JavaScript is disabled in your browser. Please enable JavaScript to view this website.
AB251358

Anti-PMM1 antibody [EPR17844] - BSA and Azide free

Be the first to review this product! Submit a review

|

(1 Publication)

Rabbit Recombinant Monoclonal PMM1 antibody. Carrier free. Suitable for WB, IHC-P and reacts with Mouse, Rat, Human samples. Cited in 1 publication.

View Alternative Names

PMMH22, PMM1, Phosphomannomutase 1, PMM 1, PMMH-22

7 Images
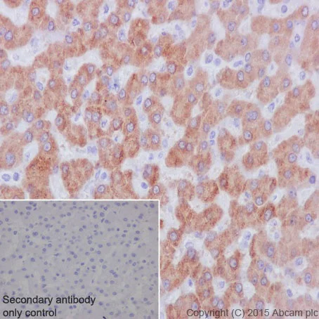
Immunohistochemistry (Formalin/PFA-fixed paraffin-embedded sections) - Anti-PMM1 antibody [EPR17844] - BSA and Azide free (AB251358)
  • IHC-P

Supplier Data

Immunohistochemistry (Formalin/PFA-fixed paraffin-embedded sections) - Anti-PMM1 antibody [EPR17844] - BSA and Azide free (AB251358)

This data was developed using ab202058, the same antibody clone in a different buffer formulation.

Immunohistochemical analysis of paraffin-embedded Human liver tissue labeling PMM1 with ab202058 at 1/100 dilution, followed by Goat Anti-Rabbit IgG H&L (HRP) (ab97051) secondary antibody at 1/500 dilution. Cytoplasmic staining on Human liver tissue is observed. Counter stained with Hematoxylin.

Secondary antibody only control : Used PBS instead of primary antibody, secondary antibody is Goat Anti-Rabbit IgG H&L (HRP) (ab97051) at 1/500 dilution.

Perform heat mediated antigen retrieval with Tris/EDTA buffer pH 9.0 before commencing with IHC staining protocol.

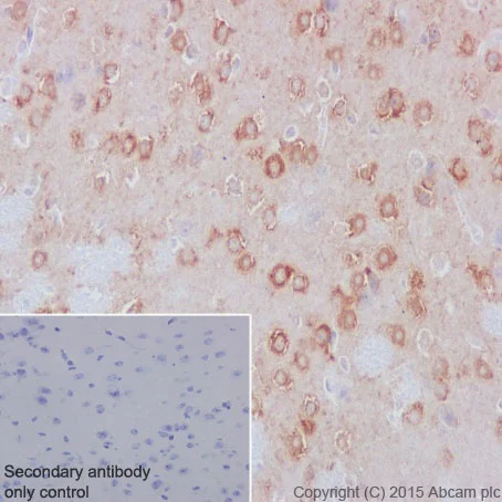
Immunohistochemistry (Formalin/PFA-fixed paraffin-embedded sections) - Anti-PMM1 antibody [EPR17844] - BSA and Azide free (AB251358)
  • IHC-P

Supplier Data

Immunohistochemistry (Formalin/PFA-fixed paraffin-embedded sections) - Anti-PMM1 antibody [EPR17844] - BSA and Azide free (AB251358)

This data was developed using ab202058, the same antibody clone in a different buffer formulation.

Immunohistochemical analysis of paraffin-embedded Mouse cerebral cortex tissue labeling PMM1 with ab202058 at 1/100 dilution, followed by Goat Anti-Rabbit IgG H&L (HRP) (ab97051) secondary antibody at 1/500 dilution. Cytoplasmic staining on mouse cerebral cortex is observed. Counter stained with Hematoxylin.

Secondary antibody only control : Used PBS instead of primary antibody, secondary antibody is Goat Anti-Rabbit IgG H&L (HRP) (ab97051) at 1/500 dilution.

Perform heat mediated antigen retrieval with Tris/EDTA buffer pH 9.0 before commencing with IHC staining protocol.

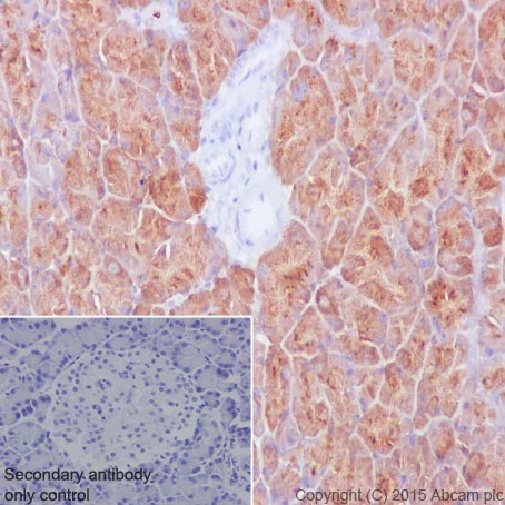
Immunohistochemistry (Formalin/PFA-fixed paraffin-embedded sections) - Anti-PMM1 antibody [EPR17844] - BSA and Azide free (AB251358)
  • IHC-P

Supplier Data

Immunohistochemistry (Formalin/PFA-fixed paraffin-embedded sections) - Anti-PMM1 antibody [EPR17844] - BSA and Azide free (AB251358)

This data was developed using ab202058, the same antibody clone in a different buffer formulation.

Immunohistochemical analysis of paraffin-embedded rat pancreas tissue labeling PMM1 with ab202058 at 1/100 dilution, followed by Goat Anti-Rabbit IgG H&L (HRP) (ab97051) secondary antibody at 1/500 dilution. Cytoplasmic staining on rat pancreas is observed. Counter stained with Hematoxylin.

Secondary antibody only control : Used PBS instead of primary antibody, secondary antibody is Goat Anti-Rabbit IgG H&L (HRP) (ab97051) at 1/500 dilution.

Perform heat mediated antigen retrieval with Tris/EDTA buffer pH 9.0 before commencing with IHC staining protocol.

Western blot - Anti-PMM1 antibody [EPR17844] - BSA and Azide free (AB251358)
  • WB

Supplier Data

Western blot - Anti-PMM1 antibody [EPR17844] - BSA and Azide free (AB251358)

This data was developed using ab202058, the same antibody clone in a different buffer formulation.

Blocking and dilution buffer : 5% NFDM/TBST.

All lanes:

Western blot - Anti-PMM1 antibody [EPR17844] (<a href='/en-us/products/primary-antibodies/pmm1-antibody-epr17844-ab202058'>ab202058</a>) at 1/5000 dilution

Lane 1:

Human fetal liver lysate at 10 µg

Lane 2:

HepG2 (Human liver hepatocellular carcinoma) whole cell lysate at 10 µg

Lane 3:

293 (Human epithelial cells from embryonic kidney) whole cell lysate at 10 µg

Secondary

All lanes:

Anti-Rabbit IgG (HRP), specific to the non-reduced form of IgG at 1/1000 dilution

Predicted band size: 29 kDa

Observed band size: 30 kDa

false

Exposure time: 1min

Western blot - Anti-PMM1 antibody [EPR17844] - BSA and Azide free (AB251358)
  • WB

Supplier Data

Western blot - Anti-PMM1 antibody [EPR17844] - BSA and Azide free (AB251358)

This data was developed using ab202058, the same antibody clone in a different buffer formulation.

Blocking and dilution buffer : 5% NFDM/TBST.

All lanes:

Western blot - Anti-PMM1 antibody [EPR17844] (<a href='/en-us/products/primary-antibodies/pmm1-antibody-epr17844-ab202058'>ab202058</a>) at 1/2000 dilution

Lane 1:

Mouse brain tissue lysate at 10 µg

Lane 2:

Rat brain tissue lysate at 10 µg

Secondary

All lanes:

Goat Anti-Rabbit IgG, (H+L), Peroxidase conjugated at 1/1000 dilution

Predicted band size: 29 kDa

Observed band size: 30 kDa

false

Exposure time: 30s

Western blot - Anti-PMM1 antibody [EPR17844] - BSA and Azide free (AB251358)
  • WB

Supplier Data

Western blot - Anti-PMM1 antibody [EPR17844] - BSA and Azide free (AB251358)

This data was developed using ab202058, the same antibody clone in a different buffer formulation.

Blocking and dilution buffer : 5% NFDM/TBST.

All lanes:

Western blot - Anti-PMM1 antibody [EPR17844] (<a href='/en-us/products/primary-antibodies/pmm1-antibody-epr17844-ab202058'>ab202058</a>) at 1/5000 dilution

Lane 1:

C6 (Rat glial tumor cells) whole cell lysate at 10 µg

Lane 2:

PC-12 (Rat adrenal gland pheochromocytoma) whole cell lysate at 10 µg

Lane 3:

NIH/3T3 (Mouse embyro fibroblast cells) whole cell lysate at 10 µg

Secondary

All lanes:

Goat Anti-Rabbit IgG, (H+L), Peroxidase conjugated at 1/1000 dilution

Predicted band size: 29 kDa

Observed band size: 30 kDa

false

Exposure time: 30s

Western blot - Anti-PMM1 antibody [EPR17844] - BSA and Azide free (AB251358)
  • WB

Supplier Data

Western blot - Anti-PMM1 antibody [EPR17844] - BSA and Azide free (AB251358)

This data was developed using ab202058, the same antibody clone in a different buffer formulation.

Blocking and dilution buffer : 5% NFDM/TBST.

All lanes:

Western blot - Anti-PMM1 antibody [EPR17844] (<a href='/en-us/products/primary-antibodies/pmm1-antibody-epr17844-ab202058'>ab202058</a>) at 1/2000 dilution

Lane 1:

Human fetal brain lysate at 10 µg

Lane 2:

Human fetal heart lysate at 10 µg

Lane 3:

Human fetal kidney lysate at 10 µg

Secondary

All lanes:

Anti-Rabbit IgG (HRP), specific to the non-reduced form of IgG at 1/1000 dilution

Predicted band size: 29 kDa

Observed band size: 30 kDa

false

Exposure time: 3min

Key facts

Host species

Rabbit

Clonality

Monoclonal

Clone number

EPR17844

Isotype

IgG

Carrier free

Yes

Reacts with

Mouse, Rat, Human

Applications

IHC-P, WB

applications

Immunogen

The exact immunogen used to generate this antibody is proprietary information.

Reactivity data

{ "title": "Reactivity Data", "filters": { "stats": ["", "Species", "Dilution Info", "Notes"], "tabs": { "all-applications": {"fullname" : "All Applications", "shortname": "All Applications"}, "WB" : {"fullname" : "Western blot", "shortname":"WB"}, "IHCP" : {"fullname" : "Immunohistochemistry (Formalin/PFA-fixed paraffin-embedded sections)", "shortname":"IHC-P"} }, "product-promise": { "all": "all", "testedAndGuaranteed": "tested", "guaranteed": "expected", "predicted": "predicted", "notRecommended": "not-recommended" } }, "values": { "Human": { "WB-species-checked": "testedAndGuaranteed", "WB-species-dilution-info": "", "WB-species-notes": "<p></p>", "IHCP-species-checked": "testedAndGuaranteed", "IHCP-species-dilution-info": "", "IHCP-species-notes": "<p></p>" }, "Mouse": { "WB-species-checked": "testedAndGuaranteed", "WB-species-dilution-info": "", "WB-species-notes": "<p></p>", "IHCP-species-checked": "testedAndGuaranteed", "IHCP-species-dilution-info": "", "IHCP-species-notes": "<p></p>" }, "Rat": { "WB-species-checked": "testedAndGuaranteed", "WB-species-dilution-info": "", "WB-species-notes": "<p></p>", "IHCP-species-checked": "testedAndGuaranteed", "IHCP-species-dilution-info": "", "IHCP-species-notes": "<p></p>" } } }

Product details

ab251358 is the carrier-free version of ab202058.

Patented technology
Our RabMAb® technology is a patented hybridoma-based technology for making rabbit monoclonal antibodies. For details on our patents, please refer to RabMAb® patents.

What are the advantages of a recombinant monoclonal antibody?
This product is a recombinant monoclonal antibody, which offers several advantages including:

  • - High batch-to-batch consistency and reproducibility
  • - Improved sensitivity and specificity
  • - Long-term security of supply
  • - Animal-free batch production

For more information, read more on recombinant antibodies.

Conjugation ready
Our carrier-free antibodies are typically supplied in a PBS-only formulation, purified and free of BSA, sodium azide and glycerol. This conjugation-ready format is designed for use with fluorochromes, metal isotopes, oligonucleotides, and enzymes, which makes them ideal for antibody labelling, functional and cell-based assays, flow-based assays (e.g. mass cytometry) and Multiplex Imaging applications.

Use our conjugation kits for antibody conjugates that are ready-to-use in as little as 20 minutes with 1 minute hands-on-time and 100% antibody recovery: available for fluorescent dyes, HRP, biotin and gold.

Compatibility
This product is compatible with the Maxpar® Antibody Labeling Kit from Fluidigm, without the need for antibody preparation. Maxpar® is a trademark of Fluidigm Canada Inc.

Properties and storage information

Form
Liquid
Purification technique
Affinity purification Protein A
Storage buffer
pH: 7.2 - 7.4 Constituents: PBS
Shipped at conditions
Blue Ice
Appropriate short-term storage conditions
+4°C
Appropriate long-term storage conditions
+4°C
Storage information
Do Not Freeze

Supplementary information

This supplementary information is collated from multiple sources and compiled automatically.

The protein Phosphomannomutase 1 (PMM1) plays an essential role in carbohydrate metabolism by catalyzing the interconversion of mannose-6-phosphate and mannose-1-phosphate. The protein is also known as PMM-1 and has a molecular weight of approximately 28 kDa. PMM1 is expressed in various tissues including the liver kidney and muscle indicating its wide physiological relevance. Its enzymatic function is important for producing GDP-mannose which is necessary for glycosylation processes.
Biological function summary

PMM1 facilitates the conversion of mannose phosphates which is important in protein glycosylation pathways particularly in the synthesis of N-linked glycoproteins. PMM1 operates as a monomer and it does not form part of any larger enzymatic complex. Its activity ensures a proper supply of mannose-1-phosphate required for synthesizing GDP-mannose a donor substrate for glycosylation reactions that is critical in the production of structural molecules and signaling pathways.

Pathways

PMM1 plays a significant role in the biosynthesis of GDP-mannose and impacts the N-glycosylation pathway. PMM1's enzymatic activities integrate closely with glycosylation pathways interfacing with proteins involved in glycan assembly and modification. It interacts with other metabolic pathways that involve mannose and cooperatively influences the cellular processes for protein targeting and function through glycosylation alongside proteins like phosphomannose isomerase (PMI).

PMM1 mutations and dysregulation show potential links to congenital disorders of glycosylation (CDG). These disorders arise from improper glycosylation affecting a variety of bodily systems. PMM1's function and interaction with other glycosylating proteins such as PMM2 is critical in addressing the potential glycosylation defects that contribute to these rare genetic disorders. Although detailed studies are ongoing PMM1 remains a vital focus in understanding the molecular basis of these diseases and potentially developing therapeutic interventions.

Product protocols

For this product, it's our understanding that no specific protocols are required. You can visit:

Target data

Involved in the synthesis of the GDP-mannose and dolichol-phosphate-mannose required for a number of critical mannosyl transfer reactions. In addition, may be responsible for the degradation of glucose-1,6-bisphosphate in ischemic brain.
See full target information PMM1

Publications (1)

Recent publications for all applications. Explore the full list and refine your search

Journal of nanobiotechnology 22:800 PubMed39731111

2024

Role of PCBP2 in regulating nanovesicles loaded with curcumin to mitigate neuroferroptosis in neural damage caused by heat stroke.

Applications

Unspecified application

Species

Unspecified reactive species

Fei Guo,Yizhan Wu,Guangjun Wang,Jiangwei Liu
View all publications

Product promise

We are committed to supporting your work with high-quality reagents, and we're here for you every step of the way. In the unlikely event that one of our products does not perform as expected, you're protected by our Product Promise.
For full details, please see our Terms & Conditions

Please note: All products are 'FOR RESEARCH USE ONLY. NOT FOR USE IN DIAGNOSTIC OR THERAPEUTIC PROCEDURES'.

For licensing inquiries, please contact partnerships@abcam.com