JavaScript is disabled in your browser. Please enable JavaScript to view this website.
AB318968

Anti-POLE antibody [EPR28639-64]

  • 20ul selling size
  • Recombinant
  • RabMAb
  • KO Validated
  • What is this?

Be the first to review this product! Submit a review

|

(0 Publication)

Knockout Tested Rabbit Recombinant Monoclonal POLE antibody. Suitable for WB, IP, ICC/IF, Flow Cyt (Intra) and reacts with Human, Mouse, Rat samples.

View Alternative Names

POLE1, POLE, DNA polymerase epsilon catalytic subunit A, 3'-5' exodeoxyribonuclease, DNA polymerase II subunit A

8 Images
Flow Cytometry (Intracellular) - Anti-POLE antibody [EPR28639-64] (AB318968)
  • Flow Cyt (Intra)

Supplier Data

Flow Cytometry (Intracellular) - Anti-POLE antibody [EPR28639-64] (AB318968)

Flow cytometric analysis of 4% paraformaldehyde fixed 90% methanol permeabilized K-562 (human chronic myelogenous leukemia lymphoblast) cells labelling POLE with ab318968 at 1/50 dilution (1 ug)/Magenta compared with a Rabbit monoclonal IgG (ab172730) (Black) isotype control and an unlabelled control (cells without incubation with primary antibody and secondary antibody) (Blue).

Goat Anti-Rabbit IgG (Alexa Fluor® 488, ab150081) at 1/5000 dilution was used as the secondary antibody.

Flow Cytometry (Intracellular) - Anti-POLE antibody [EPR28639-64] (AB318968)
  • Flow Cyt (Intra)

Supplier Data

Flow Cytometry (Intracellular) - Anti-POLE antibody [EPR28639-64] (AB318968)

Flow cytometric analysis of 4% paraformaldehyde fixed 90% methanol permeabilized Parental HAP1(human chronic myelogenous leukemia near-haploid cell, Left) / POLE KO HAP1(Right) cells labelling POLE with ab318968 at 1/50 dilution (1ug) / Magenta compared with a Rabbit monoclonal IgG (ab172730) (Black) isotype control and an unlabelled control (cells without incubation with primary antibody and secondary antibody) (Blue).

Goat Anti-Rabbit IgG (Alexa Fluor® 488, ab150081) at 1/5000 dilution was used as the secondary antibody.

Immunocytochemistry/ Immunofluorescence - Anti-POLE antibody [EPR28639-64] (AB318968)
  • ICC/IF

Supplier Data

Immunocytochemistry/ Immunofluorescence - Anti-POLE antibody [EPR28639-64] (AB318968)

Immunofluorescent analysis of 4% Paraformaldehyde-fixed, 0.1% TritonX-100 permeabilized POLE KO HAP 1 (POLE knockout human chronic myelogenous leukemia near-haploid cell) cells labelling POLE with ab318968 at 1/500 (1.07 ug/ml) dilution, followed by ab150081 Goat Anti-Rabbit IgG H&L (Alexa Fluor® 488) preadsorbed antibody at 1/1000 2 ug/ml dilution (Green).

Confocal image showing nuclear staining in wildtype HAP1 cells and negative staining in POLE knockout HAP1 cells(shown in green). The counterstain was observed in magenta. Nuclear DNA was labeled with DAPI (shown in blue). Image was taken with a confocal microscope (Leica-Microsystems, TCS SP8).

ab195889 Anti-alpha Tubulin mouse monoclonal antibody - Microtubule Marker (Alexa Fluor® 594) was used to counterstain tubulin at 1/200 2.5ug/ml dilution (Magenta). The Nuclear counterstain was DAPI (Blue).

Secondary antibody only control : Secondary antibody is ab150081 Goat Anti-Rabbit IgG H&L (Alexa Fluor® 488) preadsorbed at 1/1000 2 ug/ml dilution.

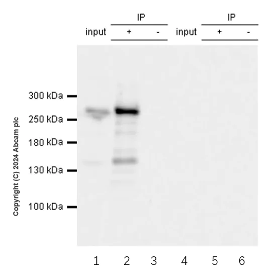
Immunoprecipitation - Anti-POLE antibody [EPR28639-64] (AB318968)
  • IP

Supplier Data

Immunoprecipitation - Anti-POLE antibody [EPR28639-64] (AB318968)

POLE was immunoprecipitated from 0.35 mg K-562 (human chronic myelogenous leukemia lymphoblast) whole cell lysate with ab318968 at 1/30 dilution (2ug in 0.35mg lysates). Western blot was performed on the immunoprecipitate using ab318968 at 1/1000 dilution. VeriBlot for IP secondary antibody(HRP)(ab131366) was used at 1/5000 dilution.

Lane 1 : K-562 (human chronic myelogenous leukemia lymphoblast) whole cell lysate
Lane 2 : ab318968 IP in K-562 (human chronic myelogenous leukemia lymphoblast) whole cell lysate
Lane 3 : Rabbit monoclonal IgG (ab172730) instead of ab318968 in K-562 whole cell lysate

The bands beneath the target band between 100 kDa and 260 kDa are likely to be degraded target fragments.

All lanes:

Immunoprecipitation - Anti-POLE antibody [EPR28639-64] (ab318968) at 1/30 dilution

Lanes 1 - 2:

K-562 (human chronic myelogenous leukemia lymphoblast) whole cell lysate at 10 µg

Lanes 4 - 5:

F9 (mouse embryonal carcinoma epithelial cell) whole cell lysate at 10 µg

Secondary

All lanes:

Immunoprecipitation - VeriBlot for IP Detection Reagent (HRP) (<a href='/en-us/products/reagents/veriblot-for-ip-detection-reagent-hrp-ab131366'>ab131366</a>) at 1/5000 dilution

false

Exposure time: 10s

Immunoprecipitation - Anti-POLE antibody [EPR28639-64] (AB318968)
  • IP

Supplier Data

Immunoprecipitation - Anti-POLE antibody [EPR28639-64] (AB318968)

POLE was immunoprecipitated from 0.35 mg parental HAP1(HOWT01) (human chronic myelogenous leukemia near-haploid cell ) whole cell lysate with ab318968 at 1/30 dilution (2ug in 0.35mg lysates). Western blot was performed on the immunoprecipitate using ab318968 at 1/1000 dilution. VeriBlot for IP secondary antibody(HRP)(ab131366) was used at 1/5000 dilution.

Lane 1 : parental HAP1(HOWT01) (human chronic myelogenous leukemia near-haploid cell ) whole cell lysate
Lane 2 : ab318968 IP in parental HAP1(HOWT01) (human chronic myelogenous leukemia near-haploid cell ) whole cell lysate
Lane 3 : Rabbit monoclonal IgG (ab172730) instead of ab318968 in parental HAP1(HOWT01) whole cell lysate

The bands beneath the target band between 100 kDa and 260 kDa are likely to be degraded target fragments.

All lanes:

Immunoprecipitation - Anti-POLE antibody [EPR28639-64] (ab318968) at 1/30 dilution

Lanes 1 - 2:

parental HAP1(HOWT01) (human chronic myelogenous leukemia near-haploid cell ) whole cell lysate at 10 µg

Lanes 4 - 5:

POLE Knockout HAP1(HO010404) whole cell lysate at 10 µg

Secondary

All lanes:

Immunoprecipitation - VeriBlot for IP Detection Reagent (HRP) (<a href='/en-us/products/reagents/veriblot-for-ip-detection-reagent-hrp-ab131366'>ab131366</a>) at 1/5000 dilution

false

Exposure time: 6s

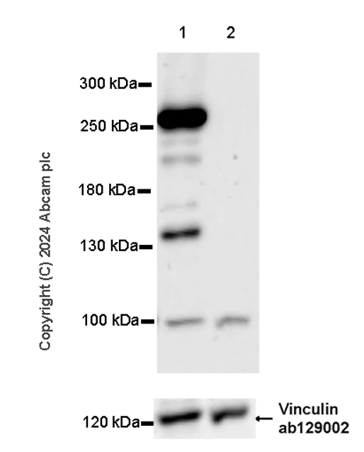
Western blot - Anti-POLE antibody [EPR28639-64] (AB318968)
  • WB

Supplier Data

Western blot - Anti-POLE antibody [EPR28639-64] (AB318968)

The identity of the band at 100 kDa is unknown.

The bands beneath the target band between 100 kDa and 260 kDa are likely to be degraded target fragments.

In Western blot, ab318968 was shown to bind specifically to POLE. Target of interest was observed at 260kDa in wild-type HAP1 cell lysates (Lane 1) with no signal observed at this size in POLE knockout cell line (Lane 2).

In Western blot, Anti-Vinculin antibody [EPR8185] (ab129002) staining at 1/10000 dilution.

All lanes:

Western blot - Anti-POLE antibody [EPR28639-64] (ab318968) at 1/1000 dilution

Lane 1:

parental HAP1(HOWT01) (human chronic myelogenous leukemia near-haploid cell ) whole cell lysate at 20 µg

Lane 2:

POLE Knockout HAP1(HO010404) whole cell lysate at 20 µg

Secondary

All lanes:

Western blot - Goat Anti-Rabbit IgG H&L (HRP) (<a href='/en-us/products/secondary-antibodies/goat-rabbit-igg-h-l-hrp-ab97051'>ab97051</a>) at 1/100000 dilution

Observed band size: 260 kDa,124 kDa

false

Exposure time: 180s

Western blot - Anti-POLE antibody [EPR28639-64] (AB318968)
  • WB

Supplier Data

Western blot - Anti-POLE antibody [EPR28639-64] (AB318968)

The identity of the band at 100 kDa is unknown.

The bands beneath the target band between 100 kDa and 260 kDa (Lane 1-8) are likely to be degraded target fragments.

In Western blot, Anti-Vinculin antibody [EPR8185] (ab129002) staining at 1/10000 dilution.

Exposure time : Lane 1-8 : 15 seconds; Lane 9-12 : 48 seconds

All lanes:

Western blot - Anti-POLE antibody [EPR28639-64] (ab318968) at 1/1000 dilution

Lane 1:

HeLa (human cervical adenocarcinoma epithelial cell) whole cell lysate at 20 µg

Lane 2:

293T (human embryonic kidney epithelial cell) whole cell lysate at 20 µg

Lane 3:

MCF7 (human breast adenocarcinoma epithelial cell) whole cell lysate at 20 µg

Lane 4:

THP-1 (human monocytic leukemia monocyte) whole cell lysate at 20 µg

Lane 5:

NIH/3T3 (mouse embryonic fibroblast) whole cell lysate at 20 µg

Lane 6:

F9 (mouse embryonal carcinoma epithelial cell) whole cell lysate at 20 µg

Lane 7:

PC-12 (rat adrenal gland pheochromocytoma cell) whole cell lysate at 20 µg

Lane 8:

C6 (rat glial tumor glial cell) whole cell lysate at 20 µg

Lane 9:

HeLa (human cervical adenocarcinoma epithelial cell) whole cell fresh lysate at 20 µg

Lane 10:

293T (human embryonic kidney epithelial cell) whole cell fresh lysate at 20 µg

Lane 11:

NIH/3T3 (mouse embryonic fibroblast) whole cell fresh lysate at 20 µg

Lane 12:

PC-12 (rat adrenal gland pheochromocytoma cell) whole cell fresh lysate at 20 µg

Secondary

All lanes:

Western blot - Goat Anti-Rabbit IgG H&L (HRP) (<a href='/en-us/products/secondary-antibodies/goat-rabbit-igg-h-l-hrp-ab97051'>ab97051</a>) at 1/100000 dilution

Observed band size: 260 kDa,124 kDa

false

Western blot - Anti-POLE antibody [EPR28639-64] (AB318968)
  • WB

Supplier Data

Western blot - Anti-POLE antibody [EPR28639-64] (AB318968)

The identity of the band at 100 kDa is unknown.

The bands beneath the target band between 100 kDa and 260 kDa (Lane 1-4) are likely to be degraded target fragments.

In Western blot, Anti-Vinculin antibody [EPR8185] (ab129002) staining at 1/10000 dilution.

Exposure time : Lane 1-4 : 15 seconds; Lane 4 : 180 seconds

All lanes:

Western blot - Anti-POLE antibody [EPR28639-64] (ab318968) at 1/1000 dilution

Lane 1:

Mouse spleen tissue lysate at 20 µg

Lane 2:

Mouse testis tissue lysate at 20 µg

Lane 3:

Mouse placenta tissue lysate at 20 µg

Lane 4:

Rat testis tissue lysate at 20 µg

Lane 5:

Mouse testis fresh tissue lysate at 20 µg

Secondary

All lanes:

Western blot - Goat Anti-Rabbit IgG H&L (HRP) (<a href='/en-us/products/secondary-antibodies/goat-rabbit-igg-h-l-hrp-ab97051'>ab97051</a>) at 1/100000 dilution

Observed band size: 260 kDa,124 kDa

false

  • Carrier free

    Anti-POLE antibody [EPR28639-64] - BSA and Azide free

Key facts

Host species

Rabbit

Clonality

Monoclonal

Clone number

EPR28639-64

Isotype

IgG

Carrier free

No

Reacts with

Human, Mouse, Rat

Applications

Flow Cyt (Intra), ICC/IF, IP, WB

applications

Immunogen

The exact immunogen used to generate this antibody is proprietary information.

Reactivity data

{ "title": "Reactivity Data", "filters": { "stats": ["", "Species", "Dilution Info", "Notes"], "tabs": { "all-applications": {"fullname" : "All Applications", "shortname": "All Applications"}, "WB" : {"fullname" : "Western blot", "shortname":"WB"}, "IP" : {"fullname" : "Immunoprecipitation", "shortname":"IP"}, "ICCIF" : {"fullname" : "Immunocytochemistry/ Immunofluorescence", "shortname":"ICC/IF"}, "FlowCytIntra" : {"fullname" : "Flow Cytometry (Intracellular)", "shortname":"Flow Cyt (Intra)"}, "IHCP" : {"fullname" : "Immunohistochemistry (Formalin/PFA-fixed paraffin-embedded sections)", "shortname":"IHC-P"} }, "product-promise": { "all": "all", "testedAndGuaranteed": "tested", "guaranteed": "expected", "predicted": "predicted", "notRecommended": "not-recommended" } }, "values": { "Human": { "WB-species-checked": "testedAndGuaranteed", "WB-species-dilution-info": "1/1000", "WB-species-notes": "<p></p>", "IP-species-checked": "testedAndGuaranteed", "IP-species-dilution-info": "1/30", "IP-species-notes": "<p></p>", "ICCIF-species-checked": "testedAndGuaranteed", "ICCIF-species-dilution-info": "1/500", "ICCIF-species-notes": "<p></p>", "FlowCytIntra-species-checked": "testedAndGuaranteed", "FlowCytIntra-species-dilution-info": "1/50", "FlowCytIntra-species-notes": "<p></p>", "IHCP-species-checked": "notRecommended", "IHCP-species-dilution-info": "", "IHCP-species-notes": "<p></p>" }, "Mouse": { "WB-species-checked": "testedAndGuaranteed", "WB-species-dilution-info": "1/1000", "WB-species-notes": "<p></p>", "IP-species-checked": "testedAndGuaranteed", "IP-species-dilution-info": "1/30", "IP-species-notes": "<p></p>", "ICCIF-species-checked": "guaranteed", "ICCIF-species-dilution-info": "", "ICCIF-species-notes": "", "FlowCytIntra-species-checked": "guaranteed", "FlowCytIntra-species-dilution-info": "", "FlowCytIntra-species-notes": "", "IHCP-species-checked": "notRecommended", "IHCP-species-dilution-info": "", "IHCP-species-notes": "<p></p>" }, "Rat": { "WB-species-checked": "testedAndGuaranteed", "WB-species-dilution-info": "1/1000", "WB-species-notes": "<p></p>", "IP-species-checked": "guaranteed", "IP-species-dilution-info": "", "IP-species-notes": "", "ICCIF-species-checked": "guaranteed", "ICCIF-species-dilution-info": "", "ICCIF-species-notes": "", "FlowCytIntra-species-checked": "guaranteed", "FlowCytIntra-species-dilution-info": "", "FlowCytIntra-species-notes": "", "IHCP-species-checked": "notRecommended", "IHCP-species-dilution-info": "", "IHCP-species-notes": "<p></p>" } } }

Product details

Patented technology
Our RabMAb® technology is a patented hybridoma-based technology for making rabbit monoclonal antibodies. For details on our patents, please refer to RabMAb® patents.

What are the advantages of a recombinant monoclonal antibody?
This product is a recombinant monoclonal antibody, which offers several advantages including:

  • - High batch-to-batch consistency and reproducibility
  • - Improved sensitivity and specificity
  • - Long-term security of supply
  • - Animal-free batch production

For more information, read more on recombinant antibodies.

Properties and storage information

Form
Liquid
Purification technique
Affinity purification Protein A
Storage buffer
pH: 7.2 - 7.4 Preservative: 0.01% Sodium azide Constituents: PBS, 40% Glycerol (glycerin, glycerine), 0.05% BSA
Shipped at conditions
Blue Ice
Appropriate short-term storage duration
1-2 weeks
Appropriate short-term storage conditions
+4°C
Appropriate long-term storage conditions
-20°C
Aliquoting information
Upon delivery aliquot
Storage information
Avoid freeze / thaw cycle

Supplementary information

This supplementary information is collated from multiple sources and compiled automatically.

The POLE protein also known as DNA polymerase epsilon catalytic subunit A functions as an important component in DNA replication and repair mechanisms. POLE possesses a molecular mass of approximately 261 kDa and demonstrates expression primarily in proliferating cells such as those in the bone marrow lymphoid tissues and the gastrointestinal tract. It operates within the eukaryotic DNA polymerase family distinct from other polymerases due to its high fidelity in DNA synthesis which minimizes errors during replication.
Biological function summary

The POLE protein plays an essential role in the high-fidelity synthesis of leading-strand DNA during replication. POLE is part of a larger complex known as the DNA polymerase epsilon holoenzyme collaborating with accessory proteins that enhance its ability to synthesize DNA accurately. Moreover this protein contributes significantly to the proofreading function as it has intrinsic 3' to 5' exonuclease activity allowing the removal of incorrectly paired nucleotides therefore preventing mutations.

Pathways

The POLE protein is fundamentally involved in the DNA replication and repair pathways. These pathways ensure genomic integrity and stability important for normal cell division and preventing genomic instability associated with cancer. POLE interacts with other proteins such as PCNA and RFC (replication factor C) within these pathways facilitating efficient replication fork progression and repair processes. POLE's activity ensures coordination with leading strand synthesis complementing the functions of other polymerases involved in lagging strand DNA synthesis.

Mutations in the POLE gene have been linked to colorectal cancer and endometrial cancer. These conditions are often characterized by a hypermutated phenotype arising from impaired DNA proofreading ability due to ineffective exonuclease activity. In this context POLE mutations can assume significance in sporadic cancer cases as well as in hereditary cancer syndromes where it interacts with mismatch repair proteins highlighting its role in maintaining genomic fidelity.

Product protocols

For this product, it's our understanding that no specific protocols are required. You can visit:

Target data

Catalytic component of the DNA polymerase epsilon complex (PubMed : 10801849). Participates in chromosomal DNA replication (By similarity). Required during synthesis of the leading DNA strands at the replication fork, binds at/or near replication origins and moves along DNA with the replication fork (By similarity). Has 3'-5' proofreading exonuclease activity that corrects errors arising during DNA replication (By similarity). Involved in DNA synthesis during DNA repair (PubMed : 20227374, PubMed : 27573199). Along with DNA polymerase POLD1 and DNA polymerase POLK, has a role in excision repair (NER) synthesis following UV irradiation (PubMed : 20227374).
See full target information POLE

Product promise

We are committed to supporting your work with high-quality reagents, and we're here for you every step of the way. In the unlikely event that one of our products does not perform as expected, you're protected by our Product Promise.
For full details, please see our Terms & Conditions

Please note: All products are 'FOR RESEARCH USE ONLY. NOT FOR USE IN DIAGNOSTIC OR THERAPEUTIC PROCEDURES'.

For licensing inquiries, please contact partnerships@abcam.com