JavaScript is disabled in your browser. Please enable JavaScript to view this website.
AB186407

Anti-POLD1 antibody [EPR15118]

Be the first to review this product! Submit a review

|

(21 Publications)

Anti-POLD1 antibody [EPR15118] (ab186407) is a rabbit monoclonal antibody detecting POLD1 in Western Blot, Flow Cytometry (Intra), IHC-P, ICC/IF. Suitable for Human, Mouse, Rat.

- Biophysical QC for unrivalled batch-batch consistency
- Over 10 publications

View Alternative Names

POLD, POLD1, DNA polymerase delta catalytic subunit, 3'-5' exodeoxyribonuclease, DNA polymerase subunit delta p125

8 Images
Flow Cytometry (Intracellular) - Anti-POLD1 antibody [EPR15118] (AB186407)
  • Flow Cyt (Intra)

Lab

Flow Cytometry (Intracellular) - Anti-POLD1 antibody [EPR15118] (AB186407)

Intracellular Flow Cytometry analysis of HeLa (human cervix adenocarcinoma) cells labelling POLD1, catalytic subunit (red) with purified ab186407 at a dilution of 1/250. The secondary antibody used was Alexa Fluor® 488 goat-anti-rabbit IgG (1/2000). Cells were fixed with 4% paraformaldehyde and permeabilised with 90% methanol. Isotype control antibody was rabbit monoclonal IgG (black). The blue line shows cells without incubation with primary and secondary antibody.

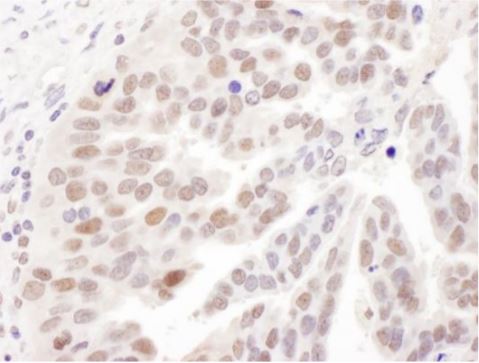
Immunohistochemistry (Formalin/PFA-fixed paraffin-embedded sections) - Anti-POLD1 antibody [EPR15118] (AB186407)
  • IHC-P

Supplier Data

Immunohistochemistry (Formalin/PFA-fixed paraffin-embedded sections) - Anti-POLD1 antibody [EPR15118] (AB186407)

Immunohistochemical analysis of paraffin-embedded Human cervix carcinoma tissue labeling POLD1, catalytic subunit with ab186407 at 1/100 dilution followed by prediluted HRP Polymer for Rabbit IgG. Counter stained with Hematoxylin.

Perform heat mediated antigen retrieval with EDTA buffer pH 9 before commencing with IHC staining protocol.

Immunocytochemistry/ Immunofluorescence - Anti-POLD1 antibody [EPR15118] (AB186407)
  • ICC/IF

Lab

Immunocytochemistry/ Immunofluorescence - Anti-POLD1 antibody [EPR15118] (AB186407)

ab186407 staining POLD1, catalytic subunit in HeLa (human cervix adenocarcinoma) cells by ICC/IF (Immunocytochemistry/immunofluorescence). Cells were fixed with 4% Paraformaldehyde and permeabilized with 0.1% Triton X-100. Samples were incubated with primary antibody at a dilution of 1/500. A goat anti rabbit IgG (Alexa Fluor® 488) (ab150077) was used as the secondary antibody at a dilution of 1/1000. DAPI was used as a nuclear counterstain.

Control : PBS only

Immunocytochemistry/ Immunofluorescence - Anti-POLD1 antibody [EPR15118] (AB186407)
  • ICC/IF

Supplier Data

Immunocytochemistry/ Immunofluorescence - Anti-POLD1 antibody [EPR15118] (AB186407)

Immunofluorescent analysis of 4% paraformaldehyde-fixed HeLa cells labeling POLD1, catalytic subunit with ab186407 at 1/250 dilution followed by Goat anti rabbit IgG (Alexa Fluor® 555) secondary antibody at 1/200 dilution. Counter stained with Dapi (blue).

Immunocytochemistry/ Immunofluorescence - Anti-POLD1 antibody [EPR15118] (AB186407)
  • ICC/IF

Supplier Data

Immunocytochemistry/ Immunofluorescence - Anti-POLD1 antibody [EPR15118] (AB186407)

Immunofluorescent analysis of acetone-fixed K562 cells labeling POLD1, catalytic subunit with ab186407 at 1/250 dilution, followed by Goat anti rabbit IgG (Alexa Fluor® 555) secondary antibody at 1/200 dilution. Counter stained with Dapi (blue).

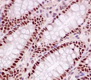
Immunohistochemistry (Formalin/PFA-fixed paraffin-embedded sections) - Anti-POLD1 antibody [EPR15118] (AB186407)
  • IHC-P

Supplier Data

Immunohistochemistry (Formalin/PFA-fixed paraffin-embedded sections) - Anti-POLD1 antibody [EPR15118] (AB186407)

Immunohistochemical analysis of paraffin-embedded Human colon tissue labeling POLD1, catalytic subunit with ab186407 at 1/100 dilution, followed by prediluted HRP Polymer for Rabbit IgG. Counter stained with Hematoxylin.

Perform heat mediated antigen retrieval with EDTA buffer pH 9 before commencing with IHC staining protocol.

Western blot - Anti-POLD1 antibody [EPR15118] (AB186407)
  • WB

Supplier Data

Western blot - Anti-POLD1 antibody [EPR15118] (AB186407)

All lanes:

Western blot - Anti-POLD1 antibody [EPR15118] (ab186407) at 1/10000 dilution

Lane 1:

MOLT4 cell lysate at 20 µg

Lane 2:

HeLa cell lysate at 20 µg

Lane 3:

Jurkat cell lysate at 20 µg

Lane 4:

K562 cell lysate at 20 µg

Secondary

All lanes:

Goat anti-rabbit IgG, (H+L), peroxidase conjugate at 1/1000 dilution

Predicted band size: 124 kDa

Observed band size: 124 kDa

false

Western blot - Anti-POLD1 antibody [EPR15118] (AB186407)
  • WB

Supplier Data

Western blot - Anti-POLD1 antibody [EPR15118] (AB186407)

All lanes:

Western blot - Anti-POLD1 antibody [EPR15118] (ab186407) at 1/1000 dilution

Lane 1:

C6 cell lysate at 10 µg

Lane 2:

Raw264.7 cell lysate at 10 µg

Lane 3:

PC12 cell lysate at 10 µg

Secondary

All lanes:

Goat anti-rabbit IgG, (H+L), peroxidase conjugate at 1/1000 dilution

Predicted band size: 124 kDa

Observed band size: 124 kDa

false

  • Carrier free

    Anti-POLD1 antibody [EPR15118] - BSA and Azide free

  • 578 PE

    PE Anti-DNA Polymerase delta, catalytic subunit antibody [EPR15118]

  • 660 APC

    APC Anti-DNA Polymerase delta, catalytic subunit antibody [EPR15118]

  • 617 Alexa Fluor® 594

    Alexa Fluor® 594 Anti-DNA Polymerase delta, catalytic subunit antibody [EPR15118]

  • 519 Alexa Fluor® 488

    Alexa Fluor® 488 Anti-DNA Polymerase delta, catalytic subunit antibody [EPR15118]

  • 665 Alexa Fluor® 647

    Alexa Fluor® 647 Anti-DNA Polymerase delta, catalytic subunit antibody [EPR15118]

  • 603 Alexa Fluor® 568

    Alexa Fluor® 568 Anti-POLD1 antibody [EPR15118]

  • 565 Alexa Fluor® 555

    Alexa Fluor® 555 Anti-DNA Polymerase delta, catalytic subunit antibody [EPR15118]

  • HRP

    HRP Anti-DNA Polymerase delta, catalytic subunit antibody [EPR15118]

  • 775 Alexa Fluor® 750

    Alexa Fluor® 750 Anti-POLD1 antibody [EPR15118]

Key facts

Host species

Rabbit

Clonality

Monoclonal

Clone number

EPR15118

Isotype

IgG

Carrier free

No

Reacts with

Mouse, Rat, Human

Applications

ICC/IF, WB, IHC-P, Flow Cyt (Intra)

applications

Immunogen

The exact immunogen used to generate this antibody is proprietary information.

Reactivity data

{ "title": "Reactivity Data", "filters": { "stats": ["", "Species", "Dilution Info", "Notes"], "tabs": { "all-applications": {"fullname" : "All Applications", "shortname": "All Applications"}, "WB" : {"fullname" : "Western blot", "shortname":"WB"}, "ICCIF" : {"fullname" : "Immunocytochemistry/ Immunofluorescence", "shortname":"ICC/IF"}, "FlowCytIntra" : {"fullname" : "Flow Cytometry (Intracellular)", "shortname":"Flow Cyt (Intra)"}, "IHCP" : {"fullname" : "Immunohistochemistry (Formalin/PFA-fixed paraffin-embedded sections)", "shortname":"IHC-P"} }, "product-promise": { "all": "all", "testedAndGuaranteed": "tested", "guaranteed": "expected", "predicted": "predicted", "notRecommended": "not-recommended" } }, "values": { "Human": { "WB-species-checked": "testedAndGuaranteed", "WB-species-dilution-info": "1/1000 - 1/10000", "WB-species-notes": "<p></p>", "ICCIF-species-checked": "testedAndGuaranteed", "ICCIF-species-dilution-info": "1/250", "ICCIF-species-notes": "<p></p>", "FlowCytIntra-species-checked": "testedAndGuaranteed", "FlowCytIntra-species-dilution-info": "1/250", "FlowCytIntra-species-notes": "<p></p>", "IHCP-species-checked": "testedAndGuaranteed", "IHCP-species-dilution-info": "1/50 - 1/100", "IHCP-species-notes": "<p></p>" }, "Mouse": { "WB-species-checked": "testedAndGuaranteed", "WB-species-dilution-info": "1/1000 - 1/10000", "WB-species-notes": "<p></p>", "ICCIF-species-checked": "guaranteed", "ICCIF-species-dilution-info": "", "ICCIF-species-notes": "", "FlowCytIntra-species-checked": "guaranteed", "FlowCytIntra-species-dilution-info": "", "FlowCytIntra-species-notes": "", "IHCP-species-checked": "guaranteed", "IHCP-species-dilution-info": "", "IHCP-species-notes": "" }, "Rat": { "WB-species-checked": "testedAndGuaranteed", "WB-species-dilution-info": "1/1000 - 1/10000", "WB-species-notes": "<p></p>", "ICCIF-species-checked": "guaranteed", "ICCIF-species-dilution-info": "", "ICCIF-species-notes": "", "FlowCytIntra-species-checked": "guaranteed", "FlowCytIntra-species-dilution-info": "", "FlowCytIntra-species-notes": "", "IHCP-species-checked": "guaranteed", "IHCP-species-dilution-info": "", "IHCP-species-notes": "" } } }

Product details

What is this antibody validated in?
Anti-POLD1 antibody [EPR15118] (ab186407) is a rabbit recombinant monoclonal antibody and is validated for use in Western Blot (WB), Flow Cytometry (Intra), Flow Cytometry (Flow Cyt), Immunohistochemistry (IHC-P), Immunocytochemistry/immunofluorescence (ICC/IF) in Human, Mouse, Rat samples.

What is the molecular weight of POLD1?
Anti-POLD1 [EPR15118] (ab186407) specifically detects a band for POLD1 (UniProt: P28340) at a molecular weight of 124kDa.

Trusted by the scientific community
Anti-POLD1 [EPR15118] (ab186407) was first used in a scientific publication in 2014 and has been cited over 10 times in peer-reviewed journals.

Trial sizes available!
Test your antibody or perform pre-screening before committing to a larger quantity. Sold in 10µl. Discover our selection of trial-size antibodies.

Other related products
We have a range of other formats of antibody clone [EPR15118] also available for your convenience: ab186407, Carrier free - ab240300, PE - ab306081, APC - ab306082, HRP - ab306083, Alkaline Phosphatase - ab308862, Alexa Fluor® 488 - ab309788, Alexa Fluor® 647 - ab310157, Alexa Fluor® 594 - ab310588, Alexa Fluor® 555 - ab312118, Alexa Fluor® 568 - ab312602, Alexa Fluor® 750 - ab321298

Patented technology
Our RabMAb® technology is a patented hybridoma-based technology for making rabbit monoclonal antibodies. For details on our patents, please refer to RabMAb® patents.

What are the advantages of a recombinant monoclonal antibody?
This product is a recombinant monoclonal antibody, which offers several advantages including:

  • - High batch-to-batch consistency and reproducibility
  • - Improved sensitivity and specificity
  • - Long-term security of supply
  • - Animal-free batch production

For more information, read more on recombinant antibodies.

Properties and storage information

Form
Liquid
Purification technique
Affinity purification Protein A
Storage buffer
pH: 7.2 - 7.4 Preservative: 0.01% Sodium azide Constituents: PBS, 40% Glycerol (glycerin, glycerine), 0.05% BSA
Shipped at conditions
Blue Ice
Appropriate short-term storage duration
1-2 weeks
Appropriate short-term storage conditions
+4°C
Appropriate long-term storage conditions
-20°C
Aliquoting information
Upon delivery aliquot
Storage information
Avoid freeze / thaw cycle

Supplementary information

This supplementary information is collated from multiple sources and compiled automatically.

POLD1 also known as DNA polymerase delta is a catalytic subunit of the DNA polymerase delta complex with alternative names such as delta 647 delta 555 delta 488 delta APC delta ALP and ADN-594. Its mass is approximately 124 kDa. POLD1 is expressed in various tissues but shows high expression in proliferating cells. The primary role is to facilitate the high-fidelity DNA replication process by synthesizing the lagging strand during DNA replication and repair. Its enzymatic activity involves adding nucleotides to a primer strand of DNA and executing proofreading functions to ensure replication accuracy.
Biological function summary

POLD1 is integral to the replication machinery where it functions as part of the multi-subunit DNA polymerase delta complex. This complex plays a pivotal role in promoting genome stability by participating in DNA synthesis proofreading and repair processes. The complex provides both polymerase and exonuclease activity ensuring accuracy during DNA replication. Besides POLD1 interacts with PCNA (proliferating cell nuclear antigen) to enhance its enzymatic efficiency during DNA synthesis.

Pathways

POLD1 is involved in the DNA replication and repair pathways. Its interaction with replication protein A (RPA) and PCNA facilitates the smooth completion of Okazaki fragment processing within the DNA replication pathway. Additionally POLD1 plays a role in the base excision repair pathway working alongside other repair proteins such as FEN1 (flap endonuclease 1) and LIG1 (DNA ligase I) to correct DNA lesions. These interactions enforce fidelity and speed during genetic information transfer.

Mutations or dysregulation of POLD1 have links to various cancers and genomic instability disorders. Somatic mutations in POLD1 are associated with colorectal cancer where the impaired replication and repair capabilities lead to accumulated mutations. Another disorder related to defective POLD1 function is MDPL syndrome (mandibular hypoplasia deafness progeroid features and lipodystrophy) where the genomic instability contributes to the disease phenotype. Through these conditions POLD1 interacts with tumor suppressors and regulatory proteins involved in DNA damage response highlighting its significance in maintaining genomic integrity and preventing disease.

Product protocols

For this product, it's our understanding that no specific protocols are required. You can visit:

Target data

As the catalytic component of the trimeric (Pol-delta3 complex) and tetrameric DNA polymerase delta complexes (Pol-delta4 complex), plays a crucial role in high fidelity genome replication, including in lagging strand synthesis, and repair (PubMed : 16510448, PubMed : 19074196, PubMed : 20334433, PubMed : 24022480, PubMed : 24035200, PubMed : 31449058). Exhibits both DNA polymerase and 3'- to 5'-exonuclease activities (PubMed : 16510448, PubMed : 19074196, PubMed : 20334433, PubMed : 24022480, PubMed : 24035200). Requires the presence of accessory proteins POLD2, POLD3 and POLD4 for full activity. Depending upon the absence (Pol-delta3) or the presence of POLD4 (Pol-delta4), displays differences in catalytic activity. Most notably, expresses higher proofreading activity in the context of Pol-delta3 compared with that of Pol-delta4 (PubMed : 19074196, PubMed : 20334433). Although both Pol-delta3 and Pol-delta4 process Okazaki fragments in vitro, Pol-delta3 may be better suited to fulfill this task, exhibiting near-absence of strand displacement activity compared to Pol-delta4 and stalling on encounter with the 5'-blocking oligonucleotides. Pol-delta3 idling process may avoid the formation of a gap, while maintaining a nick that can be readily ligated (PubMed : 24035200). Along with DNA polymerase kappa, DNA polymerase delta carries out approximately half of nucleotide excision repair (NER) synthesis following UV irradiation (PubMed : 20227374). Under conditions of DNA replication stress, in the presence of POLD3 and POLD4, may catalyze the repair of broken replication forks through break-induced replication (BIR) (PubMed : 24310611). Involved in the translesion synthesis (TLS) of templates carrying O6-methylguanine, 8oxoG or abasic sites (PubMed : 19074196, PubMed : 24191025).
See full target information POLD1

Publications (21)

Recent publications for all applications. Explore the full list and refine your search

Gut microbes 17:2463581 PubMed39924917

2025

infection induces DNA double-strand breaks through the ACVR1/IRF3/POLD1 signaling axis to drive gastric tumorigenesis.

Applications

Unspecified application

Species

Unspecified reactive species

Xinbo Xu,Xiao Fei,Huan Wang,Xidong Wu,Yuan Zhan,Xin Li,Yan'an Zhou,Chunxi Shu,Cong He,Yi Hu,Jianping Liu,Nonghua Lv,Nianshuang Li,Yin Zhu

Experimental & molecular medicine 57:420-435 PubMed39910288

2025

Targeting the splicing factor SNRPB inhibits endometrial cancer progression by retaining the POLD1 intron.

Applications

Unspecified application

Species

Unspecified reactive species

Yingwei Li,Zhongshao Chen,Huimin Xiao,Yanling Liu,Chen Zhao,Ning Yang,Cunzhong Yuan,Shi Yan,Peng Li

Cellular & molecular biology letters 29:113 PubMed39198750

2024

Triptolide-induced cuproptosis is a novel antitumor strategy for the treatment of cervical cancer.

Applications

Unspecified application

Species

Unspecified reactive species

Yanxia Xiao,Jiameng Yin,Pu Liu,Xin Zhang,Yajun Lin,Jun Guo

Molecular human reproduction 30: PubMed38991843

2024

The timing of pronuclear transfer critically affects the developmental competence and quality of embryos.

Applications

Unspecified application

Species

Unspecified reactive species

Tereza Znachorova,Nataliia Dudko,Hao Ming,Zongliang Jiang,Helena Fulka

Nature communications 15:4244 PubMed38762605

2024

Mitochondrial respiratory function is preserved under cysteine starvation via glutathione catabolism in NSCLC.

Applications

Unspecified application

Species

Unspecified reactive species

Nathan P Ward,Sang Jun Yoon,Tyce Flynn,Amanda M Sherwood,Maddison A Olley,Juliana Madej,Gina M DeNicola

Cancer genomics & proteomics 21:158-165 PubMed38423601

2024

POLD1 Is Required for Cell Cycle Progression by Overcoming DNA Damage in Malignant Pleural Mesothelioma.

Applications

Unspecified application

Species

Unspecified reactive species

Daiki Shimizu,Miku Ishibashi,Tadaaki Yamada,Yuki Toda,Shigekuni Hosogi,Eishi Ashihara

The Journal of biological chemistry 299:105046 PubMed37453661

2023

FDX1 regulates cellular protein lipoylation through direct binding to LIAS.

Applications

Unspecified application

Species

Unspecified reactive species

Margaret B Dreishpoon,Nolan R Bick,Boryana Petrova,Douglas M Warui,Alison Cameron,Squire J Booker,Naama Kanarek,Todd R Golub,Peter Tsvetkov

Cell reports 42:112062 PubMed36729836

2023

GEN1 promotes common fragile site expression.

Applications

Unspecified application

Species

Unspecified reactive species

Anaid Benitez,Marie Sebald,Radhakrishnan Kanagaraj,Monica C Rodrigo-Brenni,Ying Wai Chan,Chih-Chao Liang,Stephen C West

Frontiers in molecular biosciences 10:1119900 PubMed36756361

2023

Unraveling the impact of a germline heterozygous frameshift variant in serrated polyposis syndrome.

Applications

Unspecified application

Species

Unspecified reactive species

Laia Bonjoch,Yasmin Soares de Lima,Marcos Díaz-Gay,Isabella Dotti,Jenifer Muñoz,Leticia Moreira,Sabela Carballal,Teresa Ocaña,Miriam Cuatrecasas,Oswaldo Ortiz,Antoni Castells,Maria Pellisé,Francesc Balaguer,Azucena Salas,Ludmil B Alexandrov,Sergi Castellví-Bel

Nature communications 13:6090 PubMed36241664

2022

Solving the MCM paradox by visualizing the scaffold of CMG helicase at active replisomes.

Applications

Unspecified application

Species

Unspecified reactive species

Hana Polasek-Sedlackova,Thomas C R Miller,Jana Krejci,Maj-Britt Rask,Jiri Lukas
View all publications

Product promise

We are committed to supporting your work with high-quality reagents, and we're here for you every step of the way. In the unlikely event that one of our products does not perform as expected, you're protected by our Product Promise.
For full details, please see our Terms & Conditions

Please note: All products are 'FOR RESEARCH USE ONLY. NOT FOR USE IN DIAGNOSTIC OR THERAPEUTIC PROCEDURES'.

For licensing inquiries, please contact partnerships@abcam.com