JavaScript is disabled in your browser. Please enable JavaScript to view this website.
AB70247

Anti-PNUTS antibody

Be the first to review this product! Submit a review

|

(1 Publication)

Rabbit Polyclonal PNUTS antibody. Suitable for IHC-P, IP, WB and reacts with Human samples. Cited in 1 publication. Immunogen corresponding to Synthetic Peptide within Human PPP1R10 aa 350-400.

View Alternative Names

CAT53, FB19, PNUTS, PPP1R10, Serine/threonine-protein phosphatase 1 regulatory subunit 10, MHC class I region proline-rich protein CAT53, PP1-binding protein of 114 kDa, Phosphatase 1 nuclear targeting subunit, Protein FB19, p99

3 Images
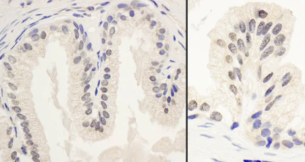
Immunohistochemistry (Formalin/PFA-fixed paraffin-embedded sections) - Anti-PNUTS antibody (AB70247)
  • IHC-P

Unknown

Immunohistochemistry (Formalin/PFA-fixed paraffin-embedded sections) - Anti-PNUTS antibody (AB70247)

Immunohistochemistry (Formalin/PFA-fixed paraffin-embedded sections) analysis of human prostate carcinoma tissue labelling PNUTS with ab70247 at 1/1000 (1μg/ml). Detection : DAB.

Western blot - Anti-PNUTS antibody (AB70247)
  • WB

Unknown

Western blot - Anti-PNUTS antibody (AB70247)

Lanes 1 - 2:

Western blot - Anti-PNUTS antibody (ab70247) at 1 µg/mL

Lanes 3 - 4:

Western blot - Anti-PNUTS antibody (ab70247) at 0.2 µg/mL

Lanes 1 and 3:

Nuclear extract from Hela cells at 15 µg

Lanes 2 and 4:

Nuclear extract from Hela cells at 45 µg

Predicted band size: 99 kDa

Observed band size: 115 kDa,48 kDa

false

Immunoprecipitation - Anti-PNUTS antibody (AB70247)
  • IP

Unknown

Immunoprecipitation - Anti-PNUTS antibody (AB70247)

Immunoprecipitation/ Western Blot of PNUTS. Sample : Nuclear extract from Hela cells lysate at 100µg for IP. Lane 1 : Another antibody which recognizes a different epitope of PNUTS. Lane 2 : Another antibody which recognizes a different epitope of PNUTS. Lane 3 : ab70247 at 1µg/100µg nuclear extract. Lane 4 : Another antibody which recognizes a different epitope of PNUTS. Detection : Chemiluminescence with exposure times of 3 seconds.

Lane 1:

Immunoprecipitation - Anti-PNUTS antibody (<a href='/en-us/products/primary-antibodies/pnuts-antibody-ab70248'>ab70248</a>)

Lane 1:

Immunoprecipitation - Anti-PNUTS antibody (ab70247)

Predicted band size: 99 kDa

false

Key facts

Host species

Rabbit

Clonality

Polyclonal

Isotype

IgG

Carrier free

No

Reacts with

Human

Applications

WB, IP, IHC-P

applications

Immunogen

Synthetic Peptide within Human PPP1R10 aa 350-400. The exact immunogen used to generate this antibody is proprietary information.

Q96QC0

Specificity

We have data to indicate that this antibody may not cross react with Xenopus laevis. However, this has not been conclusively tested and expression levels may vary in certain cell lines/tissues.

Reactivity data

{ "title": "Reactivity Data", "filters": { "stats": ["", "Species", "Dilution Info", "Notes"], "tabs": { "all-applications": {"fullname" : "All Applications", "shortname": "All Applications"}, "IHCP" : {"fullname" : "Immunohistochemistry (Formalin/PFA-fixed paraffin-embedded sections)", "shortname":"IHC-P"}, "IP" : {"fullname" : "Immunoprecipitation", "shortname":"IP"}, "WB" : {"fullname" : "Western blot", "shortname":"WB"} }, "product-promise": { "all": "all", "testedAndGuaranteed": "tested", "guaranteed": "expected", "predicted": "predicted", "notRecommended": "not-recommended" } }, "values": { "Human": { "IHCP-species-checked": "testedAndGuaranteed", "IHCP-species-dilution-info": "1/500 - 1/2000", "IHCP-species-notes": "<p></p> Perform heat-mediated antigen retrieval with citrate buffer pH 6 before commencing with IHC staining protocol.", "IP-species-checked": "testedAndGuaranteed", "IP-species-dilution-info": "", "IP-species-notes": "<p></p>", "WB-species-checked": "testedAndGuaranteed", "WB-species-dilution-info": "1/1000 - 1/10000", "WB-species-notes": "<p></p>" }, "Mouse": { "IHCP-species-checked": "predicted", "IHCP-species-dilution-info": "", "IHCP-species-notes": "", "IP-species-checked": "predicted", "IP-species-dilution-info": "", "IP-species-notes": "", "WB-species-checked": "predicted", "WB-species-dilution-info": "", "WB-species-notes": "" }, "Chimpanzee": { "IHCP-species-checked": "predicted", "IHCP-species-dilution-info": "", "IHCP-species-notes": "", "IP-species-checked": "predicted", "IP-species-dilution-info": "", "IP-species-notes": "", "WB-species-checked": "predicted", "WB-species-dilution-info": "", "WB-species-notes": "" }, "Gorilla": { "IHCP-species-checked": "predicted", "IHCP-species-dilution-info": "", "IHCP-species-notes": "", "IP-species-checked": "predicted", "IP-species-dilution-info": "", "IP-species-notes": "", "WB-species-checked": "predicted", "WB-species-dilution-info": "", "WB-species-notes": "" }, "Orangutan": { "IHCP-species-checked": "predicted", "IHCP-species-dilution-info": "", "IHCP-species-notes": "", "IP-species-checked": "predicted", "IP-species-dilution-info": "", "IP-species-notes": "", "WB-species-checked": "predicted", "WB-species-dilution-info": "", "WB-species-notes": "" }, "Rhesus monkey": { "IHCP-species-checked": "predicted", "IHCP-species-dilution-info": "", "IHCP-species-notes": "", "IP-species-checked": "predicted", "IP-species-dilution-info": "", "IP-species-notes": "", "WB-species-checked": "predicted", "WB-species-dilution-info": "", "WB-species-notes": "" } } }

Properties and storage information

Form
Liquid
Purification technique
Affinity purification Immunogen
Purification notes
Antibody was affinity purified using an epitope specific to PNUTS immobilized on solid support.
Storage buffer
pH: 7 - 8 Preservative: 0.09% Sodium azide Constituents: 1.815% Tris, 1.764% Sodium citrate, 0.021% PBS
Shipped at conditions
Blue Ice
Appropriate short-term storage conditions
+4°C
Appropriate long-term storage conditions
-20°C
Aliquoting information
Upon delivery aliquot
Storage information
Avoid freeze / thaw cycle

Supplementary information

This supplementary information is collated from multiple sources and compiled automatically.

The PNUTS protein also known as 'little PNUTS' acts as a regulatory subunit in the cell. It plays a role in controlling the activity of protein phosphatase 1 (PP1) essential for various cellular processes. The PNUTS protein has a molecular mass of approximately 106 kDa. It is expressed in multiple tissues with significant presence in the brain and heart suggesting its importance in these areas.
Biological function summary

The PNUTS protein influences many cellular events as it is part of a larger complex. It controls the dephosphorylation activity of PP1 impacting processes like cell cycle regulation and chromatin structure modification. This protein contributes to the dynamic regulation of transcription DNA repair and cell survival. Its ability to interact with other proteins positions it as a versatile component in cell biology.

Pathways

The PNUTS protein interacts in several notable pathways that affect cell function. It is involved in the DNA damage response pathway where it regulates DNA repair through its interaction with components like PP1. It also plays a role in the Rb signaling pathway related to cell cycle progression linking its function to cell growth and division. Through these pathways PNUTS connects with other proteins emphasizing its versatility.

Alterations in the PNUTS protein correlate with various conditions. Its dysfunction is associated with cancer impacting cell proliferation through its role in the Rb pathway. The connection between PNUTS and neurodegenerative disorders also emerges due to its high expression in the brain. In diseases like Alzheimer's PNUTS interactions with proteins like tau influence disease progression making it a target of interest in therapeutic research.

Product protocols

For this product, it's our understanding that no specific protocols are required. You can visit:

Target data

Scaffold protein which mediates the formation of the PTW/PP1 phosphatase complex by providing a binding platform to each component of the complex. The PTW/PP1 phosphatase complex plays a role in the control of chromatin structure and cell cycle progression during the transition from mitosis into interphase. Mediates interaction of WDR82 and PPP1CA. Inhibitor of PPP1CA and PPP1CC phosphatase activities. Has inhibitory activity on PPP1CA only when phosphorylated. Binds to mRNA, single-stranded DNA (ssDNA), poly(A) and poly(G) homopolymers (By similarity).
See full target information PPP1R10

Publications (1)

Recent publications for all applications. Explore the full list and refine your search

Molecular pharmacology 95:120-126 PubMed30397001

2018

Cell Cycle and Apoptosis Regulator 1, CCAR1, Regulates Enhancer-Dependent Nuclear Receptor CAR Transactivation.

Applications

Unspecified application

Species

Unspecified reactive species

Yuichiro Kanno,Shuai Zhao,Naoya Yamashita,Nao Saito,Aoi Ujiie,Rie Iijima,Nami Kikawa,Kiyomitsu Nemoto,Yoshio Inouye
View all publications

Product promise

We are committed to supporting your work with high-quality reagents, and we're here for you every step of the way. In the unlikely event that one of our products does not perform as expected, you're protected by our Product Promise.
For full details, please see our Terms & Conditions

Please note: All products are 'FOR RESEARCH USE ONLY. NOT FOR USE IN DIAGNOSTIC OR THERAPEUTIC PROCEDURES'.

For licensing inquiries, please contact partnerships@abcam.com