JavaScript is disabled in your browser. Please enable JavaScript to view this website.
AB140115

Anti-PNKD antibody

Be the first to review this product! Submit a review

|

(1 Publication)

Rabbit Polyclonal PNKD antibody. Suitable for WB, IHC-P and reacts with Human samples. Cited in 1 publication. Immunogen corresponding to Recombinant Fragment Protein within Human PNKD aa 150-350.

View Alternative Names

KIAA1184, MR1, TAHCCP2, FKSG19, UNQ2491/PRO5778, PNKD, Probable hydrolase PNKD, Myofibrillogenesis regulator 1, Paroxysmal nonkinesiogenic dyskinesia protein, Trans-activated by hepatitis C virus core protein 2, MR-1

2 Images
Western blot - Anti-PNKD antibody (AB140115)
  • WB

Unknown

Western blot - Anti-PNKD antibody (AB140115)

All lanes:

Western blot - Anti-PNKD antibody (ab140115) at 1/500 dilution

All lanes:

Human fetal liver lysate

Predicted band size: 43 kDa

false

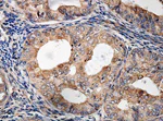
Immunohistochemistry (Formalin/PFA-fixed paraffin-embedded sections) - Anti-PNKD antibody (AB140115)
  • IHC-P

Unknown

Immunohistochemistry (Formalin/PFA-fixed paraffin-embedded sections) - Anti-PNKD antibody (AB140115)

Immunohistochemical analysis of formalin-fixed, paraffin-embedded Human uterine cancer tissue labelling PNKD with ab140115 at 1/100.

Key facts

Host species

Rabbit

Clonality

Polyclonal

Isotype

IgG

Carrier free

No

Reacts with

Human

Applications

IHC-P, WB

applications

Immunogen

Recombinant Fragment Protein within Human PNKD aa 150-350. The exact immunogen used to generate this antibody is proprietary information.

Q8N490

Reactivity data

{ "title": "Reactivity Data", "filters": { "stats": ["", "Species", "Dilution Info", "Notes"], "tabs": { "all-applications": {"fullname" : "All Applications", "shortname": "All Applications"}, "WB" : {"fullname" : "Western blot", "shortname":"WB"}, "IHCP" : {"fullname" : "Immunohistochemistry (Formalin/PFA-fixed paraffin-embedded sections)", "shortname":"IHC-P"} }, "product-promise": { "all": "all", "testedAndGuaranteed": "tested", "guaranteed": "expected", "predicted": "predicted", "notRecommended": "not-recommended" } }, "values": { "Human": { "WB-species-checked": "testedAndGuaranteed", "WB-species-dilution-info": "1/500 - 1/1000", "WB-species-notes": "<p></p>", "IHCP-species-checked": "testedAndGuaranteed", "IHCP-species-dilution-info": "1/100 - 1/500", "IHCP-species-notes": "<p></p>" }, "Mouse": { "WB-species-checked": "predicted", "WB-species-dilution-info": "", "WB-species-notes": "", "IHCP-species-checked": "predicted", "IHCP-species-dilution-info": "", "IHCP-species-notes": "" }, "Rat": { "WB-species-checked": "predicted", "WB-species-dilution-info": "", "WB-species-notes": "", "IHCP-species-checked": "predicted", "IHCP-species-dilution-info": "", "IHCP-species-notes": "" } } }

Properties and storage information

Form
Lyophilized
Reconstitution
Reconstitute in 200 µL of water
Purification technique
Affinity purification Immunogen
Storage buffer
pH: 7.2 Preservative: 0.02% Sodium azide Constituents: PBS, 1% BSA
Shipped at conditions
Blue Ice
Appropriate short-term storage conditions
+4°C
Appropriate long-term storage conditions
-20°C

Supplementary information

This supplementary information is collated from multiple sources and compiled automatically.

PNKD also known as myofibrillogenesis regulator 1 (MR-1) is a protein encoded by the PNKD gene. PNKD plays a mechanical role as it regulates myofibrillogenesis which is important for muscle development and cardiomyocyte function. The protein has a mass of approximately 46 kDa. It is expressed widely in human tissues with higher expression noted in the brain and muscle tissues. PNKD is found in both cytoplasm and the nucleus where it interacts with cellular structures essential for proper myofibril formation.
Biological function summary

PNKD is involved in muscle contraction and neurological signaling. It is a part of a larger complex that affects calcium ion binding and muscle contraction. By aiding in the assembly of sarcomeric structures PNKD ensures the stability and proper functioning of muscle fibers. In the nervous system it appears to participate in modulating synaptic activity implying a role in neural communication and plasticity.

Pathways

PNKD participates in intracellular signaling associated with muscle contraction and synaptic function. In the calcium signaling pathway it interacts with proteins such as actin and tropomyosin to facilitate muscle function. Furthermore PNKD associates with pathways affecting neurotransmitter release at synapses implicating proteins like synapsin and SNAP-25 which are important for synaptic vesicle docking and release.

PNKD mutations can lead to paroxysmal nonkinesigenic dyskinesia (PNKD) a neurological disorder characterized by involuntary movements. This condition highlights the necessity of PNKD in proper neuronal signaling. Moreover PNKD's interaction with calcium-binding proteins links it to certain types of hereditary cardiomyopathy as disruptions in calcium homeostasis can provoke cardiac muscle dysfunction. The protein's association with synaptic pathways further relates it to disorders affecting neurotransmission efficiency.

Product protocols

For this product, it's our understanding that no specific protocols are required. You can visit:

Target data

Probable hydrolase that plays an aggravative role in the development of cardiac hypertrophy via activation of the NF-kappa-B signaling pathway.
See full target information PNKD

Publications (1)

Recent publications for all applications. Explore the full list and refine your search

International journal of clinical and experimental 7:566-72 PubMed24753749

2014

Activation of circulated immune cells and inflammatory immune adherence are involved in the whole process of acute venous thrombosis.

Applications

Unspecified application

Species

Unspecified reactive species

Le-Min Wang,Qiang-Lin Duan,Fan Yang,Xiang-Hua Yi,Yu Zeng,Hong-Yan Tian,Wei Lv,Yun Jin
View all publications

Product promise

We are committed to supporting your work with high-quality reagents, and we're here for you every step of the way. In the unlikely event that one of our products does not perform as expected, you're protected by our Product Promise.
For full details, please see our Terms & Conditions

Please note: All products are 'FOR RESEARCH USE ONLY. NOT FOR USE IN DIAGNOSTIC OR THERAPEUTIC PROCEDURES'.

For licensing inquiries, please contact partnerships@abcam.com