JavaScript is disabled in your browser. Please enable JavaScript to view this website.
AB325019

Anti-PNPLA3 I148M variant antibody [EPR30478-510]

Be the first to review this product! Submit a review

|

(0 Publication)

Rabbit Recombinant Monoclonal PNPLA3 antibody. Suitable for WB, IHC-P and reacts with Transfected cell lysate - Human, Transfected cell line - Human samples.

View Alternative Names

ADPN, C22orf20, PNPLA3, 1-acylglycerol-3-phosphate O-acyltransferase PNPLA3, Acylglycerol transacylase, Adiponutrin, Calcium-independent phospholipase A2-epsilon, Lysophosphatidic acid acyltransferase, Patatin-like phospholipase domain-containing protein 3, iPLA2-epsilon

4 Images
Immunohistochemistry (Formalin/PFA-fixed paraffin-embedded sections) - Anti-PNPLA3 I148M variant antibody [EPR30478-510] (AB325019)
  • IHC-P

Supplier Data

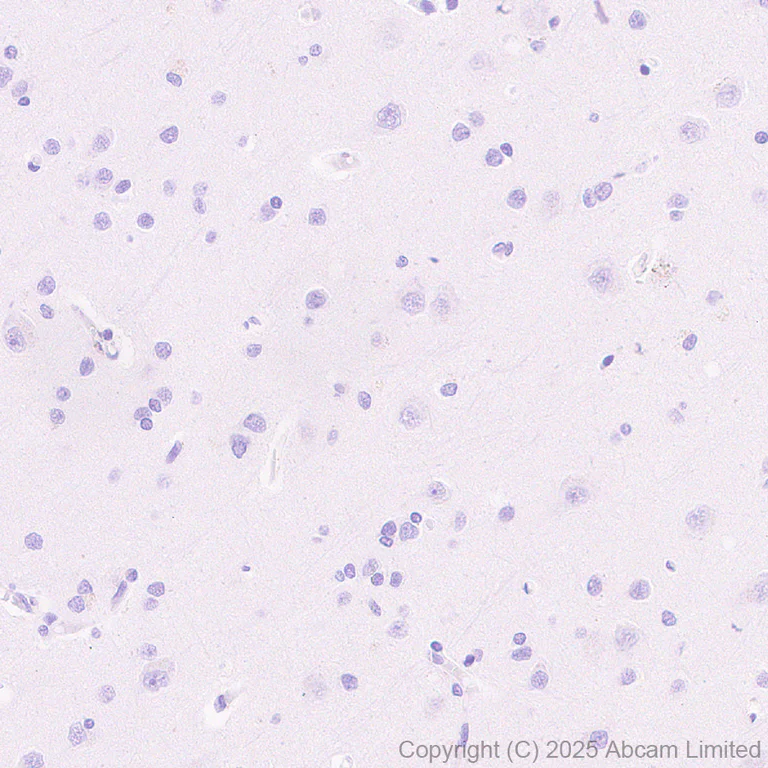
Immunohistochemistry (Formalin/PFA-fixed paraffin-embedded sections) - Anti-PNPLA3 I148M variant antibody [EPR30478-510] (AB325019)

Immunohistochemical analysis of paraffin-embedded Human cerebrum tissue labeling PNPLA3 I148M variant with ab325019 at 1/2000 (0.265 ug/ml) dilution, followed by a ready to use LeicaDS9800 (Bond™ Polymer Refine Detection).

Negative control : no stianing on human cerebrum. The primary antibody was incubated for 30 mins at room temperature.
The immunostaining was performed on a Leica Biosystems BOND® RX instrument

Counterstained with Hematoxylin.

Secondary antibody only control : Secondary antibody is a ready to use LeicaDS9800 (Bond™ Polymer Refine Detection).

Heat mediated antigen retrieval was performed with Tris-EDTA buffer (pH 9.0, Epitope Retrieval Solution2) for 20 mins

Immunohistochemistry (Formalin/PFA-fixed paraffin-embedded sections) - Anti-PNPLA3 I148M variant antibody [EPR30478-510] (AB325019)
  • IHC-P

Supplier Data

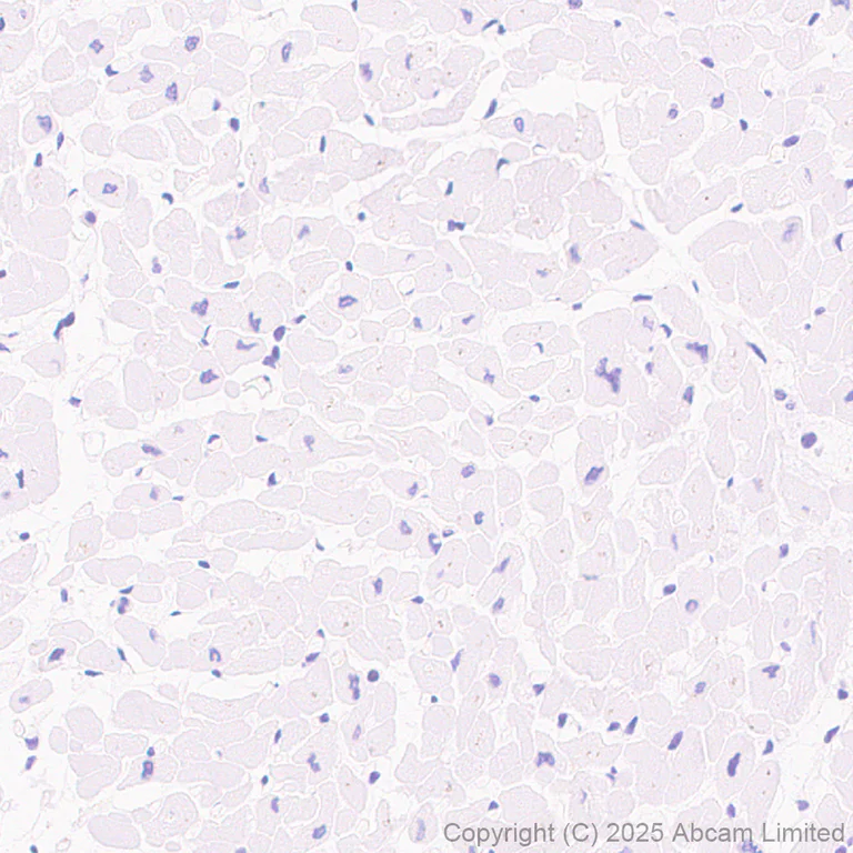
Immunohistochemistry (Formalin/PFA-fixed paraffin-embedded sections) - Anti-PNPLA3 I148M variant antibody [EPR30478-510] (AB325019)

Immunohistochemical analysis of paraffin-embedded Human cardiac muscle tissue labeling PNPLA3 I148M variant with ab325019 at 1/2000 (0.265 ug/ml) dilution, followed by a ready to use LeicaDS9800 (Bond™ Polymer Refine Detection).

Negative control : no stianing on human cardiac muscle. The primary antibody was incubated for 30 mins at room temperature.
The immunostaining was performed on a Leica Biosystems BOND® RX instrument

Counterstained with Hematoxylin.

Secondary antibody only control : Secondary antibody is a ready to use LeicaDS9800 (Bond™ Polymer Refine Detection).

Heat mediated antigen retrieval was performed with Tris-EDTA buffer (pH 9.0, Epitope Retrieval Solution2) for 20 mins

Immunohistochemistry (Formalin/PFA-fixed paraffin-embedded sections) - Anti-PNPLA3 I148M variant antibody [EPR30478-510] (AB325019)
  • IHC-P

Supplier Data

Immunohistochemistry (Formalin/PFA-fixed paraffin-embedded sections) - Anti-PNPLA3 I148M variant antibody [EPR30478-510] (AB325019)

Immunohistochemical analysis of paraffin-embedded (A) HEK-293T (human embryonic kidney epithelial cell) transfected with a Human PNPLA3(mutant I148M) expression vector containing a Myc-His tag. (B) HEK-293T transfected with a Human S1PR1expression vector containing a Myc-His tag. (C) HEK-293T transfected with empty vector containing a Myc-His tag. tissue labeling PNPLA3 I148M variant with ab325019 at 1/2000 (0.265 ug/ml) dilution, followed by a ready to use LeicaDS9800 (Bond™ Polymer Refine Detection).

Positive staining on HEK-293T transfected with a Human PNPLA3(mutant I148M) expression vector containing a Myc-His tag (image A), no staining on HEK-293T transfected with a Human S1PR1expression vector containing a Myc-His tag (image B) and HEK-293T transfected with empty vector containing a Myc-His tag (image C). The primary antibody was incubated for 30 mins at room temperature.
The immunostaining was performed on a Leica Biosystems BOND® RX instrument

Counterstained with Hematoxylin.

Secondary antibody only control : Secondary antibody is a ready to use LeicaDS9800 (Bond™ Polymer Refine Detection).

Heat mediated antigen retrieval was performed with Tris-EDTA buffer (pH 9.0, Epitope Retrieval Solution2) for 20 mins

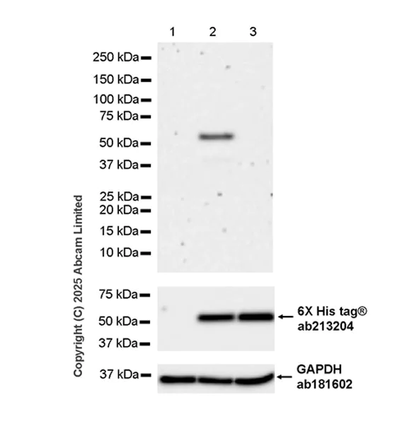
Western blot - Anti-PNPLA3 I148M variant antibody [EPR30478-510] (AB325019)
  • WB

Supplier Data

Western blot - Anti-PNPLA3 I148M variant antibody [EPR30478-510] (AB325019)

Blocking and diluting buffer and concentration : 5% NFDM/TBST.

In Western blot, Anti-GAPDH antibody [EPR16891] - Loading Control (ab181602) staining at 1/200000 dilution.

All lanes:

Western blot - Anti-PNPLA3 I148M variant antibody [EPR30478-510] (ab325019) at 1/1000 dilution

Lane 1:

293T (human embryonic kidney epithelial cell) cells transfected with an empty vector containing a myc-His-tag®, whole cell lysate at 20 µg

Lane 2:

293T transfected with a human PNPLA3(I148M mutation) expression vector containing a myc-His-tag® whole cell lysate at 20 µg

Lane 3:

293T transfected with a human PNPLA3 (WT) expression vector containing a myc-His-tag® whole cell lysate at 20 µg

Secondary

All lanes:

Western blot - Goat Anti-Rabbit IgG H&L (HRP) (<a href='/en-us/products/secondary-antibodies/goat-rabbit-igg-h-l-hrp-ab97051'>ab97051</a>) at 1/20000 dilution

Observed band size: 52 kDa,36 kDa,53 kDa

false

Exposure time: 180s

Key facts

Host species

Rabbit

Clonality

Monoclonal

Clone number

EPR30478-510

Isotype

IgG

Carrier free

No

Reacts with

Human

Applications

WB, IHC-P

applications

Immunogen

The exact immunogen used to generate this antibody is proprietary information.

Specificity

This antibody detects transfected level of human PNPLA3 I148M variant only.

Reactivity data

{ "title": "Reactivity Data", "filters": { "stats": ["", "Species", "Dilution Info", "Notes"], "tabs": { "all-applications": {"fullname" : "All Applications", "shortname": "All Applications"}, "WB" : {"fullname" : "Western blot", "shortname":"WB"}, "IHCP" : {"fullname" : "Immunohistochemistry (Formalin/PFA-fixed paraffin-embedded sections)", "shortname":"IHC-P"}, "ICCIF" : {"fullname" : "Immunocytochemistry/ Immunofluorescence", "shortname":"ICC/IF"} }, "product-promise": { "all": "all", "testedAndGuaranteed": "tested", "guaranteed": "expected", "predicted": "predicted", "notRecommended": "not-recommended" } }, "values": { "Human": { "WB-species-checked": "predicted", "WB-species-dilution-info": "", "WB-species-notes": "", "IHCP-species-checked": "predicted", "IHCP-species-dilution-info": "", "IHCP-species-notes": "", "ICCIF-species-checked": "notRecommended", "ICCIF-species-dilution-info": "", "ICCIF-species-notes": "<p></p>" }, "Transfected cell line - Human": { "WB-species-checked": "notRecommended", "WB-species-dilution-info": "", "WB-species-notes": "", "IHCP-species-checked": "testedAndGuaranteed", "IHCP-species-dilution-info": "1/2000", "IHCP-species-notes": "<p></p> Perform heat-mediated antigen retrieval with Tris/EDTA buffer pH 9.0 before commencing with IHC staining protocol.", "ICCIF-species-checked": "notRecommended", "ICCIF-species-dilution-info": "", "ICCIF-species-notes": "" }, "Transfected cell lysate - Human": { "WB-species-checked": "testedAndGuaranteed", "WB-species-dilution-info": "1/1000", "WB-species-notes": "<p></p>", "IHCP-species-checked": "notRecommended", "IHCP-species-dilution-info": "", "IHCP-species-notes": "", "ICCIF-species-checked": "notRecommended", "ICCIF-species-dilution-info": "", "ICCIF-species-notes": "" } } }

Product details

Patented technology
Our RabMAb® technology is a patented hybridoma-based technology for making rabbit monoclonal antibodies. For details on our patents, please refer to RabMAb® patents.

What are the advantages of a recombinant monoclonal antibody?
This product is a recombinant monoclonal antibody, which offers several advantages including:

  • - High batch-to-batch consistency and reproducibility
  • - Improved sensitivity and specificity
  • - Long-term security of supply
  • - Animal-free batch production

For more information, read more on recombinant antibodies.

Properties and storage information

Form
Liquid
Purification technique
Affinity purification Protein A
Storage buffer
pH: 7.2 - 7.4 Preservative: 0.01% Sodium azide Constituents: PBS, 40% Glycerol (glycerin, glycerine), 0.05% BSA
Shipped at conditions
Blue Ice
Appropriate short-term storage duration
1-2 weeks
Appropriate short-term storage conditions
+4°C
Appropriate long-term storage conditions
-20°C
Aliquoting information
Upon delivery aliquot
Storage information
Avoid freeze / thaw cycle

Product protocols

For this product, it's our understanding that no specific protocols are required. You can visit:

Target data

Specifically catalyzes coenzyme A (CoA)-dependent acylation of 1-acyl-sn-glycerol 3-phosphate (2-lysophosphatidic acid/LPA) to generate phosphatidic acid (PA), an important metabolic intermediate and precursor for both triglycerides and glycerophospholipids. Does not esterify other lysophospholipids. Acyl donors are long chain (at least C16) fatty acyl-CoAs : arachidonoyl-CoA, linoleoyl-CoA, oleoyl-CoA and at a lesser extent palmitoyl-CoA (PubMed : 22560221). Additionally possesses low triacylglycerol lipase and CoA-independent acylglycerol transacylase activities and thus may play a role in acyl-chain remodeling of triglycerides (PubMed : 15364929, PubMed : 20034933, PubMed : 22560221). In vitro may express hydrolytic activity against glycerolipids triacylglycerol, diacylglycerol and monoacylglycerol, with a strong preference for oleic acid as the acyl moiety (PubMed : 21878620). However, the triacylglycerol hydrolase activity is controversial and may be very low (PubMed : 22560221). Possesses phospholipase A2 activity (PubMed : 15364929).
See full target information PNPLA3

Product promise

We are committed to supporting your work with high-quality reagents, and we're here for you every step of the way. In the unlikely event that one of our products does not perform as expected, you're protected by our Product Promise.
For full details, please see our Terms & Conditions

Please note: All products are 'FOR RESEARCH USE ONLY. NOT FOR USE IN DIAGNOSTIC OR THERAPEUTIC PROCEDURES'.

For licensing inquiries, please contact partnerships@abcam.com