JavaScript is disabled in your browser. Please enable JavaScript to view this website.
AB203745

Anti-PNPO antibody

Be the first to review this product! Submit a review

|

(1 Publication)

Rabbit Polyclonal PNPO antibody. Suitable for IHC-P and reacts with Rat samples. Cited in 1 publication. Immunogen corresponding to Synthetic Peptide within Human PNPO aa 50-150 conjugated to Keyhole Limpet Haemocyanin.

View Alternative Names

Pyridoxine-5'-phosphate oxidase, Pyridoxamine-phosphate oxidase, PNPO

1 Images
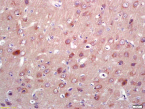
Immunohistochemistry (Formalin/PFA-fixed paraffin-embedded sections) - Anti-PNPO antibody (AB203745)
  • IHC-P

Supplier Data

Immunohistochemistry (Formalin/PFA-fixed paraffin-embedded sections) - Anti-PNPO antibody (AB203745)

Immunohistochemical analysis of formalin-fixed, paraffin embedded rat brain labeling tissue labeling PNPO with ab203745 at 1/200 dilution, followed by conjugation to the secondary antibody and DAB staining.

Key facts

Host species

Rabbit

Clonality

Polyclonal

Isotype

IgG

Carrier free

No

Reacts with

Rat

Applications

IHC-P

applications

Immunogen

Synthetic Peptide within Human PNPO aa 50-150 conjugated to Keyhole Limpet Haemocyanin. The exact immunogen used to generate this antibody is proprietary information.

Q9NVS9

Reactivity data

{ "title": "Reactivity Data", "filters": { "stats": ["", "Species", "Dilution Info", "Notes"], "tabs": { "all-applications": {"fullname" : "All Applications", "shortname": "All Applications"}, "IHCP" : {"fullname" : "Immunohistochemistry (Formalin/PFA-fixed paraffin-embedded sections)", "shortname":"IHC-P"} }, "product-promise": { "all": "all", "testedAndGuaranteed": "tested", "guaranteed": "expected", "predicted": "predicted", "notRecommended": "not-recommended" } }, "values": { "Rat": { "IHCP-species-checked": "testedAndGuaranteed", "IHCP-species-dilution-info": "1/100 - 1/500", "IHCP-species-notes": "<p>When using a fluorescent probe use a dilution of 1/50 - 1/200.</p>" } } }

Properties and storage information

Form
Liquid
Purification technique
Affinity purification Protein A
Storage buffer
pH: 7.4 Preservative: 0.02% Proclin 300 Constituents: 50% Glycerol (glycerin, glycerine), 48.98% TBS, 1X, 1% BSA
Shipped at conditions
Blue Ice
Appropriate short-term storage duration
1-2 weeks
Appropriate short-term storage conditions
+4°C
Appropriate long-term storage conditions
-20°C
Aliquoting information
Upon delivery aliquot
Storage information
Avoid freeze / thaw cycle

Supplementary information

This supplementary information is collated from multiple sources and compiled automatically.

The PNPO protein also known as pyridoxine 5'-phosphate oxidase plays a mechanical role in the biosynthesis of pyridoxal 5'-phosphate (PLP) the active form of vitamin B6. This enzyme with a mass of approximately 30 kDa catalyzes the oxidation of pyridoxine 5'-phosphate (PNP) to PLP. PNPO is expressed widely in human tissues particularly in the liver kidney and brain where vitamin B6 metabolism is essential.
Biological function summary

PNPO contributes to the production of PLP a cofactor involved in numerous enzymatic reactions including neurotransmitter synthesis and amino acid metabolism. PLP acts as a critical helper molecule in the functioning of over 140 enzymes. PNPO operates as part of a multi-step enzyme complex responsible for the conversion of dietary vitamin B6 forms into PLP ensuring the availability of this vital coenzyme throughout the body.

Pathways

PNPO integrates into the vitamin B6 metabolism pathway which is important for maintaining cellular functions. This enzyme assures the proper transformation of PNP to PLP coordinating with other enzymes such as pyridoxal kinase to regulate levels of active vitamin B6. PNPO's activity influences pathways like the transsulfuration and tryptophan degradation which rely on PLP-dependent enzymes.

PNPO deficiencies can lead to neurological conditions such as epilepsy due to impaired PLP production which affects neurotransmitter synthesis. Mutations in the PNPO gene may result in an inborn error of metabolism. In some cases PNPO interacts with other proteins such as glutamic acid decarboxylase which depend on PLP for activity. These interactions can exacerbate disease phenotypes highlighting PNPO's importance in maintaining neurological health.

Product protocols

For this product, it's our understanding that no specific protocols are required. You can visit:

Target data

Catalyzes the oxidation of either pyridoxine 5'-phosphate (PNP) or pyridoxamine 5'-phosphate (PMP) into pyridoxal 5'-phosphate (PLP).
See full target information PNPO

Publications (1)

Recent publications for all applications. Explore the full list and refine your search

Frontiers in physiology 8:794 PubMed29075202

2017

Mitochondrial ATP Depletion Disrupts Caco-2 Monolayer Integrity and Internalizes Claudin 7.

Applications

Unspecified application

Species

Unspecified reactive species

Lonneke M JanssenDuijghuijsen,Sander Grefte,Vincent C J de Boer,Lara Zeper,Dorien A M van Dartel,Inge van der Stelt,Melissa Bekkenkamp-Grovenstein,Klaske van Norren,Harry J Wichers,Jaap Keijer
View all publications

Product promise

We are committed to supporting your work with high-quality reagents, and we're here for you every step of the way. In the unlikely event that one of our products does not perform as expected, you're protected by our Product Promise.
For full details, please see our Terms & Conditions

Please note: All products are 'FOR RESEARCH USE ONLY. NOT FOR USE IN DIAGNOSTIC OR THERAPEUTIC PROCEDURES'.

For licensing inquiries, please contact partnerships@abcam.com