JavaScript is disabled in your browser. Please enable JavaScript to view this website.
AB236529

Anti-Podoplanin antibody [EPR22182]

  • BOND RX™ Validated
  • 20ul selling size
  • RabMAb
  • Advanced Validation
  • Recombinant
  • What is this?

Be the first to review this product! Submit a review

|

(21 Publications)

Anti-Podoplanin antibody [EPR22182] (ab236529) is a rabbit monoclonal antibody detecting Podoplanin in Western Blot, Flow Cytometry (Intra), Flow Cytometry, IP, IHC-P, mIHC. Suitable for Human.

- Multiplex IHC validated on the Leica BOND® MAX using Opal reagents
- Biophysical QC for unrivalled batch-batch consistency

View Alternative Names

GP36, PSEC0003, PSEC0025, PDPN, Podoplanin, Aggrus, Glycoprotein 36, PA2.26 antigen, T1-alpha, Gp36, T1A

10 Images
Flow Cytometry - Anti-Podoplanin antibody [EPR22182] (AB236529)
  • Flow Cyt

Lab

Flow Cytometry - Anti-Podoplanin antibody [EPR22182] (AB236529)

Flow cytometry overlay histogram showing left U-87 MG positive cells and right negative HUVEC stained with ab236529 (red line). The cells were incubated in 1x PBS containing 10% normal goat serum to block non-specific protein-protein interaction followed by the antibody (ab236529) (1x 106 in 100μl at 1.0 μg/ml (1/500)) for 30min on ice.

The secondary antibody Goat Anti-Rabbit IgG H&L (Alexa Fluor® 488) preadsorbed was incubated at 1/4000 for 30min on ice

Isotype control antibody (black line) was Recombinant Rabbit IgG, monoclonal [EPR25A] - Isotype Control used at the same concentration and conditions as the primary antibody. Unlabelled sample (blue line) was also used as a control.

Acquisition of >5000 events were collected using a 50 mW Blue laser (488nm) and 525/40 bandpass filter.

Flow Cytometry (Intracellular) - Anti-Podoplanin antibody [EPR22182] (AB236529)
  • Flow Cyt (Intra)

Supplier Data

Flow Cytometry (Intracellular) - Anti-Podoplanin antibody [EPR22182] (AB236529)

Intracellular flow cytometric analysis of 4% paraformaldehyde-fixed, 90% methanol-permeabilized U-2 OS (human bone osteosarcoma epithelial cell line) cell line labeling Podoplanin with ab236529 at 1/300 dilution (red) compared with a Rabbit IgG, monoclonal [EPR25A] - Isotype Control (ab172730) (black) and an unlabeled control (cells without incubation with primary antibody and secondary antibody) (blue). Goat Anti-Rabbit IgG H&L (Alexa Fluor® 488) (ab150077) at 1/2000 dilution was used as the secondary antibody.

Immunohistochemistry (Formalin/PFA-fixed paraffin-embedded sections) - Anti-Podoplanin antibody [EPR22182] (AB236529)
  • IHC-P

Supplier Data

Immunohistochemistry (Formalin/PFA-fixed paraffin-embedded sections) - Anti-Podoplanin antibody [EPR22182] (AB236529)

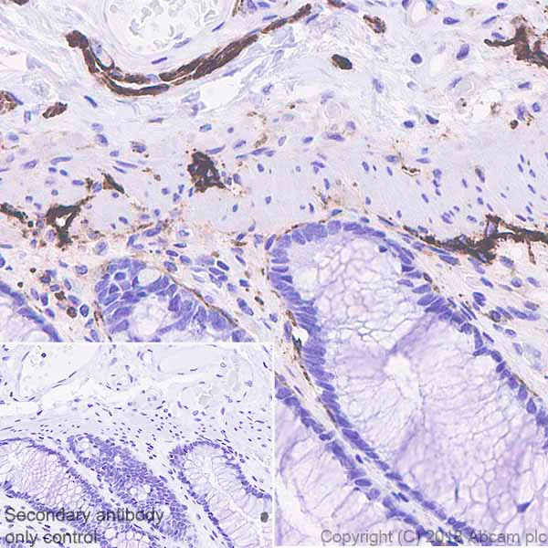
Immunohistochemical analysis of paraffin-embedded human colon tissue labeling Podoplanin with ab236529 at 1/4000 dilution, followed by Goat Anti-Rabbit IgG H&L (HRP) Ready to use. Positive staining in lymphatic endothelial cells of human colon (PMID : 28101903; PMID : 27798887) is observed. Counter stained with hematoxylin.

Secondary antibody only control : Used PBS instead of primary antibody, secondary antibody is Goat Anti-Rabbit IgG H&L (HRP) Ready to use.

Perform heat mediated antigen retrieval with Tris/EDTA buffer pH 9.0 before commencing with IHC staining protocol.

Flow Cytometry (Intracellular) - Anti-Podoplanin antibody [EPR22182] (AB236529)
  • Flow Cyt (Intra)

Supplier Data

Flow Cytometry (Intracellular) - Anti-Podoplanin antibody [EPR22182] (AB236529)

Intracellular flow cytometric analysis of 4% paraformaldehyde-fixed, 90% methanol-permeabilized U-87 MG (humanglioblastoma-astrocytoma epithelial cell line) cell line labeling Podoplanin with ab236529 at 1/300 dilution (red) compared with a Rabbit IgG, monoclonal [EPR25A] - Isotype Control (ab172730) (black) and an unlabeled control (cells without incubation with primary antibody and secondary antibody) (blue). Goat Anti-Rabbit IgG H&L (Alexa Fluor® 488) (ab150077) at 1/2000 dilution was used as the secondary antibody.

Multiplex immunohistochemistry - Anti-Podoplanin antibody [EPR22182] (AB236529)
  • mIHC

Lab

Multiplex immunohistochemistry - Anti-Podoplanin antibody [EPR22182] (AB236529)

Fluorescence multiplex immunohistochemical analysis of formalin/PFA-fixed paraffin-embedded Human lung tissue. Panel A : Merged staining of anti-Podoplanin / gp36 (magenta; Opal™690), anti-Surfactant protein D/SP-D (green; Opal™520) and anti-Sialoadhesin/CD169 (red; Opal™570) on human lung. Panel B : Anti-Podoplanin / gp36 stained on alveolar type I cells. Panel C : Anti-Surfactant protein D/SP-D stained on alveolar type II cells. Panel D : Anti-Sialoadhesin/CD169 stained on macrophages. The section was incubated in three rounds of staining : in the order of ab236529 and ab234257 for 30 mins, then ab245735 for 10 mins at room temperature. Each round was followed by a separate fluorescent tyramide signal amplification system. The immunostaining was performed on a Leica Biosystems BOND® RX instrument with an Opal™ 4-color kit. Image acquisition was performed with Leica SP8 confocal microscope. Heat mediated antigen retrieval with Tris-EDTA buffer (pH 9.0, epitope retrieval solution 2) for 20 mins. Counterstained with DAPI.

Immunohistochemistry (Formalin/PFA-fixed paraffin-embedded sections) - Anti-Podoplanin antibody [EPR22182] (AB236529)
  • IHC-P

Supplier Data

Immunohistochemistry (Formalin/PFA-fixed paraffin-embedded sections) - Anti-Podoplanin antibody [EPR22182] (AB236529)

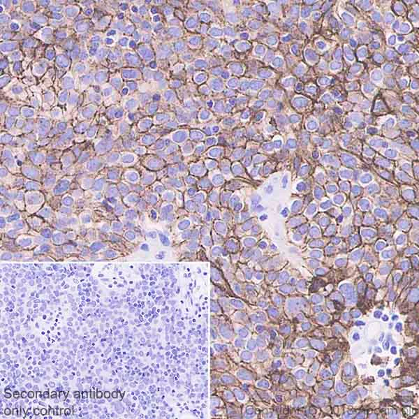
Immunohistochemical analysis of paraffin-embedded human mesothelioma tissue labeling Podoplanin with ab236529 at 1/4000 dilution, followed by Goat Anti-Rabbit IgG H&L (HRP) Ready to use. Membranous and weak cytoplasmic staining in tumor cells of human mesothelioma (PMID : 16670463) is observed. Counter stained with hematoxylin.

Secondary antibody only control : Used PBS instead of primary antibody, secondary antibody is Goat Anti-Rabbit IgG H&L (HRP) Ready to use.

Perform heat mediated antigen retrieval with Tris/EDTA buffer pH 9.0 before commencing with IHC staining protocol.

Immunoprecipitation - Anti-Podoplanin antibody [EPR22182] (AB236529)
  • IP

Supplier Data

Immunoprecipitation - Anti-Podoplanin antibody [EPR22182] (AB236529)

Podoplanin was immunoprecipitated from 0.35 mg of U-2 OS (human bone osteosarcoma epithelial cell line) whole cell lysate with ab236529 at 1/30 dilution. Western blot was performed from the immunoprecipitate using ab236529 at 1/1000 dilution. VeriBlot for IP Detection Reagent (HRP) (ab131366), was used for detection at 1/5000 dilution.

Lane 1 : U-2 OS whole cell lysate 10 μg (Input).

Lane 2 : ab236529 IP in U-2 OS whole cell lysate.

Lane 3 : Rabbit monoclonal IgG (ab172730) instead of ab236529 in U-2 OS whole cell lysate.

Blocking and dilution buffer and concentration : 5% NFDM/TBST.

Exposure time : 30 seconds.

All lanes:

Immunoprecipitation - Anti-Podoplanin antibody [EPR22182] (ab236529)

Predicted band size: 16 kDa

false

Western blot - Anti-Podoplanin antibody [EPR22182] (AB236529)
  • WB

Supplier Data

Western blot - Anti-Podoplanin antibody [EPR22182] (AB236529)

Blocking/Dilution buffer : 5% NFDM/TBST.

The molecular mass observed is consistent with what has been described in the literature (PMID : 10408868; PMID : 17279584).

Negative control : HUVEC (PMID : 21920451).

All lanes:

Western blot - Anti-Podoplanin antibody [EPR22182] (ab236529) at 1/1000 dilution

Lane 1:

U-2 OS (human bone osteosarcoma epithelial cell line) whole cell lysate at 20 µg

Lane 2:

HUVEC (human umbilical vein endothelial cell line) whole cell lysate at 20 µg

Lane 3:

U-87 MG (human glioblastoma-astrocytoma epithelial cell line) whole cell lysate at 20 µg

Secondary

All lanes:

Western blot - Goat Anti-Rabbit IgG H&L (HRP) (<a href='/en-us/products/secondary-antibodies/goat-rabbit-igg-h-l-hrp-ab97051'>ab97051</a>) at 1/100000 dilution

Predicted band size: 16 kDa

Observed band size: 38 kDa

false

Exposure time: 3min

Western blot - Anti-Podoplanin antibody [EPR22182] (AB236529)
  • WB

Supplier Data

Western blot - Anti-Podoplanin antibody [EPR22182] (AB236529)

Blocking/Dilution buffer : 5% NFDM/TBST.

The molecular mass observed is consistent with what has been described in the literature (PMID : 10408868; PMID : 17279584).

All lanes:

Western blot - Anti-Podoplanin antibody [EPR22182] (ab236529) at 1/1000 dilution

Lane 1:

Human seminoma lysate at 20 µg

Lane 2:

Human tonsil lysate at 20 µg

Lane 3:

Human lymph node lysate at 20 µg

Lane 4:

Human stomach lysate at 20 µg

Secondary

All lanes:

Western blot - Goat Anti-Rabbit IgG H&L (HRP) (<a href='/en-us/products/secondary-antibodies/goat-rabbit-igg-h-l-hrp-ab97051'>ab97051</a>) at 1/100000 dilution

Predicted band size: 16 kDa

Observed band size: 38 kDa

false

Exposure time: 3min

Immunohistochemistry (Formalin/PFA-fixed paraffin-embedded sections) - Anti-Podoplanin antibody [EPR22182] (AB236529)
  • IHC-P

Supplier Data

Immunohistochemistry (Formalin/PFA-fixed paraffin-embedded sections) - Anti-Podoplanin antibody [EPR22182] (AB236529)

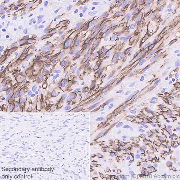
Immunohistochemical analysis of paraffin-embedded human Kaposi's sarcoma tissue labeling Podoplanin with ab236529 at 1/4000 dilution, followed by Goat Anti-Rabbit IgG H&L (HRP) Ready to use. Membranous and cytoplasmic staining in tumor cells of human Kaposi's sarcoma (PMID : 11950918) is observed. Counter stained with hematoxylin.

Secondary antibody only control : Used PBS instead of primary antibody, secondary antibody is Goat Anti-Rabbit IgG H&L (HRP) Ready to use.

Perform heat mediated antigen retrieval with Tris/EDTA buffer pH 9.0 before commencing with IHC staining protocol.

  • Carrier free

    Anti-Podoplanin antibody [EPR22182] - BSA and Azide free

  • 665 Alexa Fluor® 647

    Alexa Fluor® 647 Anti-Podoplanin antibody [EPR22182]

  • 519 Alexa Fluor® 488

    Alexa Fluor® 488 Anti-Podoplanin antibody [EPR22182]

  • 578 PE

    PE Anti-Podoplanin antibody [EPR22182]

Key facts

Host species

Rabbit

Clonality

Monoclonal

Clone number

EPR22182

Isotype

IgG

Carrier free

No

Reacts with

Human

Applications

Flow Cyt (Intra), IP, Flow Cyt, IHC-P, mIHC, WB

applications

Immunogen

The exact immunogen used to generate this antibody is proprietary information.

Reactivity data

{ "title": "Reactivity Data", "filters": { "stats": ["", "Species", "Dilution Info", "Notes"], "tabs": { "all-applications": {"fullname" : "All Applications", "shortname": "All Applications"}, "IP" : {"fullname" : "Immunoprecipitation", "shortname":"IP"}, "WB" : {"fullname" : "Western blot", "shortname":"WB"}, "FlowCytIntra" : {"fullname" : "Flow Cytometry (Intracellular)", "shortname":"Flow Cyt (Intra)"}, "FlowCyt" : {"fullname" : "Flow Cytometry", "shortname":"Flow Cyt"}, "IHCP" : {"fullname" : "Immunohistochemistry (Formalin/PFA-fixed paraffin-embedded sections)", "shortname":"IHC-P"}, "mIHC" : {"fullname" : "Multiplex immunohistochemistry", "shortname":"mIHC"} }, "product-promise": { "all": "all", "testedAndGuaranteed": "tested", "guaranteed": "expected", "predicted": "predicted", "notRecommended": "not-recommended" } }, "values": { "Human": { "IP-species-checked": "testedAndGuaranteed", "IP-species-dilution-info": "1/30", "IP-species-notes": "<p></p>", "WB-species-checked": "testedAndGuaranteed", "WB-species-dilution-info": "1/1000", "WB-species-notes": "<p></p>", "FlowCytIntra-species-checked": "testedAndGuaranteed", "FlowCytIntra-species-dilution-info": "1/300", "FlowCytIntra-species-notes": "<p></p>", "FlowCyt-species-checked": "guaranteed", "FlowCyt-species-dilution-info": "", "FlowCyt-species-notes": "<p></p>", "IHCP-species-checked": "testedAndGuaranteed", "IHCP-species-dilution-info": "1/4000", "IHCP-species-notes": "<p></p>", "mIHC-species-checked": "testedAndGuaranteed", "mIHC-species-dilution-info": "1/8000", "mIHC-species-notes": "<p></p>" } } }

Product details

What is this antibody validated in?
Anti-Podoplanin antibody [EPR22182] (ab236529) is a rabbit recombinant monoclonal antibody and is validated for use in Western Blot (WB), Flow Cytometry (Intra), Flow Cytometry (Flow Cyt), Immunoprecipitation (IP), Immunohistochemistry (IHC-P), Multiplex IHC (mIHC) in Human samples.

What is the molecular weight of Podoplanin?
Anti-Podoplanin [EPR22182] (ab236529) specifically detects a band for Podoplanin (UniProt: Q86YL7) at a molecular weight of 16kDa.

Trusted by the scientific community
Anti-Podoplanin [EPR22182] (ab236529) was first used in a scientific publication in 2018 and has been cited over 10 times in peer-reviewed journals.

Trial sizes available!
Test your antibody or perform pre-screening before committing to a larger quantity. Sold in 10µl. Discover our selection of trial-size antibodies.

Other related products
We have a range of other formats of antibody clone [EPR22182] also available for your convenience: ab236529, Carrier free - ab237033, Alexa Fluor® 647 - ab303715, Alexa Fluor® 488 - ab305116, PE - ab314406

Patented technology
Our RabMAb® technology is a patented hybridoma-based technology for making rabbit monoclonal antibodies. For details on our patents, please refer to RabMAb® patents.

What are the advantages of a recombinant monoclonal antibody?
This product is a recombinant monoclonal antibody, which offers several advantages including:

  • - High batch-to-batch consistency and reproducibility
  • - Improved sensitivity and specificity
  • - Long-term security of supply
  • - Animal-free batch production

For more information, read more on recombinant antibodies.

Properties and storage information

Form
Liquid
Purification technique
Affinity purification Protein A
Storage buffer
pH: 7.2 - 7.4 Preservative: 0.01% Sodium azide Constituents: PBS, 40% Glycerol (glycerin, glycerine), 0.05% BSA
Shipped at conditions
Blue Ice
Appropriate short-term storage duration
1-2 weeks
Appropriate short-term storage conditions
+4°C
Appropriate long-term storage conditions
-20°C
Aliquoting information
Upon delivery aliquot
Storage information
Avoid freeze / thaw cycle

Supplementary information

This supplementary information is collated from multiple sources and compiled automatically.

Podoplanin also known as gp36 and PDPN is a small transmembrane protein weighing approximately 36 kDa. It mainly expresses in lymphatic endothelial cells podocytes and various other tissues like the lung and kidney. It functions as a marker in mesothelial cells and is noticeable in histochemical studies such as mesothelioma using podoplanin staining in immunohistochemistry (IHC). Podoplanin emerges as an important tool in identifying lymphatic vessels and has significant roles in the development of certain tissues.
Biological function summary

The protein participates in maintaining the integrity of cell structures and lymphangiogenesis. This protein does not form part of a larger complex but actively interacts with different molecules. In lymphoid tissues podoplanin contributes to the proper formation of lymphatic channels and assists in platelet aggregation. These actions are pivotal in wound healing and protecting the epithelial cell layers in multiple organs.

Pathways

Podoplanin impacts the platelet activation pathway and the Lymphatic Vessel Development pathway. Its interaction with CLEC-2 (C-type lectin-like receptor 2) triggers downstream signaling leading to changes in platelet morphology and actin cytoskeleton reorganization. Podoplanin's activation of these pathways links it to key processes that include cell migration and tissue homeostasis TGF-beta interaction also represents a significant relationship within these pathways.

Podoplanin has correlations with conditions like cancer specifically mesothelioma and squamous cell carcinoma. Dysregulation of podoplanin and its pathways may contribute to tumor progression and metastasis. In mesothelioma podoplanin interacts with other proteins like E-cadherin influencing cancer cell migration and adhesion. Its role in disease states highlights the importance of podoplanin IHC as a diagnostic tool aiding in the better understanding and identification of disease pathology.

Product protocols

For this product, it's our understanding that no specific protocols are required. You can visit:

Target data

Mediates effects on cell migration and adhesion through its different partners. During development plays a role in blood and lymphatic vessels separation by binding CLEC1B, triggering CLEC1B activation in platelets and leading to platelet activation and/or aggregation (PubMed : 14522983, PubMed : 15231832, PubMed : 17222411, PubMed : 17616532, PubMed : 18215137). Interaction with CD9, on the contrary, attenuates platelet aggregation induced by PDPN (PubMed : 18541721). Through MSN or EZR interaction promotes epithelial-mesenchymal transition (EMT) leading to ERZ phosphorylation and triggering RHOA activation leading to cell migration increase and invasiveness (PubMed : 17046996, PubMed : 21376833). Interaction with CD44 promotes directional cell migration in epithelial and tumor cells (PubMed : 20962267). In lymph nodes (LNs), controls fibroblastic reticular cells (FRCs) adhesion to the extracellular matrix (ECM) and contraction of the actomyosin by maintaining ERM proteins (EZR; MSN and RDX) and MYL9 activation through association with unknown transmembrane proteins. Engagement of CLEC1B by PDPN promotes FRCs relaxation by blocking lateral membrane interactions leading to reduction of ERM proteins (EZR; MSN and RDX) and MYL9 activation (By similarity). Through binding with LGALS8 may participate in connection of the lymphatic endothelium to the surrounding extracellular matrix (PubMed : 19268462). In keratinocytes, induces changes in cell morphology showing an elongated shape, numerous membrane protrusions, major reorganization of the actin cytoskeleton, increased motility and decreased cell adhesion (PubMed : 15515019). Controls invadopodia stability and maturation leading to efficient degradation of the extracellular matrix (ECM) in tumor cells through modulation of RHOC activity in order to activate ROCK1/ROCK2 and LIMK1/LIMK2 and inactivation of CFL1 (PubMed : 25486435). Required for normal lung cell proliferation and alveolus formation at birth (By similarity). Does not function as a water channel or as a regulator of aquaporin-type water channels (PubMed : 9651190). Does not have any effect on folic acid or amino acid transport (By similarity).
See full target information PDPN

Publications (21)

Recent publications for all applications. Explore the full list and refine your search

APL bioengineering 9:036115 PubMed40895767

2025

PDPN+ cancer-associated fibroblasts correlate with the neoadjuvant immunotherapy response in gastric cancer.

Applications

Unspecified application

Species

Unspecified reactive species

Mi Jian,Zhensong Yang,Yutao Tang,Fangjie Jiang,Li Cai,Aina Liu,Jinchen Hu,Xixun Wang,Shuguang Liu,Dawei Zhao,Miaomiao Li,Hongbing Chen,Menglai Zhang,Zengwu Yao,Rongbao Jia,Ruyue Chen,Lixin Jiang,Yifei Zhang,Xicheng Song

Nature communications 15:10534 PubMed39627211

2024

Differential activity of MAPK signalling defines fibroblast subtypes in pancreatic cancer.

Applications

Unspecified application

Species

Unspecified reactive species

Lisa Veghini,Davide Pasini,Rui Fang,Pietro Delfino,Dea Filippini,Christian Neander,Caterina Vicentini,Elena Fiorini,Francesca Lupo,Sabrina L D'Agosto,Carmine Carbone,Antonio Agostini,Geny Piro,Diego Rosa,Michele Bevere,Peter Markus,Diana Behrens,Claudio Luchini,Rita T Lawlor,Aldo Scarpa,Giulia Biffi,Phyllis F Cheung,Jens T Siveke,Vincenzo Corbo

iScience 27:110836 PubMed39310774

2024

Single-cell sequencing reveals the heterogeneity of pancreatic neuroendocrine tumors under genomic instability and histological grading.

Applications

Unspecified application

Species

Unspecified reactive species

Zeng Ye,Yan Zhou,Yuheng Hu,Qiang Li,Zijin Xu,Xin Lou,Wuhu Zhang,Di Zhu,Cao Xie,Qingtong Zhou,Jing Gao,Hu Zhou,Dehua Yang,Yi Qin,Xiaowu Xu,Jie Chen,Shunrong Ji,Ming-Wei Wang,Xianjun Yu

Cancer letters 600:217180 PubMed39154702

2024

Single-cell RNA sequencing of OSCC primary tumors and lymph nodes reveals distinct origin and phenotype of fibroblasts.

Applications

Unspecified application

Species

Unspecified reactive species

Qian Zhang,Liang Ding,Jingyi Li,Kunyu Liu,Chengwan Xia,Sheng Chen,Xiaofeng Huang,Yumei Pu,Yuxian Song,Qingang Hu,Yuxin Wang

Biomedicines 12: PubMed38927528

2024

Expression of HOXB7 in the Lung of Patients with Idiopathic Pulmonary Fibrosis: A Proof-of-Concept Study.

Applications

Unspecified application

Species

Unspecified reactive species

Anna Valeria Samarelli,Roberto Tonelli,Giulia Raineri,Ilenia Mastrolia,Matteo Costantini,Luca Fabbiani,Virginia Catani,Tiziana Petrachi,Giulia Bruzzi,Dario Andrisani,Filippo Gozzi,Alessandro Marchioni,Valentina Masciale,Beatrice Aramini,Valentina Ruggieri,Giulia Grisendi,Massimo Dominici,Stefania Cerri,Enrico Clini

Frontiers in immunology 15:1302761 PubMed38390332

2024

Immune checkpoint ligands expressed on mature high endothelial venules predict poor prognosis of NSCLC: have a relationship with CD8 T lymphocytes infiltration.

Applications

Unspecified application

Species

Unspecified reactive species

Jing Luo,Xiuhuan Shi,Yumeng Liu,Jian Wang,Hao Wang,Xuena Yang,Qian Sun,Zhenzhen Hui,Feng Wei,Xiubao Ren,Hua Zhao

International journal of molecular medicine 53: PubMed38214344

2024

Regulator of G protein signalling 18 promotes osteocyte proliferation by activating the extracellular signal‑regulated kinase signalling pathway.

Applications

Unspecified application

Species

Unspecified reactive species

Yong Meng,Si-Qiang Qiu,Qiang Wang,Jin-Liang Zuo

Cell death & disease 14:759 PubMed37993428

2023

PDPN CAFs facilitate the motility of OSCC cells by inhibiting ferroptosis via transferring exosomal lncRNA FTX.

Applications

Unspecified application

Species

Unspecified reactive species

Yaoyin Li,Zeyi Ma,Weiyu Li,Xiaoqing Xu,Peiqi Shen,Si-En Zhang,Bin Cheng,Juan Xia

Diagnostics (Basel, Switzerland) 13: PubMed37998623

2023

Depth-Resolved Attenuation Mapping of the Vaginal Wall under Prolapse and after Laser Treatment Using Cross-Polarization Optical Coherence Tomography: A Pilot Study.

Applications

Unspecified application

Species

Unspecified reactive species

Ekaterina Gubarkova,Arseniy Potapov,Alexander Moiseev,Elena Kiseleva,Darya Krupinova,Ksenia Shatilova,Maria Karabut,Andrey Khlopkov,Maria Loginova,Stefka Radenska-Lopovok,Grigory Gelikonov,Gennady Grechkanev,Natalia Gladkova,Marina Sirotkina

International journal of molecular sciences 24: PubMed37762270

2023

Multimodal OCT Control for Early Histological Signs of Vulvar Lichen Sclerosus Recurrence after Systemic PDT: Pilot Study.

Applications

Unspecified application

Species

Unspecified reactive species

Arseniy Potapov,Lev Matveev,Alexander Moiseev,Elena Sedova,Maria Loginova,Maria Karabut,Irina Kuznetsova,Viktoriya Levchenko,Elena Grebenkina,Sergey Gamayunov,Stefka Radenska-Lopovok,Marina Sirotkina,Natalia Gladkova
View all publications

Product promise

We are committed to supporting your work with high-quality reagents, and we're here for you every step of the way. In the unlikely event that one of our products does not perform as expected, you're protected by our Product Promise.
For full details, please see our Terms & Conditions

Please note: All products are 'FOR RESEARCH USE ONLY. NOT FOR USE IN DIAGNOSTIC OR THERAPEUTIC PROCEDURES'.

For licensing inquiries, please contact partnerships@abcam.com