JavaScript is disabled in your browser. Please enable JavaScript to view this website.
AB74115

Anti-Polycystin 1/PC1 antibody [7e12]

3

(2 Reviews)

|

(12 Publications)

Mouse Monoclonal Polycystin 1/PC1 antibody. Suitable for IHC-P and reacts with Human samples. Cited in 12 publications.

View Alternative Names

Polycystin-1, PC1, Autosomal dominant polycystic kidney disease 1 protein, PKD1

3 Images
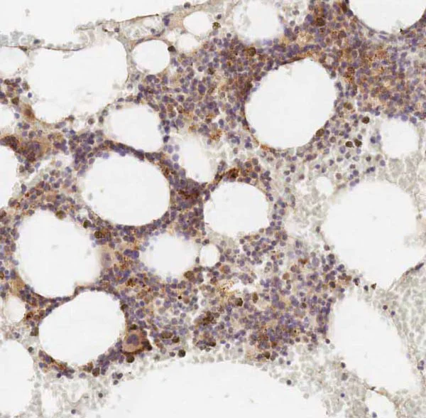
Immunohistochemistry (Formalin/PFA-fixed paraffin-embedded sections) - Anti-Polycystin 1/PC1 antibody [7e12] (AB74115)
  • IHC-P

Supplier Data

Immunohistochemistry (Formalin/PFA-fixed paraffin-embedded sections) - Anti-Polycystin 1/PC1 antibody [7e12] (AB74115)

IHC image of Polycystin 1/PC1 staining in Normal Human Bone Marrow formalin fixed paraffin embedded tissue section*, performed on a Leica Bond™ system using the standard protocol F. The section was pre-treated using heat mediated antigen retrieval with sodium citrate buffer (pH6, epitope retrieval solution 1) for 20 mins. The section was then incubated with ab74115, 5μg/ml, for 15 mins at room temperature and detected using an HRP conjugated compact polymer system. DAB was used as the chromogen. The section was then counterstained with haematoxylin and mounted with DPX.

For other IHC staining systems (automated and non-automated) customers should optimize variable parameters such as antigen retrieval conditions, primary antibody concentration and antibody incubation times.

*Tissue obtained from the Human Research Tissue Bank, supported by the NIHR Cambridge Biomedical Research Centre

Immunohistochemistry (Formalin/PFA-fixed paraffin-embedded sections) - Anti-Polycystin 1/PC1 antibody [7e12] (AB74115)
  • IHC-P

Supplier Data

Immunohistochemistry (Formalin/PFA-fixed paraffin-embedded sections) - Anti-Polycystin 1/PC1 antibody [7e12] (AB74115)

IHC image of Polycystin 1/PC1 staining in Human Normal Liver FFPE section, performed on a BondTM system using the standard protocol F. The section was pre-treated using heat mediated antigen retrieval with sodium citrate buffer (pH6, epitope retrieval solution 1) for 20 mins. The section was then incubated with ab74115, 5μg/ml, for 15 mins at room temperature and detected using an HRP conjugated compact polymer system. DAB was used as the chromogen. The section was then counterstained with haematoxylin and mounted with DPX

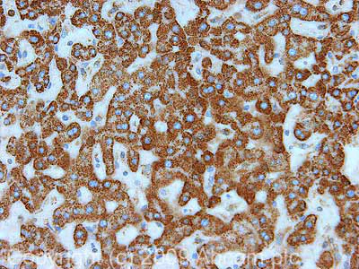
Immunohistochemistry (Formalin/PFA-fixed paraffin-embedded sections) - Anti-Polycystin 1/PC1 antibody [7e12] (AB74115)
  • IHC-P

Supplier Data

Immunohistochemistry (Formalin/PFA-fixed paraffin-embedded sections) - Anti-Polycystin 1/PC1 antibody [7e12] (AB74115)

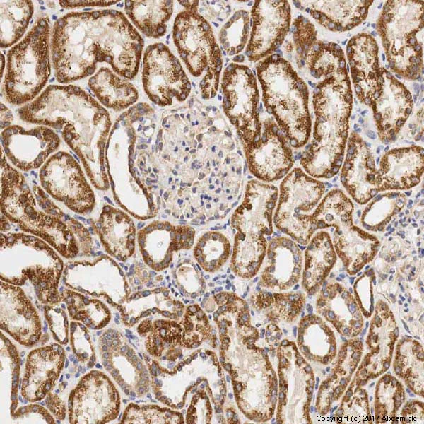
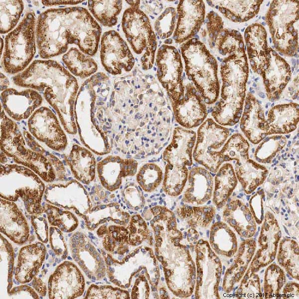
IHC image of Polycystin 1/PC1 staining in a formalin fixed, paraffin embedded normal human kidney tissue section*, performed on a Leica Bond™ system using the standard protocol F. The section was pre-treated using heat mediated antigen retrieval with sodium citrate buffer (pH6, epitope retrieval solution 1) for 20 mins. The section was then incubated with ab74115, 5μg/ml, for 15 mins at room temperature and detected using an HRP conjugated compact polymer system. DAB was used as the chromogen. The section was then counterstained with haematoxylin and mounted with DPX.

For other IHC staining systems (automated and non-automated) customers should optimize variable parameters such as antigen retrieval conditions, primary antibody concentration and antibody incubation times.

*Tissue obtained from the Human Research Tissue Bank, supported by the NIHR Cambridge Biomedical Research Centre

  • Carrier free

    Anti-Polycystin 1/PC1 antibody [7e12] - BSA and Azide free

Key facts

Host species

Mouse

Clonality

Monoclonal

Clone number

7e12

Isotype

IgG1

Light chain type

kappa

Carrier free

No

Reacts with

Human

Applications

IHC-P

applications

Immunogen

The exact immunogen used to generate this antibody is proprietary information.

Epitope

This antibody was produced to the flank-leucine rich repeat-flank region (24-180aa).

Reactivity data

{ "title": "Reactivity Data", "filters": { "stats": ["", "Species", "Dilution Info", "Notes"], "tabs": { "all-applications": {"fullname" : "All Applications", "shortname": "All Applications"}, "FlowCytIntra" : {"fullname" : "Flow Cytometry (Intracellular)", "shortname":"Flow Cyt (Intra)"}, "WB" : {"fullname" : "Western blot", "shortname":"WB"}, "IHCP" : {"fullname" : "Immunohistochemistry (Formalin/PFA-fixed paraffin-embedded sections)", "shortname":"IHC-P"} }, "product-promise": { "all": "all", "testedAndGuaranteed": "tested", "guaranteed": "expected", "predicted": "predicted", "notRecommended": "not-recommended" } }, "values": { "Human": { "FlowCytIntra-species-checked": "notRecommended", "FlowCytIntra-species-dilution-info": "", "FlowCytIntra-species-notes": "<p></p>", "WB-species-checked": "notRecommended", "WB-species-dilution-info": "", "WB-species-notes": "<p></p>", "IHCP-species-checked": "testedAndGuaranteed", "IHCP-species-dilution-info": "5 µg/mL", "IHCP-species-notes": "<p></p>" }, "Mouse": { "FlowCytIntra-species-checked": "notRecommended", "FlowCytIntra-species-dilution-info": "", "FlowCytIntra-species-notes": "", "WB-species-checked": "notRecommended", "WB-species-dilution-info": "", "WB-species-notes": "", "IHCP-species-checked": "predicted", "IHCP-species-dilution-info": "", "IHCP-species-notes": "" }, "Rat": { "FlowCytIntra-species-checked": "notRecommended", "FlowCytIntra-species-dilution-info": "", "FlowCytIntra-species-notes": "", "WB-species-checked": "notRecommended", "WB-species-dilution-info": "", "WB-species-notes": "", "IHCP-species-checked": "predicted", "IHCP-species-dilution-info": "", "IHCP-species-notes": "" } } }

Product details

Want a custom formulation?
This antibody clone is manufactured by Abcam. If you require a custom buffer formulation or conjugation for your experiments, please contact orders@abcam.com

Properties and storage information

Form
Liquid
Purification technique
Affinity purification
Storage buffer
pH: 7.4 Preservative: 0.02% Sodium azide Constituents: PBS
Shipped at conditions
Blue Ice
Appropriate short-term storage conditions
+4°C
Appropriate long-term storage conditions
-20°C
Aliquoting information
Upon delivery aliquot
Storage information
Avoid freeze / thaw cycle

Supplementary information

This supplementary information is collated from multiple sources and compiled automatically.

Polycystin 1 also called PC1 is a large transmembrane protein with a molecular mass of approximately 460 kDa. It primarily expresses in the epithelial cells of renal tubules and also in other tissues like liver and pancreas. PC1 has a role as a mechanosensor and regulates cellular adhesion along with extracellular matrix interactions. It works by forming a complex with another protein known as Polycystin-2 (PC2) and this interaction is important for its function.
Biological function summary

PC1 is involved in processes essential for normal kidney function and development. It is part of a complex that mediates calcium ion entry impacting signaling pathways that regulate cell proliferation differentiation and fluid secretion. This protein's interaction with PC2 through the PC1/PC2 complex is fundamental for its role in these cellular processes. By affecting calcium channels PC1 influences various cell signaling events critical for maintaining cellular homeostasis.

Pathways

PC1 participates in calcium signaling pathways and mechanotransduction. Its role in these pathways links PC1 with the regulation of intracellular calcium levels which is influential in cellular responses to mechanical stimuli. Polycystin-2 is closely associated with PC1 in these pathways as they form a functional polycystin complex that is necessary for these signaling mechanisms.

PC1 is significantly associated with autosomal dominant polycystic kidney disease (ADPKD). Mutations in the PC1 gene (PKD1) lead to cyst formation in kidneys and liver indicating its significant role in pathogenesis. Furthermore interactions between PC1 and PC2 are important as abnormalities in either protein can result in ADPKD. Understanding these interactions and the pathways in which PC1 is involved provides insights into potential therapeutic targets for treating related disorders.

Product protocols

For this product, it's our understanding that no specific protocols are required. You can visit:

Target data

Component of a heteromeric calcium-permeable ion channel formed by PKD1 and PKD2 that is activated by interaction between PKD1 and a Wnt family member, such as WNT3A and WNT9B (PubMed : 27214281). Both PKD1 and PKD2 are required for channel activity (PubMed : 27214281). Involved in renal tubulogenesis (PubMed : 12482949). Involved in fluid-flow mechanosensation by the primary cilium in renal epithelium (By similarity). Acts as a regulator of cilium length, together with PKD2 (By similarity). The dynamic control of cilium length is essential in the regulation of mechanotransductive signaling (By similarity). The cilium length response creates a negative feedback loop whereby fluid shear-mediated deflection of the primary cilium, which decreases intracellular cAMP, leads to cilium shortening and thus decreases flow-induced signaling (By similarity). May be an ion-channel regulator. Involved in adhesive protein-protein and protein-carbohydrate interactions. Likely to be involved with polycystin-1-interacting protein 1 in the detection, sequestration and exocytosis of senescent mitochondria (PubMed : 37681898).
See full target information PKD1

Publications (12)

Recent publications for all applications. Explore the full list and refine your search

The Journal of biological chemistry 296:100680 PubMed33872598

2021

Nonredundant roles of DIAPHs in primary ciliogenesis.

Applications

Unspecified application

Species

Unspecified reactive species

Oliva Palander,Adam Lam,Richard F Collins,Theo J Moraes,William S Trimble

Pharmaceuticals (Basel, Switzerland) 13: PubMed33138224

2020

IGF1R and MAPK15 Emerge as Potential Targets of Pentabromobenzylisothioureas in Lung Neuroendocrine Neoplasms.

Applications

Unspecified application

Species

Unspecified reactive species

Ewelina Motylewska,Marcin Braun,Zygmunt Kazimierczuk,Hanna Ławnicka,Henryk Stępień

International heart journal 60:220-225 PubMed30464138

2018

Old-Age Onset Progressive Cardiac Contractile Dysfunction in a Patient with Polycystic Kidney Disease Harboring a PKD1 Frameshift Mutation.

Applications

Unspecified application

Species

Unspecified reactive species

Yoshinobu Suwa,Shuichiro Higo,Kei Nakamoto,Fusako Sera,Suzuka Kunimatsu,Yuki Masumura,Machiko Kanzaki,Isamu Mizote,Hiroya Mizuno,Yasushi Fujio,Shungo Hikoso,Yasushi Sakata

Nature genetics 49:1025-1034 PubMed28530676

2017

Mutations in DZIP1L, which encodes a ciliary-transition-zone protein, cause autosomal recessive polycystic kidney disease.

Applications

Unspecified application

Species

Unspecified reactive species

Hao Lu,Maria C Rondón Galeano,Elisabeth Ott,Geraldine Kaeslin,P Jaya Kausalya,Carina Kramer,Nadina Ortiz-Brüchle,Nadescha Hilger,Vicki Metzis,Milan Hiersche,Shang Yew Tay,Robert Tunningley,Shubha Vij,Andrew D Courtney,Belinda Whittle,Elke Wühl,Udo Vester,Björn Hartleben,Steffen Neuber,Valeska Frank,Melissa H Little,Daniel Epting,Peter Papathanasiou,Andrew C Perkins,Graham D Wright,Walter Hunziker,Heon Yung Gee,Edgar A Otto,Klaus Zerres,Friedhelm Hildebrandt,Sudipto Roy,Carol Wicking,Carsten Bergmann

Cell proliferation 41:554-73 PubMed18422703

2008

Novel role for polycystin-1 in modulating cell proliferation through calcium oscillations in kidney cells.

Applications

Unspecified application

Species

Unspecified reactive species

G Aguiari,V Trimi,M Bogo,A Mangolini,G Szabadkai,P Pinton,R Witzgall,P C Harris,P A Borea,R Rizzuto,L del Senno

American journal of physiology. Renal physiology 292:F930-45 PubMed17090781

2006

Human ADPKD primary cyst epithelial cells with a novel, single codon deletion in the PKD1 gene exhibit defective ciliary polycystin localization and loss of flow-induced Ca2+ signaling.

Applications

Unspecified application

Species

Unspecified reactive species

Chang Xu,Sandro Rossetti,Lianwei Jiang,Peter C Harris,Ursa Brown-Glaberman,Angela Wandinger-Ness,Robert Bacallao,Seth L Alper

Journal of the American Society of Nephrology : JASN 14:1804-15 PubMed12819240

2003

Functional analysis of PKD1 transgenic lines reveals a direct role for polycystin-1 in mediating cell-cell adhesion.

Applications

Unspecified application

Species

Unspecified reactive species

Andrew J Streets,Linda J Newby,Michael J O'Hare,Nikolay O Bukanov,Oxana Ibraghimov-Beskrovnaya,Albert C M Ong

The Journal of biological chemistry 277:20763-73 PubMed11901144

2002

Identification, characterization, and localization of a novel kidney polycystin-1-polycystin-2 complex.

Applications

Unspecified application

Species

Unspecified reactive species

Linda J Newby,Andrew J Streets,Yan Zhao,Peter C Harris,Christopher J Ward,Albert C M Ong

The Journal of biological chemistry 277:11276-83 PubMed11786542

2002

Constitutive activation of G-proteins by polycystin-1 is antagonized by polycystin-2.

Applications

Unspecified application

Species

Unspecified reactive species

Patrick Delmas,Hideki Nomura,Xiaogang Li,Montaha Lakkis,Ying Luo,Yoav Segal,Jose M Fernández-Fernández,Peter Harris,Anna-Maria Frischauf,David A Brown,Jing Zhou

Human molecular genetics 9:2617-27 PubMed11063721

2000

A human PKD1 transgene generates functional polycystin-1 in mice and is associated with a cystic phenotype.

Applications

Unspecified application

Species

Unspecified reactive species

L Pritchard,J A Sloane-Stanley,J A Sharpe,R Aspinwall,W Lu,V Buckle,L Strmecki,D Walker,C J Ward,C E Alpers,J Zhou,W G Wood,P C Harris
View all publications

Product promise

We are committed to supporting your work with high-quality reagents, and we're here for you every step of the way. In the unlikely event that one of our products does not perform as expected, you're protected by our Product Promise.
For full details, please see our Terms & Conditions

Please note: All products are 'FOR RESEARCH USE ONLY. NOT FOR USE IN DIAGNOSTIC OR THERAPEUTIC PROCEDURES'.

For licensing inquiries, please contact partnerships@abcam.com