JavaScript is disabled in your browser. Please enable JavaScript to view this website.
AB318271

Anti-PNAD antibody [EPR28215-189] - BSA and Azide free

Be the first to review this product! Submit a review

|

(0 Publication)

Rabbit Recombinant Monoclonal PNAD antibody. Carrier free. Suitable for WB and reacts with Human samples.

View Alternative Names

Protein N-terminal asparagine amidohydrolase, Protein NH2-terminal asparagine amidohydrolase, Protein NH2-terminal asparagine deamidase, PNAA, PNAD, Protein N-terminal Asn amidase, Protein N-terminal asparagine amidase, Protein NTN-amidase, NTAN1

2 Images
Western blot - Anti-PNAD antibody [EPR28215-189] - BSA and Azide free (AB318271)
  • WB

Supplier Data

Western blot - Anti-PNAD antibody [EPR28215-189] - BSA and Azide free (AB318271)

This data was developed using ab318270, the same antibody clone in a different buffer formulation.

The identity of the lower MW band at approximately 20 kDa is unknown.

In Western blot, Anti-GAPDH antibody [EPR16891] - Loading Control (ab181602) staining at 1/200000 dilution.

All lanes:

Western blot - Anti-PNAD antibody [EPR28215-189] (<a href='/en-us/products/primary-antibodies/pnad-antibody-epr28215-189-ab318270'>ab318270</a>) at 1/1000 dilution

Lane 1:

Human colon tissue lysate at 50 µg with NFDM/TBST

Lane 2:

SH-SY5Y (human neuroblastoma epithelial cell) whole fresh cell lysate at 50 µg with NFDM/TBST

Secondary

All lanes:

Goat Anti-Rabbit IgG (HRP) with minimal cross-reactivity with human IgG (Merck DC03L) at 1/5000 dilution

Observed band size: 34 kDa,36 kDa

false

Exposure time: 180s

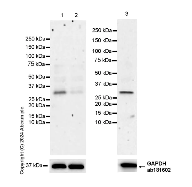
Western blot - Anti-PNAD antibody [EPR28215-189] - BSA and Azide free (AB318271)
  • WB

Supplier Data

Western blot - Anti-PNAD antibody [EPR28215-189] - BSA and Azide free (AB318271)

This data was developed using ab318270, the same antibody clone in a different buffer formulation.

Lane1 and 2 were freshly made and used for Western Blotting immediately to minimize protein degradation.

Lanes 1 and 2 were developed using a higher sensitivity ECL substrate. The high-sensitivity ECL substrate allows for the detection of proteins in the mid-femtogram range.

In Western blot, Anti-GAPDH antibody [EPR16891] - Loading Control (ab181602) staining at 1/200000 dilution.

Exposure time : Lane1-2 : 136 seconds, lane3 : 180 seconds

All lanes:

Western blot - Anti-PNAD antibody [EPR28215-189] (<a href='/en-us/products/primary-antibodies/pnad-antibody-epr28215-189-ab318270'>ab318270</a>) at 1/1000 dilution

Lane 1:

293T (human embryonic kidney epithelial cell) transfected with scrambled siRNA control whole cell lysate at 20 µg with NFDM/TBST

Lane 2:

293T transfected with siRNA specifically targeting PNAD whole cell lysate at 20 µg with NFDM/TBST

Lane 3:

HepG2 (human hepatocellular carcinoma epithelial cell) whole cell lysate at 20 µg with NFDM/TBST

Secondary

All lanes:

Western blot - Goat Anti-Rabbit IgG H&L (HRP) (<a href='/en-us/products/secondary-antibodies/goat-rabbit-igg-h-l-hrp-ab97051'>ab97051</a>) at 1/20000 dilution

Observed band size: 34 kDa,36 kDa

false

Key facts

Host species

Rabbit

Clonality

Monoclonal

Clone number

EPR28215-189

Isotype

IgG

Carrier free

Yes

Reacts with

Human

Applications

WB

applications

Immunogen

The exact immunogen used to generate this antibody is proprietary information.

Reactivity data

{ "title": "Reactivity Data", "filters": { "stats": ["", "Species", "Dilution Info", "Notes"], "tabs": { "all-applications": {"fullname" : "All Applications", "shortname": "All Applications"}, "WB" : {"fullname" : "Western blot", "shortname":"WB"}, "FlowCytIntra" : {"fullname" : "Flow Cytometry (Intracellular)", "shortname":"Flow Cyt (Intra)"}, "IHCP" : {"fullname" : "Immunohistochemistry (Formalin/PFA-fixed paraffin-embedded sections)", "shortname":"IHC-P"}, "IP" : {"fullname" : "Immunoprecipitation", "shortname":"IP"}, "ICCIF" : {"fullname" : "Immunocytochemistry/ Immunofluorescence", "shortname":"ICC/IF"} }, "product-promise": { "all": "all", "testedAndGuaranteed": "tested", "guaranteed": "expected", "predicted": "predicted", "notRecommended": "not-recommended" } }, "values": { "Human": { "WB-species-checked": "testedAndGuaranteed", "WB-species-dilution-info": "", "WB-species-notes": "<p></p>", "FlowCytIntra-species-checked": "notRecommended", "FlowCytIntra-species-dilution-info": "", "FlowCytIntra-species-notes": "<p></p>", "IHCP-species-checked": "notRecommended", "IHCP-species-dilution-info": "", "IHCP-species-notes": "<p></p>", "IP-species-checked": "notRecommended", "IP-species-dilution-info": "", "IP-species-notes": "<p></p>", "ICCIF-species-checked": "notRecommended", "ICCIF-species-dilution-info": "", "ICCIF-species-notes": "<p></p>" }, "Mouse": { "WB-species-checked": "notRecommended", "WB-species-dilution-info": "", "WB-species-notes": "<p></p>", "FlowCytIntra-species-checked": "notRecommended", "FlowCytIntra-species-dilution-info": "", "FlowCytIntra-species-notes": "", "IHCP-species-checked": "notRecommended", "IHCP-species-dilution-info": "", "IHCP-species-notes": "<p></p>", "IP-species-checked": "notRecommended", "IP-species-dilution-info": "", "IP-species-notes": "", "ICCIF-species-checked": "notRecommended", "ICCIF-species-dilution-info": "", "ICCIF-species-notes": "" }, "Rat": { "WB-species-checked": "notRecommended", "WB-species-dilution-info": "", "WB-species-notes": "<p></p>", "FlowCytIntra-species-checked": "notRecommended", "FlowCytIntra-species-dilution-info": "", "FlowCytIntra-species-notes": "", "IHCP-species-checked": "notRecommended", "IHCP-species-dilution-info": "", "IHCP-species-notes": "<p></p>", "IP-species-checked": "notRecommended", "IP-species-dilution-info": "", "IP-species-notes": "", "ICCIF-species-checked": "notRecommended", "ICCIF-species-dilution-info": "", "ICCIF-species-notes": "" } } }

Product details

ab318271 is the carrier-free version of ab318270.

Patented technology
Our RabMAb® technology is a patented hybridoma-based technology for making rabbit monoclonal antibodies. For details on our patents, please refer to RabMAb® patents.

What are the advantages of a recombinant monoclonal antibody?
This product is a recombinant monoclonal antibody, which offers several advantages including:

  • - High batch-to-batch consistency and reproducibility
  • - Improved sensitivity and specificity
  • - Long-term security of supply
  • - Animal-free batch production

For more information, read more on recombinant antibodies.

Conjugation ready
Our carrier-free antibodies are typically supplied in a PBS-only formulation, purified and free of BSA, sodium azide and glycerol. This conjugation-ready format is designed for use with fluorochromes, metal isotopes, oligonucleotides, and enzymes, which makes them ideal for antibody labelling, functional and cell-based assays, flow-based assays (e.g. mass cytometry) and Multiplex Imaging applications.

Use our conjugation kits for antibody conjugates that are ready-to-use in as little as 20 minutes with 1 minute hands-on-time and 100% antibody recovery: available for fluorescent dyes, HRP, biotin and gold.

Compatibility
This product is compatible with the Maxpar® Antibody Labeling Kit from Fluidigm, without the need for antibody preparation. Maxpar® is a trademark of Fluidigm Canada Inc.

Properties and storage information

Form
Liquid
Purification technique
Affinity purification Protein A
Storage buffer
pH: 7.2 - 7.4 Constituents: PBS
Shipped at conditions
Blue Ice
Appropriate short-term storage conditions
+4°C
Appropriate long-term storage conditions
+4°C

Supplementary information

This supplementary information is collated from multiple sources and compiled automatically.

The Peripheral Node Addressin (PNAd) is a glycoprotein recognized by its role in lymphocyte homing to lymph nodes. It is an important ligand for L-selectin on leukocytes facilitating their entry into lymphoid tissues. The PNAd marker is primarily located on the high endothelial venules (HEVs) where it guides lymphocyte trafficking. PNAd's molecular weight varies depending on its glycosylation patterns but is generally documented around 50 to 90 kDa.
Biological function summary

PNAd mediates the adhesion of lymphocytes to HEVs a critical step in the immune response promoting the recirculation of lymphocytes throughout the body. PNAd does not function as an independent entity often part of a multiprotein complex involving various glycoproteins and ligands that collectively ensure efficient immune surveillance. Its interaction with L-selectin is an essential event in lymphocyte adhesion under shear flow conditions seen in blood circulation.

Pathways

PNAd plays a role in the lymphocyte signaling pathways particularly associated with leukocyte extravasation. This pathway is integral for lymphocyte migration involving key signaling molecules and interactions with proteins like ICAM-1 and VCAM-1. PNAd's function in this pathway reflects its importance for maintaining effective immune system balance and proper lymphocyte distribution.

PNAd has involvement in inflammatory conditions such as rheumatoid arthritis and various lymphomas where aberrant lymphocyte trafficking occurs. In rheumatoid arthritis unusual PNAd expression on inflamed venules can lead to inappropriate lymphocyte accumulation in joints. Similarly in some lymphomas altered PNAd expression may associate with changes in lymphocyte migration patterns. Its interaction with proteins such as L-selectin occurs more frequently in these pathologies often exacerbating disease profiles.

Product protocols

For this product, it's our understanding that no specific protocols are required. You can visit:

Target data

N-terminal asparagine deamidase that mediates deamidation of N-terminal asparagine residues to aspartate. Required for the ubiquitin-dependent turnover of intracellular proteins that initiate with Met-Asn. These proteins are acetylated on the retained initiator methionine and can subsequently be modified by the removal of N-acetyl methionine by acylaminoacid hydrolase (AAH). Conversion of the resulting N-terminal asparagine to aspartate by NTAN1/PNAD renders the protein susceptible to arginylation, polyubiquitination and degradation as specified by the N-end rule. This enzyme does not act on substrates with internal or C-terminal asparagines and does not act on glutamine residues in any position, nor on acetylated N-terminal peptidyl Asn.
See full target information NTAN1

Product promise

We are committed to supporting your work with high-quality reagents, and we're here for you every step of the way. In the unlikely event that one of our products does not perform as expected, you're protected by our Product Promise.
For full details, please see our Terms & Conditions

Please note: All products are 'FOR RESEARCH USE ONLY. NOT FOR USE IN DIAGNOSTIC OR THERAPEUTIC PROCEDURES'.

For licensing inquiries, please contact partnerships@abcam.com