JavaScript is disabled in your browser. Please enable JavaScript to view this website.
AB270399

Anti-PMP22 antibody [EPR23113-31]

1

(1 Review)

|

(0 Publication)

Rabbit Recombinant Monoclonal PMP22 antibody. Suitable for Flow Cyt, WB, ICC/IF, IHC-P and reacts with Human samples.

View Alternative Names

GAS3, PMP22, Peripheral myelin protein 22, PMP-22, Growth arrest-specific protein 3, GAS-3

5 Images
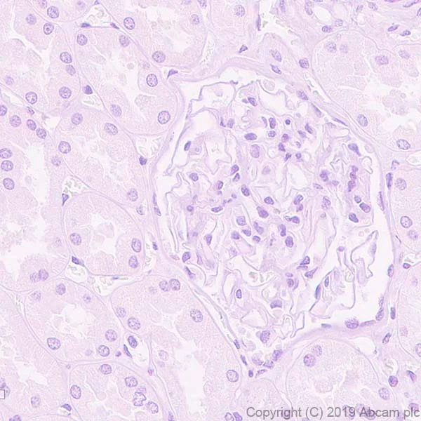
Immunohistochemistry (Formalin/PFA-fixed paraffin-embedded sections) - Anti-PMP22 antibody [EPR23113-31] (AB270399)
  • IHC-P

Lab

Immunohistochemistry (Formalin/PFA-fixed paraffin-embedded sections) - Anti-PMP22 antibody [EPR23113-31] (AB270399)

Immunohistochemical analysis of paraffin-embedded Human kidney tissue labeling PMP22 with ab270399 at 1 : 16000 dilution (0.03 μg/ml) followed by a ready to use Rabbit specific IHC polymer detection kit HRP/DAB (ab209101).

Negative control : negative staining in human kidney (PMID : 7649472).

The section was incubated with ab270399 for 10 mins at room temperature. The immunostaining was performed on a Leica Biosystems BOND® RX instrument Counterstained with Hematoxylin. Heat mediated antigen retrieval with Tris-EDTA buffer (pH 9.0, epitope retrieval solution 2) for 20 mins.

Secondary antibody only control : Used PBS instead of primary antibody, secondary antibody is a ready to use Rabbit specific IHC polymer detection kit HRP/DAB (ab209101).

Flow Cytometry - Anti-PMP22 antibody [EPR23113-31] (AB270399)
  • Flow Cyt

Lab

Flow Cytometry - Anti-PMP22 antibody [EPR23113-31] (AB270399)

Flow cytometric analysis of 2% paraformaldehyde fixed 0.1% Tween-20 permeabilized 293T transfected with myc-his tagged PMP22 overexpression construct cells labelling PMP22 with ab270399 at 1/500 dilution (0.1 ug) / Right compared with a Rabbit monoclonal IgG (ab172730) / Left isotype control and an unlabelled control (cells without incubation with primary antibody and secondary antibody) (Blue). A Goat anti rabbit IgG (Alexa Fluor® 488, ab150077) at 1/2000 dilution was used as the secondary antibody. Cells were surface stained with isotype control or ab270399. Then fixed with 2% PFA for 10min followed by intracellularly stained with anti-myc tag conjugated to Alexa Fluor® 647.

Immunocytochemistry/ Immunofluorescence - Anti-PMP22 antibody [EPR23113-31] (AB270399)
  • ICC/IF

Lab

Immunocytochemistry/ Immunofluorescence - Anti-PMP22 antibody [EPR23113-31] (AB270399)

Immunofluorescent analysis of 4% Paraformaldehyde-fixed, 0.1% TritonX-100 permeabilized 293T+OE-637(+/-) cells labelling PMP22 with ab270399 at 1/250 dilution, followed by ab150077 Goat Anti-Rabbit IgG H&L (Alexa Fluor® 488) antibody at 1/1000 dilution (Green). Confocal image showing cytoplasmic staining in 293T cells transfected with a myc-tagged PMP22 expression construct is observed. 2233S Myc-Tag (9B11) Mouse mAb (Alexa Fluor® 647 Conjugate) was used to counterstain tubulin at 1/100 dilution (Red). The Nuclear counterstain was DAPI (Blue).

Secondary antibody only control : Used PBS instead of primary antibody, secondary antibody is ab150077 Goat Anti-Rabbit IgG H&L (Alexa Fluor® 488) at 1/1000 dilution.

Immunohistochemistry (Formalin/PFA-fixed paraffin-embedded sections) - Anti-PMP22 antibody [EPR23113-31] (AB270399)
  • IHC-P

Lab

Immunohistochemistry (Formalin/PFA-fixed paraffin-embedded sections) - Anti-PMP22 antibody [EPR23113-31] (AB270399)

Immunohistochemical analysis of paraffin-embedded Human nerve tissue labeling PMP22 with ab270399 at 1/16000 dilution (0.03 μg/ml) followed by a ready to use Rabbit specific IHC polymer detection kit HRP/DAB (ab209101). Positive staining in Schwann cells of human nerve (PMID : 7691737) is observed. The section was incubated with ab270399 for 10 mins at room temperature. The immunostaining was performed on a Leica Biosystems BOND® RX instrument Counterstained with Hematoxylin. Heat mediated antigen retrieval with Tris-EDTA buffer (pH 9.0, epitope retrieval solution2) for 20 mins.

Secondary antibody only control : Used PBS instead of primary antibody, secondary antibody is a ready to use Rabbit specific IHC polymer detection kit HRP/DAB (ab209101).

Western blot - Anti-PMP22 antibody [EPR23113-31] (AB270399)
  • WB

Lab

Western blot - Anti-PMP22 antibody [EPR23113-31] (AB270399)

The expression profile observed is consistent with what has been described in the literature (PMID : 25429154; 7649472).
Negative control : Human brain (PMID : 7649472).

All lanes:

Western blot - Anti-PMP22 antibody [EPR23113-31] (ab270399) at 1/1000 dilution

Lane 1:

Human leg nerve tissue lysate at 20 µg

Lane 2:

Human brain nerve tissue lysate at 20 µg

Secondary

All lanes:

Western blot - Goat Anti-Rabbit IgG H&L (HRP) (<a href='/en-us/products/secondary-antibodies/goat-rabbit-igg-h-l-hrp-ab97051'>ab97051</a>) at 1/100000 dilution

Predicted band size: 18 kDa

Observed band size: 18 kDa,22 kDa

false

Exposure time: 6s

Key facts

Host species

Rabbit

Clonality

Monoclonal

Clone number

EPR23113-31

Isotype

IgG

Carrier free

No

Reacts with

Human

Applications

WB, Flow Cyt, ICC/IF, IHC-P

applications

Immunogen

The exact immunogen used to generate this antibody is proprietary information.

Reactivity data

{ "title": "Reactivity Data", "filters": { "stats": ["", "Species", "Dilution Info", "Notes"], "tabs": { "all-applications": {"fullname" : "All Applications", "shortname": "All Applications"}, "FlowCyt" : {"fullname" : "Flow Cytometry", "shortname":"Flow Cyt"}, "WB" : {"fullname" : "Western blot", "shortname":"WB"}, "ICCIF" : {"fullname" : "Immunocytochemistry/ Immunofluorescence", "shortname":"ICC/IF"}, "IHCP" : {"fullname" : "Immunohistochemistry (Formalin/PFA-fixed paraffin-embedded sections)", "shortname":"IHC-P"}, "IP" : {"fullname" : "Immunoprecipitation", "shortname":"IP"} }, "product-promise": { "all": "all", "testedAndGuaranteed": "tested", "guaranteed": "expected", "predicted": "predicted", "notRecommended": "not-recommended" } }, "values": { "Human": { "FlowCyt-species-checked": "testedAndGuaranteed", "FlowCyt-species-dilution-info": "1/500", "FlowCyt-species-notes": "<p></p>", "WB-species-checked": "testedAndGuaranteed", "WB-species-dilution-info": "1/1000", "WB-species-notes": "<p></p>", "ICCIF-species-checked": "testedAndGuaranteed", "ICCIF-species-dilution-info": "1/250", "ICCIF-species-notes": "<p></p>", "IHCP-species-checked": "testedAndGuaranteed", "IHCP-species-dilution-info": "1/16000", "IHCP-species-notes": "<p></p>", "IP-species-checked": "notRecommended", "IP-species-dilution-info": "", "IP-species-notes": "<p></p>" }, "Mouse": { "FlowCyt-species-checked": "notRecommended", "FlowCyt-species-dilution-info": "", "FlowCyt-species-notes": "", "WB-species-checked": "notRecommended", "WB-species-dilution-info": "1/1000", "WB-species-notes": "<p></p>", "ICCIF-species-checked": "notRecommended", "ICCIF-species-dilution-info": "", "ICCIF-species-notes": "", "IHCP-species-checked": "notRecommended", "IHCP-species-dilution-info": "1/16000", "IHCP-species-notes": "<p></p>", "IP-species-checked": "notRecommended", "IP-species-dilution-info": "", "IP-species-notes": "" }, "Rat": { "FlowCyt-species-checked": "notRecommended", "FlowCyt-species-dilution-info": "", "FlowCyt-species-notes": "", "WB-species-checked": "notRecommended", "WB-species-dilution-info": "1/1000", "WB-species-notes": "<p></p>", "ICCIF-species-checked": "notRecommended", "ICCIF-species-dilution-info": "", "ICCIF-species-notes": "", "IHCP-species-checked": "notRecommended", "IHCP-species-dilution-info": "1/16000", "IHCP-species-notes": "<p></p>", "IP-species-checked": "notRecommended", "IP-species-dilution-info": "", "IP-species-notes": "" } } }

Product details

Patented technology
Our RabMAb® technology is a patented hybridoma-based technology for making rabbit monoclonal antibodies. For details on our patents, please refer to RabMAb® patents.

What are the advantages of a recombinant monoclonal antibody?
This product is a recombinant monoclonal antibody, which offers several advantages including:

  • - High batch-to-batch consistency and reproducibility
  • - Improved sensitivity and specificity
  • - Long-term security of supply
  • - Animal-free batch production

For more information, read more on recombinant antibodies.

Properties and storage information

Form
Liquid
Purification technique
Affinity purification Protein A
Storage buffer
pH: 7.2 - 7.4 Preservative: 0.01% Sodium azide Constituents: PBS, 40% Glycerol (glycerin, glycerine), 0.05% BSA
Shipped at conditions
Blue Ice
Appropriate short-term storage duration
1-2 weeks
Appropriate short-term storage conditions
+4°C
Appropriate long-term storage conditions
-20°C
Aliquoting information
Upon delivery aliquot
Storage information
Avoid freeze / thaw cycle

Supplementary information

This supplementary information is collated from multiple sources and compiled automatically.

The 'PMP22 protein' also known as Peripheral Myelin Protein 22 is an essential component of the myelin sheath in the peripheral nervous system. It has a molecular weight of approximately 22 kDa. The protein is highly expressed in Schwann cells which are responsible for forming myelin around peripheral nerves. PMP22 contains four transmembrane domains playing a role in its structural function in the membrane.
Biological function summary

The 'PMP22' serves an important role in maintaining the integrity and functionality of the myelin sheath contributing to efficient nerve conduction. It is not typically part of a complex but interacts with other myelin proteins to support myelin compaction and stability. The protein's presence affects the cell cycle and myelination process important for the normal functioning of the peripheral nervous system.

Pathways

'PMP22 protein' plays roles in the Schwann cell differentiation and myelination pathways. It maintains correct peripheral nerve structure and function with connections to proteins such as MPZ (Myelin Protein Zero) which are also integral for proper nerve insulation. There are specific pathways where PMP22 downregulation or overexpression impacts the normal myelination cycle significant for peripheral nerve health.

'PMP 22' mutations or overexpression relate to Charcot-Marie-Tooth disease type 1A and Hereditary Neuropathy with Liability to Pressure Palsies (HNPP). These conditions arise from gene dosage changes affecting nerve function where altered PMP22 protein levels lead to defective myelin formation. Interaction between PMP22 and proteins like connexin 32 shows further ties to demyelinating neuropathies emphasizing the gene-protein network involved in these disorders.

Product protocols

For this product, it's our understanding that no specific protocols are required. You can visit:

Target data

Might be involved in growth regulation, and in myelinization in the peripheral nervous system.
See full target information PMP22

Product promise

We are committed to supporting your work with high-quality reagents, and we're here for you every step of the way. In the unlikely event that one of our products does not perform as expected, you're protected by our Product Promise.
For full details, please see our Terms & Conditions

Please note: All products are 'FOR RESEARCH USE ONLY. NOT FOR USE IN DIAGNOSTIC OR THERAPEUTIC PROCEDURES'.

For licensing inquiries, please contact partnerships@abcam.com