JavaScript is disabled in your browser. Please enable JavaScript to view this website.
AB235093

Anti-PNCK antibody

Be the first to review this product! Submit a review

|

(3 Publications)

Rabbit Polyclonal PNCK antibody. Suitable for WB, IHC-P and reacts with Rat, Mouse, Human samples. Cited in 3 publications. Immunogen corresponding to Recombinant Fragment Protein within Human PNCK aa 1-150.

View Alternative Names

Calcium/calmodulin-dependent protein kinase type 1B, CaM kinase I beta, Pregnancy up-regulated non-ubiquitously-expressed CaM kinase, CaM kinase IB, CaM-KI beta, CaMKI-beta, PNCK

2 Images
Immunohistochemistry (Formalin/PFA-fixed paraffin-embedded sections) - Anti-PNCK antibody (AB235093)
  • IHC-P

Supplier Data

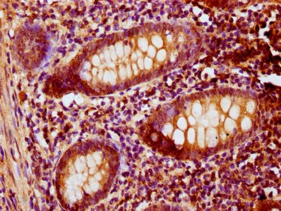
Immunohistochemistry (Formalin/PFA-fixed paraffin-embedded sections) - Anti-PNCK antibody (AB235093)

Paraffin-embedded human appendix tissue stained for PNCK using ab235093 at 1/100 dilution in immunohistochemical analysis.

After dewaxing and hydration, antigen retrieval was mediated by high pressure in a citrate buffer (pH 6.0). Section was blocked with 10% normal goat serum 30 minutes at RT. Then primary antibody (1% BSA) was incubated at 4°C overnight. The primary is detected by a biotinylated secondary antibody and visualized using an HRP conjugated SP system.

Western blot - Anti-PNCK antibody (AB235093)
  • WB

Supplier Data

Western blot - Anti-PNCK antibody (AB235093)

All lanes:

Western blot - Anti-PNCK antibody (ab235093) at 1/500 dilution

Lane 1:

HeLa (human epithelial cell line from cervix adenocarcinoma) whole cell lysate

Lane 2:

MCF7 (human breast adenocarcinoma cell line) whole cell lysate

Lane 3:

Jurkat (human T cell leukemia cell line from peripheral blood) whole cell lysate

Lane 4:

Raji (human Burkitt's lymphoma cell line) whole cell lysate

Lane 5:

U87-MG (human glioblastoma-astrocytoma epithelial cell line) whole cell lysate

Lane 6:

HepG2 (human liver hepatocellular carcinoma cell line) whole cell lysate

Lane 7:

Rat liver tissue lysate

Lane 8:

Mouse brain tissue lysate

Lane 9:

Mouse kidney tissue lysate

Secondary

All lanes:

Goat polyclonal to rabbit IgG at 1/50000 dilution

Predicted band size: 39 kDa

false

Key facts

Host species

Rabbit

Clonality

Polyclonal

Isotype

IgG

Carrier free

No

Reacts with

Mouse, Rat, Human

Applications

WB, IHC-P

applications

Immunogen

Recombinant Fragment Protein within Human PNCK aa 1-150. The exact immunogen used to generate this antibody is proprietary information.

Q6P2M8

Reactivity data

{ "title": "Reactivity Data", "filters": { "stats": ["", "Species", "Dilution Info", "Notes"], "tabs": { "all-applications": {"fullname" : "All Applications", "shortname": "All Applications"}, "WB" : {"fullname" : "Western blot", "shortname":"WB"}, "IHCP" : {"fullname" : "Immunohistochemistry (Formalin/PFA-fixed paraffin-embedded sections)", "shortname":"IHC-P"} }, "product-promise": { "all": "all", "testedAndGuaranteed": "tested", "guaranteed": "expected", "predicted": "predicted", "notRecommended": "not-recommended" } }, "values": { "Human": { "WB-species-checked": "testedAndGuaranteed", "WB-species-dilution-info": "1/500 - 1/5000", "WB-species-notes": "<p></p>", "IHCP-species-checked": "testedAndGuaranteed", "IHCP-species-dilution-info": "1/200 - 1/500", "IHCP-species-notes": "<p></p>" }, "Mouse": { "WB-species-checked": "testedAndGuaranteed", "WB-species-dilution-info": "1/500 - 1/5000", "WB-species-notes": "<p></p>", "IHCP-species-checked": "guaranteed", "IHCP-species-dilution-info": "", "IHCP-species-notes": "" }, "Rat": { "WB-species-checked": "testedAndGuaranteed", "WB-species-dilution-info": "1/500 - 1/5000", "WB-species-notes": "<p></p>", "IHCP-species-checked": "guaranteed", "IHCP-species-dilution-info": "", "IHCP-species-notes": "" } } }

Properties and storage information

Form
Liquid
Purification technique
Affinity purification Protein G
Purification notes
Purity >95%
Storage buffer
pH: 7.4 Preservative: 0.03% Proclin 300 Constituents: PBS, 50% Glycerol (glycerin, glycerine)
Shipped at conditions
Blue Ice
Appropriate short-term storage duration
1-2 weeks
Appropriate short-term storage conditions
+4°C
Appropriate long-term storage conditions
-20°C
Aliquoting information
Upon delivery aliquot
Storage information
Avoid freeze / thaw cycle

Supplementary information

This supplementary information is collated from multiple sources and compiled automatically.

PNCK also known as Pregnancy Up-Regulated Non-Ubiquitously Expressed CaM Kinase is a member of the calcium/calmodulin-dependent protein kinase family. This kinase carries a molecular mass of approximately 39 to 41 kDa. PNCK is mainly expressed in the central nervous system and reproductive tissues including the brain and testis. It participates in phosphorylating various substrate proteins influencing their activity and affecting cellular processes.
Biological function summary

PNCK plays an essential role in modulating cellular responses to calcium signals. It is involved in diverse cellular functions including cell cycle regulation and apoptosis. PNCK acts as a monomer and does not form part of a larger protein complex which gives it distinctive functional properties compared to other kinases involved in similar pathways. The expression and activity of PNCK can vary based on cell type and physiological state.

Pathways

PNCK influences signal transduction mechanisms linked to calcium regulation and cellular communication. It is important in the MAPK/ERK signaling pathway affecting cell proliferation and differentiation. In this context PNCK shows interaction with other proteins like MEK and ERK modulating their activities. Moreover PNCK's role in calcium signaling pathways highlights its potential connections with other calcium-regulated proteins.

PNCK associates significantly with cancer progression and neurodegenerative diseases. Research has indicated its upregulation in certain breast cancer subtypes where it might influence tumor growth and metastasis. PNCK also links with neurodegenerative processes potentially affecting Alzheimer's disease through interactions with proteins such as APP. The connections between PNCK's kinase activity and these diseases highlight its potential as a therapeutic target in related conditions.

Product protocols

For this product, it's our understanding that no specific protocols are required. You can visit:

Target data

Calcium/calmodulin-dependent protein kinase belonging to a proposed calcium-triggered signaling cascade. In vitro phosphorylates CREB1 and SYN1/synapsin I. Phosphorylates and activates CAMK1 (By similarity).
See full target information PNCK

Publications (3)

Recent publications for all applications. Explore the full list and refine your search

Nature communications 14:3729 PubMed37349316

2023

Maternal NAT10 orchestrates oocyte meiotic cell-cycle progression and maturation in mice.

Applications

Unspecified application

Species

Unspecified reactive species

Xue Jiang,Yu Cheng,Yuzhang Zhu,Caoling Xu,Qiaodan Li,Xuemei Xing,Wenqing Li,Jiaqi Zou,Lan Meng,Muhammad Azhar,Yuzhu Cao,Xianhong Tong,Weibing Qin,Xiaoli Zhu,Jianqiang Bao

iScience 25:105621 PubMed36465101

2022

Cellular and molecular effects of PNCK, a non-canonical kinase target in renal cell carcinoma.

Applications

Unspecified application

Species

Unspecified reactive species

Derek J Essegian,Valery Chavez,Floritza Bustamante,Stephan C Schürer,Jaime R Merchan

Journal of oncology 2022:8541582 PubMed35535310

2022

Upregulation of PNCK Promotes Metastasis and Angiogenesis via Activating NF-B/VEGF Pathway in Nasopharyngeal Carcinoma.

Applications

Unspecified application

Species

Unspecified reactive species

Xiaochuan Chen,Youliang Weng,Ying Li,Wankai Fu,Zongwei Huang,Yuhui Pan,Wenquan Hong,Wanzun Lin,Xiandong Lin,Sufang Qiu
View all publications

Product promise

We are committed to supporting your work with high-quality reagents, and we're here for you every step of the way. In the unlikely event that one of our products does not perform as expected, you're protected by our Product Promise.
For full details, please see our Terms & Conditions

Please note: All products are 'FOR RESEARCH USE ONLY. NOT FOR USE IN DIAGNOSTIC OR THERAPEUTIC PROCEDURES'.

For licensing inquiries, please contact partnerships@abcam.com