JavaScript is disabled in your browser. Please enable JavaScript to view this website.
AB270400

Anti-PMP22 antibody [EPR23112-110]

  • BOND RX™ Validated
  • RabMAb
  • Recombinant
  • 20ul selling size
  • What is this?

1

(1 Review)

|

(6 Publications)

Anti-PMP22 antibody [EPR23112-110] (ab270400) is a rabbit monoclonal antibody detecting PMP22 in Western Blot, Flow Cytometry, IP, IHC-P, ICC/IF. Suitable for Human.

- Biophysical QC for unrivalled batch-batch consistency

View Alternative Names

GAS3, PMP22, Peripheral myelin protein 22, PMP-22, Growth arrest-specific protein 3, GAS-3

7 Images
Immunohistochemistry (Formalin/PFA-fixed paraffin-embedded sections) - Anti-PMP22 antibody [EPR23112-110] (AB270400)
  • IHC-P

Lab

Immunohistochemistry (Formalin/PFA-fixed paraffin-embedded sections) - Anti-PMP22 antibody [EPR23112-110] (AB270400)

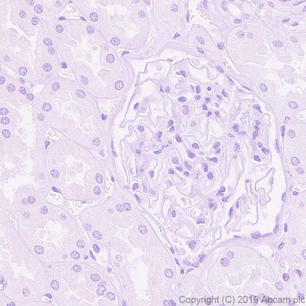
Immunohistochemical analysis of paraffin-embedded Human kidney tissue labeling PMP22 with ab270400 at 1/32000 dilution (0.018 μg/ml) followed by a ready to use Rabbit specific IHC polymer detection kit HRP/DAB (ab209101).

Negative control : negative staining in human kidney (PMID : 7649472).

The section was incubated with ab270400 for 10 mins at room temperature. The immunostaining was performed on a Leica Biosystems BOND® RX instrument Counterstained with Hematoxylin. Heat mediated antigen retrieval with Tris-EDTA buffer (pH 9.0, epitope retrieval solution2) for 20 mins. Secondary antibody is a ready to use Rabbit specific IHC polymer detection kit HRP/DAB (ab209101).

Immunohistochemistry (Formalin/PFA-fixed paraffin-embedded sections) - Anti-PMP22 antibody [EPR23112-110] (AB270400)
  • IHC-P

Lab

Immunohistochemistry (Formalin/PFA-fixed paraffin-embedded sections) - Anti-PMP22 antibody [EPR23112-110] (AB270400)

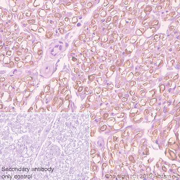
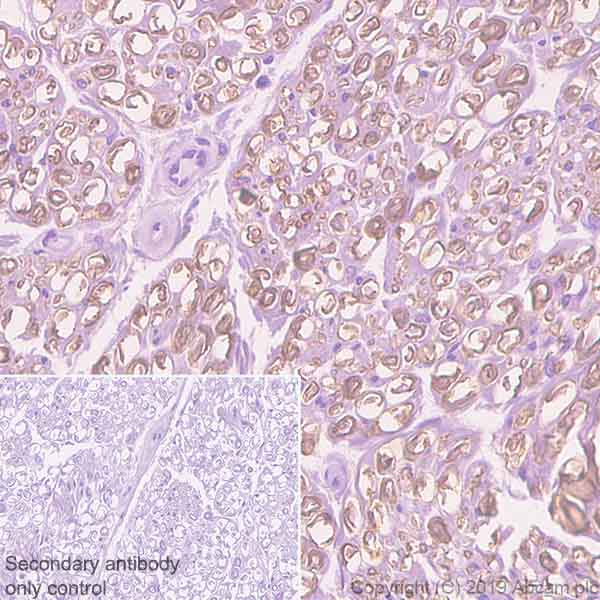
Immunohistochemical analysis of paraffin-embedded Human nerve tissue labeling PMP22 with ab270400 at 1/32000 dilution (0.018 μg/ml) followed by a ready to use Rabbit specific IHC polymer detection kit HRP/DAB (ab209101). Positive staining in Schwann cells of human nerve (PMID : 7691737) is observed. The section was incubated with ab270400 for 10 mins at room temperature. The immunostaining was performed on a Leica Biosystems BOND® RX instrument Counterstained with Hematoxylin. Heat mediated antigen retrieval with Tris-EDTA buffer (pH 9.0, epitope retrieval solution2) for 20 mins.

Secondary antibody only control : Used PBS instead of primary antibody, secondary antibody is a ready to use Rabbit specific IHC polymer detection kit HRP/DAB (ab209101).

Immunocytochemistry/ Immunofluorescence - Anti-PMP22 antibody [EPR23112-110] (AB270400)
  • ICC/IF

Lab

Immunocytochemistry/ Immunofluorescence - Anti-PMP22 antibody [EPR23112-110] (AB270400)

Immunofluorescent analysis of 4% Paraformaldehyde-fixed, 0.1% TritonX-100 permeabilized 293T cells transfected with a myc-tagged PMP22 expression construct. cells labelling PMP22 with ab270400 at 1/250 dilution, followed by ab150077 Goat Anti-Rabbit IgG H&L (Alexa Fluor® 488) antibody at 1/1000 dilution (Green). Confocal image showing cytoplasmic staining in 293T cells transfected with a myc-tagged PMP22 expression construct is observed. 2233S Myc-Tag (9B11) Mouse mAb (Alexa Fluor® 647 Conjugate) was used to counterstain tubulin at 1/100 dilution (Red). The Nuclear counterstain was DAPI (Blue).

Secondary antibody only control : Used PBS instead of primary antibody, secondary antibody is ab150077 Goat Anti-Rabbit IgG H&L (Alexa Fluor® 488) at 1/1000 dilution.

Flow Cytometry - Anti-PMP22 antibody [EPR23112-110] (AB270400)
  • Flow Cyt

Lab

Flow Cytometry - Anti-PMP22 antibody [EPR23112-110] (AB270400)

Flow cytometric analysis of 2% paraformaldehyde fixed 0.1% Tween-20 permeabilized 293T transfected with myc-his tagged PMP22 overexpression construct cells labelling PMP22 with ab270400 at 1/600 dilution (0.1 ug)/ Right compared with a Rabbit monoclonal IgG (ab172730) / Left isotype control. A Goat anti rabbit IgG (Alexa Fluor® 488, ab150077) at 1/2000 dilution was used as the secondary antibody. Cells were surface stained with isotype control or ab270400. Then fixed with 2% PFA for 10min followed by intracellularly stained with anti-myc tag conjugated to Alexa Fluor® 647.

Immunoprecipitation - Anti-PMP22 antibody [EPR23112-110] (AB270400)
  • IP

Lab

Immunoprecipitation - Anti-PMP22 antibody [EPR23112-110] (AB270400)

PMP22 was immunoprecipitated from 0.35 mg 293T (human embryonic kidney epithelial cell) transfected with PMP22 (WT) expression vector containing a myc-His-tag®, whole cell lysate with ab270400 at 1/30 dilution (2 μg in 0.35mg lysates). Western blot was performed on the immunoprecipitate using ab270400 1/1000 dilution (0.58 μg/ml). VeriBlot for IP Detection Reagent (HRP)(ab131366) was used at 1/5000 dilution.

Lane 1 : 293T cells transfected with PMP22 (WT) expression vector containing a myc-His-tag®, whole cell lysate 10 μg

Lane 2 : ab270400 IP in 293T transfected with PMP22 (WT) expression vector containing a myc-His-tag®, whole cell lysate

Lane 3 : Rabbit monoclonal IgG (ab172730) instead of ab270400 in 293T transfected with PMP22 (WT) expression vector containing a myc-His-tag®, whole cell lysate. Blocking and dilution buffer and concentration : 5% NFDM/TBST.

Exposure time : 3 seconds

All lanes:

Immunoprecipitation - Anti-PMP22 antibody [EPR23112-110] (ab270400)

Predicted band size: 18 kDa

Observed band size: 25-22 kDa

false

Western blot - Anti-PMP22 antibody [EPR23112-110] (AB270400)
  • WB

Lab

Western blot - Anti-PMP22 antibody [EPR23112-110] (AB270400)

The expression profile observed is consistent with what has been described in the literature (PMID : 25429154; 7649472).
Negative control : Human brain (PMID : 7649472).

Blocking/diluting buffer and concentration : 5% NFDM/TBST

All lanes:

Western blot - Anti-PMP22 antibody [EPR23112-110] (ab270400) at 1/1000 dilution

Lane 1:

Human leg nerve tissue lysate at 20 µg

Lane 2:

Human brain tissue lysate at 20 µg

Secondary

All lanes:

Western blot - VeriBlot for IP Detection Reagent (HRP) (<a href='/en-us/products/reagents/veriblot-for-ip-detection-reagent-hrp-ab131366'>ab131366</a>) at 1/1000 dilution

Predicted band size: 18 kDa

Observed band size: 18 kDa,22 kDa

false

Exposure time: 3s

Western blot - Anti-PMP22 antibody [EPR23112-110] (AB270400)
  • WB

Lab

Western blot - Anti-PMP22 antibody [EPR23112-110] (AB270400)

All lanes:

Western blot - Anti-PMP22 antibody [EPR23112-110] (ab270400) at 1/1000 dilution

Lane 1:

293T (human embryonic kidney epithelial cell) transfected with an empty vector (vector control) containing a myc-His-tag®, whole cell lysate at 20 µg

Lane 2:

293T transfected with PMP22 (WT) expression vector containing a myc-His-tag®, whole cell lysate at 20 µg

Secondary

All lanes:

Western blot - VeriBlot for IP Detection Reagent (HRP) (<a href='/en-us/products/reagents/veriblot-for-ip-detection-reagent-hrp-ab131366'>ab131366</a>) at 1/1000 dilution

Predicted band size: 18 kDa

Observed band size: 18 kDa,20 kDa

false

Exposure time: 15s

  • Carrier free

    Anti-PMP22 antibody [EPR23112-110] - BSA and Azide free

  • 660 APC

    APC Anti-PMP22 antibody [EPR23112-110]

  • HRP

    HRP Anti-PMP22 antibody [EPR23112-110]

  • 665 Alexa Fluor® 647

    Alexa Fluor® 647 Anti-PMP22 antibody [EPR23112-110]

  • 519 Alexa Fluor® 488

    Alexa Fluor® 488 Anti-PMP22 antibody [EPR23112-110]

  • 617 Alexa Fluor® 594

    Alexa Fluor® 594 Anti-PMP22 antibody [EPR23112-110]

  • 603 Alexa Fluor® 568

    Alexa Fluor® 568 Anti-PMP22 antibody [EPR23112-110]

  • 565 Alexa Fluor® 555

    Alexa Fluor® 555 Anti-PMP22 antibody [EPR23112-110]

  • 578 PE

    PE Anti-PMP22 antibody [EPR23112-110]

  • 775 Alexa Fluor® 750

    Alexa Fluor® 750 Anti-PMP22 antibody [EPR23112-110]

Key facts

Host species

Rabbit

Clonality

Monoclonal

Clone number

EPR23112-110

Isotype

IgG

Carrier free

No

Reacts with

Human

Applications

IP, WB, ICC/IF, IHC-P, Flow Cyt

applications

Immunogen

The exact immunogen used to generate this antibody is proprietary information.

Reactivity data

{ "title": "Reactivity Data", "filters": { "stats": ["", "Species", "Dilution Info", "Notes"], "tabs": { "all-applications": {"fullname" : "All Applications", "shortname": "All Applications"}, "IHCP" : {"fullname" : "Immunohistochemistry (Formalin/PFA-fixed paraffin-embedded sections)", "shortname":"IHC-P"}, "IP" : {"fullname" : "Immunoprecipitation", "shortname":"IP"}, "FlowCyt" : {"fullname" : "Flow Cytometry", "shortname":"Flow Cyt"}, "WB" : {"fullname" : "Western blot", "shortname":"WB"}, "ICCIF" : {"fullname" : "Immunocytochemistry/ Immunofluorescence", "shortname":"ICC/IF"} }, "product-promise": { "all": "all", "testedAndGuaranteed": "tested", "guaranteed": "expected", "predicted": "predicted", "notRecommended": "not-recommended" } }, "values": { "Human": { "IHCP-species-checked": "testedAndGuaranteed", "IHCP-species-dilution-info": "1/32000", "IHCP-species-notes": "<p></p> Perform heat-mediated antigen retrieval with citrate buffer pH 6 before commencing with IHC staining protocol.", "IP-species-checked": "testedAndGuaranteed", "IP-species-dilution-info": "1/30", "IP-species-notes": "<p></p>", "FlowCyt-species-checked": "testedAndGuaranteed", "FlowCyt-species-dilution-info": "1/600", "FlowCyt-species-notes": "<p></p>", "WB-species-checked": "testedAndGuaranteed", "WB-species-dilution-info": "1/1000", "WB-species-notes": "<p></p>", "ICCIF-species-checked": "testedAndGuaranteed", "ICCIF-species-dilution-info": "1/250", "ICCIF-species-notes": "<p></p>" }, "Mouse": { "IHCP-species-checked": "notRecommended", "IHCP-species-dilution-info": "1/32000", "IHCP-species-notes": "<p></p> Perform heat-mediated antigen retrieval with citrate buffer pH 6 before commencing with IHC staining protocol.", "IP-species-checked": "notRecommended", "IP-species-dilution-info": "", "IP-species-notes": "", "FlowCyt-species-checked": "notRecommended", "FlowCyt-species-dilution-info": "", "FlowCyt-species-notes": "", "WB-species-checked": "notRecommended", "WB-species-dilution-info": "1/1000", "WB-species-notes": "<p></p>", "ICCIF-species-checked": "notRecommended", "ICCIF-species-dilution-info": "", "ICCIF-species-notes": "" }, "Rat": { "IHCP-species-checked": "notRecommended", "IHCP-species-dilution-info": "1/32000", "IHCP-species-notes": "<p></p> Perform heat-mediated antigen retrieval with citrate buffer pH 6 before commencing with IHC staining protocol.", "IP-species-checked": "notRecommended", "IP-species-dilution-info": "", "IP-species-notes": "", "FlowCyt-species-checked": "notRecommended", "FlowCyt-species-dilution-info": "", "FlowCyt-species-notes": "", "WB-species-checked": "notRecommended", "WB-species-dilution-info": "1/1000", "WB-species-notes": "<p></p>", "ICCIF-species-checked": "notRecommended", "ICCIF-species-dilution-info": "", "ICCIF-species-notes": "" } } }

Product details

What is this antibody validated in?
Anti-PMP22 antibody [EPR23112-110] (ab270400) is a rabbit recombinant monoclonal antibody and is validated for use in Western Blot (WB), Flow Cytometry (Flow Cyt), Immunoprecipitation (IP), Immunohistochemistry (IHC-P), Immunocytochemistry/immunofluorescence (ICC/IF) in Human samples.

What is the molecular weight of PMP22?
Anti-PMP22 [EPR23112-110] (ab270400) specifically detects a band for PMP22 (UniProt: Q01453) at a molecular weight of 18kDa.

Trial sizes available!
Test your antibody or perform pre-screening before committing to a larger quantity. Sold in 10µl. Discover our selection of trial-size antibodies.

Other related products
We have a range of other formats of antibody clone [EPR23112-110] also available for your convenience: ab270400, Carrier free - ab270407, PE - ab306319, APC - ab306320, HRP - ab306321, Alkaline Phosphatase - ab308970, Alexa Fluor® 488 - ab309916, Alexa Fluor® 647 - ab310284, Alexa Fluor® 594 - ab310742, Alexa Fluor® 555 - ab312271, Alexa Fluor® 568 - ab312762, Alexa Fluor® 750 - ab321532

Patented technology
Our RabMAb® technology is a patented hybridoma-based technology for making rabbit monoclonal antibodies. For details on our patents, please refer to RabMAb® patents.

What are the advantages of a recombinant monoclonal antibody?
This product is a recombinant monoclonal antibody, which offers several advantages including:

  • - High batch-to-batch consistency and reproducibility
  • - Improved sensitivity and specificity
  • - Long-term security of supply
  • - Animal-free batch production

For more information, read more on recombinant antibodies.

Properties and storage information

Form
Liquid
Purification technique
Affinity purification Protein A
Storage buffer
pH: 7.2 - 7.4 Preservative: 0.01% Sodium azide Constituents: PBS, 40% Glycerol (glycerin, glycerine), 0.05% BSA
Shipped at conditions
Blue Ice
Appropriate short-term storage duration
1-2 weeks
Appropriate short-term storage conditions
+4°C
Appropriate long-term storage conditions
-20°C
Aliquoting information
Upon delivery aliquot
Storage information
Avoid freeze / thaw cycle

Supplementary information

This supplementary information is collated from multiple sources and compiled automatically.

The 'PMP22 protein' also known as Peripheral Myelin Protein 22 is an essential component of the myelin sheath in the peripheral nervous system. It has a molecular weight of approximately 22 kDa. The protein is highly expressed in Schwann cells which are responsible for forming myelin around peripheral nerves. PMP22 contains four transmembrane domains playing a role in its structural function in the membrane.
Biological function summary

The 'PMP22' serves an important role in maintaining the integrity and functionality of the myelin sheath contributing to efficient nerve conduction. It is not typically part of a complex but interacts with other myelin proteins to support myelin compaction and stability. The protein's presence affects the cell cycle and myelination process important for the normal functioning of the peripheral nervous system.

Pathways

'PMP22 protein' plays roles in the Schwann cell differentiation and myelination pathways. It maintains correct peripheral nerve structure and function with connections to proteins such as MPZ (Myelin Protein Zero) which are also integral for proper nerve insulation. There are specific pathways where PMP22 downregulation or overexpression impacts the normal myelination cycle significant for peripheral nerve health.

'PMP 22' mutations or overexpression relate to Charcot-Marie-Tooth disease type 1A and Hereditary Neuropathy with Liability to Pressure Palsies (HNPP). These conditions arise from gene dosage changes affecting nerve function where altered PMP22 protein levels lead to defective myelin formation. Interaction between PMP22 and proteins like connexin 32 shows further ties to demyelinating neuropathies emphasizing the gene-protein network involved in these disorders.

Product protocols

For this product, it's our understanding that no specific protocols are required. You can visit:

Target data

Might be involved in growth regulation, and in myelinization in the peripheral nervous system.
See full target information PMP22

Publications (6)

Recent publications for all applications. Explore the full list and refine your search

International journal of pharmaceutics 671:125234 PubMed39855282

2025

Therapeutic potential of siRNA PMP22-SQ nanoparticles for Charcot-Marie-Tooth 1A neuropathy in rodents and non-human primates.

Applications

Unspecified application

Species

Unspecified reactive species

Suzan Boutary,Guy Khalaf,Yosef Landesman,Mevidette El Madani,Didier Desmaële,Françoise Piguet,Rafael Alonso,Elena-Gaia Banchi,David Adams,Charbel Massaad,Liliane Massaad-Massade

Neural regeneration research 21:1222-1235 PubMed39589179

2024

Porcine decellularized nerve matrix hydrogel attenuates neuroinflammation after peripheral nerve injury by inhibiting the TLR4/MyD88/NF-κB axis.

Applications

Unspecified application

Species

Unspecified reactive species

Rui Li,Jianquan Liu,Liuxun Li,Guotian Luo,Xinrong Yuan,Shichao Shen,Yongpeng Shi,Jianlong Wu,Bin Yan,Lei Yang

Cellular and molecular life sciences : CMLS 81:434 PubMed39400753

2024

Pharmacologically increasing cGMP improves proteostasis and reduces neuropathy in mouse models of CMT1.

Applications

Unspecified application

Species

Unspecified reactive species

Seth M Moore,Joseph Gawron,Mckayla Stevens,Leandro N Marziali,Emmanuel S Buys,G Todd Milne,Maria Laura Feltri,Jordan J S VerPlank

European journal of pain (London, England) 28:1674-1684 PubMed38982797

2024

Potential analgesic effect of a novel cannabidiol nanocrystals powder for the treatment of neuropathic pain.

Applications

Unspecified application

Species

Unspecified reactive species

Yu Wang,Xinzhen Fu,Meihua Zheng,Qian Liu,Hailin Gan,Zeyu Song,Mingyan Yang,Ke Liu,Zeping Xie,Huaying Fan

Bioactive materials 28:227-242 PubMed37292230

2023

Li-Mg-Si bioceramics provide a dynamic immuno-modulatory and repair-supportive microenvironment for peripheral nerve regeneration.

Applications

Unspecified application

Species

Unspecified reactive species

Yiting Sun,Hongjian Zhang,Yu Zhang,Zheqi Liu,Dongming He,Wanlin Xu,Siyi Li,Chenping Zhang,Zhen Zhang

Drug design, development and therapy 14:2695-2705 PubMed32753848

2020

Ulinastatin Promotes Regeneration of Peripheral Nerves After Sciatic Nerve Injury by Targeting let-7 microRNAs and Enhancing NGF Expression.

Applications

Unspecified application

Species

Unspecified reactive species

Jincheng Zhang,Yingqi Zhang,Lei Chen,Zhitao Rao,Yeqing Sun
View all publications

Product promise

We are committed to supporting your work with high-quality reagents, and we're here for you every step of the way. In the unlikely event that one of our products does not perform as expected, you're protected by our Product Promise.
For full details, please see our Terms & Conditions

Please note: All products are 'FOR RESEARCH USE ONLY. NOT FOR USE IN DIAGNOSTIC OR THERAPEUTIC PROCEDURES'.

For licensing inquiries, please contact partnerships@abcam.com