JavaScript is disabled in your browser. Please enable JavaScript to view this website.
AB256561

Anti-Podoplanin antibody [LpMab-7]

Be the first to review this product! Submit a review

|

(1 Publication)

Mouse Recombinant Monoclonal Podoplanin antibody. Suitable for WB, IHC-P and reacts with Human samples. Cited in 1 publication.

View Alternative Names

GP36, PSEC0003, PSEC0025, PDPN, Podoplanin, Aggrus, Glycoprotein 36, PA2.26 antigen, T1-alpha, Gp36, T1A

3 Images
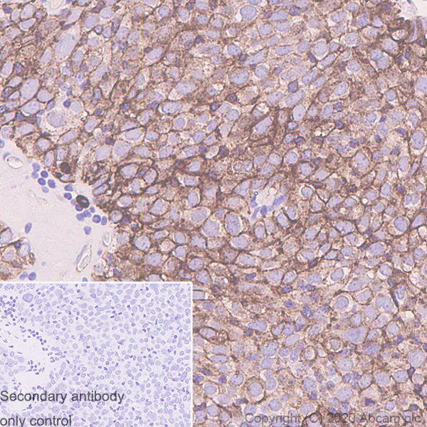
Immunohistochemistry (Formalin/PFA-fixed paraffin-embedded sections) - Anti-Podoplanin antibody [LpMab-7] (AB256561)
  • IHC-P

Unknown

Immunohistochemistry (Formalin/PFA-fixed paraffin-embedded sections) - Anti-Podoplanin antibody [LpMab-7] (AB256561)

Immunohistochemical analysis of paraffin-embedded Human mesothelioma tissue labeling Podoplanin with ab256561 at 1/10000 dilution, detected using Leica DS9800 (Bond™ Polymer Refine Detection). Membranous staining on human mesothelioma. The section was incubated with ab256561 for 30 mins at room temperature. The immunostaining was performed on a Leica Biosystems BOND® RX instrument Counterstained with Hematoxylin.

Secondary antibody only control : Leica DS9800 (Bond™ Polymer Refine Detection).

Heat mediated antigen retrieval with Citrate buffer (pH 6.0, epitope retrieval solution 1) for 20 mins.

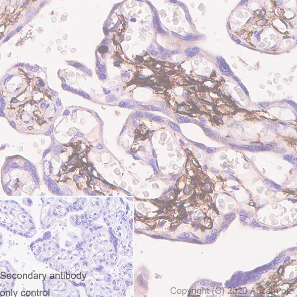
Immunohistochemistry (Formalin/PFA-fixed paraffin-embedded sections) - Anti-Podoplanin antibody [LpMab-7] (AB256561)
  • IHC-P

Unknown

Immunohistochemistry (Formalin/PFA-fixed paraffin-embedded sections) - Anti-Podoplanin antibody [LpMab-7] (AB256561)

Immunohistochemical analysis of paraffin-embedded Human placenta tissue labeling Podoplanin with ab256561 at 1/10000 dilution, detected using Leica DS9800 (Bond™ Polymer Refine Detection). Positive staining on the vessels in the human placenta. The section was incubated with ab256561 for 30 mins at room temperature. The immunostaining was performed on a Leica Biosystems BOND® RX instrument Counterstained with Hematoxylin.

Secondary antibody only control : Leica DS9800 (Bond™ Polymer Refine Detection).

Heat mediated antigen retrieval with Citrate buffer (pH 6.0, epitope retrieval solution 1) for 20 mins

Western blot - Anti-Podoplanin antibody [LpMab-7] (AB256561)
  • WB

Lab

Western blot - Anti-Podoplanin antibody [LpMab-7] (AB256561)

Blocking and diluting buffer and concentration : 5% NFDM/TBST The molecular weight observed is consistent with what has been described in the literature (PMID : 25080943; PMID : 26090595; PMID : 26416352).

Negative control : HUVEC (PMID : 21920451)

Exposure time : 20 seconds

All lanes:

Western blot - Anti-Podoplanin antibody [LpMab-7] (ab256561) at 1/1000 dilution

Lane 1:

U-2 OS (human bone osteosarcoma epithelial cell), whole cell lysate at 20 µg

Lane 2:

HUVEC (human umbilical vein endothelial cell), whole cell lysate at 20 µg

Secondary

All lanes:

Peroxidase-Conjugated Goat anti-Mouse IgG (H+L) at 1/10000 dilution

Predicted band size: 16 kDa

Observed band size: 40 kDa

false

  • Carrier free

    Anti-Podoplanin antibody [LpMab-7] - BSA and Azide free

Key facts

Host species

Mouse

Clonality

Monoclonal

Clone number

LpMab-7

Isotype

IgG1

Light chain type

kappa

Carrier free

No

Reacts with

Human

Applications

IHC-P, WB

applications

Immunogen

The exact immunogen used to generate this antibody is proprietary information.

Reactivity data

{ "title": "Reactivity Data", "filters": { "stats": ["", "Species", "Dilution Info", "Notes"], "tabs": { "all-applications": {"fullname" : "All Applications", "shortname": "All Applications"}, "WB" : {"fullname" : "Western blot", "shortname":"WB"}, "ICCIF" : {"fullname" : "Immunocytochemistry/ Immunofluorescence", "shortname":"ICC/IF"}, "IHCP" : {"fullname" : "Immunohistochemistry (Formalin/PFA-fixed paraffin-embedded sections)", "shortname":"IHC-P"} }, "product-promise": { "all": "all", "testedAndGuaranteed": "tested", "guaranteed": "expected", "predicted": "predicted", "notRecommended": "not-recommended" } }, "values": { "Human": { "WB-species-checked": "testedAndGuaranteed", "WB-species-dilution-info": "1/1000", "WB-species-notes": "<p></p>", "ICCIF-species-checked": "notRecommended", "ICCIF-species-dilution-info": "", "ICCIF-species-notes": "<p></p>", "IHCP-species-checked": "testedAndGuaranteed", "IHCP-species-dilution-info": "1/10000", "IHCP-species-notes": "<p></p>" }, "Mouse": { "WB-species-checked": "notRecommended", "WB-species-dilution-info": "", "WB-species-notes": "", "ICCIF-species-checked": "notRecommended", "ICCIF-species-dilution-info": "", "ICCIF-species-notes": "", "IHCP-species-checked": "notRecommended", "IHCP-species-dilution-info": "1/10000", "IHCP-species-notes": "<p></p>" }, "Rat": { "WB-species-checked": "notRecommended", "WB-species-dilution-info": "", "WB-species-notes": "", "ICCIF-species-checked": "notRecommended", "ICCIF-species-dilution-info": "", "ICCIF-species-notes": "", "IHCP-species-checked": "notRecommended", "IHCP-species-dilution-info": "1/10000", "IHCP-species-notes": "<p></p>" } } }

Product details

What are the advantages of a recombinant monoclonal antibody?
This product is a recombinant monoclonal antibody, which offers several advantages including:

  • - High batch-to-batch consistency and reproducibility
  • - Improved sensitivity and specificity
  • - Long-term security of supply
  • - Animal-free batch production

For more information, read more on recombinant antibodies.

Want a custom formulation?
This antibody clone is manufactured by Abcam. If you require a custom buffer formulation or conjugation for your experiments, please contact orders@abcam.com

Properties and storage information

Form
Liquid
Purification technique
Affinity purification Protein A
Storage buffer
pH: 7.2 - 7.4 Preservative: 0.01% Sodium azide Constituents: PBS, 40% Glycerol (glycerin, glycerine), 0.05% BSA
Shipped at conditions
Blue Ice
Appropriate short-term storage duration
1-2 weeks
Appropriate short-term storage conditions
+4°C
Appropriate long-term storage conditions
-20°C
Aliquoting information
Upon delivery aliquot
Storage information
Avoid freeze / thaw cycle

Supplementary information

This supplementary information is collated from multiple sources and compiled automatically.

Podoplanin also known as gp36 and PDPN is a small transmembrane protein weighing approximately 36 kDa. It mainly expresses in lymphatic endothelial cells podocytes and various other tissues like the lung and kidney. It functions as a marker in mesothelial cells and is noticeable in histochemical studies such as mesothelioma using podoplanin staining in immunohistochemistry (IHC). Podoplanin emerges as an important tool in identifying lymphatic vessels and has significant roles in the development of certain tissues.
Biological function summary

The protein participates in maintaining the integrity of cell structures and lymphangiogenesis. This protein does not form part of a larger complex but actively interacts with different molecules. In lymphoid tissues podoplanin contributes to the proper formation of lymphatic channels and assists in platelet aggregation. These actions are pivotal in wound healing and protecting the epithelial cell layers in multiple organs.

Pathways

Podoplanin impacts the platelet activation pathway and the Lymphatic Vessel Development pathway. Its interaction with CLEC-2 (C-type lectin-like receptor 2) triggers downstream signaling leading to changes in platelet morphology and actin cytoskeleton reorganization. Podoplanin’s activation of these pathways links it to key processes that include cell migration and tissue homeostasis TGF-beta interaction also represents a significant relationship within these pathways.

Podoplanin has correlations with conditions like cancer specifically mesothelioma and squamous cell carcinoma. Dysregulation of podoplanin and its pathways may contribute to tumor progression and metastasis. In mesothelioma podoplanin interacts with other proteins like E-cadherin influencing cancer cell migration and adhesion. Its role in disease states highlights the importance of podoplanin IHC as a diagnostic tool aiding in the better understanding and identification of disease pathology.

Product protocols

For this product, it's our understanding that no specific protocols are required. You can visit:

Target data

Mediates effects on cell migration and adhesion through its different partners. During development plays a role in blood and lymphatic vessels separation by binding CLEC1B, triggering CLEC1B activation in platelets and leading to platelet activation and/or aggregation (PubMed : 14522983, PubMed : 15231832, PubMed : 17222411, PubMed : 17616532, PubMed : 18215137). Interaction with CD9, on the contrary, attenuates platelet aggregation induced by PDPN (PubMed : 18541721). Through MSN or EZR interaction promotes epithelial-mesenchymal transition (EMT) leading to ERZ phosphorylation and triggering RHOA activation leading to cell migration increase and invasiveness (PubMed : 17046996, PubMed : 21376833). Interaction with CD44 promotes directional cell migration in epithelial and tumor cells (PubMed : 20962267). In lymph nodes (LNs), controls fibroblastic reticular cells (FRCs) adhesion to the extracellular matrix (ECM) and contraction of the actomyosin by maintaining ERM proteins (EZR; MSN and RDX) and MYL9 activation through association with unknown transmembrane proteins. Engagement of CLEC1B by PDPN promotes FRCs relaxation by blocking lateral membrane interactions leading to reduction of ERM proteins (EZR; MSN and RDX) and MYL9 activation (By similarity). Through binding with LGALS8 may participate in connection of the lymphatic endothelium to the surrounding extracellular matrix (PubMed : 19268462). In keratinocytes, induces changes in cell morphology showing an elongated shape, numerous membrane protrusions, major reorganization of the actin cytoskeleton, increased motility and decreased cell adhesion (PubMed : 15515019). Controls invadopodia stability and maturation leading to efficient degradation of the extracellular matrix (ECM) in tumor cells through modulation of RHOC activity in order to activate ROCK1/ROCK2 and LIMK1/LIMK2 and inactivation of CFL1 (PubMed : 25486435). Required for normal lung cell proliferation and alveolus formation at birth (By similarity). Does not function as a water channel or as a regulator of aquaporin-type water channels (PubMed : 9651190). Does not have any effect on folic acid or amino acid transport (By similarity).
See full target information PDPN

Publications (1)

Recent publications for all applications. Explore the full list and refine your search

Cell reports methods 3:100488 PubMed37426764

2023

Efficient and scalable generation of primordial germ cells in 2D culture using basement membrane extract overlay.

Applications

Unspecified application

Species

Unspecified reactive species

Arend W Overeem,Yolanda W Chang,Ioannis Moustakas,Celine M Roelse,Sanne Hillenius,Talia Van Der Helm,Valérie F Van Der Schrier,Manuel A F V Gonçalves,Hailiang Mei,Christian Freund,Susana M Chuva de Sousa Lopes
View all publications

Product promise

We are committed to supporting your work with high-quality reagents, and we're here for you every step of the way. In the unlikely event that one of our products does not perform as expected, you're protected by our Product Promise.
For full details, please see our Terms & Conditions

Please note: All products are 'FOR RESEARCH USE ONLY. NOT FOR USE IN DIAGNOSTIC OR THERAPEUTIC PROCEDURES'.

For licensing inquiries, please contact partnerships@abcam.com