JavaScript is disabled in your browser. Please enable JavaScript to view this website.
AB188330

Anti-POC5 antibody [EPR14000-76] - N-terminal

Be the first to review this product! Submit a review

|

(2 Publications)

Rabbit Recombinant Monoclonal POC5 antibody. N-terminal. Suitable for WB, IHC-P and reacts with Human samples. Cited in 2 publications.

View Alternative Names

C5orf37, POC5, Centrosomal protein POC5, Protein of centriole 5, hPOC5

3 Images
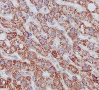
Immunohistochemistry (Formalin/PFA-fixed paraffin-embedded sections) - Anti-POC5 antibody [EPR14000-76] - N-terminal (AB188330)
  • IHC-P

Supplier Data

Immunohistochemistry (Formalin/PFA-fixed paraffin-embedded sections) - Anti-POC5 antibody [EPR14000-76] - N-terminal (AB188330)

Immunohistochemical analysis of paraffin-embedded Human liver tissue labeling POC5 with ab188330 at 1/50 dilution. Detected using HRP Polymer for Rabbit IgG and counter-stained using hematoxylin.

Perform heat mediated antigen retrieval with Tris/EDTA buffer pH 9.0 before commencing with IHC staining protocol.

Western blot - Anti-POC5 antibody [EPR14000-76] - N-terminal (AB188330)
  • WB

Supplier Data

Western blot - Anti-POC5 antibody [EPR14000-76] - N-terminal (AB188330)

All lanes:

Western blot - Anti-POC5 antibody [EPR14000-76] - N-terminal (ab188330) at 1/1000 dilution

All lanes:

Y79 cell lysate at 10 µg

Secondary

All lanes:

Goat Anti-Rabbit IgG, (H+L), Peroxidase conjugated at 1/1000 dilution

Predicted band size: 63 kDa

Observed band size: 75 kDa

false

Western blot - Anti-POC5 antibody [EPR14000-76] - N-terminal (AB188330)
  • WB

Supplier Data

Western blot - Anti-POC5 antibody [EPR14000-76] - N-terminal (AB188330)

All lanes:

Western blot - Anti-POC5 antibody [EPR14000-76] - N-terminal (ab188330) at 1/1000 dilution

All lanes:

Human testis lysate at 10 µg

Secondary

All lanes:

Anti-Rabbit IgG (HRP), specific to the non-reduced form of IgG at 1/500 dilution

Predicted band size: 63 kDa

Observed band size: 75 kDa

false

  • Carrier free

    Anti-POC5 antibody [EPR14000-76] - BSA and Azide free

Key facts

Host species

Rabbit

Clonality

Monoclonal

Clone number

EPR14000-76

Isotype

IgG

Carrier free

No

Reacts with

Human

Applications

IHC-P, WB

applications

Immunogen

The exact immunogen used to generate this antibody is proprietary information.

Reactivity data

{ "title": "Reactivity Data", "filters": { "stats": ["", "Species", "Dilution Info", "Notes"], "tabs": { "all-applications": {"fullname" : "All Applications", "shortname": "All Applications"}, "WB" : {"fullname" : "Western blot", "shortname":"WB"}, "IHCP" : {"fullname" : "Immunohistochemistry (Formalin/PFA-fixed paraffin-embedded sections)", "shortname":"IHC-P"} }, "product-promise": { "all": "all", "testedAndGuaranteed": "tested", "guaranteed": "expected", "predicted": "predicted", "notRecommended": "not-recommended" } }, "values": { "Human": { "WB-species-checked": "testedAndGuaranteed", "WB-species-dilution-info": "1/1000", "WB-species-notes": "<p></p>", "IHCP-species-checked": "testedAndGuaranteed", "IHCP-species-dilution-info": "1/50", "IHCP-species-notes": "<p></p>" } } }

Product details

Patented technology
Our RabMAb® technology is a patented hybridoma-based technology for making rabbit monoclonal antibodies. For details on our patents, please refer to RabMAb® patents.

What are the advantages of a recombinant monoclonal antibody?
This product is a recombinant monoclonal antibody, which offers several advantages including:

  • - High batch-to-batch consistency and reproducibility
  • - Improved sensitivity and specificity
  • - Long-term security of supply
  • - Animal-free batch production

For more information, read more on recombinant antibodies.

Properties and storage information

Form
Liquid
Purification technique
Affinity purification Protein A
Storage buffer
pH: 7.2 - 7.4 Preservative: 0.01% Sodium azide Constituents: PBS, 40% Glycerol (glycerin, glycerine), 0.05% BSA
Shipped at conditions
Blue Ice
Appropriate short-term storage duration
1-2 weeks
Appropriate short-term storage conditions
+4°C
Appropriate long-term storage conditions
-20°C
Aliquoting information
Upon delivery aliquot
Storage information
Avoid freeze / thaw cycle

Supplementary information

This supplementary information is collated from multiple sources and compiled automatically.

POC5 also known as Proteome of Centriole 5 is a protein encoded by the POC5 gene. The POC5 protein has a molecular mass of about 63 kDa. It is expressed in various tissues with high expression levels noted in the testis and brain. POC5 localizes to the centrioles which are key structures within the centrosome involved in the formation of cilia and flagella essential for cellular movement and organization.
Biological function summary

POC5 contributes to the maintenance and function of centrioles. It forms part of a complex that stabilizes the structure of centrioles ensuring correct centrosome duplication and cycle progression. By maintaining centriole integrity POC5 supports proper cell division and ensures that chromosomal segregation proceeds without errors during mitosis preserving genomic stability.

Pathways

POC5 integrates into the centrosome duplication pathway and the regulation of the cell cycle. It interacts with other proteins including CEP63 and PLK4 to ensure robust centriole duplication and prevent errors during cell cycle phases. POC5 therefore has an essential role in centrosome-related pathways which govern critical aspects of cell division and replication.

POC5 has been linked to ciliopathies and certain cancers like retinal degeneration and colorectal cancer. In ciliopathies impaired POC5 function disrupts the normal formation and stability of cilia causing defects that can lead to disease. Connections with proteins such as CEP290 in retinal degeneration highlight POC5's involvement in maintaining ciliary function. Increased or altered expression of POC5 in cancer has been observed suggesting its potential role as an oncogenic factor through disrupting normal centrosome function and chromosomal integrity.

Product protocols

For this product, it's our understanding that no specific protocols are required. You can visit:

Target data

Essential for the assembly of the distal half of centrioles, required for centriole elongation (PubMed : 19349582, PubMed : 32946374). Acts as a negative regulator of centriole elongation (PubMed : 37934472).
See full target information POC5

Publications (2)

Recent publications for all applications. Explore the full list and refine your search

Cancer communications (London, England) 41:904-920 PubMed34146461

2021

KDELR2 promotes breast cancer proliferation via HDAC3-mediated cell cycle progression.

Applications

Unspecified application

Species

Unspecified reactive species

Haoran Wei,Wenhao Ma,Xiaofei Lu,Haiying Liu,Kashuai Lin,Yinghui Wang,Zijian Ye,Linchong Sun,Zhitong Huang,Tingting Pan,Zilong Zhou,Eric Y Cheng,Huafeng Zhang,Ping Gao,Xiuying Zhong

PloS one 14:e0213269 PubMed30845169

2019

Adolescent idiopathic scoliosis associated POC5 mutation impairs cell cycle, cilia length and centrosome protein interactions.

Applications

Unspecified application

Species

Unspecified reactive species

Amani Hassan,Stefan Parent,Hélène Mathieu,Charlotte Zaouter,Sirinart Molidperee,Edward T Bagu,Soraya Barchi,Isabelle Villemure,Shunmoogum A Patten,Florina Moldovan
View all publications

Product promise

We are committed to supporting your work with high-quality reagents, and we're here for you every step of the way. In the unlikely event that one of our products does not perform as expected, you're protected by our Product Promise.
For full details, please see our Terms & Conditions

Please note: All products are 'FOR RESEARCH USE ONLY. NOT FOR USE IN DIAGNOSTIC OR THERAPEUTIC PROCEDURES'.

For licensing inquiries, please contact partnerships@abcam.com