JavaScript is disabled in your browser. Please enable JavaScript to view this website.
AB184769

Anti-PML Protein (phospho S518) antibody [EPR6151] - BSA and Azide free

Be the first to review this product! Submit a review

|

(0 Publication)

Rabbit Recombinant Monoclonal PML Protein phospho S518 antibody. Carrier free. Suitable for IHC-P, WB and reacts with Human, Mouse samples.

View Alternative Names

MYL, PP8675, RNF71, TRIM19, PML, Protein PML, E3 SUMO-protein ligase PML, Promyelocytic leukemia protein, RING finger protein 71, RING-type E3 SUMO transferase PML, Tripartite motif-containing protein 19

4 Images
Immunohistochemistry (Formalin/PFA-fixed paraffin-embedded sections) - Anti-PML Protein (phospho S518) antibody [EPR6151] - BSA and Azide free (AB184769)
  • IHC-P

Unknown

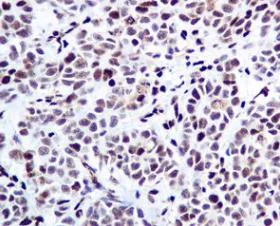
Immunohistochemistry (Formalin/PFA-fixed paraffin-embedded sections) - Anti-PML Protein (phospho S518) antibody [EPR6151] - BSA and Azide free (AB184769)

This data was developed using ab128932, the same antibody clone in a different buffer formulation.

ab128932, at a 1/100 dilution, staining Human PML Protein in astrocytoma, using Immunohistochemistry, Formalin/PFA-fixed paraffin-emebedded tissue.

Perform heat mediated antigen retrieval via the pressure cooker method before commencing with IHC staining protocol.

Immunohistochemistry (Formalin/PFA-fixed paraffin-embedded sections) - Anti-PML Protein (phospho S518) antibody [EPR6151] - BSA and Azide free (AB184769)
  • IHC-P

Unknown

Immunohistochemistry (Formalin/PFA-fixed paraffin-embedded sections) - Anti-PML Protein (phospho S518) antibody [EPR6151] - BSA and Azide free (AB184769)

This data was developed using ab128932, the same antibody clone in a different buffer formulation.

ab128932, at a 1/50 dilution, staining Human PML Protein in breast carcinoma, using Immunohistochemistry, Formalin/PFA-fixed paraffin-emebedded tissue.

Perform heat mediated antigen retrieval via the pressure cooker method before commencing with IHC staining protocol.

Western blot - Anti-PML Protein (phospho S518) antibody [EPR6151] - BSA and Azide free (AB184769)
  • WB

Unknown

Western blot - Anti-PML Protein (phospho S518) antibody [EPR6151] - BSA and Azide free (AB184769)

This data was developed using ab128932, the same antibody clone in a different buffer formulation.

All lanes:

Western blot - Anti-PML Protein (phospho S518) antibody [EPR6151] (<a href='/en-us/products/primary-antibodies/pml-protein-phospho-s518-antibody-epr6151-ab128932'>ab128932</a>) at 1/1000 dilution

Lane 1:

HeLa lysate (untreated) at 10 µg

Lane 2:

HeLa lysate treated with Alkaline Phosphatase at 10 µg

Secondary

All lanes:

HRP labelled goat anti-rabbit at 1/2000 dilution

Predicted band size: 98 kDa

Observed band size: 110 kDa

false

Western blot - Anti-PML Protein (phospho S518) antibody [EPR6151] - BSA and Azide free (AB184769)
  • WB

Lab

Western blot - Anti-PML Protein (phospho S518) antibody [EPR6151] - BSA and Azide free (AB184769)

This data was developed using ab128932, the same antibody clone in a different buffer formulation. Blocking and diluting buffer and concentration : 5% NFDM/TBST.

All lanes:

Western blot - Anti-PML Protein (phospho S518) antibody [EPR6151] (<a href='/en-us/products/primary-antibodies/pml-protein-phospho-s518-antibody-epr6151-ab128932'>ab128932</a>) at 1/5000 dilution

All lanes:

Raw 264.7(Mouse Abelson murine leukemia virus-induced tumor macrophage) whole cell lysate at 20 µg

Secondary

All lanes:

Western blot - Goat Anti-Rabbit IgG H&L (HRP) (<a href='/en-us/products/secondary-antibodies/goat-rabbit-igg-h-l-hrp-ab97051'>ab97051</a>) at 1/20000 dilution

Predicted band size: 98 kDa

Observed band size: 110 kDa

false

Exposure time: 180s

  • Unconjugated

    Anti-PML Protein (phospho S518) antibody [EPR6151]

Key facts

Host species

Rabbit

Clonality

Monoclonal

Clone number

EPR6151

Isotype

IgG

Carrier free

Yes

Reacts with

Mouse, Human

Applications

IHC-P, WB

applications

Immunogen

The exact immunogen used to generate this antibody is proprietary information.

Reactivity data

{ "title": "Reactivity Data", "filters": { "stats": ["", "Species", "Dilution Info", "Notes"], "tabs": { "all-applications": {"fullname" : "All Applications", "shortname": "All Applications"}, "IHCP" : {"fullname" : "Immunohistochemistry (Formalin/PFA-fixed paraffin-embedded sections)", "shortname":"IHC-P"}, "WB" : {"fullname" : "Western blot", "shortname":"WB"} }, "product-promise": { "all": "all", "testedAndGuaranteed": "tested", "guaranteed": "expected", "predicted": "predicted", "notRecommended": "not-recommended" } }, "values": { "Human": { "IHCP-species-checked": "testedAndGuaranteed", "IHCP-species-dilution-info": "", "IHCP-species-notes": "<p>Use of a HRP/AP polymerized secondary antibody is recommended.</p>", "WB-species-checked": "testedAndGuaranteed", "WB-species-dilution-info": "", "WB-species-notes": "<p></p>" }, "Mouse": { "IHCP-species-checked": "guaranteed", "IHCP-species-dilution-info": "", "IHCP-species-notes": "", "WB-species-checked": "testedAndGuaranteed", "WB-species-dilution-info": "", "WB-species-notes": "<p></p>" } } }

Product details

ab184769 is the carrier-free version of ab128932.

Patented technology
Our RabMAb® technology is a patented hybridoma-based technology for making rabbit monoclonal antibodies. For details on our patents, please refer to RabMAb® patents.

What are the advantages of a recombinant monoclonal antibody?
This product is a recombinant monoclonal antibody, which offers several advantages including:

  • - High batch-to-batch consistency and reproducibility
  • - Improved sensitivity and specificity
  • - Long-term security of supply
  • - Animal-free batch production

For more information, read more on recombinant antibodies.

Species reactivity
Rat: We have preliminary internal testing data to indicate this antibody may not react with this species.
Please contact us for more information.

Conjugation ready
Our carrier-free antibodies are typically supplied in a PBS-only formulation, purified and free of BSA, sodium azide and glycerol. This conjugation-ready format is designed for use with fluorochromes, metal isotopes, oligonucleotides, and enzymes, which makes them ideal for antibody labelling, functional and cell-based assays, flow-based assays (e.g. mass cytometry) and Multiplex Imaging applications.

Use our conjugation kits for antibody conjugates that are ready-to-use in as little as 20 minutes with 1 minute hands-on-time and 100% antibody recovery: available for fluorescent dyes, HRP, biotin and gold.

Compatibility
This product is compatible with the Maxpar® Antibody Labeling Kit from Fluidigm, without the need for antibody preparation. Maxpar® is a trademark of Fluidigm Canada Inc.

Properties and storage information

Form
Liquid
Purification technique
Affinity purification Protein A
Storage buffer
pH: 7.2 Constituents: PBS
Shipped at conditions
Blue Ice
Appropriate short-term storage conditions
+4°C
Appropriate long-term storage conditions
+4°C
Storage information
Do Not Freeze

Supplementary information

This supplementary information is collated from multiple sources and compiled automatically.

The PML protein also known as promyelocytic leukemia protein has a mass of about 97 kilodaltons. PML is typically expressed in the nucleus in distinct structures called nuclear bodies. These nuclear bodies often referred to as PML-nuclear bodies or PML-NBs serve several functions within the cell. The PML protein is commonly identified in tissues such as the bone marrow and blood cells where it plays a significant role in various cellular processes. Numerous antibodies including anti-PML are used to study the distribution and function of PML protein in different cellular contexts.
Biological function summary

The PML protein interacts with various molecular partners and forms a part of multiprotein complexes within the PML-nuclear bodies. Its functions include the regulation of transcription induction of apoptosis DNA damage response and control of cell proliferation. PML can recruit other proteins such as p53 a tumor suppressor protein to influence these cellular activities. PML's ability to act as a scaffold within these complexes makes it essential for maintaining cellular homeostasis and response to stress. Various techniques such as PML protein ELISA are used to analyze PML-related biological activities.

Pathways

The PML protein plays a significant role in critical cellular pathways such as apoptosis and the interferon response pathway. PML's interaction with the p53 protein links it to the apoptosis pathway where it acts as an inducer of cell death in response to cellular stress and damage. In the interferon response pathway PML contributes to antiviral defense mechanisms. The involvement of PML in these pathways emphasizes its importance in cellular defense and programmed cell death. Related proteins like STATs (signal transducers and activators of transcription) are known to interact with PML in these pathways.

Abnormalities in PML protein expression and function are linked to specific diseases including acute promyelocytic leukemia (APL) and certain types of cancer. Acute promyelocytic leukemia is characterized by a translocation involving the PML gene resulting in the PML-RARα fusion protein which interferes with normal cell differentiation. PML also relates to neurodegenerative disorders where changes in PML expression impact cellular stress responses. In the context of these diseases the PML protein's interaction with oncogenic proteins like RARα in leukemia highlights its role in disease development and potential as a therapeutic target.

Product protocols

For this product, it's our understanding that no specific protocols are required. You can visit:

Target data

Functions via its association with PML-nuclear bodies (PML-NBs) in a wide range of important cellular processes, including tumor suppression, transcriptional regulation, apoptosis, senescence, DNA damage response, and viral defense mechanisms. Acts as the scaffold of PML-NBs allowing other proteins to shuttle in and out, a process which is regulated by SUMO-mediated modifications and interactions. Inhibits EIF4E-mediated mRNA nuclear export by reducing EIF4E affinity for the 5' 7-methylguanosine (m7G) cap of target mRNAs (PubMed : 11500381, PubMed : 11575918, PubMed : 18391071). Isoform PML-4 has a multifaceted role in the regulation of apoptosis and growth suppression : activates RB1 and inhibits AKT1 via interactions with PP1 and PP2A phosphatases respectively, negatively affects the PI3K pathway by inhibiting MTOR and activating PTEN, and positively regulates p53/TP53 by acting at different levels (by promoting its acetylation and phosphorylation and by inhibiting its MDM2-dependent degradation). Isoform PML-4 also : acts as a transcriptional repressor of TBX2 during cellular senescence and the repression is dependent on a functional RBL2/E2F4 repressor complex, regulates double-strand break repair in gamma-irradiation-induced DNA damage responses via its interaction with WRN, acts as a negative regulator of telomerase by interacting with TERT, and regulates PER2 nuclear localization and circadian function. Isoform PML-6 inhibits specifically the activity of the tetrameric form of PKM. The nuclear isoforms (isoform PML-1, isoform PML-2, isoform PML-3, isoform PML-4 and isoform PML-5) in concert with SATB1 are involved in local chromatin-loop remodeling and gene expression regulation at the MHC-I locus. Isoform PML-2 is required for efficient IFN-gamma induced MHC II gene transcription via regulation of CIITA. Cytoplasmic PML is involved in the regulation of the TGF-beta signaling pathway. PML also regulates transcription activity of ELF4 and can act as an important mediator for TNF-alpha- and IFN-alpha-mediated inhibition of endothelial cell network formation and migration.. Exhibits antiviral activity against both DNA and RNA viruses. The antiviral activity can involve one or several isoform(s) and can be enhanced by the permanent PML-NB-associated protein DAXX or by the recruitment of p53/TP53 within these structures. Isoform PML-4 restricts varicella zoster virus (VZV) via sequestration of virion capsids in PML-NBs thereby preventing their nuclear egress and inhibiting formation of infectious virus particles. The sumoylated isoform PML-4 restricts rabies virus by inhibiting viral mRNA and protein synthesis. The cytoplasmic isoform PML-14 can restrict herpes simplex virus-1 (HHV-1) replication by sequestering the viral E3 ubiquitin-protein ligase ICP0 in the cytoplasm. Isoform PML-6 shows restriction activity towards human cytomegalovirus (HHV-5) and influenza A virus strains PR8(H1N1) and ST364(H3N2). Sumoylated isoform PML-4 and isoform PML-12 show antiviral activity against encephalomyocarditis virus (EMCV) by promoting nuclear sequestration of viral polymerase (P3D-POL) within PML NBs. Isoform PML-3 exhibits antiviral activity against poliovirus by inducing apoptosis in infected cells through the recruitment and the activation of p53/TP53 in the PML-NBs. Isoform PML-3 represses human foamy virus (HFV) transcription by complexing the HFV transactivator, bel1/tas, preventing its binding to viral DNA. PML may positively regulate infectious hepatitis C viral (HCV) production and isoform PML-2 may enhance adenovirus transcription. Functions as an E3 SUMO-protein ligase that sumoylates (HHV-5) immediate early protein IE1, thereby participating in the antiviral response (PubMed : 20972456, PubMed : 28250117). Isoforms PML-3 and PML-6 display the highest levels of sumoylation activity (PubMed : 20972456, PubMed : 28250117).
See full target information PML phospho S518

Product promise

We are committed to supporting your work with high-quality reagents, and we're here for you every step of the way. In the unlikely event that one of our products does not perform as expected, you're protected by our Product Promise.
For full details, please see our Terms & Conditions

Please note: All products are 'FOR RESEARCH USE ONLY. NOT FOR USE IN DIAGNOSTIC OR THERAPEUTIC PROCEDURES'.

For licensing inquiries, please contact partnerships@abcam.com