JavaScript is disabled in your browser. Please enable JavaScript to view this website.
AB140151

Anti-PNPLA8 antibody

Be the first to review this product! Submit a review

|

(1 Publication)

Rabbit Polyclonal PNPLA8 antibody. Suitable for WB, IHC-P and reacts with Human samples. Cited in 1 publication. Immunogen corresponding to Recombinant Fragment Protein within Human PNPLA8 aa 100-400.

View Alternative Names

IPLA22, IPLA2G, BM-043, PNPLA8, Calcium-independent phospholipase A2-gamma, Intracellular membrane-associated calcium-independent phospholipase A2 gamma, PNPLA-gamma, Patatin-like phospholipase domain-containing protein 8, iPLA2-2, iPLA2-gamma

2 Images
Immunohistochemistry (Formalin/PFA-fixed paraffin-embedded sections) - Anti-PNPLA8 antibody (AB140151)
  • IHC-P

Unknown

Immunohistochemistry (Formalin/PFA-fixed paraffin-embedded sections) - Anti-PNPLA8 antibody (AB140151)

Immunohistochemical analysis of formalin-fixed paraffin embedded Human fetal liver tissue labelling PNPLA8 with ab140151 at a 1/100 dilution.

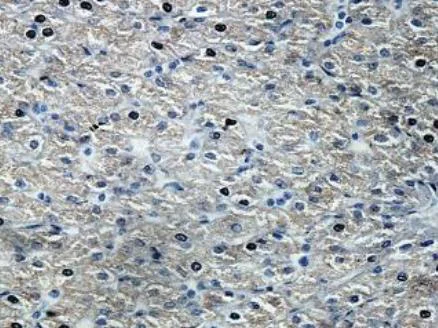
Western blot - Anti-PNPLA8 antibody (AB140151)
  • WB

Unknown

Western blot - Anti-PNPLA8 antibody (AB140151)

All lanes:

Western blot - Anti-PNPLA8 antibody (ab140151) at 1/1000 dilution

All lanes:

A549 cell lysate

Predicted band size: 88 kDa

false

Key facts

Host species

Rabbit

Clonality

Polyclonal

Isotype

IgG

Carrier free

No

Reacts with

Human

Applications

IHC-P, WB

applications

Immunogen

Recombinant Fragment Protein within Human PNPLA8 aa 100-400. The exact immunogen used to generate this antibody is proprietary information.

Q9NP80

Reactivity data

{ "title": "Reactivity Data", "filters": { "stats": ["", "Species", "Dilution Info", "Notes"], "tabs": { "all-applications": {"fullname" : "All Applications", "shortname": "All Applications"}, "WB" : {"fullname" : "Western blot", "shortname":"WB"}, "IHCP" : {"fullname" : "Immunohistochemistry (Formalin/PFA-fixed paraffin-embedded sections)", "shortname":"IHC-P"} }, "product-promise": { "all": "all", "testedAndGuaranteed": "tested", "guaranteed": "expected", "predicted": "predicted", "notRecommended": "not-recommended" } }, "values": { "Human": { "WB-species-checked": "testedAndGuaranteed", "WB-species-dilution-info": "1/1000 - 1/2000", "WB-species-notes": "<p></p>", "IHCP-species-checked": "testedAndGuaranteed", "IHCP-species-dilution-info": "1/100 - 1/500", "IHCP-species-notes": "<p></p>" }, "Mouse": { "WB-species-checked": "predicted", "WB-species-dilution-info": "", "WB-species-notes": "", "IHCP-species-checked": "predicted", "IHCP-species-dilution-info": "", "IHCP-species-notes": "" }, "Rat": { "WB-species-checked": "predicted", "WB-species-dilution-info": "", "WB-species-notes": "", "IHCP-species-checked": "predicted", "IHCP-species-dilution-info": "", "IHCP-species-notes": "" } } }

Properties and storage information

Form
Lyophilized
Reconstitution
reconstitute with water at 200µL
Purification technique
Affinity purification Immunogen
Storage buffer
pH: 7.2 Preservative: 0.02% Sodium azide Constituents: PBS, 1% BSA
Shipped at conditions
Blue Ice
Appropriate short-term storage conditions
+4°C
Appropriate long-term storage conditions
-20°C
Aliquoting information
Upon delivery aliquot
Storage information
Avoid freeze / thaw cycle

Supplementary information

This supplementary information is collated from multiple sources and compiled automatically.

PNPLA8 also known as Patatin-like phospholipase domain-containing protein 8 or iPLA2γ is a protein involved in lipid metabolism. It has a molecular mass of approximately 88 kDa. This protein is widely expressed with significant presence in cardiac and skeletal muscle tissues. PNPLA8 plays a role in hydrolyzing phospholipids catalyzing the release of fatty acids which is an important process in cellular lipid metabolism.
Biological function summary

PNPLA8 participates in the remodeling of membrane phospholipids a process necessary for maintaining cellular membrane integrity and function. It is a part of a larger protein complex that interacts with other enzymes involved in phospholipid metabolism. By facilitating the breakdown of phospholipids PNPLA8 impacts the regulation of signaling lipids which are critical for cellular responses and energy production.

Pathways

The PNPLA8 protein contributes significantly to the phospholipid signaling and lipid degradation pathways. It plays an essential role in the mitochondrial pathway impacting mitochondrial fatty acid oxidation. PNPLA8 interacts with other proteins involved in these pathways such as PPARα a regulator of fatty acid metabolism highlighting its importance in energy homeostasis and cell signaling processes.

PNPLA8 links to metabolic and neuromuscular disorders. Mutations or dysfunctions in PNPLA8 have associations with cardiomyopathy and Barth syndrome due to impaired lipid homeostasis and mitochondrial integrity. PNPLA8 further interacts with tafazzin (TAZ) an enzyme also involved in phospholipid metabolism which connects to the pathogenesis of these disorders. By studying PNPLA8 researchers aim to better understand the molecular basis of lipid-related diseases and explore potential therapeutic interventions.

Product protocols

For this product, it's our understanding that no specific protocols are required. You can visit:

Target data

Calcium-independent and membrane-bound phospholipase, that catalyzes the esterolytic cleavage of fatty acids from glycerophospholipids to yield free fatty acids and lysophospholipids, hence regulating membrane physical properties and the release of lipid second messengers and growth factors (PubMed : 10744668, PubMed : 10833412, PubMed : 15695510, PubMed : 15908428, PubMed : 17213206, PubMed : 18171998, PubMed : 28442572). Hydrolyzes phosphatidylethanolamine, phosphatidylcholine and probably phosphatidylinositol with a possible preference for the former (PubMed : 15695510). Has also a broad substrate specificity in terms of fatty acid moieties, hydrolyzing saturated and mono-unsaturated fatty acids at nearly equal rates from either the sn-1 or sn-2 position in diacyl phosphatidylcholine (PubMed : 10744668, PubMed : 10833412, PubMed : 15695510, PubMed : 15908428). However, has a weak activity toward polyunsaturated fatty acids at the sn-2 position, and thereby favors the production of 2-arachidonoyl lysophosphatidylcholine, a key branch point metabolite in eicosanoid signaling (PubMed : 15908428). On the other hand, can produce arachidonic acid from the sn-1 position of diacyl phospholipid and from the sn-2 position of arachidonate-containing plasmalogen substrates (PubMed : 15908428). Therefore, plays an important role in the mobilization of arachidonic acid in response to cellular stimuli and the generation of lipid second messengers (PubMed : 15695510, PubMed : 15908428). Can also hydrolyze lysophosphatidylcholine (PubMed : 15695510). In the mitochondrial compartment, catalyzes the hydrolysis and release of oxidized aliphatic chains from cardiolipin and integrates mitochondrial bioenergetics and signaling. It is essential for maintaining efficient bioenergetic mitochondrial function through tailoring mitochondrial membrane lipid metabolism and composition (PubMed : 28442572).
See full target information PNPLA8

Publications (1)

Recent publications for all applications. Explore the full list and refine your search

Frontiers in immunology 8:1575 PubMed29201030

2017

Toll-Like Receptor 4, but Not Neutrophil Extracellular Traps, Promote IFN Type I Expression to Enhance Th2 Responses to .

Applications

Unspecified application

Species

Unspecified reactive species

Christophe Pellefigues,Shiau-Choot Tang,Alfonso Schmidt,Ruby F White,Olivier Lamiable,Lisa M Connor,Christiane Ruedl,Jurek Dobrucki,Graham Le Gros,Franca Ronchese
View all publications

Product promise

We are committed to supporting your work with high-quality reagents, and we're here for you every step of the way. In the unlikely event that one of our products does not perform as expected, you're protected by our Product Promise.
For full details, please see our Terms & Conditions

Please note: All products are 'FOR RESEARCH USE ONLY. NOT FOR USE IN DIAGNOSTIC OR THERAPEUTIC PROCEDURES'.

For licensing inquiries, please contact partnerships@abcam.com