JavaScript is disabled in your browser. Please enable JavaScript to view this website.
AB247007

Anti-POLR3A antibody

4

(1 Review)

|

(0 Publication)

Rabbit Polyclonal POLR3A antibody. Suitable for IHC-P, WB, ICC/IF and reacts with Human samples. Immunogen corresponding to Recombinant Fragment Protein within Human POLR3A aa 600-700.

View Alternative Names

DNA-directed RNA polymerase III subunit RPC1, RNA polymerase III subunit C1, DNA-directed RNA polymerase III largest subunit, DNA-directed RNA polymerase III subunit A, RNA polymerase III 155 kDa subunit, RNA polymerase III subunit C160, RPC155, POLR3A

7 Images
Immunocytochemistry/ Immunofluorescence - Anti-POLR3A antibody (AB247007)
  • ICC/IF

Unknown

Immunocytochemistry/ Immunofluorescence - Anti-POLR3A antibody (AB247007)

PFA-fixed, Triton X-100 permeabilized U-2 OS (human bone osteosarcoma epithelial cell line) cells stained for POLR3A (green) using ab247007 at 4 μg/ml in ICC/IF.

Immunohistochemistry (Formalin/PFA-fixed paraffin-embedded sections) - Anti-POLR3A antibody (AB247007)
  • IHC-P

Unknown

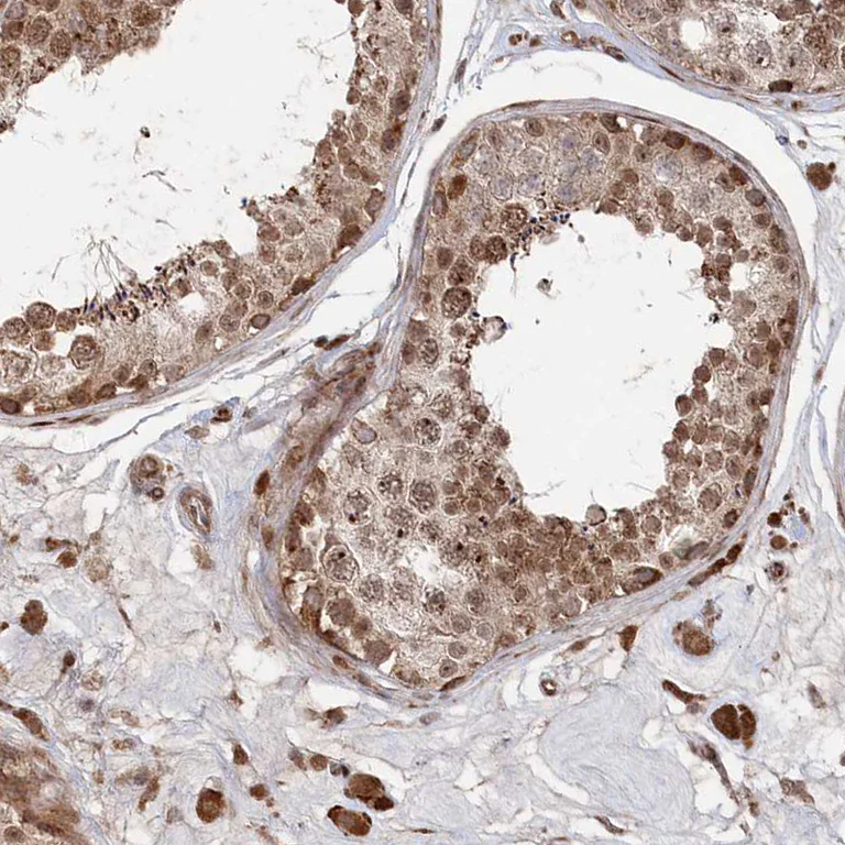
Immunohistochemistry (Formalin/PFA-fixed paraffin-embedded sections) - Anti-POLR3A antibody (AB247007)

Paraffin-embedded human testis tissue stained for POLR3A using ab247007 at 1/200 dilution in immunohistochemical analysis.

Immunohistochemistry (Formalin/PFA-fixed paraffin-embedded sections) - Anti-POLR3A antibody (AB247007)
  • IHC-P

Unknown

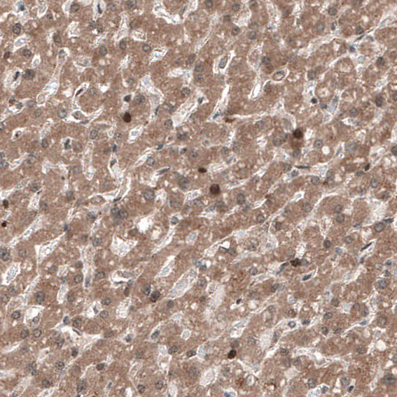
Immunohistochemistry (Formalin/PFA-fixed paraffin-embedded sections) - Anti-POLR3A antibody (AB247007)

Paraffin-embedded human liver tissue stained for POLR3A using ab247007 at 1/200 dilution in immunohistochemical analysis.

Immunohistochemistry (Formalin/PFA-fixed paraffin-embedded sections) - Anti-POLR3A antibody (AB247007)
  • IHC-P

Unknown

Immunohistochemistry (Formalin/PFA-fixed paraffin-embedded sections) - Anti-POLR3A antibody (AB247007)

Paraffin-embedded human cerebral cortex tissue stained for POLR3A using ab247007 at 1/200 dilution in immunohistochemical analysis.

Immunohistochemistry (Formalin/PFA-fixed paraffin-embedded sections) - Anti-POLR3A antibody (AB247007)
  • IHC-P

Unknown

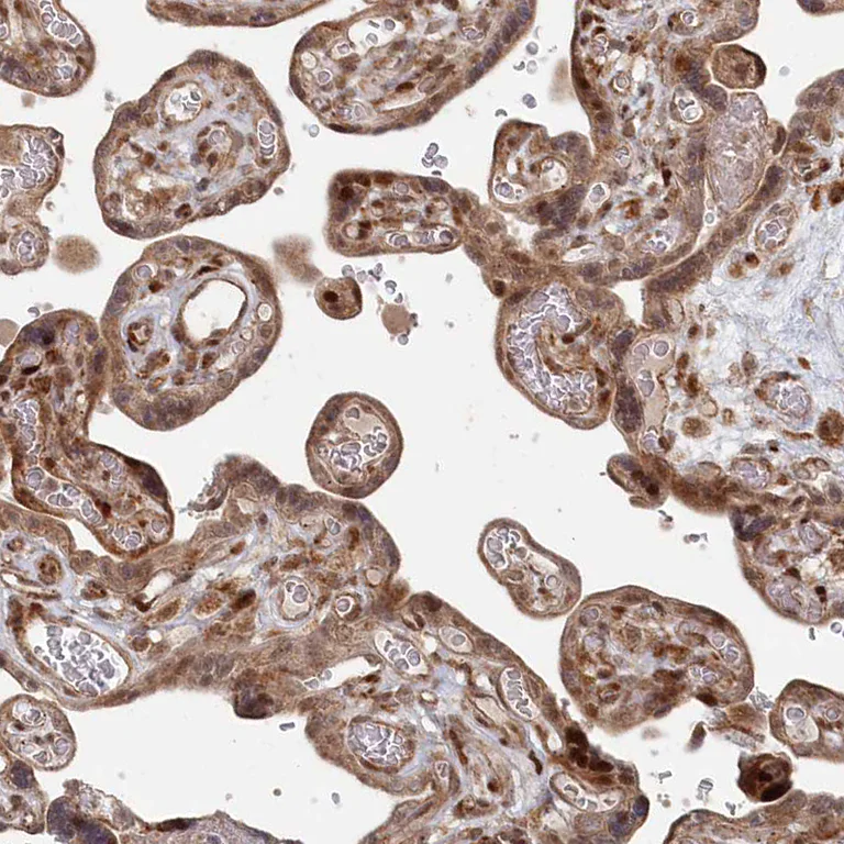
Immunohistochemistry (Formalin/PFA-fixed paraffin-embedded sections) - Anti-POLR3A antibody (AB247007)

Paraffin-embedded human placenta tissue stained for POLR3A using ab247007 at 1/200 dilution in immunohistochemical analysis.

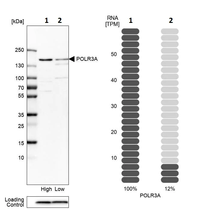
Western blot - Anti-POLR3A antibody (AB247007)
  • WB

Unknown

Western blot - Anti-POLR3A antibody (AB247007)

Corresponding POLR3A RNA-seq data are presented for the same cell lines. Loading control : Anti-COX4I1.

All lanes:

Western blot - Anti-POLR3A antibody (ab247007) at 0.4 µg/mL

Lane 1:

PC-3 whole cell lysate

Lane 2:

MCF7 (human breast adenocarcinoma cell line) whole cell lysate

Predicted band size: 156 kDa

false

Western blot - Anti-POLR3A antibody (AB247007)
  • WB

Unknown

Western blot - Anti-POLR3A antibody (AB247007)

All lanes:

Western blot - Anti-POLR3A antibody (ab247007) at 0.4 µg/mL

All lanes:

PC-3 whole cell lysate

Predicted band size: 156 kDa

false

Key facts

Host species

Rabbit

Clonality

Polyclonal

Isotype

IgG

Carrier free

No

Reacts with

Human

Applications

WB, IHC-P, ICC/IF

applications

Immunogen

Recombinant Fragment Protein within Human POLR3A aa 600-700. The exact immunogen used to generate this antibody is proprietary information.

O14802

Reactivity data

{ "title": "Reactivity Data", "filters": { "stats": ["", "Species", "Dilution Info", "Notes"], "tabs": { "all-applications": {"fullname" : "All Applications", "shortname": "All Applications"}, "IHCP" : {"fullname" : "Immunohistochemistry (Formalin/PFA-fixed paraffin-embedded sections)", "shortname":"IHC-P"}, "WB" : {"fullname" : "Western blot", "shortname":"WB"}, "ICCIF" : {"fullname" : "Immunocytochemistry/ Immunofluorescence", "shortname":"ICC/IF"} }, "product-promise": { "all": "all", "testedAndGuaranteed": "tested", "guaranteed": "expected", "predicted": "predicted", "notRecommended": "not-recommended" } }, "values": { "Human": { "IHCP-species-checked": "testedAndGuaranteed", "IHCP-species-dilution-info": "1/200 - 1/500", "IHCP-species-notes": "<p></p> Perform heat-mediated antigen retrieval with citrate buffer pH 6 before commencing with IHC staining protocol.", "WB-species-checked": "testedAndGuaranteed", "WB-species-dilution-info": "0.04-0.4 µg/mL", "WB-species-notes": "<p></p>", "ICCIF-species-checked": "testedAndGuaranteed", "ICCIF-species-dilution-info": "0.25-2 µg/mL", "ICCIF-species-notes": "<p>Fixation/Permeabilization: PFA/Triton X-100.</p>" }, "Chicken": { "IHCP-species-checked": "predicted", "IHCP-species-dilution-info": "", "IHCP-species-notes": "", "WB-species-checked": "predicted", "WB-species-dilution-info": "", "WB-species-notes": "", "ICCIF-species-checked": "predicted", "ICCIF-species-dilution-info": "", "ICCIF-species-notes": "" }, "Cow": { "IHCP-species-checked": "predicted", "IHCP-species-dilution-info": "", "IHCP-species-notes": "", "WB-species-checked": "predicted", "WB-species-dilution-info": "", "WB-species-notes": "", "ICCIF-species-checked": "predicted", "ICCIF-species-dilution-info": "", "ICCIF-species-notes": "" } } }

Properties and storage information

Form
Liquid
Purification technique
Affinity purification Immunogen
Storage buffer
pH: 7.2 Preservative: 0.02% Sodium azide Constituents: PBS, 40% Glycerol (glycerin, glycerine)
Shipped at conditions
Blue Ice
Appropriate short-term storage duration
1-2 weeks
Appropriate short-term storage conditions
+4°C
Appropriate long-term storage conditions
-20°C
Aliquoting information
Upon delivery aliquot
Storage information
Avoid freeze / thaw cycle

Supplementary information

This supplementary information is collated from multiple sources and compiled automatically.

POLR3A also known as RNA polymerase III subunit A or RPC1 plays an important role in the transcription machinery of eukaryotic cells. It functions as the largest subunit of RNA polymerase III which is responsible for transcribing small non-coding RNAs such as tRNA and 5S rRNA. POLR3A has a molecular mass of approximately 155 kDa and its expression can be detected across various tissues reflecting its essential role in basic cellular functions.
Biological function summary

The primary function of POLR3A involves its role as part of the RNA polymerase III complex. This complex synthesizes tRNA and other small RNAs which are important for protein synthesis and various regulatory processes within the cell. POLR3A must work seamlessly with other subunits in the polymerase III complex to ensure efficient RNA production maintaining proper cellular function and growth.

Pathways

Transcription by POLR3A is vital for synthesis of precursor tRNAs in the transcription pathway. It also plays a part in the immune response pathway known as the cytosolic DNA sensing pathway where POLR3A has been linked to recognition of viral DNA. This involvement indicates a connection with proteins such as RIG-I and MAVS which help mediate responses to pathogenic infections.

Mutations in the POLR3A gene can lead to POLR3-related leukodystrophy a neurological disorder affecting white matter in the brain. Additionally variations in POLR3A have been implicated in certain types of systemic sclerosis an autoimmune disorder. These associations highlight the interplay of POLR3A with disease-related proteins such as POLR3B another subunit in the RNA polymerase III complex which can similarly impact cellular and systemic functions when mutated.

Product protocols

For this product, it's our understanding that no specific protocols are required. You can visit:

Target data

Catalytic core component of RNA polymerase III (Pol III), a DNA-dependent RNA polymerase which synthesizes small non-coding RNAs using the four ribonucleoside triphosphates as substrates. Synthesizes 5S rRNA, snRNAs, tRNAs and miRNAs from at least 500 distinct genomic loci (PubMed : 19609254, PubMed : 19631370, PubMed : 20413673, PubMed : 33335104, PubMed : 33558764, PubMed : 33558766, PubMed : 34675218, PubMed : 35637192, PubMed : 9331371). Pol III-mediated transcription cycle proceeds through transcription initiation, transcription elongation and transcription termination stages. During transcription initiation, Pol III is recruited to DNA promoters type I, II or III with the help of general transcription factors and other specific initiation factors. Once the polymerase has escaped from the promoter it enters the elongation phase during which RNA is actively polymerized, based on complementarity with the template DNA strand. Transcription termination involves the release of the RNA transcript and polymerase from the DNA (PubMed : 20413673, PubMed : 33335104, PubMed : 33558764, PubMed : 33558766, PubMed : 33674783, PubMed : 34675218). Forms Pol III active center together with the second largest subunit POLR3B/RPC2. Appends one nucleotide at a time to the 3' end of the nascent RNA, with POLR3A/RPC1 contributing a Mg(2+)-coordinating DxDGD motif, and POLR3B/RPC2 participating in the coordination of a second Mg(2+) ion and providing lysine residues believed to facilitate Watson-Crick base pairing between the incoming nucleotide and template base. Typically, Mg(2+) ions direct a 5' nucleoside triphosphate to form a phosphodiester bond with the 3' hydroxyl of the preceding nucleotide of the nascent RNA, with the elimination of pyrophosphate (PubMed : 19609254, PubMed : 20413673, PubMed : 33335104, PubMed : 33558764, PubMed : 33674783, PubMed : 34675218, PubMed : 9331371). Pol III plays a key role in sensing and limiting infection by intracellular bacteria and DNA viruses. Acts as a nuclear and cytosolic DNA sensor involved in innate immune response. Can sense non-self dsDNA that serves as template for transcription into dsRNA. The non-self RNA polymerase III transcripts, such as Epstein-Barr virus-encoded RNAs (EBERs) induce type I interferon and NF-kappa-B through the RIG-I pathway.
See full target information POLR3A

Product promise

We are committed to supporting your work with high-quality reagents, and we're here for you every step of the way. In the unlikely event that one of our products does not perform as expected, you're protected by our Product Promise.
For full details, please see our Terms & Conditions

Please note: All products are 'FOR RESEARCH USE ONLY. NOT FOR USE IN DIAGNOSTIC OR THERAPEUTIC PROCEDURES'.

For licensing inquiries, please contact partnerships@abcam.com