JavaScript is disabled in your browser. Please enable JavaScript to view this website.
AB226848

Anti-POLE antibody - N-terminal

Be the first to review this product! Submit a review

|

(4 Publications)

Rabbit Polyclonal POLE antibody. N-terminal. Suitable for WB, IHC-P, ICC/IF and reacts with Human samples. Cited in 4 publications. Immunogen corresponding to Recombinant Fragment Protein within Human POLE.

View Alternative Names

POLE1, POLE, DNA polymerase epsilon catalytic subunit A, 3'-5' exodeoxyribonuclease, DNA polymerase II subunit A

3 Images
Immunohistochemistry (Formalin/PFA-fixed paraffin-embedded sections) - Anti-POLE antibody - N-terminal (AB226848)
  • IHC-P

Supplier Data

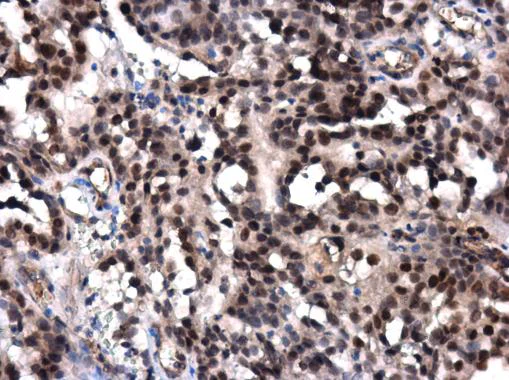
Immunohistochemistry (Formalin/PFA-fixed paraffin-embedded sections) - Anti-POLE antibody - N-terminal (AB226848)

Paraffin-embedded human ovary tissue stained for POLE using ab226848 at 1/500 dilution in immunohistochemical analysis.

Immunocytochemistry/ Immunofluorescence - Anti-POLE antibody - N-terminal (AB226848)
  • ICC/IF

Supplier Data

Immunocytochemistry/ Immunofluorescence - Anti-POLE antibody - N-terminal (AB226848)

4% paraformaldehyde-fixed HeLa (human epithelial cell line from cervix adenocarcinoma) cells labeling POLE (green) using ab226848 at 1/2500 dilution in ICC/IF. Red : phalloidin, a cytoskeleton marker at 1/100 dilution.

Western blot - Anti-POLE antibody - N-terminal (AB226848)
  • WB

Supplier Data

Western blot - Anti-POLE antibody - N-terminal (AB226848)

Samples were separated by 5% SDS-PAGE. Corresponding RNA expression data for the same cell lines are based on Human Protein Atlas program.

All lanes:

Western blot - Anti-POLE antibody - N-terminal (ab226848) at 1/1000 dilution

Lane 1:

K562 whole cell extract at 30 µg

Lane 2:

THP-1 whole cell extract at 30 µg

Secondary

All lanes:

HRP-conjugated anti-rabbit IgG

Predicted band size: 262 kDa

false

Key facts

Host species

Rabbit

Clonality

Polyclonal

Isotype

IgG

Carrier free

No

Reacts with

Human

Applications

IHC-P, WB, ICC/IF

applications

Immunogen

Recombinant Fragment Protein within Human POLE. The exact immunogen used to generate this antibody is proprietary information.

Q07864

Reactivity data

{ "title": "Reactivity Data", "filters": { "stats": ["", "Species", "Dilution Info", "Notes"], "tabs": { "all-applications": {"fullname" : "All Applications", "shortname": "All Applications"}, "WB" : {"fullname" : "Western blot", "shortname":"WB"}, "IHCP" : {"fullname" : "Immunohistochemistry (Formalin/PFA-fixed paraffin-embedded sections)", "shortname":"IHC-P"}, "ICCIF" : {"fullname" : "Immunocytochemistry/ Immunofluorescence", "shortname":"ICC/IF"} }, "product-promise": { "all": "all", "testedAndGuaranteed": "tested", "guaranteed": "expected", "predicted": "predicted", "notRecommended": "not-recommended" } }, "values": { "Human": { "WB-species-checked": "testedAndGuaranteed", "WB-species-dilution-info": "1/500 - 1/3000", "WB-species-notes": "<p></p>", "IHCP-species-checked": "testedAndGuaranteed", "IHCP-species-dilution-info": "1/100 - 1/1000", "IHCP-species-notes": "<p></p>", "ICCIF-species-checked": "testedAndGuaranteed", "ICCIF-species-dilution-info": "1/100 - 1/2500", "ICCIF-species-notes": "<p></p>" }, "Mouse": { "WB-species-checked": "predicted", "WB-species-dilution-info": "", "WB-species-notes": "", "IHCP-species-checked": "predicted", "IHCP-species-dilution-info": "", "IHCP-species-notes": "", "ICCIF-species-checked": "predicted", "ICCIF-species-dilution-info": "", "ICCIF-species-notes": "" }, "Rat": { "WB-species-checked": "predicted", "WB-species-dilution-info": "", "WB-species-notes": "", "IHCP-species-checked": "predicted", "IHCP-species-dilution-info": "", "IHCP-species-notes": "", "ICCIF-species-checked": "predicted", "ICCIF-species-dilution-info": "", "ICCIF-species-notes": "" }, "Cow": { "WB-species-checked": "predicted", "WB-species-dilution-info": "", "WB-species-notes": "", "IHCP-species-checked": "predicted", "IHCP-species-dilution-info": "", "IHCP-species-notes": "", "ICCIF-species-checked": "predicted", "ICCIF-species-dilution-info": "", "ICCIF-species-notes": "" } } }

Properties and storage information

Form
Liquid
Purification technique
Affinity purification Immunogen
Storage buffer
pH: 7 Preservative: 0.025% Proclin 300 Constituents: PBS, 20% Glycerol (glycerin, glycerine), 1% BSA
Shipped at conditions
Blue Ice
Appropriate short-term storage duration
1-2 weeks
Appropriate short-term storage conditions
+4°C
Appropriate long-term storage conditions
-20°C
Aliquoting information
Upon delivery aliquot
Storage information
Avoid freeze / thaw cycle

Supplementary information

This supplementary information is collated from multiple sources and compiled automatically.

The POLE protein also known as DNA polymerase epsilon catalytic subunit A functions as an important component in DNA replication and repair mechanisms. POLE possesses a molecular mass of approximately 261 kDa and demonstrates expression primarily in proliferating cells such as those in the bone marrow lymphoid tissues and the gastrointestinal tract. It operates within the eukaryotic DNA polymerase family distinct from other polymerases due to its high fidelity in DNA synthesis which minimizes errors during replication.
Biological function summary

The POLE protein plays an essential role in the high-fidelity synthesis of leading-strand DNA during replication. POLE is part of a larger complex known as the DNA polymerase epsilon holoenzyme collaborating with accessory proteins that enhance its ability to synthesize DNA accurately. Moreover this protein contributes significantly to the proofreading function as it has intrinsic 3' to 5' exonuclease activity allowing the removal of incorrectly paired nucleotides therefore preventing mutations.

Pathways

The POLE protein is fundamentally involved in the DNA replication and repair pathways. These pathways ensure genomic integrity and stability important for normal cell division and preventing genomic instability associated with cancer. POLE interacts with other proteins such as PCNA and RFC (replication factor C) within these pathways facilitating efficient replication fork progression and repair processes. POLE's activity ensures coordination with leading strand synthesis complementing the functions of other polymerases involved in lagging strand DNA synthesis.

Mutations in the POLE gene have been linked to colorectal cancer and endometrial cancer. These conditions are often characterized by a hypermutated phenotype arising from impaired DNA proofreading ability due to ineffective exonuclease activity. In this context POLE mutations can assume significance in sporadic cancer cases as well as in hereditary cancer syndromes where it interacts with mismatch repair proteins highlighting its role in maintaining genomic fidelity.

Product protocols

For this product, it's our understanding that no specific protocols are required. You can visit:

Target data

Catalytic component of the DNA polymerase epsilon complex (PubMed : 10801849). Participates in chromosomal DNA replication (By similarity). Required during synthesis of the leading DNA strands at the replication fork, binds at/or near replication origins and moves along DNA with the replication fork (By similarity). Has 3'-5' proofreading exonuclease activity that corrects errors arising during DNA replication (By similarity). Involved in DNA synthesis during DNA repair (PubMed : 20227374, PubMed : 27573199). Along with DNA polymerase POLD1 and DNA polymerase POLK, has a role in excision repair (NER) synthesis following UV irradiation (PubMed : 20227374).
See full target information POLE

Publications (4)

Recent publications for all applications. Explore the full list and refine your search

iScience 28:113034 PubMed40734678

2025

Preadipocyte-induced upregulation of IGFBP5 enhances ovarian cancer tumorigenesis via CREB signaling.

Applications

Unspecified application

Species

Unspecified reactive species

Jennifer A Waters,Cassidy Lucht,Sofia Howe,Gregory J Jordan,Ixchel Urbano,Samuel F Gilbert,Richard M Cripps,Mikella Robinson,Carrie D House

Nature communications 13:6090 PubMed36241664

2022

Solving the MCM paradox by visualizing the scaffold of CMG helicase at active replisomes.

Applications

Unspecified application

Species

Unspecified reactive species

Hana Polasek-Sedlackova,Thomas C R Miller,Jana Krejci,Maj-Britt Rask,Jiri Lukas

Frontiers in genetics 12:751977 PubMed34950188

2021

Protumorigenic Role of Elevated Levels of DNA Polymerase Epsilon Predicts an Immune-Suppressive Microenvironment in Clear Cell Renal Cell Carcinoma.

Applications

Unspecified application

Species

Unspecified reactive species

Xiaohui Wu,Haijia Tang,Wen-Hao Xu,Haidan Tang,Shiyin Wei,Aihetaimujiang Anwaier,Haineng Huang,Yuan-Yuan Qu,Hailiang Zhang,Shuai Zhao,Hui Li,Wangrui Liu,Hongjing Chen,Chen Ding,Dingwei Ye

Frontiers in oncology 11:736363 PubMed34868924

2021

Elevated DNA Polymerase Delta 1 Expression Correlates With Tumor Progression and Immunosuppressive Tumor Microenvironment in Hepatocellular Carcinoma.

Applications

Unspecified application

Species

Unspecified reactive species

Shuai Zhao,Cuicui Wei,Haijia Tang,Han Ding,Bing Han,Shuxian Chen,Xiaoling Song,Qiang Gu,Yichi Zhang,Wangrui Liu,Jian Wang
View all publications

Product promise

We are committed to supporting your work with high-quality reagents, and we're here for you every step of the way. In the unlikely event that one of our products does not perform as expected, you're protected by our Product Promise.
For full details, please see our Terms & Conditions

Please note: All products are 'FOR RESEARCH USE ONLY. NOT FOR USE IN DIAGNOSTIC OR THERAPEUTIC PROCEDURES'.

For licensing inquiries, please contact partnerships@abcam.com