JavaScript is disabled in your browser. Please enable JavaScript to view this website.
AB267398

Anti-Poliovirus Receptor/PVR antibody [EPR23074-270] - BSA and Azide free

Be the first to review this product! Submit a review

|

(0 Publication)

Rabbit Recombinant Monoclonal Poliovirus Receptor/PVR antibody. Carrier free. Suitable for WB, IHC-P and reacts with Human samples.

View Alternative Names

CD155, PVS, PVR, Poliovirus receptor, Nectin-like protein 5, NECL-5

3 Images
Immunohistochemistry (Formalin/PFA-fixed paraffin-embedded sections) - Anti-Poliovirus Receptor/PVR antibody [EPR23074-270] - BSA and Azide free (AB267398)
  • IHC-P

Unknown

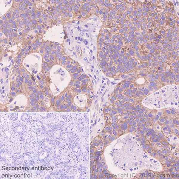
Immunohistochemistry (Formalin/PFA-fixed paraffin-embedded sections) - Anti-Poliovirus Receptor/PVR antibody [EPR23074-270] - BSA and Azide free (AB267398)

This data was developed using the same antibody clone in a different buffer formulation containing PBS BSA glycerol and sodium azide ab267389.

Immunohistochemical analysis of paraffin-embedded human hepatocellular carcinoma tissue labeling Poliovirus Receptor/PVR with ab267389 at 1/500 dilution (1.01 μg/ml) followed by a ready to use Goat Anti-Rabbit IgG H&L (HRP Polymer). Membranous and cytoplasmic staining on human hepatocellular carcinoma is observed. The section was incubated with ab267389 for 30 mins at RT. The immunostaining staining was performed on a Leica Biosystems BOND® RX instrument. Counterstained with hematoxylin.

Secondary antibody only control : Secondary antibody is a ready to use Goat Anti-Rabbit IgG H&L (HRP Polymer).

Heat mediated antigen retrieval with Tris-EDTA buffer (pH 9.0 epitope retrieval solution 2) for 20 mins.

Immunohistochemistry (Formalin/PFA-fixed paraffin-embedded sections) - Anti-Poliovirus Receptor/PVR antibody [EPR23074-270] - BSA and Azide free (AB267398)
  • IHC-P

Unknown

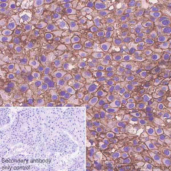
Immunohistochemistry (Formalin/PFA-fixed paraffin-embedded sections) - Anti-Poliovirus Receptor/PVR antibody [EPR23074-270] - BSA and Azide free (AB267398)

This data was developed using the same antibody clone in a different buffer formulation containing PBS BSA glycerol and sodium azide ab267389.

Immunohistochemical analysis of paraffin-embedded human colon carcinoma tissue labeling Poliovirus Receptor/PVR with ab267389 at 1/500 dilution (1.01 μg/ml) followed by a ready to use Goat Anti-Rabbit IgG H&L (HRP Polymer). Membranous and cytoplasmic staining on human colon carcinoma (PMID : 28816021) is observed. The section was incubated with ab267389 for 30 mins at RT. The immunostaining staining was performed on a Leica Biosystems BOND® RX instrument. Counterstained with hematoxylin.

Secondary antibody only control : Secondary antibody is a ready to use Goat Anti-Rabbit IgG H&L (HRP Polymer).

Heat mediated antigen retrieval with Tris-EDTA buffer (pH 9.0 epitope retrieval solution 2) for 20 mins.

Immunohistochemistry (Formalin/PFA-fixed paraffin-embedded sections) - Anti-Poliovirus Receptor/PVR antibody [EPR23074-270] - BSA and Azide free (AB267398)
  • IHC-P

Unknown

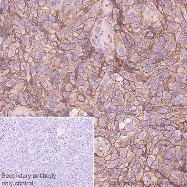
Immunohistochemistry (Formalin/PFA-fixed paraffin-embedded sections) - Anti-Poliovirus Receptor/PVR antibody [EPR23074-270] - BSA and Azide free (AB267398)

This data was developed using the same antibody clone in a different buffer formulation containing PBS BSA glycerol and sodium azide ab267389.

Immunohistochemical analysis of paraffin-embedded human breast carcinoma tissue labeling Poliovirus Receptor/PVR with ab267389 at 1/500 dilution (1.01 μg/ml) followed by a ready to use Goat Anti-Rabbit IgG H&L (HRP Polymer). Membranous and cytoplasmic staining on human breast carcinoma is observed. The section was incubated with ab267389 for 30 mins at RT. The immunostaining staining was performed on a Leica Biosystems BOND® RX instrument. Counterstained with hematoxylin.

Secondary antibody only control : Secondary antibody is a ready to use Goat Anti-Rabbit IgG H&L (HRP Polymer).

Heat mediated antigen retrieval with Tris-EDTA buffer (pH 9.0 epitope retrieval solution 2) for 20 mins.

  • Unconjugated

    Anti-Poliovirus Receptor/PVR antibody [EPR23074-270]

Key facts

Host species

Rabbit

Clonality

Monoclonal

Clone number

EPR23074-270

Isotype

IgG

Carrier free

Yes

Reacts with

Human

Applications

WB, IHC-P

applications

Immunogen

The exact immunogen used to generate this antibody is proprietary information.

Reactivity data

{ "title": "Reactivity Data", "filters": { "stats": ["", "Species", "Dilution Info", "Notes"], "tabs": { "all-applications": {"fullname" : "All Applications", "shortname": "All Applications"}, "IP" : {"fullname" : "Immunoprecipitation", "shortname":"IP"}, "FlowCyt" : {"fullname" : "Flow Cytometry", "shortname":"Flow Cyt"}, "WB" : {"fullname" : "Western blot", "shortname":"WB"}, "ICCIF" : {"fullname" : "Immunocytochemistry/ Immunofluorescence", "shortname":"ICC/IF"}, "IHCP" : {"fullname" : "Immunohistochemistry (Formalin/PFA-fixed paraffin-embedded sections)", "shortname":"IHC-P"} }, "product-promise": { "all": "all", "testedAndGuaranteed": "tested", "guaranteed": "expected", "predicted": "predicted", "notRecommended": "not-recommended" } }, "values": { "Human": { "IP-species-checked": "notRecommended", "IP-species-dilution-info": "", "IP-species-notes": "<p></p>", "FlowCyt-species-checked": "notRecommended", "FlowCyt-species-dilution-info": "", "FlowCyt-species-notes": "<p></p>", "WB-species-checked": "guaranteed", "WB-species-dilution-info": "", "WB-species-notes": "<p></p>", "ICCIF-species-checked": "notRecommended", "ICCIF-species-dilution-info": "", "ICCIF-species-notes": "<p></p>", "IHCP-species-checked": "testedAndGuaranteed", "IHCP-species-dilution-info": "", "IHCP-species-notes": "<p></p>" } } }

You may be interested in:

AB314829

Human Poliovirus Receptor/PVR ELISA Kit

0

0 Reviews

View product

We recommend this product because it’s often used in the same experiment or related research.

We advise that you always check the datasheet to ensure it fits your experiments, or contact ourtechnical teamfor help.

Product details

ab267398 is the carrier-free version of ab267389.

Patented technology
Our RabMAb® technology is a patented hybridoma-based technology for making rabbit monoclonal antibodies. For details on our patents, please refer to RabMAb® patents.

What are the advantages of a recombinant monoclonal antibody?
This product is a recombinant monoclonal antibody, which offers several advantages including:

  • - High batch-to-batch consistency and reproducibility
  • - Improved sensitivity and specificity
  • - Long-term security of supply
  • - Animal-free batch production

For more information, read more on recombinant antibodies.

Conjugation ready
Our carrier-free antibodies are typically supplied in a PBS-only formulation, purified and free of BSA, sodium azide and glycerol. This conjugation-ready format is designed for use with fluorochromes, metal isotopes, oligonucleotides, and enzymes, which makes them ideal for antibody labelling, functional and cell-based assays, flow-based assays (e.g. mass cytometry) and Multiplex Imaging applications.

Use our conjugation kits for antibody conjugates that are ready-to-use in as little as 20 minutes with 1 minute hands-on-time and 100% antibody recovery: available for fluorescent dyes, HRP, biotin and gold.

Compatibility
This product is compatible with the Maxpar® Antibody Labeling Kit from Fluidigm, without the need for antibody preparation. Maxpar® is a trademark of Fluidigm Canada Inc.

Properties and storage information

Form
Liquid
Purification technique
Affinity purification Protein A
Storage buffer
pH: 7.2 - 7.4 Constituents: PBS
Shipped at conditions
Blue Ice
Appropriate short-term storage conditions
+4°C
Appropriate long-term storage conditions
+4°C
Storage information
Do Not Freeze

Supplementary information

This supplementary information is collated from multiple sources and compiled automatically.

The Poliovirus Receptor (PVR) also known as CD155 is a cell surface glycoprotein with a molecular mass of approximately 70 kDa. This receptor is expressed on a variety of cell types including epithelial and endothelial cells immune cells and fibroblasts. Another name for PVR is Necl-5 which falls under the nectin-like molecule family. It acts as an adhesion molecule and contributes to cellular signaling and junctional complexes. The expression of PVR is widespread across multiple tissues but it exhibits stronger expression in areas such as the skin and the gastrointestinal tract.
Biological function summary

The Poliovirus Receptor plays meaningful roles in immune response modulation and cell-cell adhesion. PVR interacts with components of the immune system and forms complexes with other proteins like CD226 and TIGIT. These interactions help regulate immune cell activities especially in the context of natural killer (NK) cells and T-cells. The CD155 protein also links to migration and proliferation processes which are essential for tissue formation and repair.

Pathways

PVR is involved in the regulation of immune and signaling pathways. It fits into pathways like NK cell activation and T-cell inhibitory signaling which are important for maintaining immune tolerance and preventing autoimmunity. In these pathways PVR interacts closely with other immunoregulatory proteins including CD226 and TIGIT. The partnership of PVR with these proteins shapes the delicate balance between immune activation and suppression demonstrating a clear role in immune homeostasis.

PVR relates to conditions such as cancer and viral infection. Its overexpression or altered signaling has been observed in several cancers where it may contribute to tumor growth and immune evasion. The interaction between PVR and its related protein TIGIT can affect antitumor immune responses complicating cancer progression. Additionally as its name suggests PVR binds to the poliovirus facilitating viral entry and spread during infection. This highlights the importance of PVR not only in pathogenic interactions but also in broader immune response contexts.

Product protocols

For this product, it's our understanding that no specific protocols are required. You can visit:

Target data

Mediates NK cell adhesion and triggers NK cell effector functions. Binds two different NK cell receptors : CD96 and CD226. These interactions accumulates at the cell-cell contact site, leading to the formation of a mature immunological synapse between NK cell and target cell. This may trigger adhesion and secretion of lytic granules and IFN-gamma and activate cytotoxicity of activated NK cells. May also promote NK cell-target cell modular exchange, and PVR transfer to the NK cell. This transfer is more important in some tumor cells expressing a lot of PVR, and may trigger fratricide NK cell activation, providing tumors with a mechanism of immunoevasion. Plays a role in mediating tumor cell invasion and migration.. (Microbial infection) Acts as a receptor for poliovirus. May play a role in axonal transport of poliovirus, by targeting virion-PVR-containing endocytic vesicles to the microtubular network through interaction with DYNLT1. This interaction would drive the virus-containing vesicle to the axonal retrograde transport.. (Microbial infection) Acts as a receptor for Pseudorabies virus.. (Microbial infection) Is prevented to reach cell surface upon infection by Human cytomegalovirus /HHV-5, presumably to escape immune recognition of infected cell by NK cells.
See full target information PVR

Product promise

We are committed to supporting your work with high-quality reagents, and we're here for you every step of the way. In the unlikely event that one of our products does not perform as expected, you're protected by our Product Promise.
For full details, please see our Terms & Conditions

Associated Products

Select an associated product type
Alternative Product
Primary Antibodies

AB103630

Anti-Poliovirus Receptor/PVR antibody

primary-antibodies

poliovirus-receptor-pvr-antibody-ab103630

3

(3 reviews)

Alternative Product
Primary Antibodies

AB252857

Anti-Poliovirus Receptor/PVR antibody [3F1]

primary-antibodies

poliovirus-receptor-pvr-antibody-3f1-ab252857

0

(0 reviews)

Alternative Product
Primary Antibodies

AB205304

Anti-Poliovirus Receptor/PVR antibody [EPR17302]

primary-antibodies

poliovirus-receptor-pvr-antibody-epr17302-ab205304

0

(0 reviews)

Alternative Product
Primary Antibodies

AB267794

Anti-Poliovirus Receptor/PVR antibody [EPR22672-151] - BSA and Azide free

primary-antibodies

poliovirus-receptor-pvr-antibody-epr22672-151-bsa-and-azide-free-ab267794

4

(1 reviews)

Alternative Product
Primary Antibodies

AB267788

Anti-Poliovirus Receptor/PVR antibody [EPR22672-151]

primary-antibodies

poliovirus-receptor-pvr-antibody-epr22672-151-ab267788

0

(0 reviews)

Alternative Product
Primary Antibodies

AB255851

Anti-Poliovirus Receptor/PVR antibody [3F1] - BSA and Azide free

primary-antibodies

poliovirus-receptor-pvr-antibody-3f1-bsa-and-azide-free-ab255851

0

(0 reviews)

Alternative Product
Primary Antibodies

AB228348

Anti-Poliovirus Receptor/PVR antibody [EPR17302] - BSA and Azide free

primary-antibodies

poliovirus-receptor-pvr-antibody-epr17302-bsa-and-azide-free-ab228348

0

(0 reviews)

Please note: All products are 'FOR RESEARCH USE ONLY. NOT FOR USE IN DIAGNOSTIC OR THERAPEUTIC PROCEDURES'.

For licensing inquiries, please contact partnerships@abcam.com