JavaScript is disabled in your browser. Please enable JavaScript to view this website.
AB214442

Anti-PMS2 antibody [EPR3947] - BSA and Azide free

  • BOND RX™ Validated
  • RabMAb
  • Recombinant
  • KO Validated
  • What is this?

Be the first to review this product! Submit a review

|

(5 Publications)

Rabbit Recombinant Monoclonal PMS2 antibody. Carrier free. Suitable for IHC-P, IP, WB, ICC/IF, Flow Cyt (Intra) and reacts with Human samples. Cited in 5 publications.

View Alternative Names

PMSL2, PMS2, Mismatch repair endonuclease PMS2, DNA mismatch repair protein PMS2, PMS1 protein homolog 2

12 Images
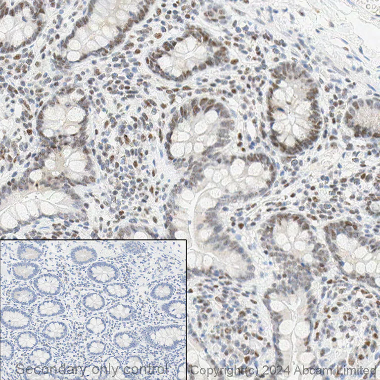
Immunohistochemistry (Formalin/PFA-fixed paraffin-embedded sections) - Anti-PMS2 antibody [EPR3947] - BSA and Azide free (AB214442)
  • IHC-P

Lab

Immunohistochemistry (Formalin/PFA-fixed paraffin-embedded sections) - Anti-PMS2 antibody [EPR3947] - BSA and Azide free (AB214442)

This data was developed using ab110638, the same antibody clone in a different buffer formulation.
Immunohistochemistry (Formalin/PFA-fixed paraffin-embedded sections) analysis of human colon carcinoma tissue sections labeling PMS2 with Purified ab214442 at 1 : 600 (2.71 μg/ml). Heat mediated antigen retrieval was performed using Heat mediated antigen retrieval using Bond™ Epitope Retrieval Solution 2 (pH 9.0) . Tissue was counterstained with Hematoxylin. Rabbit specific IHC polymer detection kit HRP/DAB (ab209101) secondary antibody was used. PBS instead of the primary antibody was used as the negative control.

Immunohistochemistry (Formalin/PFA-fixed paraffin-embedded sections) - Anti-PMS2 antibody [EPR3947] - BSA and Azide free (AB214442)
  • IHC-P

Lab

Immunohistochemistry (Formalin/PFA-fixed paraffin-embedded sections) - Anti-PMS2 antibody [EPR3947] - BSA and Azide free (AB214442)

This data was developed using ab110638, the same antibody clone in a different buffer formulation.

Immunohistochemical analysis of formalin fixed paraffin embedded human colon labelling PMS2 with ab110638 at a concentration of 3µg/ml. The immunostaining was performed on a Ventana DISCOVERY ULTRA (Roche Tissue Diagnostics) instrument with a OptiView DAB IHC Detection Kit. Heat mediated antigen retrieval was performed with DISCOVERY cell conditioning solution (CC1) 100°C, pH8.5 for 32mins.

Anti-PMS2 antibody [EPR3947] was incubated for 16mins at 37°C. Sections were counterstained with Hematoxylin II. Image inset shows absence of staining in secondary antibody only control.

Customers are encouraged to optimise antigen retrieval conditions, antibody concentration, incubation times and temperature for best results in their own IHC assay workflow (automated and manual).

Immunohistochemistry (Formalin/PFA-fixed paraffin-embedded sections) - Anti-PMS2 antibody [EPR3947] - BSA and Azide free (AB214442)
  • IHC-P

Lab

Immunohistochemistry (Formalin/PFA-fixed paraffin-embedded sections) - Anti-PMS2 antibody [EPR3947] - BSA and Azide free (AB214442)

This data was developed using ab214442, the same antibody clone in a different buffer formulation.
Immunohistochemistry (Formalin/PFA-fixed paraffin-embedded sections) analysis of human colon tissue sections labeling PMS2 with Purified ab214442 at 1 : 600 (2.71 μg/ml). Heat mediated antigen retrieval was performed using Heat mediated antigen retrieval using Bond™ Epitope Retrieval Solution 2 (pH 9.0) . Tissue was counterstained with Hematoxylin. Rabbit specific IHC polymer detection kit HRP/DAB (ab209101) secondary antibody was used. PBS instead of the primary antibody was used as the negative control.

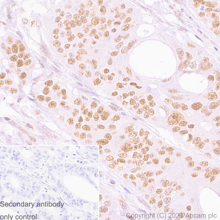
Immunohistochemistry (Formalin/PFA-fixed paraffin-embedded sections) - Anti-PMS2 antibody [EPR3947] - BSA and Azide free (AB214442)
  • IHC-P

Lab

Immunohistochemistry (Formalin/PFA-fixed paraffin-embedded sections) - Anti-PMS2 antibody [EPR3947] - BSA and Azide free (AB214442)

This data was developed using ab110638, the same antibody clone in a different buffer formulation.
Immunohistochemistry (Formalin/PFA-fixed paraffin-embedded sections) analysis of human breast tissue sections labeling PMS2 with Purified ab214442 at 1 : 600 (2.71 μg/ml). Heat mediated antigen retrieval was performed using Heat mediated antigen retrieval using Bond™ Epitope Retrieval Solution 2 (pH 9.0) . Tissue was counterstained with Hematoxylin. Rabbit specific IHC polymer detection kit HRP/DAB (ab209101) secondary antibody was used. PBS instead of the primary antibody was used as the negative control.

Immunocytochemistry/ Immunofluorescence - Anti-PMS2 antibody [EPR3947] - BSA and Azide free (AB214442)
  • ICC/IF

Lab

Immunocytochemistry/ Immunofluorescence - Anti-PMS2 antibody [EPR3947] - BSA and Azide free (AB214442)

This data was developed using ab110638, the same antibody clone in a different buffer formulation.
Immunocytochemistry analysis of SH-SY5Y (Human neuroblastoma epithelial cell) cells labeling PMS2 with Purified ab214442 at 1 : 200 dilution (8 μg/ml). Cells were fixed in 4% Paraformaldehyde and permeabilized with 0.1% tritonX-100. Cells were counterstained with ab195889 Anti-alpha Tubulin antibody [DM1A] - Microtubule Marker (Alexa Fluor® 594) 1 : 200 (2.5 μg/ml). Goat anti rabbit IgG (Alexa Fluor® 488, ab150077) was used as the secondary antibody at 1 : 1000 (2 μg/ml) dilution. DAPI (blue) was used as nuclear counterstain. PBS instead of the primary antibody was used as the secondary antibody only control.

Immunohistochemistry (Formalin/PFA-fixed paraffin-embedded sections) - Anti-PMS2 antibody [EPR3947] - BSA and Azide free (AB214442)
  • IHC-P

Lab

Immunohistochemistry (Formalin/PFA-fixed paraffin-embedded sections) - Anti-PMS2 antibody [EPR3947] - BSA and Azide free (AB214442)

Tissue Microarrays stained for "Anti-PMS2 antibody [EPR3947]" using "ab110638"in immunohistochemical analysis. This table provides a detailed overview of positive (tick mark) and negative (cross mark) staining per sample type tested. The sections were pre-treated using Heat mediated antigen retrieval using Bond™ Epitope Retrieval Solution 2 (pH 9.0) for 20 minutes. The sections were incubated with ab110638 for 30 mins at room temperature followed by a ready to use Rabbit specific IHC polymer detection kit HRP/DAB (ab209101). The immunostaining was performed on a Leica Biosystems BOND® RX instrument.

Flow Cytometry (Intracellular) - Anti-PMS2 antibody [EPR3947] - BSA and Azide free (AB214442)
  • Flow Cyt (Intra)

Lab

Flow Cytometry (Intracellular) - Anti-PMS2 antibody [EPR3947] - BSA and Azide free (AB214442)

This data was developed using ab110638, the same antibody clone in a different buffer formulation.
Flow Cytometry analysis of HeLa (Human cervix adenocarcinoma epithelial cell) cells labelling PMS2 with Purified ab214442 at 1 : 160 dilution (10 μg/ml) (Red). Cells were fixed with 4% Paraformaldehyde and permeabilised with 90% Methanol. A Goat anti rabbit IgG (Alexa Fluor® 488, ab150081) secondary antibody was used at 1 : 2000. Isotype control - Rabbit monoclonal IgG (Black). Unlabelled control - Cell without incubation with primary antibody and secondary antibody (Blue).

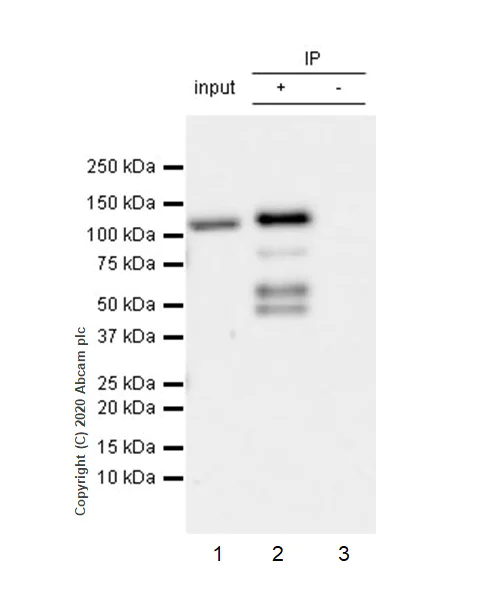
Immunoprecipitation - Anti-PMS2 antibody [EPR3947] - BSA and Azide free (AB214442)
  • IP

Lab

Immunoprecipitation - Anti-PMS2 antibody [EPR3947] - BSA and Azide free (AB214442)

This data was developed using ab110638, the same antibody clone in a different buffer formulation.
Purified ab110638 at 1/50 dilution (2μg) immunoprecipitating PMS2 in HeLa whole cell lysate.
Lane 1 (input) : HeLa (Human cervix adenocarcinoma epithelial cell) whole cell lysate 10μg
Lane 2 (+) : ab110638 + HeLa whole cell lysate.
Lane 3 (-) : Rabbit monoclonal IgG (ab172730) instead of ab110638 in HeLa whole cell lysate.
VeriBlot for IP Detection Reagent (HRP) (ab131366) (1/5000 dilution) was used for Western blotting.
Blocking Buffer and concentration : 5% NFDM/TBST.
Diluting buffer and concentration : 5% NFDM/TBST.
Observed band size : 110 kDa
Lower bands are degradation bands and fresh lysate is recommended.

All lanes:

Immunoprecipitation - Anti-PMS2 antibody [EPR3947] (<a href='/en-us/products/primary-antibodies/pms2-antibody-epr3947-ab110638'>ab110638</a>)

Predicted band size: 96 kDa

false

Immunoprecipitation - Anti-PMS2 antibody [EPR3947] - BSA and Azide free (AB214442)
  • IP

Lab

Immunoprecipitation - Anti-PMS2 antibody [EPR3947] - BSA and Azide free (AB214442)

This data was developed using ab110638, the same antibody clone in a different buffer formulation.
Purified ab110638 at 1/50 dilution (2μg) immunoprecipitating PMS2 in HeLa whole cell lysate.
Lane 1 (input) : HeLa (Human cervix adenocarcinoma epithelial cell) whole cell lysate 10μg
Lane 2 (+) : ab110638 + HeLa whole cell lysate.
Lane 3 (-) : Rabbit monoclonal IgG (ab172730) instead of ab110638 in HeLa whole cell lysate.
VeriBlot for IP Detection Reagent (HRP) (ab131366) (1/5000 dilution) was used for Western blotting.
Blocking Buffer and concentration : 5% NFDM/TBST.
Diluting buffer and concentration : 5% NFDM/TBST.
Observed band size : 110 kDa
Lysate were made freshly and used in IP test immediately to minimize protein degradation. Incubation time was 2h.

All lanes:

Immunoprecipitation - Anti-PMS2 antibody [EPR3947] (<a href='/en-us/products/primary-antibodies/pms2-antibody-epr3947-ab110638'>ab110638</a>)

Predicted band size: 96 kDa

false

Western blot - Anti-PMS2 antibody [EPR3947] - BSA and Azide free (AB214442)
  • WB

Supplier Data

Western blot - Anti-PMS2 antibody [EPR3947] - BSA and Azide free (AB214442)

This data was developed using ab110638, the same antibody clone in a different buffer formulation.

Blocking and diluting buffer concentration : 5% NFDM/TBST.

ab181602 GADPH was used as a loading control.

Lower bands are degradation bands and fresh lysate is recommended to get desired WB result.

All lanes:

Western blot - Anti-PMS2 antibody [EPR3947] (<a href='/en-us/products/primary-antibodies/pms2-antibody-epr3947-ab110638'>ab110638</a>) at 1/10000 dilution

Lane 1:

Jurkat (Human T cell leukemia T lymphocyte) whole cell lysate, freshly made at 20 µg

Lane 2:

Jurkat (Human T cell leukemia T lymphocyte) whole cell lysate at 20 µg

Lane 3:

HeLa (Human cervix adenocarcinoma epithelial cell) whole cell lysate, freshly made at 20 µg

Lane 4:

HeLa (Human cervix adenocarcinoma epithelial cell) whole cell lysate at 20 µg

Secondary

All lanes:

Western blot - Goat Anti-Rabbit IgG H&L (HRP) (<a href='/en-us/products/secondary-antibodies/goat-rabbit-igg-h-l-hrp-ab97051'>ab97051</a>) at 1/20000 dilution

Predicted band size: 96 kDa

Observed band size: 120 kDa

false

Exposure time: 20s

Western blot - Anti-PMS2 antibody [EPR3947] - BSA and Azide free (AB214442)
  • WB

Lab

Western blot - Anti-PMS2 antibody [EPR3947] - BSA and Azide free (AB214442)

This WB data was generated using the same anti-PMS2 antibody clone, EPR3947, in a different buffer formulation (cat# ab110638).

Lanes 1-2 : Merged signal (red and green). Green - ab110638 observed at 120 kDa. Red - loading control, ab8245, observed at 37 kDa.

ab110638 was shown to specifically react with PMS2 in wild-type HAP1 cells. No band was observed when PMS2 knockout samples were used. Wild-type and PMS2 knockout samples were subjected to SDS-PAGE. ab110638 and ab8245 (Mouse anti GAPDH loading control) were incubated overnight at 4°C at 1/1000 dilution and 1/20000 dilution respectively. Blots were developed with Goat anti-Rabbit IgG H&L (IRDye® 800CW) preabsorbed ab216773 and Goat anti-Mouse IgG H&L (IRDye® 680RD) preabsorbed ab216776 secondary antibodies at 1/20000 dilution for 1 hour at room temperature before imaging.

All lanes:

Western blot - Anti-PMS2 antibody [EPR3947] (<a href='/en-us/products/primary-antibodies/pms2-antibody-epr3947-ab110638'>ab110638</a>) at 1/1000 dilution

Lane 1:

Wild-type HAP1 whole cell lysate at 30 µg

Lane 2:

PMS2 knockout HAP1 whole cell lysate at 30 µg

Predicted band size: 96 kDa

false

Western blot - Anti-PMS2 antibody [EPR3947] - BSA and Azide free (AB214442)
  • WB

Lab

Western blot - Anti-PMS2 antibody [EPR3947] - BSA and Azide free (AB214442)

This data was developed using the same antibody clone in a different buffer formulation (ab110638).

Lanes 1- 2 : Merged signal (red and green). Green - ab110638 observed at 120 kDa. Red - Anti-GAPDH antibody [6C5] - Loading Control (ab8245) observed at 37 kDa.

ab110638 was shown to react with PMS2 in wild-type HeLa cells in western blot. Loss of signal was observed when knockout cell line ab261776 (knockout cell lysate ab257142) was used. Wild-type HeLa and PMS2 knockout HeLa cell lysates were subjected to SDS-PAGE. Membrane was blocked for 1 hour at room temperature in 0.1% TBST with 3% non-fat dried milk. ab110638 and Anti-GAPDH antibody [6C5] - Loading Control (ab8245) overnight at 4°C at a 1 in 1000 dilution and a 1 in 20000 dilution respectively. Blots were developed with Goat anti-Rabbit IgG H&L (IRDye®800CW) preadsorbed (ab216773) and Goat anti-Mouse IgG H&L (IRDye®680RD) preadsorbed (ab216776) secondary antibodies at 1 in 20000 dilution for 1 hour at room temperature before imaging.

All lanes:

Western blot - Anti-PMS2 antibody [EPR3947] (<a href='/en-us/products/primary-antibodies/pms2-antibody-epr3947-ab110638'>ab110638</a>) at 1/1000 dilution

Lane 1:

Wild-type HeLa cell lysate at 20 µg

Lane 2:

Western blot - Human PMS2 knockout HeLa cell lysate (<a href='/en-us/products/cell-lysates/human-pms2-knockout-hela-cell-lysate-ab257142'>ab257142</a>) at 20 µg

Secondary

Lanes 1 - 2:

Western blot - Goat anti-Rabbit IgG H&L (IRDye® 800CW) preadsorbed (<a href='/en-us/products/secondary-antibodies/goat-rabbit-igg-h-l-irdye-800cw-preadsorbed-ab216773'>ab216773</a>) at 1/20000 dilution

Lanes 1 - 2:

Western blot - Goat anti-Mouse IgG H&L (IRDye® 680RD) preadsorbed (<a href='/en-us/products/secondary-antibodies/goat-mouse-igg-h-l-irdye-680rd-preadsorbed-ab216776'>ab216776</a>) at 1/20000 dilution

Predicted band size: 96 kDa

Observed band size: 120 kDa,37 kDa

false

Key facts

Host species

Rabbit

Clonality

Monoclonal

Clone number

EPR3947

Isotype

IgG

Carrier free

Yes

Reacts with

Human

Applications

WB, ICC/IF, IP, IHC-P, Flow Cyt (Intra)

applications

Immunogen

The exact immunogen used to generate this antibody is proprietary information.

Reactivity data

{ "title": "Reactivity Data", "filters": { "stats": ["", "Species", "Dilution Info", "Notes"], "tabs": { "all-applications": {"fullname" : "All Applications", "shortname": "All Applications"}, "IHCP" : {"fullname" : "Immunohistochemistry (Formalin/PFA-fixed paraffin-embedded sections)", "shortname":"IHC-P"}, "IP" : {"fullname" : "Immunoprecipitation", "shortname":"IP"}, "WB" : {"fullname" : "Western blot", "shortname":"WB"}, "ICCIF" : {"fullname" : "Immunocytochemistry/ Immunofluorescence", "shortname":"ICC/IF"}, "FlowCytIntra" : {"fullname" : "Flow Cytometry (Intracellular)", "shortname":"Flow Cyt (Intra)"} }, "product-promise": { "all": "all", "testedAndGuaranteed": "tested", "guaranteed": "expected", "predicted": "predicted", "notRecommended": "not-recommended" } }, "values": { "Human": { "IHCP-species-checked": "testedAndGuaranteed", "IHCP-species-dilution-info": "", "IHCP-species-notes": "<p></p>", "IP-species-checked": "testedAndGuaranteed", "IP-species-dilution-info": "", "IP-species-notes": "<p></p>", "WB-species-checked": "testedAndGuaranteed", "WB-species-dilution-info": "", "WB-species-notes": "<p></p>", "ICCIF-species-checked": "testedAndGuaranteed", "ICCIF-species-dilution-info": "", "ICCIF-species-notes": "<p></p>", "FlowCytIntra-species-checked": "testedAndGuaranteed", "FlowCytIntra-species-dilution-info": "", "FlowCytIntra-species-notes": "<p><a href='/en-us/products/primary-antibodies/rabbit-igg-monoclonal-epr25a-isotype-control-low-endotoxin-azide-free-ab199376'>ab199376</a> - Rabbit monoclonal IgG, is suitable for use as an isotype control with this antibody.</p>" } } }

Product details

ab214442 is the carrier-free version of ab110638.

Patented technology
Our RabMAb® technology is a patented hybridoma-based technology for making rabbit monoclonal antibodies. For details on our patents, please refer to RabMAb® patents.

What are the advantages of a recombinant monoclonal antibody?
This product is a recombinant monoclonal antibody, which offers several advantages including:

  • - High batch-to-batch consistency and reproducibility
  • - Improved sensitivity and specificity
  • - Long-term security of supply
  • - Animal-free batch production

For more information, read more on recombinant antibodies.

Conjugation ready
Our carrier-free antibodies are typically supplied in a PBS-only formulation, purified and free of BSA, sodium azide and glycerol. This conjugation-ready format is designed for use with fluorochromes, metal isotopes, oligonucleotides, and enzymes, which makes them ideal for antibody labelling, functional and cell-based assays, flow-based assays (e.g. mass cytometry) and Multiplex Imaging applications.

Use our conjugation kits for antibody conjugates that are ready-to-use in as little as 20 minutes with 1 minute hands-on-time and 100% antibody recovery: available for fluorescent dyes, HRP, biotin and gold.

Compatibility
This product is compatible with the Maxpar® Antibody Labeling Kit from Fluidigm, without the need for antibody preparation. Maxpar® is a trademark of Fluidigm Canada Inc.

Properties and storage information

Form
Liquid
Purification technique
Affinity purification Protein A
Storage buffer
pH: 7.2 - 7.4 Constituents: PBS
Shipped at conditions
Blue Ice
Appropriate short-term storage conditions
+4°C
Appropriate long-term storage conditions
+4°C
Storage information
Do Not Freeze

Supplementary information

This supplementary information is collated from multiple sources and compiled automatically.

PMS2 also known as Postmeiotic Segregation Increased 2 or PMS2 MutL homolog is a protein that participates in DNA mismatch repair. It weighs approximately 96 kDa and often identifies as a member of the MutL protein family. PMS2 is ubiquitously expressed in the body with higher abundances in tissues that undergo rapid proliferation or possess a high mitotic index.
Biological function summary

PMS2 operates as part of the DNA mismatch repair (MMR) complex. It collaborates with other MutL homologs including MLH1 to form a heterodimer which is essential for repairing DNA replication errors. It safeguards genomic integrity and prevents mutations from accumulating in dividing cells serving important functions in cellular viability and genetic stability.

Pathways

PMS2 is involved in the DNA damage response and cell cycle regulation. The protein plays a vital role in the mismatch repair (MMR) pathway. PMS2 partners primarily with MLH1 within this pathway and both proteins work in conjunction to recognize and initiate repair on erroneous DNA sequences that emerge during replication preventing illegitimate recombination and chromosomal rearrangements.

PMS2 mutations occur frequently in Lynch syndrome an inherited cancer predisposition disorder and Turcot syndrome a condition associated with colorectal cancer and brain tumors. MLH1 frequently associates with PMS2 in these disorders as defects in either protein can impair mismatch repair leading to an increased risk of cancer.

Product protocols

For this product, it's our understanding that no specific protocols are required. You can visit:

Target data

Component of the post-replicative DNA mismatch repair system (MMR) (PubMed : 30653781, PubMed : 35189042). Heterodimerizes with MLH1 to form MutL alpha. DNA repair is initiated by MutS alpha (MSH2-MSH6) or MutS beta (MSH2-MSH3) binding to a dsDNA mismatch, then MutL alpha is recruited to the heteroduplex. Assembly of the MutL-MutS-heteroduplex ternary complex in presence of RFC and PCNA is sufficient to activate endonuclease activity of PMS2. It introduces single-strand breaks near the mismatch and thus generates new entry points for the exonuclease EXO1 to degrade the strand containing the mismatch. DNA methylation would prevent cleavage and therefore assure that only the newly mutated DNA strand is going to be corrected. MutL alpha (MLH1-PMS2) interacts physically with the clamp loader subunits of DNA polymerase III, suggesting that it may play a role to recruit the DNA polymerase III to the site of the MMR. Also implicated in DNA damage signaling, a process which induces cell cycle arrest and can lead to apoptosis in case of major DNA damages. Possesses an ATPase activity, but in the absence of gross structural changes, ATP hydrolysis may not be necessary for proficient mismatch repair (PubMed : 35189042).
See full target information PMS2

Publications (5)

Recent publications for all applications. Explore the full list and refine your search

Genetics in medicine : official journal of the American College of Medical Genetics 24:1821-1830 PubMed35616648

2022

Cancer Risk C (CR-C), a functional genomics test is a sensitive and rapid test for germline mismatch repair deficiency.

Applications

Unspecified application

Species

Unspecified reactive species

Ishraq Alim,Johnny Loke,Sarah Yam,Allyson S Templeton,Polly Newcomb,Noralane M Lindor,Rish K Pai,Mark A Jenkins,Daniel D Buchanan,Steven Gallinger,Susan Klugman,Harry Ostrer

Diagnostic pathology 9:126 PubMed24968821

2014

Heterogenous mismatch-repair status in colorectal cancer.

Applications

IHC-P

Species

Human

Patrick Joost,Nynke Veurink,Susanne Holck,Louise Klarskov,Anders Bojesen,Maria Harbo,Bo Baldetorp,Eva Rambech,Mef Nilbert

Journal of medical genetics 51:245-53 PubMed24501230

2014

Functional analysis of MSH2 unclassified variants found in suspected Lynch syndrome patients reveals pathogenicity due to attenuated mismatch repair.

Applications

Unspecified application

Species

Unspecified reactive species

Eva A L Wielders,Jan Hettinger,Rob Dekker,C Marleen Kets,Marjolijn J Ligtenberg,Arjen R Mensenkamp,Ans M W van den Ouweland,Judith Prins,Anja Wagner,Winand N M Dinjens,Hendrikus Jan Dubbink,Liselotte P van Hest,Fred Menko,Frans Hogervorst,Senno Verhoef,Hein te Riele

Cancer research 73:7313-23 PubMed24165159

2013

GLI1 interferes with the DNA mismatch repair system in pancreatic cancer through BHLHE41-mediated suppression of MLH1.

Applications

WB

Species

Human

Shingo Inaguma,Miho Riku,Mitsuyoshi Hashimoto,Hideki Murakami,Shinsuke Saga,Hiroshi Ikeda,Kenji Kasai

Gynecologic oncology 131:309-14 PubMed23938375

2013

MMR deficiency is common in high-grade endometrioid carcinomas and is associated with an unfavorable outcome.

Applications

ICC/IF

Species

Human

Gregg S Nelson,Aaron Pink,Sandra Lee,Guangming Han,Don Morris,Travis Ogilvie,Máire A Duggan,Martin Köbel
View all publications

Product promise

We are committed to supporting your work with high-quality reagents, and we're here for you every step of the way. In the unlikely event that one of our products does not perform as expected, you're protected by our Product Promise.
For full details, please see our Terms & Conditions

Please note: All products are 'FOR RESEARCH USE ONLY. NOT FOR USE IN DIAGNOSTIC OR THERAPEUTIC PROCEDURES'.

For licensing inquiries, please contact partnerships@abcam.com