JavaScript is disabled in your browser. Please enable JavaScript to view this website.
AB87875

Anti-PNPLA3 antibody

Be the first to review this product! Submit a review

|

(1 Publication)

Goat Polyclonal PNPLA3 antibody. Suitable for ICC, WB, IHC-P and reacts with Mouse samples. Cited in 1 publication. Immunogen corresponding to Synthetic Peptide within Mouse Pnpla3 aa 50-150.

View Alternative Names

Adpn, Pnpla3, 1-acylglycerol-3-phosphate O-acyltransferase Pnpla3, Acylglycerol transacylase, Adiponutrin, Calcium-independent phospholipase A2-epsilon, Lysophosphatidic acid acyltransferase, Patatin-like phospholipase domain-containing protein 3, ADPN, iPLA2-epsilon

1 Images
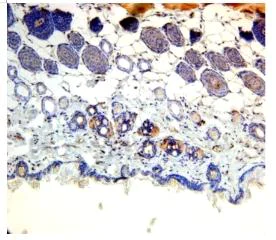
Immunohistochemistry (Formalin/PFA-fixed paraffin-embedded sections) - Anti-PNPLA3 antibody (AB87875)
  • IHC-P

Unknown

Immunohistochemistry (Formalin/PFA-fixed paraffin-embedded sections) - Anti-PNPLA3 antibody (AB87875)

Immunohistochemistry on paraffin sections of mouse skin using ab87875 at 1/250 dilution.

Key facts

Host species

Goat

Clonality

Polyclonal

Isotype

IgG

Carrier free

No

Reacts with

Mouse

Applications

WB, IHC-P, ICC

applications

Immunogen

Synthetic Peptide within Mouse Pnpla3 aa 50-150. The exact immunogen used to generate this antibody is proprietary information.

Q91WW7

Reactivity data

{ "title": "Reactivity Data", "filters": { "stats": ["", "Species", "Dilution Info", "Notes"], "tabs": { "all-applications": {"fullname" : "All Applications", "shortname": "All Applications"}, "ICC" : {"fullname" : "Immunocytochemistry", "shortname":"ICC"}, "WB" : {"fullname" : "Western blot", "shortname":"WB"}, "IHCP" : {"fullname" : "Immunohistochemistry (Formalin/PFA-fixed paraffin-embedded sections)", "shortname":"IHC-P"} }, "product-promise": { "all": "all", "testedAndGuaranteed": "tested", "guaranteed": "expected", "predicted": "predicted", "notRecommended": "not-recommended" } }, "values": { "Mouse": { "ICC-species-checked": "guaranteed", "ICC-species-dilution-info": "", "ICC-species-notes": "<p></p>", "WB-species-checked": "guaranteed", "WB-species-dilution-info": "", "WB-species-notes": "<p></p>", "IHCP-species-checked": "testedAndGuaranteed", "IHCP-species-dilution-info": "1/250", "IHCP-species-notes": "<p></p>" }, "Rat": { "ICC-species-checked": "predicted", "ICC-species-dilution-info": "", "ICC-species-notes": "", "WB-species-checked": "predicted", "WB-species-dilution-info": "", "WB-species-notes": "", "IHCP-species-checked": "predicted", "IHCP-species-dilution-info": "", "IHCP-species-notes": "" } } }

Properties and storage information

Form
Liquid
Purification technique
Affinity purification Immunogen
Storage buffer
pH: 7.2 Preservative: 0.1% Sodium azide Constituents: PBS, 0.1% BSA
Shipped at conditions
Blue Ice
Appropriate long-term storage conditions
-20°C
Aliquoting information
Upon delivery aliquot
Storage information
Avoid freeze / thaw cycle

Supplementary information

This supplementary information is collated from multiple sources and compiled automatically.

PNPLA3 also known as patatin-like phospholipase domain-containing protein 3 is an enzyme that catalyzes the hydrolysis of ester bonds in glycerophospholipids. This protein has a molecular mass of about 53 kDa and is mainly expressed in liver tissue as well as in adipose tissue. It plays a role in lipid remodeling and triglyceride metabolism. The gene for PNPLA3 is located on chromosome 22 and its expression levels can influence its function in cellular lipid dynamics.
Biological function summary

PNPLA3 impacts lipid metabolism and storage in the liver. It does not function as part of a complex but rather exerts its effects independently. PNPLA3 modifies lipid droplet contents by converting triglyceride substrates. This activity helps regulate lipolysis affecting lipid droplet size and number in liver cells. Its function ensures a balance in hepatic lipid levels which is important for maintaining proper liver function and overall metabolic health.

Pathways

PNPLA3 is integral to lipid metabolic pathways and energy homeostasis. It interacts with key players in triglyceride metabolism such as DGAT2 and PNPLA2. These proteins especially DGAT2 help in the transformation and storage of triglycerides reflecting PNPLA3's role in regulating lipid balance. PNPLA3's interactions and functions in these pathways highlight its part in energy storage and utilization processes.

PNPLA3 genetic variants associate with non-alcoholic fatty liver disease (NAFLD) and liver fibrosis. Its role in these conditions relates to its impact on liver triglyceride content. The I148M variant of PNPLA3 has a notable connection to an increased risk of developing NAFLD. Additionally PNPLA3 interacts with proteins involved in fibrogenesis pathways such as TGF-β which influences the progression of liver disease towards fibrosis. Understanding these interactions helps researchers develop targeted therapies for liver conditions.

Product protocols

For this product, it's our understanding that no specific protocols are required. You can visit:

Target data

Specifically catalyzes coenzyme A (CoA)-dependent acylation of 1-acyl-sn-glycerol 3-phosphate (2-lysophosphatidic acid/LPA) to generate phosphatidic acid (PA), an important metabolic intermediate and precursor for both triglycerides and glycerophospholipids. Does not esterify other lysophospholipids. Acyl donors are long chain (at least C16) fatty acyl-CoAs : arachidonoyl-CoA, linoleoyl-CoA, oleoyl-CoA and at a lesser extent palmitoyl-CoA (PubMed : 22560221). Additionally possesses low triacylglycerol lipase and CoA-independent acylglycerol transacylase activities and thus may play a role in acyl-chain remodeling of triglycerides (By similarity). In vitro may express hydrolytic activity against glycerolipids triacylglycerol, diacylglycerol and monoacylglycerol, with a strong preference for oleic acid as the acyl moiety (By similarity). However, the triacylglycerol hydrolase activity is controversial and may be very low (PubMed : 22560221). Possesses phospholipase A2 activity (By similarity).
See full target information Pnpla3

Publications (1)

Recent publications for all applications. Explore the full list and refine your search

Autophagy 16:1871-1888 PubMed31983282

2020

DNA-dependent protein kinase regulates lysosomal AMP-dependent protein kinase activation and autophagy.

Applications

Unspecified application

Species

Unspecified reactive species

Pietri Puustinen,Anne Keldsbo,Elisabeth Corcelle-Termeau,Kevin Ngoei,Stine L Sønder,Thomas Farkas,Klaus Kaae Andersen,Jon S Oakhill,Marja Jäättelä
View all publications

Product promise

We are committed to supporting your work with high-quality reagents, and we're here for you every step of the way. In the unlikely event that one of our products does not perform as expected, you're protected by our Product Promise.
For full details, please see our Terms & Conditions

Please note: All products are 'FOR RESEARCH USE ONLY. NOT FOR USE IN DIAGNOSTIC OR THERAPEUTIC PROCEDURES'.

For licensing inquiries, please contact partnerships@abcam.com