JavaScript is disabled in your browser. Please enable JavaScript to view this website.
AB315972

Anti-Pofut1 antibody [EPR26782-194] - BSA and Azide free

Be the first to review this product! Submit a review

|

(0 Publication)

Rabbit Recombinant Monoclonal Pofut1 antibody. Carrier free. Suitable for WB, Flow Cyt (Intra), IHC-P and reacts with Human, Mouse, Rat samples.

View Alternative Names

FUT12, KIAA0180, POFUT1, GDP-fucose protein O-fucosyltransferase 1, Peptide-O-fucosyltransferase 1, O-FucT-1

9 Images
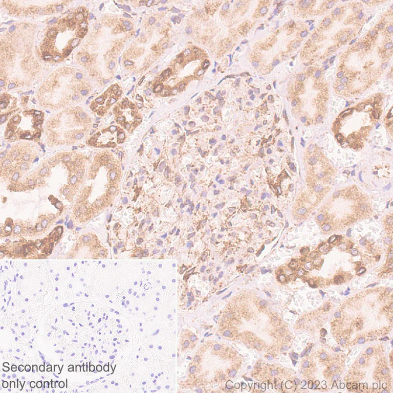
Immunohistochemistry (Formalin/PFA-fixed paraffin-embedded sections) - Anti-Pofut1 antibody [EPR26782-194] - BSA and Azide free (AB315972)
  • IHC-P

Supplier Data

Immunohistochemistry (Formalin/PFA-fixed paraffin-embedded sections) - Anti-Pofut1 antibody [EPR26782-194] - BSA and Azide free (AB315972)

This data was developed using ab315971, the same antibody clone in a different buffer formulation.

Immunohistochemical analysis of paraffin-embedded Human kidney tissue labeling Pofut1 with ab315971 at 1/1000 (0.514 ug/ml) dilution, followed by a ready to use Rabbit specific IHC polymer detection kit HRP/DAB (ab209101).

Positive staining on human kidney.
The section was incubated with ab315971 for 30 mins at room temperature.
The immunostaining was performed on a Leica Biosystems BOND® RX instrument.

Counterstained with Hematoxylin.

Secondary antibody only control : Secondary antibody is a ready to use Rabbit specific IHC polymer detection kit HRP/DAB (ab209101).

Heat mediated antigen retrieval was performed with Tris-EDTA buffer (pH 9.0, Epitope Retrieval Solution2) for 20 mins.

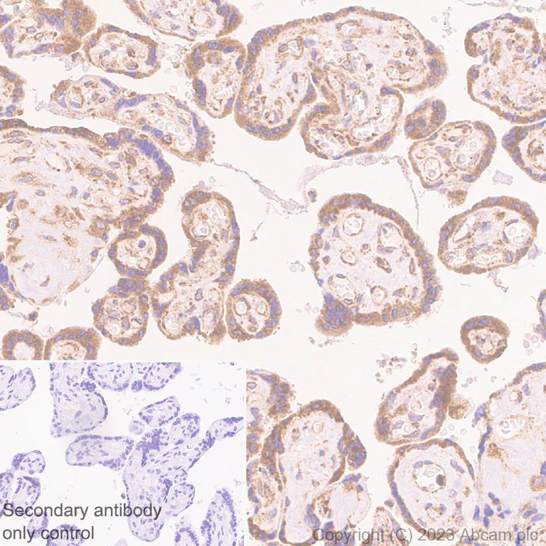
Immunohistochemistry (Formalin/PFA-fixed paraffin-embedded sections) - Anti-Pofut1 antibody [EPR26782-194] - BSA and Azide free (AB315972)
  • IHC-P

Supplier Data

Immunohistochemistry (Formalin/PFA-fixed paraffin-embedded sections) - Anti-Pofut1 antibody [EPR26782-194] - BSA and Azide free (AB315972)

This data was developed using ab315971, the same antibody clone in a different buffer formulation.

Immunohistochemical analysis of paraffin-embedded Human placenta tissue labeling Pofut1 with ab315971 at 1/1000 (0.514 ug/ml) dilution, followed by a ready to use Rabbit specific IHC polymer detection kit HRP/DAB (ab209101).

Positive staining on human placenta (PMID : 11524432; PMID : 25165882).
The section was incubated with ab315971 for 30 mins at room temperature.
The immunostaining was performed on a Leica Biosystems BOND® RX instrument.

Counterstained with Hematoxylin.

Secondary antibody only control : Secondary antibody is a ready to use Rabbit specific IHC polymer detection kit HRP/DAB (ab209101).

Heat mediated antigen retrieval was performed with Tris-EDTA buffer (pH 9.0, Epitope Retrieval Solution2) for 20 mins.

Flow Cytometry (Intracellular) - Anti-Pofut1 antibody [EPR26782-194] - BSA and Azide free (AB315972)
  • Flow Cyt (Intra)

Supplier Data

Flow Cytometry (Intracellular) - Anti-Pofut1 antibody [EPR26782-194] - BSA and Azide free (AB315972)

This data was developed using ab315971, the same antibody clone in a different buffer formulation.

Flow cytometric analysis of 4% paraformaldehyde fixed 90% methanol permeabilized HT-29 (human colorectal adenocarcinoma epithelial cell) cells labelling Pofut1 with ab315971 at 1/500 dilution (0.1 ug)/Red compared with a Rabbit monoclonal IgG (ab172730) (Black) isotype control and an unlabelled control (cells without incubation with primary antibody and secondary antibody) (Blue).

Goat Anti-Rabbit IgG (Alexa Fluor® 488, ab150081) at 1/5000 dilution was used as the secondary antibody.

Flow Cytometry (Intracellular) - Anti-Pofut1 antibody [EPR26782-194] - BSA and Azide free (AB315972)
  • Flow Cyt (Intra)

Supplier Data

Flow Cytometry (Intracellular) - Anti-Pofut1 antibody [EPR26782-194] - BSA and Azide free (AB315972)

This data was developed using ab315971, the same antibody clone in a different buffer formulation.

Flow cytometric analysis of 4% paraformaldehyde fixed 90% methanol permeabilized C2C12 (mouse myoblast) cells labelling Pofut1 with ab315971 at 1/50 dilution (1 ug)/Red compared with a Rabbit monoclonal IgG (ab172730) (Black) isotype control and an unlabelled control (cells without incubation with primary antibody and secondary antibody) (Blue).

Goat Anti-Rabbit IgG (Alexa Fluor® 488, ab150081) at 1/5000 dilution was used as the secondary antibody.

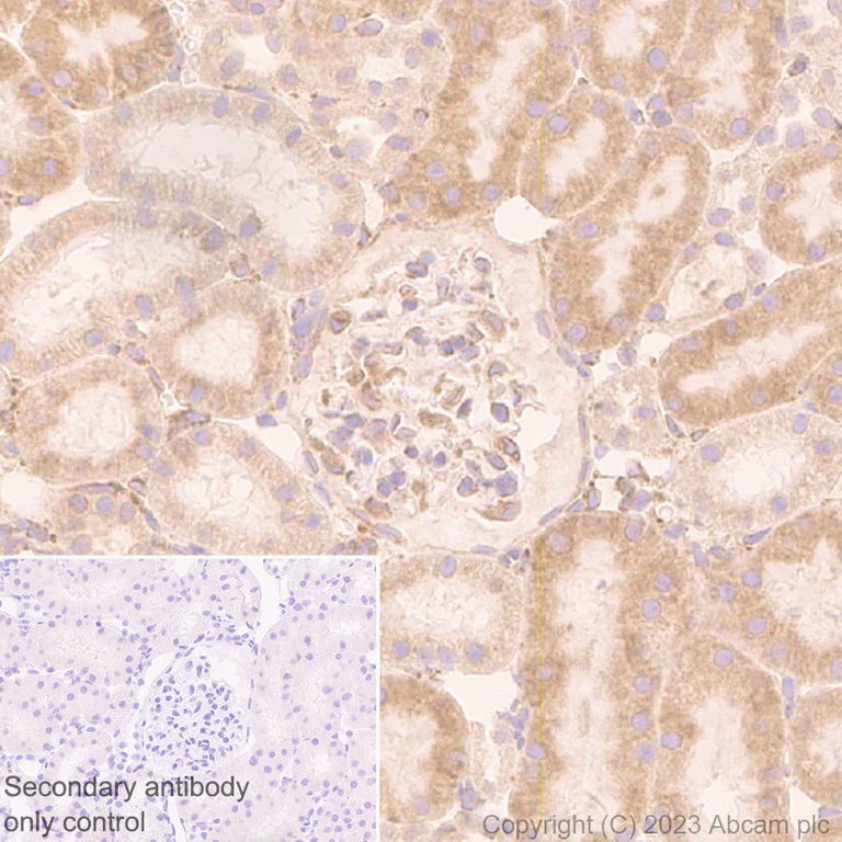
Immunohistochemistry (Formalin/PFA-fixed paraffin-embedded sections) - Anti-Pofut1 antibody [EPR26782-194] - BSA and Azide free (AB315972)
  • IHC-P

Supplier Data

Immunohistochemistry (Formalin/PFA-fixed paraffin-embedded sections) - Anti-Pofut1 antibody [EPR26782-194] - BSA and Azide free (AB315972)

This data was developed using ab315971, the same antibody clone in a different buffer formulation.

Immunohistochemical analysis of paraffin-embedded Mouse kidney tissue labeling Pofut1 with ab315971 at 1/1000 (0.514 ug/ml) dilution, followed by a ready to use Rabbit specific IHC polymer detection kit HRP/DAB (ab209101).

Positive staining on mouse kidney (PMID : 12697902).
The section was incubated with ab315971 for 30 mins at room temperature.
The immunostaining was performed on a Leica Biosystems BOND® RX instrument.

Counterstained with Hematoxylin.

Secondary antibody only control : Secondary antibody is a ready to use Rabbit specific IHC polymer detection kit HRP/DAB (ab209101).

Heat mediated antigen retrieval was performed with Tris-EDTA buffer (pH 9.0, Epitope Retrieval Solution2) for 20 mins.

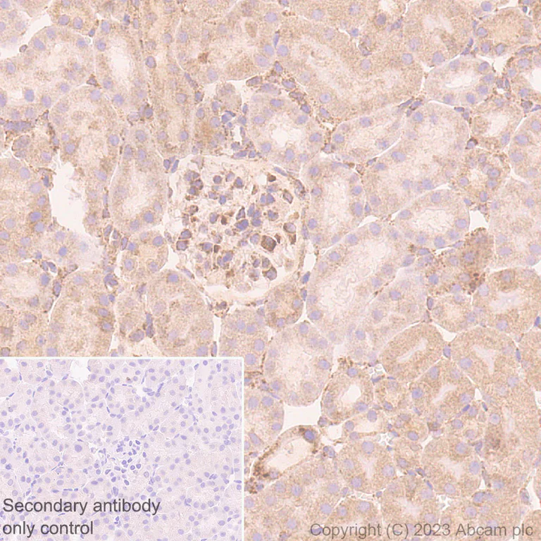
Immunohistochemistry (Formalin/PFA-fixed paraffin-embedded sections) - Anti-Pofut1 antibody [EPR26782-194] - BSA and Azide free (AB315972)
  • IHC-P

Supplier Data

Immunohistochemistry (Formalin/PFA-fixed paraffin-embedded sections) - Anti-Pofut1 antibody [EPR26782-194] - BSA and Azide free (AB315972)

This data was developed using ab315971, the same antibody clone in a different buffer formulation.

Immunohistochemical analysis of paraffin-embedded Rat kidney tissue labeling Pofut1 with ab315971 at 1/1000 (0.514 ug/ml) dilution, followed by a ready to use Rabbit specific IHC polymer detection kit HRP/DAB (ab209101).

Positive staining on rat kidney.
The section was incubated with ab315971 for 30 mins at room temperature.
The immunostaining was performed on a Leica Biosystems BOND® RX instrument.

Counterstained with Hematoxylin.

Secondary antibody only control : Secondary antibody is a ready to use Rabbit specific IHC polymer detection kit HRP/DAB (ab209101).

Heat mediated antigen retrieval was performed with Tris-EDTA buffer (pH 9.0, Epitope Retrieval Solution2) for 20 mins.

Western blot - Anti-Pofut1 antibody [EPR26782-194] - BSA and Azide free (AB315972)
  • WB

Supplier Data

Western blot - Anti-Pofut1 antibody [EPR26782-194] - BSA and Azide free (AB315972)

This data was developed using ab315971, the same antibody clone in a different buffer formulation.

All lanes:

Western blot - Anti-Pofut1 antibody [EPR26782-194] (<a href='/en-us/products/primary-antibodies/pofut1-antibody-epr26782-194-ab315971'>ab315971</a>) at 1/1000 dilution

Lane 1:

HT-29 (human colorectal adenocarcinoma epithelial cell) whole cell lysate at 20 µg with 5% NFDM/TBST

Lane 2:

MOLT-4 (human lymphoblastic leukemia T lymphoblast) whole cell lysate at 20 µg with 5% NFDM/TBST

Lane 3:

THP-1 (human monocytic leukemia monocyte) whole cell lysate at 20 µg with 5% NFDM/TBST

Lane 4:

C2C12 (mouse myoblast) whole cell lysate at 20 µg with 5% NFDM/TBST

Lane 5:

bEnd.3 (mouse brain endothelial cell) whole cell lysate at 20 µg with 5% NFDM/TBST

Lane 6:

PC-12 (rat adrenal gland pheochromocytoma cell) whole cell lysate at 20 µg with 5% NFDM/TBST

Lane 7:

C6 (rat glial tumor glial cell) whole cell lysate at 20 µg with 5% NFDM/TBST

Secondary

All lanes:

Western blot - Goat Anti-Rabbit IgG H&L (HRP) (<a href='/en-us/products/secondary-antibodies/goat-rabbit-igg-h-l-hrp-ab97051'>ab97051</a>) at 1/20000 dilution

Observed band size: 44 kDa

false

Exposure time: 26s

Western blot - Anti-Pofut1 antibody [EPR26782-194] - BSA and Azide free (AB315972)
  • WB

Supplier Data

Western blot - Anti-Pofut1 antibody [EPR26782-194] - BSA and Azide free (AB315972)

This data was developed using ab315971, the same antibody clone in a different buffer formulation.

Blocking and diluting buffer and concentration : 5% NFDM/TBST.

The identity of the lower MW band at approximately 75kDa in Lane 3 is unknown.

All lanes:

Western blot - Anti-Pofut1 antibody [EPR26782-194] (<a href='/en-us/products/primary-antibodies/pofut1-antibody-epr26782-194-ab315971'>ab315971</a>) at 1/1000 dilution

Lane 1:

Human liver tissue lysate at 20 µg

Lane 2:

Mouse liver tissue lysate at 20 µg

Lane 3:

Rat kidney tissue lysate at 20 µg

Secondary

All lanes:

Western blot - Goat Anti-Rabbit IgG H&L (HRP) (<a href='/en-us/products/secondary-antibodies/goat-rabbit-igg-h-l-hrp-ab97051'>ab97051</a>) at 1/20000 dilution

Observed band size: 44 kDa

false

Exposure time: 180s

Western blot - Anti-Pofut1 antibody [EPR26782-194] - BSA and Azide free (AB315972)
  • WB

Supplier Data

Western blot - Anti-Pofut1 antibody [EPR26782-194] - BSA and Azide free (AB315972)

This data was developed using ab315971, the same antibody clone in a different buffer formulation.

Blocking and diluting buffer and concentration : 5% NFDM/TBST.

In Western blot, Anti-Vinculin antibody [EPR8185] (ab129002) staining at 1/10000 dilution.

All lanes:

Western blot - Anti-Pofut1 antibody [EPR26782-194] (<a href='/en-us/products/primary-antibodies/pofut1-antibody-epr26782-194-ab315971'>ab315971</a>) at 1/1000 dilution

Lane 1:

HCT 116 (human colorectal carcinoma epithelial cell) transfected with scrambled siRNA control whole cell lysate at 20 µg

Lane 2:

HCT 116 transfected with siRNA specifically targeting Pofut1 whole cell lysate at 20 µg

Secondary

All lanes:

Western blot - Goat Anti-Rabbit IgG H&L (HRP) (<a href='/en-us/products/secondary-antibodies/goat-rabbit-igg-h-l-hrp-ab97051'>ab97051</a>) at 1/20000 dilution

Observed band size: 44 kDa,124 kDa

false

Exposure time: 26s

Key facts

Host species

Rabbit

Clonality

Monoclonal

Clone number

EPR26782-194

Isotype

IgG

Carrier free

Yes

Reacts with

Human, Mouse, Rat

Applications

WB, IHC-P, Flow Cyt (Intra)

applications

Immunogen

The exact immunogen used to generate this antibody is proprietary information.

Reactivity data

{ "title": "Reactivity Data", "filters": { "stats": ["", "Species", "Dilution Info", "Notes"], "tabs": { "all-applications": {"fullname" : "All Applications", "shortname": "All Applications"}, "WB" : {"fullname" : "Western blot", "shortname":"WB"}, "FlowCytIntra" : {"fullname" : "Flow Cytometry (Intracellular)", "shortname":"Flow Cyt (Intra)"}, "IHCP" : {"fullname" : "Immunohistochemistry (Formalin/PFA-fixed paraffin-embedded sections)", "shortname":"IHC-P"}, "IP" : {"fullname" : "Immunoprecipitation", "shortname":"IP"}, "ICCIF" : {"fullname" : "Immunocytochemistry/ Immunofluorescence", "shortname":"ICC/IF"} }, "product-promise": { "all": "all", "testedAndGuaranteed": "tested", "guaranteed": "expected", "predicted": "predicted", "notRecommended": "not-recommended" } }, "values": { "Human": { "WB-species-checked": "testedAndGuaranteed", "WB-species-dilution-info": "", "WB-species-notes": "<p></p>", "FlowCytIntra-species-checked": "testedAndGuaranteed", "FlowCytIntra-species-dilution-info": "", "FlowCytIntra-species-notes": "<p></p>", "IHCP-species-checked": "testedAndGuaranteed", "IHCP-species-dilution-info": "", "IHCP-species-notes": "<p></p> Perform heat-mediated antigen retrieval with Tris/EDTA buffer pH 9.0 before commencing with IHC staining protocol.", "IP-species-checked": "notRecommended", "IP-species-dilution-info": "", "IP-species-notes": "<p></p>", "ICCIF-species-checked": "notRecommended", "ICCIF-species-dilution-info": "", "ICCIF-species-notes": "<p></p>" }, "Mouse": { "WB-species-checked": "testedAndGuaranteed", "WB-species-dilution-info": "", "WB-species-notes": "<p></p>", "FlowCytIntra-species-checked": "testedAndGuaranteed", "FlowCytIntra-species-dilution-info": "", "FlowCytIntra-species-notes": "<p></p>", "IHCP-species-checked": "testedAndGuaranteed", "IHCP-species-dilution-info": "", "IHCP-species-notes": "<p></p> Perform heat-mediated antigen retrieval with Tris/EDTA buffer pH 9.0 before commencing with IHC staining protocol.", "IP-species-checked": "notRecommended", "IP-species-dilution-info": "", "IP-species-notes": "", "ICCIF-species-checked": "notRecommended", "ICCIF-species-dilution-info": "", "ICCIF-species-notes": "<p></p>" }, "Rat": { "WB-species-checked": "testedAndGuaranteed", "WB-species-dilution-info": "", "WB-species-notes": "<p></p>", "FlowCytIntra-species-checked": "guaranteed", "FlowCytIntra-species-dilution-info": "", "FlowCytIntra-species-notes": "", "IHCP-species-checked": "testedAndGuaranteed", "IHCP-species-dilution-info": "", "IHCP-species-notes": "<p></p> Perform heat-mediated antigen retrieval with Tris/EDTA buffer pH 9.0 before commencing with IHC staining protocol.", "IP-species-checked": "notRecommended", "IP-species-dilution-info": "", "IP-species-notes": "", "ICCIF-species-checked": "notRecommended", "ICCIF-species-dilution-info": "", "ICCIF-species-notes": "" } } }

Product details

ab315972 is the carrier-free version of ab315971.

Patented technology
Our RabMAb® technology is a patented hybridoma-based technology for making rabbit monoclonal antibodies. For details on our patents, please refer to RabMAb® patents.

What are the advantages of a recombinant monoclonal antibody?
This product is a recombinant monoclonal antibody, which offers several advantages including:

  • - High batch-to-batch consistency and reproducibility
  • - Improved sensitivity and specificity
  • - Long-term security of supply
  • - Animal-free batch production

For more information, read more on recombinant antibodies.

Conjugation ready
Our carrier-free antibodies are typically supplied in a PBS-only formulation, purified and free of BSA, sodium azide and glycerol. This conjugation-ready format is designed for use with fluorochromes, metal isotopes, oligonucleotides, and enzymes, which makes them ideal for antibody labelling, functional and cell-based assays, flow-based assays (e.g. mass cytometry) and Multiplex Imaging applications.

Use our conjugation kits for antibody conjugates that are ready-to-use in as little as 20 minutes with 1 minute hands-on-time and 100% antibody recovery: available for fluorescent dyes, HRP, biotin and gold.

Compatibility
This product is compatible with the Maxpar® Antibody Labeling Kit from Fluidigm, without the need for antibody preparation. Maxpar® is a trademark of Fluidigm Canada Inc.

Properties and storage information

Form
Liquid
Purification technique
Affinity purification Protein A
Storage buffer
pH: 7.2 - 7.4 Constituents: 100% PBS
Shipped at conditions
Blue Ice
Appropriate short-term storage conditions
+4°C
Appropriate long-term storage conditions
+4°C

Supplementary information

This supplementary information is collated from multiple sources and compiled automatically.

The protein known as Pofut1 or protein O-fucosyltransferase 1 functions mechanically by adding fucose a sugar molecule to serine or threonine residues on proteins specifically within the epidermal growth factor-like (EGF-like) repeats of substrates. Pofut1 has a molecular weight of approximately 50 kDa. This protein is expressed in various tissues including heart liver and brain indicating its significant role across different biological systems. Researchers commonly refer to Pofut1 in studies focused on protein glycosylation processes.
Biological function summary

Pofut1 is responsible for the proper folding and functioning of specific proteins that undergo fucosylation. It does not technically form part of a multi-protein complex but interacts tightly with substrates it modifies. Through its enzymatic action Pofut1 influences essential biological activities in cell communication and signaling. This glycosyltransferase also plays a pivotal role in modulating Notch signaling a critical pathway in the development and tissue regeneration processes.

Pathways

The significance of Pofut1 is most notable within the Notch signaling pathway where it modifies the Notch receptor enabling effective ligand-receptor interactions. Dysregulation of this pathway can lead to critical developmental defects. Pofut1 also connects to other pathways such as the Fringe-mediated glycosylation pathway. In this context Pofut1-related proteins like Fringe glycosyltransferases operate to further influence Notch signaling outcomes through additional glycosylation processing.

The functionality of Pofut1 has links to specific syndromes and malignancies. For instance aberrations in its activity are associated with congenital heart defects due to disrupted Notch signaling affecting cardiac development. Additionally overexpression or mutations in Pofut1 relate to cancer as improper Notch signaling can lead to tumor progression. Relatedly proteins like Notch1 serve as intermediaries linking Pofut1 activity to such conditions thereby highlighting Pofut1's involvement in disease etiologies.

Product protocols

For this product, it's our understanding that no specific protocols are required. You can visit:

Target data

Catalyzes the reaction that attaches fucose through an O-glycosidic linkage to a conserved serine or threonine residue found in the consensus sequence C2-X(4,5)-[S/T]-C3 of EGF domains, where C2 and C3 are the second and third conserved cysteines. Specifically uses GDP-fucose as donor substrate and proper disulfide pairing of the substrate EGF domains is required for fucose transfer. Plays a crucial role in NOTCH signaling. Initial fucosylation of NOTCH by POFUT1 generates a substrate for FRINGE/RFNG, an acetylglucosaminyltransferase that can then extend the fucosylation on the NOTCH EGF repeats. This extended fucosylation is required for optimal ligand binding and canonical NOTCH signaling induced by DLL1 or JAGGED1. Fucosylates AGRN and determines its ability to cluster acetylcholine receptors (AChRs).
See full target information POFUT1

Product promise

We are committed to supporting your work with high-quality reagents, and we're here for you every step of the way. In the unlikely event that one of our products does not perform as expected, you're protected by our Product Promise.
For full details, please see our Terms & Conditions

Associated Products

Select an associated product type
Alternative Version
Primary Antibodies

AB315971

Anti-Pofut1 antibody [EPR26782-194]

primary-antibodies

pofut1-antibody-epr26782-194-ab315971

0

(0 reviews)

Please note: All products are 'FOR RESEARCH USE ONLY. NOT FOR USE IN DIAGNOSTIC OR THERAPEUTIC PROCEDURES'.

For licensing inquiries, please contact partnerships@abcam.com