JavaScript is disabled in your browser. Please enable JavaScript to view this website.
AB243591

Anti-POLR1D antibody

Be the first to review this product! Submit a review

|

(2 Publications)

Rabbit Polyclonal RPC22 antibody. Suitable for IHC-P, WB, ICC/IF and reacts with Human samples. Cited in 2 publications.

View Alternative Names

POLR1D

3 Images
Immunocytochemistry/ Immunofluorescence - Anti-POLR1D antibody (AB243591)
  • ICC/IF

Supplier Data

Immunocytochemistry/ Immunofluorescence - Anti-POLR1D antibody (AB243591)

4% paraformaldehyde-fixed, Triton X-100 permeabilized A431 (human epidermoid carcinoma cell line) cells labeling POLR1D (Green) using ab243591 at 4 μg/ml in ICC/IF.

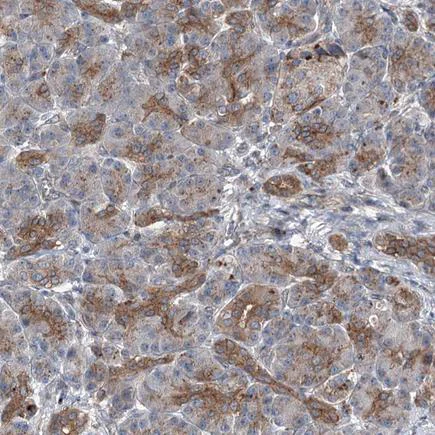
Immunohistochemistry (Formalin/PFA-fixed paraffin-embedded sections) - Anti-POLR1D antibody (AB243591)
  • IHC-P

Supplier Data

Immunohistochemistry (Formalin/PFA-fixed paraffin-embedded sections) - Anti-POLR1D antibody (AB243591)

Paraffin-embedded human pancreas tissue stained for POLR1D using ab243591 at 1/200 dilution in immunohistochemical analysis.

Western blot - Anti-POLR1D antibody (AB243591)
  • WB

Supplier Data

Western blot - Anti-POLR1D antibody (AB243591)

All lanes:

Western blot - Anti-POLR1D antibody (ab243591) at 0.4 µg/mL

Lane 1:

Vector only transfected HEK-293T cell lysate (human epithelial cell line from embryonic kidney transformed with large T antigen)

Lane 2:

POLR1D over-expression HEK-293T cell lysate (Co-expressed with a C-terminal myc-DDK tag (~3.1 kDa)

Predicted band size: 14 kDa

false

Key facts

Host species

Rabbit

Clonality

Polyclonal

Isotype

IgG

Carrier free

No

Reacts with

Human

Applications

ICC/IF, IHC-P, WB

applications

Immunogen

The exact immunogen used to generate this antibody is proprietary information.

Reactivity data

{ "title": "Reactivity Data", "filters": { "stats": ["", "Species", "Dilution Info", "Notes"], "tabs": { "all-applications": {"fullname" : "All Applications", "shortname": "All Applications"}, "IHCP" : {"fullname" : "Immunohistochemistry (Formalin/PFA-fixed paraffin-embedded sections)", "shortname":"IHC-P"}, "WB" : {"fullname" : "Western blot", "shortname":"WB"}, "ICCIF" : {"fullname" : "Immunocytochemistry/ Immunofluorescence", "shortname":"ICC/IF"} }, "product-promise": { "all": "all", "testedAndGuaranteed": "tested", "guaranteed": "expected", "predicted": "predicted", "notRecommended": "not-recommended" } }, "values": { "Human": { "IHCP-species-checked": "testedAndGuaranteed", "IHCP-species-dilution-info": "1/200 - 1/500", "IHCP-species-notes": "<p></p> Perform heat-mediated antigen retrieval with citrate buffer pH 6 before commencing with IHC staining protocol.", "WB-species-checked": "testedAndGuaranteed", "WB-species-dilution-info": "0.04-0.4 µg/mL", "WB-species-notes": "<p></p>", "ICCIF-species-checked": "testedAndGuaranteed", "ICCIF-species-dilution-info": "0.25-2 µg/mL", "ICCIF-species-notes": "<p>Fixation/Permeabilization: PFA/Triton X-100.</p>" } } }

Properties and storage information

Form
Liquid
Purification technique
Affinity purification Immunogen
Storage buffer
pH: 7.2 Preservative: 0.02% Sodium azide Constituents: PBS, 40% Glycerol (glycerin, glycerine)
Shipped at conditions
Blue Ice
Appropriate short-term storage duration
1-2 weeks
Appropriate short-term storage conditions
+4°C
Appropriate long-term storage conditions
-20°C
Aliquoting information
Upon delivery aliquot
Storage information
Avoid freeze / thaw cycle

Supplementary information

This supplementary information is collated from multiple sources and compiled automatically.

POLR1D also known as RNA polymerase I and III subunit D is a component of the RNA polymerase I and III complexes. It weighs approximately 16.5 kDa. This protein is important for the transcription of ribosomal RNA (rRNA) and small RNA molecules. It is primarily expressed in cells that have high transcriptional activity such as in tissues like the pancreas thymus and spleen.
Biological function summary

The activity of POLR1D contributes to the formation of ribosomal RNA an essential component of the ribosome which is responsible for protein synthesis. POLR1D forms part of both RNA Polymerase I and RNA Polymerase III complexes which are responsible for transcribing rRNA and other small RNAs respectively. It interacts closely with other subunits within these complexes to facilitate transcription processes.

Pathways

POLR1D plays a role in the rRNA transcription pathway and the RNA polymerase I promoter opening pathway. Its function is essential within these pathways to initiate and sustain the transcription required for ribosome production. POLR1D is related to other subunits of RNA polymerases like POLR1A and POLR1B through these pathways forming an interconnected network essential for nucleolar function and RNA maturation.

Malfunction or mutations within POLR1D can lead to Treacher Collins syndrome which is a disorder affecting craniofacial development. This connection highlights the importance of properly functioning RNA polymerases for developmental processes. Additionally disturbances in POLR1D have been studied in relation to leukemias where disrupted transcription processes can contribute to uncontrolled cell proliferation and cancer. POLR1D's role in these diseases highlights its importance in maintaining normal cellular operation and development.

Product protocols

For this product, it's our understanding that no specific protocols are required. You can visit:

Publications (2)

Recent publications for all applications. Explore the full list and refine your search

Journal of cardiothoracic surgery 19:322 PubMed38844975

2024

POLR1D silencing suppresses lung cancer cells proliferation and migration via inhibition of PI3K-Akt pathway.

Applications

Unspecified application

Species

Unspecified reactive species

Zhize Yuan,Yichao Wang,Yong Yang,Xiong Qin

Translational cancer research 9:309-322 PubMed35117185

2020

Up-regulation of FAT4 enhances the chemosensitivity of colorectal cancer cells treated by 5-FU.

Applications

Unspecified application

Species

Unspecified reactive species

Qianyuan Li,Xiukou Zhou,Zhengyu Fang,Zhiyun Pan,Huamiao Zhou
View all publications

Product promise

We are committed to supporting your work with high-quality reagents, and we're here for you every step of the way. In the unlikely event that one of our products does not perform as expected, you're protected by our Product Promise.
For full details, please see our Terms & Conditions

Please note: All products are 'FOR RESEARCH USE ONLY. NOT FOR USE IN DIAGNOSTIC OR THERAPEUTIC PROCEDURES'.

For licensing inquiries, please contact partnerships@abcam.com