JavaScript is disabled in your browser. Please enable JavaScript to view this website.
AB203240

Anti-Polycystin 1/PC1 antibody

Be the first to review this product! Submit a review

|

(0 Publication)

Rabbit Polyclonal Polycystin 1/PC1 antibody. Suitable for IHC-P and reacts with Human samples. Immunogen corresponding to Synthetic Peptide within Human PKD1 aa 100-200 conjugated to Keyhole Limpet Haemocyanin.

View Alternative Names

Polycystin-1, PC1, Autosomal dominant polycystic kidney disease 1 protein, PKD1

1 Images
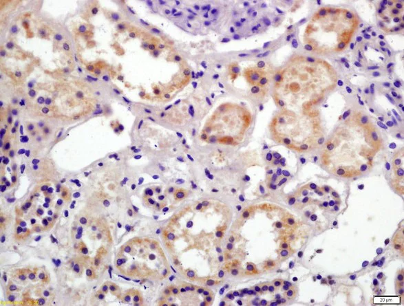
Immunohistochemistry (Formalin/PFA-fixed paraffin-embedded sections) - Anti-Polycystin 1/PC1 antibody (AB203240)
  • IHC-P

Supplier Data

Immunohistochemistry (Formalin/PFA-fixed paraffin-embedded sections) - Anti-Polycystin 1/PC1 antibody (AB203240)

Immunohistochemical analysis of formalin-fixed and paraffin embedded Human kidney tissue labeling Polycystin 1/PC1 using ab203240 at 1/200 dilution, followed by conjugation to the secondary antibody and DAB staining.

Key facts

Host species

Rabbit

Clonality

Polyclonal

Isotype

IgG

Carrier free

No

Reacts with

Human

Applications

IHC-P

applications

Immunogen

Synthetic Peptide within Human PKD1 aa 100-200 conjugated to Keyhole Limpet Haemocyanin. The exact immunogen used to generate this antibody is proprietary information.

P98161

Reactivity data

{ "title": "Reactivity Data", "filters": { "stats": ["", "Species", "Dilution Info", "Notes"], "tabs": { "all-applications": {"fullname" : "All Applications", "shortname": "All Applications"}, "IHCP" : {"fullname" : "Immunohistochemistry (Formalin/PFA-fixed paraffin-embedded sections)", "shortname":"IHC-P"} }, "product-promise": { "all": "all", "testedAndGuaranteed": "tested", "guaranteed": "expected", "predicted": "predicted", "notRecommended": "not-recommended" } }, "values": { "Human": { "IHCP-species-checked": "testedAndGuaranteed", "IHCP-species-dilution-info": "1/100.00000 - 1/500.00000", "IHCP-species-notes": "<p>When using a fluorescent probe the recommended dilution is 1/50 – 1/200.</p>" } } }

Properties and storage information

Form
Liquid
Purification technique
Affinity purification Protein A
Storage buffer
pH: 7.4 Preservative: 0.02% Proclin 300 Constituents: 50% Glycerol (glycerin, glycerine), 48.98% TBS, 1X, 1% BSA
Shipped at conditions
Blue Ice
Appropriate short-term storage duration
1-2 weeks
Appropriate short-term storage conditions
+4°C
Appropriate long-term storage conditions
-20°C
Aliquoting information
Upon delivery aliquot
Storage information
Avoid freeze / thaw cycle

Supplementary information

This supplementary information is collated from multiple sources and compiled automatically.

Polycystin 1 also called PC1 is a large transmembrane protein with a molecular mass of approximately 460 kDa. It primarily expresses in the epithelial cells of renal tubules and also in other tissues like liver and pancreas. PC1 has a role as a mechanosensor and regulates cellular adhesion along with extracellular matrix interactions. It works by forming a complex with another protein known as Polycystin-2 (PC2) and this interaction is important for its function.
Biological function summary

PC1 is involved in processes essential for normal kidney function and development. It is part of a complex that mediates calcium ion entry impacting signaling pathways that regulate cell proliferation differentiation and fluid secretion. This protein's interaction with PC2 through the PC1/PC2 complex is fundamental for its role in these cellular processes. By affecting calcium channels PC1 influences various cell signaling events critical for maintaining cellular homeostasis.

Pathways

PC1 participates in calcium signaling pathways and mechanotransduction. Its role in these pathways links PC1 with the regulation of intracellular calcium levels which is influential in cellular responses to mechanical stimuli. Polycystin-2 is closely associated with PC1 in these pathways as they form a functional polycystin complex that is necessary for these signaling mechanisms.

PC1 is significantly associated with autosomal dominant polycystic kidney disease (ADPKD). Mutations in the PC1 gene (PKD1) lead to cyst formation in kidneys and liver indicating its significant role in pathogenesis. Furthermore interactions between PC1 and PC2 are important as abnormalities in either protein can result in ADPKD. Understanding these interactions and the pathways in which PC1 is involved provides insights into potential therapeutic targets for treating related disorders.

Product protocols

For this product, it's our understanding that no specific protocols are required. You can visit:

Target data

Component of a heteromeric calcium-permeable ion channel formed by PKD1 and PKD2 that is activated by interaction between PKD1 and a Wnt family member, such as WNT3A and WNT9B (PubMed : 27214281). Both PKD1 and PKD2 are required for channel activity (PubMed : 27214281). Involved in renal tubulogenesis (PubMed : 12482949). Involved in fluid-flow mechanosensation by the primary cilium in renal epithelium (By similarity). Acts as a regulator of cilium length, together with PKD2 (By similarity). The dynamic control of cilium length is essential in the regulation of mechanotransductive signaling (By similarity). The cilium length response creates a negative feedback loop whereby fluid shear-mediated deflection of the primary cilium, which decreases intracellular cAMP, leads to cilium shortening and thus decreases flow-induced signaling (By similarity). May be an ion-channel regulator. Involved in adhesive protein-protein and protein-carbohydrate interactions. Likely to be involved with polycystin-1-interacting protein 1 in the detection, sequestration and exocytosis of senescent mitochondria (PubMed : 37681898).
See full target information PKD1

Product promise

We are committed to supporting your work with high-quality reagents, and we're here for you every step of the way. In the unlikely event that one of our products does not perform as expected, you're protected by our Product Promise.
For full details, please see our Terms & Conditions

Associated Products

Select an associated product type
Alternative Product
Primary Antibodies

AB223673

Anti-Polycystin 1/PC1 antibody - C-terminal

primary-antibodies

polycystin-1-pc1-antibody-c-terminal-ab223673

0

(0 reviews)

Alternative Product
Primary Antibodies

AB74115

Anti-Polycystin 1/PC1 antibody [7e12]

primary-antibodies

polycystin-1-pc1-antibody-7e12-ab74115

3

(2 reviews)

Alternative Product
Primary Antibodies

AB238662

Anti-Polycystin 1/PC1 antibody [7e12] - BSA and Azide free

primary-antibodies

polycystin-1-pc1-antibody-7e12-bsa-and-azide-free-ab238662

0

(0 reviews)

Alternative Product
Primary Antibodies

AB235963

Anti-Polycystin 1/PC1 antibody

primary-antibodies

polycystin-1-pc1-antibody-ab235963

0

(0 reviews)

Please note: All products are 'FOR RESEARCH USE ONLY. NOT FOR USE IN DIAGNOSTIC OR THERAPEUTIC PROCEDURES'.

For licensing inquiries, please contact partnerships@abcam.com