JavaScript is disabled in your browser. Please enable JavaScript to view this website.
AB303558

Anti-PMP22 antibody [EPR26310-118-5]

  • BOND RX™ Validated
  • 20ul selling size
  • RabMAb
  • Recombinant
  • What is this?

Be the first to review this product! Submit a review

|

(2 Publications)

Rabbit Recombinant Monoclonal PMP22 antibody. Suitable for WB, IHC-P and reacts with Mouse, Rat samples. Cited in 2 publications.

View Alternative Names

Gas-3, Gas3, Pmp-22, Pmp22, Peripheral myelin protein 22, PMP-22, Growth arrest-specific protein 3, GAS-3

4 Images
Immunohistochemistry (Formalin/PFA-fixed paraffin-embedded sections) - Anti-PMP22 antibody [EPR26310-118-5] (AB303558)
  • IHC-P

Supplier Data

Immunohistochemistry (Formalin/PFA-fixed paraffin-embedded sections) - Anti-PMP22 antibody [EPR26310-118-5] (AB303558)

Immunohistochemical analysis of paraffin-embedded Rat sciatic nerve tissue labeling PMP22 with ab303558 at 1/500 (1.08 ug/ml) followed by a ready to use LeicaDS9800 (Bond™ Polymer Refine Detection) was used. Cytoplasmic staining on rat sciatic nerve. The section was incubated with ab303558 for 30 mins at room temperature.The immunostaining was performed on a Leica Biosystems BOND® RX instrument Counterstained with Hematoxylin. Secondary antibody only control : Secondary antibody is a ready to use LeicaDS9800 (Bond™ Polymer Refine Detection).Heat mediated antigen retrieval with Tris-EDTA buffer (pH 9.0, epitope retrieval solution2) for 20 mins

Immunohistochemistry (Formalin/PFA-fixed paraffin-embedded sections) - Anti-PMP22 antibody [EPR26310-118-5] (AB303558)
  • IHC-P

Supplier Data

Immunohistochemistry (Formalin/PFA-fixed paraffin-embedded sections) - Anti-PMP22 antibody [EPR26310-118-5] (AB303558)

Immunohistochemical analysis of paraffin-embedded Mouse kidney tissue labeling PMP22 with ab303558 at 1/2000 (0.27 ug/ml) followed by a ready to use LeicaDS9800 (Bond™ Polymer Refine Detection) was used. Negative control : No staining on mouse kidney. The section was incubated with ab303558 for 30 mins at room temperature.The immunostaining was performed on a Leica Biosystems BOND® RX instrument Counterstained with Hematoxylin. Secondary antibody only control : Secondary antibody is a ready to use LeicaDS9800 (Bond™ Polymer Refine Detection).Heat mediated antigen retrieval with Tris-EDTA buffer (pH 9.0, epitope retrieval solution2) for 20 mins

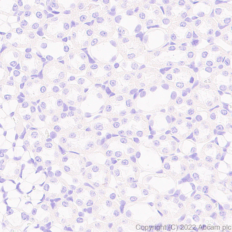
Immunohistochemistry (Formalin/PFA-fixed paraffin-embedded sections) - Anti-PMP22 antibody [EPR26310-118-5] (AB303558)
  • IHC-P

Supplier Data

Immunohistochemistry (Formalin/PFA-fixed paraffin-embedded sections) - Anti-PMP22 antibody [EPR26310-118-5] (AB303558)

Immunohistochemical analysis of paraffin-embedded Mouse sciatic nerve tissue labeling PMP22 with ab303558 at 1/2000 (0.27 ug/ml) followed by a ready to use LeicaDS9800 (Bond™ Polymer Refine Detection) was used. Cytoplasmic staining on mouse sciatic nerve. The section was incubated with ab303558 for 30 mins at room temperature.The immunostaining was performed on a Leica Biosystems BOND® RX instrument Counterstained with Hematoxylin. Secondary antibody only control : Secondary antibody is a ready to use LeicaDS9800 (Bond™ Polymer Refine Detection).Heat mediated antigen retrieval with Tris-EDTA buffer (pH 9.0, epitope retrieval solution2) for 20 mins

Western blot - Anti-PMP22 antibody [EPR26310-118-5] (AB303558)
  • WB

Supplier Data

Western blot - Anti-PMP22 antibody [EPR26310-118-5] (AB303558)

Blocking and dilution buffer and concentration : 5% NFDM/TBST.  The molecular weight observed is consistent with what has been described in the literature (PMID : 7649472). Negative controls : brain, kidney (PMID : 7649472) The blot of 4-6 was developed using a high sensitivity ECL substrate. The identity of the higher MW band in lane 4 is unknown. Exposure time : Lane 1-3 : 3minutes Lane 4-6 : 103 seconds

All lanes:

Western blot - Anti-PMP22 antibody [EPR26310-118-5] (ab303558) at 1/1000 dilution

Lane 1:

Mouse sciatic nerve tissue lysate at 20 µg

Lane 2:

Mouse brain tissue lysate at 20 µg

Lane 3:

Mouse kidney tissue lysate at 20 µg

Lane 4:

Rat sciatic nerve tissue lysate at 20 µg

Lane 5:

Rat brain tissue lysate at 20 µg

Lane 6:

Rat kidney tissue lysate at 20 µg

Secondary

All lanes:

Western blot - Goat Anti-Rabbit IgG H&L (HRP) (<a href='/en-us/products/secondary-antibodies/goat-rabbit-igg-h-l-hrp-ab97051'>ab97051</a>) at 1/100000 dilution

Predicted band size: 18 kDa

Observed band size: 20 kDa

false

  • Carrier free

    Anti-PMP22 antibody [EPR26310-118-5] - BSA and Azide free

Key facts

Host species

Rabbit

Clonality

Monoclonal

Clone number

EPR26310-118-5

Isotype

IgG

Carrier free

No

Reacts with

Mouse, Rat

Applications

WB, IHC-P

applications

Immunogen

The exact immunogen used to generate this antibody is proprietary information.

Reactivity data

{ "title": "Reactivity Data", "filters": { "stats": ["", "Species", "Dilution Info", "Notes"], "tabs": { "all-applications": {"fullname" : "All Applications", "shortname": "All Applications"}, "WB" : {"fullname" : "Western blot", "shortname":"WB"}, "IHCP" : {"fullname" : "Immunohistochemistry (Formalin/PFA-fixed paraffin-embedded sections)", "shortname":"IHC-P"}, "IHCFr" : {"fullname" : "Immunohistochemistry (Frozen sections)", "shortname":"IHC-Fr"}, "FlowCyt" : {"fullname" : "Flow Cytometry", "shortname":"Flow Cyt"}, "IP" : {"fullname" : "Immunoprecipitation", "shortname":"IP"} }, "product-promise": { "all": "all", "testedAndGuaranteed": "tested", "guaranteed": "expected", "predicted": "predicted", "notRecommended": "not-recommended" } }, "values": { "Human": { "WB-species-checked": "notRecommended", "WB-species-dilution-info": "1/1000", "WB-species-notes": "<p></p>", "IHCP-species-checked": "notRecommended", "IHCP-species-dilution-info": "1/500", "IHCP-species-notes": "<p></p> Perform heat-mediated antigen retrieval with Tris/EDTA buffer pH 9.0 before commencing with IHC staining protocol.", "IHCFr-species-checked": "notRecommended", "IHCFr-species-dilution-info": "", "IHCFr-species-notes": "", "FlowCyt-species-checked": "notRecommended", "FlowCyt-species-dilution-info": "", "FlowCyt-species-notes": "", "IP-species-checked": "notRecommended", "IP-species-dilution-info": "", "IP-species-notes": "" }, "Mouse": { "WB-species-checked": "testedAndGuaranteed", "WB-species-dilution-info": "1/1000", "WB-species-notes": "<p></p>", "IHCP-species-checked": "testedAndGuaranteed", "IHCP-species-dilution-info": "1/500", "IHCP-species-notes": "<p></p> Perform heat-mediated antigen retrieval with Tris/EDTA buffer pH 9.0 before commencing with IHC staining protocol.", "IHCFr-species-checked": "notRecommended", "IHCFr-species-dilution-info": "", "IHCFr-species-notes": "<p></p>", "FlowCyt-species-checked": "notRecommended", "FlowCyt-species-dilution-info": "", "FlowCyt-species-notes": "<p></p>", "IP-species-checked": "notRecommended", "IP-species-dilution-info": "", "IP-species-notes": "<p></p>" }, "Rat": { "WB-species-checked": "testedAndGuaranteed", "WB-species-dilution-info": "1/1000", "WB-species-notes": "<p></p>", "IHCP-species-checked": "testedAndGuaranteed", "IHCP-species-dilution-info": "1/500", "IHCP-species-notes": "<p></p> Perform heat-mediated antigen retrieval with Tris/EDTA buffer pH 9.0 before commencing with IHC staining protocol.", "IHCFr-species-checked": "notRecommended", "IHCFr-species-dilution-info": "", "IHCFr-species-notes": "<p></p>", "FlowCyt-species-checked": "notRecommended", "FlowCyt-species-dilution-info": "", "FlowCyt-species-notes": "<p></p>", "IP-species-checked": "notRecommended", "IP-species-dilution-info": "", "IP-species-notes": "<p></p>" } } }

Product details

Patented technology
Our RabMAb® technology is a patented hybridoma-based technology for making rabbit monoclonal antibodies. For details on our patents, please refer to RabMAb® patents.

What are the advantages of a recombinant monoclonal antibody?
This product is a recombinant monoclonal antibody, which offers several advantages including:

  • - High batch-to-batch consistency and reproducibility
  • - Improved sensitivity and specificity
  • - Long-term security of supply
  • - Animal-free batch production

For more information, read more on recombinant antibodies.

Properties and storage information

Form
Liquid
Purification technique
Affinity purification Protein A
Storage buffer
pH: 7.2 - 7.4 Preservative: 0.01% Sodium azide Constituents: PBS, 40% Glycerol (glycerin, glycerine), 0.05% BSA
Shipped at conditions
Blue Ice
Appropriate short-term storage duration
1-2 weeks
Appropriate short-term storage conditions
+4°C
Appropriate long-term storage conditions
-20°C
Aliquoting information
Upon delivery aliquot
Storage information
Avoid freeze / thaw cycle

Supplementary information

This supplementary information is collated from multiple sources and compiled automatically.

The 'PMP22 protein' also known as Peripheral Myelin Protein 22 is an essential component of the myelin sheath in the peripheral nervous system. It has a molecular weight of approximately 22 kDa. The protein is highly expressed in Schwann cells which are responsible for forming myelin around peripheral nerves. PMP22 contains four transmembrane domains playing a role in its structural function in the membrane.
Biological function summary

The 'PMP22' serves an important role in maintaining the integrity and functionality of the myelin sheath contributing to efficient nerve conduction. It is not typically part of a complex but interacts with other myelin proteins to support myelin compaction and stability. The protein's presence affects the cell cycle and myelination process important for the normal functioning of the peripheral nervous system.

Pathways

'PMP22 protein' plays roles in the Schwann cell differentiation and myelination pathways. It maintains correct peripheral nerve structure and function with connections to proteins such as MPZ (Myelin Protein Zero) which are also integral for proper nerve insulation. There are specific pathways where PMP22 downregulation or overexpression impacts the normal myelination cycle significant for peripheral nerve health.

'PMP 22' mutations or overexpression relate to Charcot-Marie-Tooth disease type 1A and Hereditary Neuropathy with Liability to Pressure Palsies (HNPP). These conditions arise from gene dosage changes affecting nerve function where altered PMP22 protein levels lead to defective myelin formation. Interaction between PMP22 and proteins like connexin 32 shows further ties to demyelinating neuropathies emphasizing the gene-protein network involved in these disorders.

Product protocols

For this product, it's our understanding that no specific protocols are required. You can visit:

Target data

Might be involved in growth regulation, and in myelinization in the peripheral nervous system.
See full target information Pmp22

Publications (2)

Recent publications for all applications. Explore the full list and refine your search

Cellular and molecular life sciences : CMLS 81:434 PubMed39400753

2024

Pharmacologically increasing cGMP improves proteostasis and reduces neuropathy in mouse models of CMT1.

Applications

Unspecified application

Species

Unspecified reactive species

Seth M Moore,Joseph Gawron,Mckayla Stevens,Leandro N Marziali,Emmanuel S Buys,G Todd Milne,Maria Laura Feltri,Jordan J S VerPlank

Glia 72:1974-1984 PubMed38989661

2024

Loss of YAP in Schwann cells improves HNPP pathophysiology.

Applications

Unspecified application

Species

Unspecified reactive species

Seth M Moore,Eunbi Jeong,Muhammad Zahid,Joseph Gawron,Simar Arora,Sophie Belin,Fraser Sim,Yannick Poitelon,M Laura Feltri
View all publications

Product promise

We are committed to supporting your work with high-quality reagents, and we're here for you every step of the way. In the unlikely event that one of our products does not perform as expected, you're protected by our Product Promise.
For full details, please see our Terms & Conditions

Please note: All products are 'FOR RESEARCH USE ONLY. NOT FOR USE IN DIAGNOSTIC OR THERAPEUTIC PROCEDURES'.

For licensing inquiries, please contact partnerships@abcam.com