysate with ab317018 at 1/30 dilution (2ug in 0.35mg lysates). Western blot was performed on the immunoprecipitate using ab317018 at 1/1000 dilution. VeriBlot for IP secondary antibody(HRP)(ab131366) was used at 1/5000 dilution.

Lane 1 : F9 (mouse embryonal carcinoma epithelial cell) whole cell lysate
Lane 2 : ab317018 IP in F9 (mouse embryonal carcinoma epithelial cell) whole cell lysate
Lane 3 : Rabbit monoclonal IgG (ab172730) instead of ab317018 in F9 whole cell lysate

The expression profile/ molecular weight observed is consistent with what has been described in the literature (PMID : 28486108).

All lanes:

Immunoprecipitation - Anti-PML Protein antibody [EPR27157-75] (ab317018) at 1/30 dilution

All lanes:

F9 (mouse embryonal carcinoma epithelial cell) whole cell lysate with 5% NFDM/TBST

Secondary

All lanes:

Immunoprecipitation - VeriBlot for IP Detection Reagent (HRP) (<a href='/en-us/products/reagents/veriblot-for-ip-detection-reagent-hrp-ab131366'>ab131366</a>) at 1/5000 dilution

false

Exposure time: 6s

Western blot - Anti-PML Protein antibody [EPR27157-75] (AB317018)
  • WB

Supplier Data

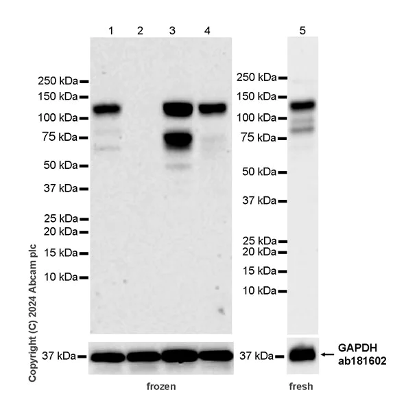
Western blot - Anti-PML Protein antibody [EPR27157-75] (AB317018)

Lane 5 was freshly made and used for Western Blotting immediately to minimize protein degradation.

The expression profile/ molecular weight observed is consistent with what has been described in the literature (PMID : 28486108).

In Western blot, Anti-GAPDH antibody [EPR16891] - Loading Control (ab181602) staining at 1/200000 dilution.

All lanes:

Western blot - Anti-PML Protein antibody [EPR27157-75] (ab317018) at 1/1000 dilution

Lane 1:

MEF (mouse embryo fibroblast) transfected with scrambled siRNA control whole cell lysate at 20 µg with 5% NFDM/TBST

Lane 2:

MEF transfected with siRNA specifically targeting PML Protein whole cell lysate at 20 µg with 5% NFDM/TBST

Lane 3:

F9 (mouse embryonal carcinoma epithelial cell) whole cell lysate at 20 µg with 5% NFDM/TBST

Lane 4:

NIH/3T3 (mouse embryonic fibroblast) whole cell lysate at 20 µg with 5% NFDM/TBST

Lane 5:

F9 whole fresh cell lysate at 20 µg with 5% NFDM/TBST

Secondary

All lanes:

Western blot - Goat Anti-Rabbit IgG H&L (HRP) (<a href='/en-us/products/secondary-antibodies/goat-rabbit-igg-h-l-hrp-ab97051'>ab97051</a>) at 1/100000 dilution

Observed band size: 110 kDa,36 kDa

false

Exposure time: 180s

Western blot - Anti-PML Protein antibody [EPR27157-75] (AB317018)
  • WB

Supplier Data

Western blot - Anti-PML Protein antibody [EPR27157-75] (AB317018)

Low expression : brain

The lysates were freshly made and used for Western Blotting immediately to minimize protein degradation.

In Western blot, Anti-GAPDH antibody [EPR16891] - Loading Control (ab181602) staining at 1/200000 dilution.

All lanes:

Western blot - Anti-PML Protein antibody [EPR27157-75] (ab317018) at 1/1000 dilution

Lane 1:

Mouse spleen tissue lysate at 20 µg with 5% NFDM/TBST

Lane 2:

Mouse brain tissue lysate at 20 µg with 5% NFDM/TBST

Secondary

All lanes:

Western blot - Goat Anti-Rabbit IgG H&L (HRP) (<a href='/en-us/products/secondary-antibodies/goat-rabbit-igg-h-l-hrp-ab97051'>ab97051</a>) at 1/100000 dilution

Observed band size: 110 kDa,36 kDa

false

Exposure time: 10s

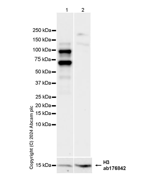
Western blot - Anti-PML Protein antibody [EPR27157-75] (AB317018)
  • WB

Supplier Data

Western blot - Anti-PML Protein antibody [EPR27157-75] (AB317018)

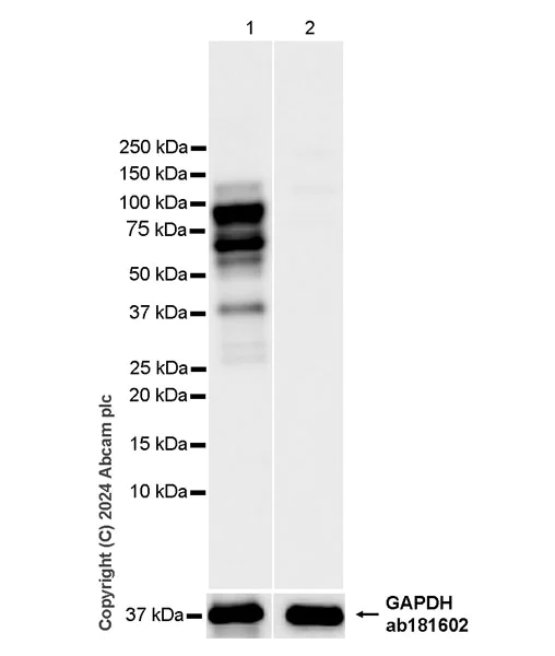
Low expression : brain

The lysates were freshly made and used for Western Blotting immediately to minimize protein degradation.

In Western blot, Anti-Histone H3 antibody [EPR16987] - Nuclear Marker and ChIP Grade (ab176842) staining at 1/100000 dilution.

All lanes:

Western blot - Anti-PML Protein antibody [EPR27157-75] (ab317018) at 1/1000 dilution

Lane 1:

Rat spleen tissue lysate at 20 µg with 5% NFDM/TBST

Lane 2:

Rat brain tissue lysate at 20 µg with 5% NFDM/TBST

Secondary

All lanes:

Western blot - Goat Anti-Rabbit IgG H&L (HRP) (<a href='/en-us/products/secondary-antibodies/goat-rabbit-igg-h-l-hrp-ab97051'>ab97051</a>) at 1/100000 dilution

Observed band size: 110 kDa,15 kDa

false

Exposure time: 10s

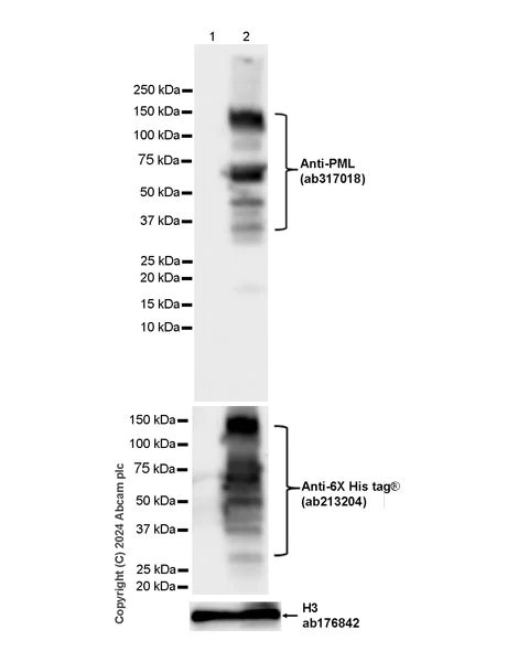
Western blot - Anti-PML Protein antibody [EPR27157-75] (AB317018)
  • WB

Supplier Data

Western blot - Anti-PML Protein antibody [EPR27157-75] (AB317018)

Blocking and diluting buffer and concentration : 5% NFDM/TBST.

In Western blot, Anti-Histone H3 antibody [EPR16987] - Nuclear Marker and ChIP Grade (ab176842) staining at 1/100000 dilution.

In Western blot, Anti-6X His tag® antibody [EPR20547] - ChIP Grade (ab213204) staining at 1/5000 dilution.

All lanes:

Western blot - Anti-PML Protein antibody [EPR27157-75] (ab317018) at 1/1000 dilution

Lane 1:

293T (human embryonic kidney epithelial cell) transfected with an empty vector containing a myc-His-tag®, whole cell lysate at 20 µg

Lane 2:

293T transfected with a human PML protein expression vector containing a myc-His-tag®, whole cell lysate at 20 µg

Secondary

All lanes:

Western blot - Goat Anti-Rabbit IgG H&L (HRP) (<a href='/en-us/products/secondary-antibodies/goat-rabbit-igg-h-l-hrp-ab97051'>ab97051</a>) at 1/100000 dilution

Observed band size: 110 kDa,15 kDa

false

Exposure time: 6s

  • Carrier free

    Anti-PML Protein antibody [EPR27157-75] - BSA and Azide free

Key facts

Host species

Rabbit

Clonality

Monoclonal

Clone number

EPR27157-75

Isotype

IgG

Carrier free

No

Reacts with

Mouse, Rat

Applications

WB, IP, ICC/IF, IHC-P, Flow Cyt (Intra)

applications

Immunogen

The exact immunogen used to generate this antibody is proprietary information.

Reactivity data

{ "title": "Reactivity Data", "filters": { "stats": ["", "Species", "Dilution Info", "Notes"], "tabs": { "all-applications": {"fullname" : "All Applications", "shortname": "All Applications"}, "WB" : {"fullname" : "Western blot", "shortname":"WB"}, "IP" : {"fullname" : "Immunoprecipitation", "shortname":"IP"}, "ICCIF" : {"fullname" : "Immunocytochemistry/ Immunofluorescence", "shortname":"ICC/IF"}, "FlowCytIntra" : {"fullname" : "Flow Cytometry (Intracellular)", "shortname":"Flow Cyt (Intra)"}, "IHCP" : {"fullname" : "Immunohistochemistry (Formalin/PFA-fixed paraffin-embedded sections)", "shortname":"IHC-P"} }, "product-promise": { "all": "all", "testedAndGuaranteed": "tested", "guaranteed": "expected", "predicted": "predicted", "notRecommended": "not-recommended" } }, "values": { "Human": { "WB-species-checked": "notRecommended", "WB-species-dilution-info": "", "WB-species-notes": "<p></p>", "IP-species-checked": "notRecommended", "IP-species-dilution-info": "", "IP-species-notes": "", "ICCIF-species-checked": "notRecommended", "ICCIF-species-dilution-info": "", "ICCIF-species-notes": "", "FlowCytIntra-species-checked": "notRecommended", "FlowCytIntra-species-dilution-info": "", "FlowCytIntra-species-notes": "", "IHCP-species-checked": "notRecommended", "IHCP-species-dilution-info": "", "IHCP-species-notes": "<p></p>" }, "Mouse": { "WB-species-checked": "testedAndGuaranteed", "WB-species-dilution-info": "1/1000", "WB-species-notes": "<p></p>", "IP-species-checked": "testedAndGuaranteed", "IP-species-dilution-info": "1/30", "IP-species-notes": "<p></p>", "ICCIF-species-checked": "testedAndGuaranteed", "ICCIF-species-dilution-info": "1/500", "ICCIF-species-notes": "<p></p>", "FlowCytIntra-species-checked": "testedAndGuaranteed", "FlowCytIntra-species-dilution-info": "1/500", "FlowCytIntra-species-notes": "<p></p>", "IHCP-species-checked": "testedAndGuaranteed", "IHCP-species-dilution-info": "1/500", "IHCP-species-notes": "<p></p> Perform heat-mediated antigen retrieval with Tris/EDTA buffer pH 9.0 before commencing with IHC staining protocol." }, "Rat": { "WB-species-checked": "testedAndGuaranteed", "WB-species-dilution-info": "1/1000", "WB-species-notes": "<p></p>", "IP-species-checked": "guaranteed", "IP-species-dilution-info": "", "IP-species-notes": "", "ICCIF-species-checked": "guaranteed", "ICCIF-species-dilution-info": "", "ICCIF-species-notes": "", "FlowCytIntra-species-checked": "guaranteed", "FlowCytIntra-species-dilution-info": "", "FlowCytIntra-species-notes": "", "IHCP-species-checked": "testedAndGuaranteed", "IHCP-species-dilution-info": "1/500", "IHCP-species-notes": "<p></p> Perform heat-mediated antigen retrieval with Tris/EDTA buffer pH 9.0 before commencing with IHC staining protocol." }, "Transfected cell lysate - Human": { "WB-species-checked": "testedAndGuaranteed", "WB-species-dilution-info": "1/1000", "WB-species-notes": "<p></p>", "IP-species-checked": "notRecommended", "IP-species-dilution-info": "", "IP-species-notes": "", "ICCIF-species-checked": "notRecommended", "ICCIF-species-dilution-info": "", "ICCIF-species-notes": "", "FlowCytIntra-species-checked": "notRecommended", "FlowCytIntra-species-dilution-info": "", "FlowCytIntra-species-notes": "", "IHCP-species-checked": "notRecommended", "IHCP-species-dilution-info": "", "IHCP-species-notes": "" } } }

Product details

Patented technology
Our RabMAb® technology is a patented hybridoma-based technology for making rabbit monoclonal antibodies. For details on our patents, please refer to RabMAb® patents.

What are the advantages of a recombinant monoclonal antibody?
This product is a recombinant monoclonal antibody, which offers several advantages including:

  • - High batch-to-batch consistency and reproducibility
  • - Improved sensitivity and specificity
  • - Long-term security of supply
  • - Animal-free batch production

For more information, read more on recombinant antibodies.

Properties and storage information

Form
Liquid
Purification technique
Affinity purification Protein A
Storage buffer
pH: 7.2 - 7.4 Preservative: 0.01% Sodium azide Constituents: PBS, 40% Glycerol (glycerin, glycerine), 0.05% BSA
Shipped at conditions
Blue Ice
Appropriate short-term storage duration
1-2 weeks
Appropriate short-term storage conditions
+4°C
Appropriate long-term storage conditions
-20°C
Aliquoting information
Upon delivery aliquot
Storage information
Avoid freeze / thaw cycle

Supplementary information

This supplementary information is collated from multiple sources and compiled automatically.

The PML protein also known as promyelocytic leukemia protein has a mass of about 97 kilodaltons. PML is typically expressed in the nucleus in distinct structures called nuclear bodies. These nuclear bodies often referred to as PML-nuclear bodies or PML-NBs serve several functions within the cell. The PML protein is commonly identified in tissues such as the bone marrow and blood cells where it plays a significant role in various cellular processes. Numerous antibodies including anti-PML are used to study the distribution and function of PML protein in different cellular contexts.
Biological function summary

The PML protein interacts with various molecular partners and forms a part of multiprotein complexes within the PML-nuclear bodies. Its functions include the regulation of transcription induction of apoptosis DNA damage response and control of cell proliferation. PML can recruit other proteins such as p53 a tumor suppressor protein to influence these cellular activities. PML's ability to act as a scaffold within these complexes makes it essential for maintaining cellular homeostasis and response to stress. Various techniques such as PML protein ELISA are used to analyze PML-related biological activities.

Pathways

The PML protein plays a significant role in critical cellular pathways such as apoptosis and the interferon response pathway. PML's interaction with the p53 protein links it to the apoptosis pathway where it acts as an inducer of cell death in response to cellular stress and damage. In the interferon response pathway PML contributes to antiviral defense mechanisms. The involvement of PML in these pathways emphasizes its importance in cellular defense and programmed cell death. Related proteins like STATs (signal transducers and activators of transcription) are known to interact with PML in these pathways.

Abnormalities in PML protein expression and function are linked to specific diseases including acute promyelocytic leukemia (APL) and certain types of cancer. Acute promyelocytic leukemia is characterized by a translocation involving the PML gene resulting in the PML-RARα fusion protein which interferes with normal cell differentiation. PML also relates to neurodegenerative disorders where changes in PML expression impact cellular stress responses. In the context of these diseases the PML protein's interaction with oncogenic proteins like RARα in leukemia highlights its role in disease development and potential as a therapeutic target.

Product protocols

For this product, it's our understanding that no specific protocols are required. You can visit:

Target data

Functions via its association with PML-nuclear bodies (PML-NBs) in a wide range of important cellular processes, including tumor suppression, transcriptional regulation, apoptosis, senescence, DNA damage response, and viral defense mechanisms. Acts as the scaffold of PML-NBs allowing other proteins to shuttle in and out, a process which is regulated by SUMO-mediated modifications and interactions. Inhibits EIF4E-mediated mRNA nuclear export by reducing EIF4E affinity for the 5' 7-methylguanosine (m7G) cap of target mRNAs (By similarity). Positively regulates p53/TP53 by acting at different levels (by promoting its acetylation and phosphorylation and by inhibiting its MDM2-dependent degradation). Regulates phosphorylation of ITPR3 and plays a role in the regulation of calcium homeostasis at the endoplasmic reticulum. Regulates RB1 phosphorylation and activity. Acts as both a negative regulator of PPARGC1A acetylation and a potent activator of PPAR signaling and fatty acid oxidation. Regulates translation of HIF1A by sequestering MTOR, and thereby plays a role in neoangiogenesis and tumor vascularization. Regulates PER2 nuclear localization and circadian function. Cytoplasmic PML is involved in the regulation of the TGF-beta signaling pathway. Required for normal development of the brain cortex during embryogenesis. Plays a role in granulopoiesis or monopoiesis of myeloid progenitor cells. May play a role regulating stem and progenitor cell fate in tissues as diverse as blood, brain and breast. Shows antiviral activity towards lymphocytic choriomeningitis virus (LCMV) and the vesicular stomatitis virus (VSV).
See full target information Pml

Product promise

We are committed to supporting your work with high-quality reagents, and we're here for you every step of the way. In the unlikely event that one of our products does not perform as expected, you're protected by our Product Promise.
For full details, please see our Terms & Conditions

Please note: All products are 'FOR RESEARCH USE ONLY. NOT FOR USE IN DIAGNOSTIC OR THERAPEUTIC PROCEDURES'.

For licensing inquiries, please contact partnerships@abcam.com