JavaScript is disabled in your browser. Please enable JavaScript to view this website.
AB275030

Anti-Polymeric immunoglobulin receptor/PIGR antibody [EPR23314-256] - BSA and Azide free

Be the first to review this product! Submit a review

|

(0 Publication)

Rabbit Recombinant Monoclonal Polymeric immunoglobulin receptor/PIGR antibody. Carrier free. Suitable for IP, WB, IHC-P and reacts with Human samples.

View Alternative Names

Polymeric immunoglobulin receptor, PIgR, Poly-Ig receptor, Hepatocellular carcinoma-associated protein TB6, PIGR

6 Images
Immunohistochemistry (Formalin/PFA-fixed paraffin-embedded sections) - Anti-Polymeric immunoglobulin receptor/PIGR antibody [EPR23314-256] - BSA and Azide free (AB275030)
  • IHC-P

Unknown

Immunohistochemistry (Formalin/PFA-fixed paraffin-embedded sections) - Anti-Polymeric immunoglobulin receptor/PIGR antibody [EPR23314-256] - BSA and Azide free (AB275030)

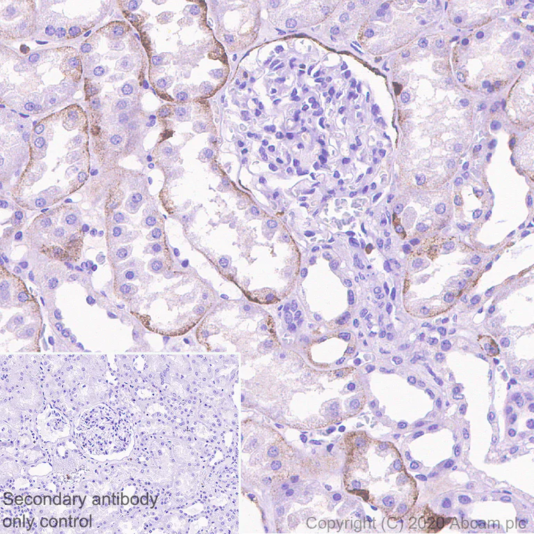
This data was developed using ab275020, the same antibody clone in a different buffer formulation.

Immunohistochemical analysis of paraffin-embedded Human kidney tissue labeling Polymeric immunoglobulin receptor/PIGR with ab275020 at 1/100 dilution followed by a ready to use Rabbit specific IHC polymer detection kit HRP/DAB (ab209101). Cytoplasmic staining on human kidney (PMID : 31404540). The section was incubated with ab275020 for 30 mins at room temperature. The immunostaining was performed on a Leica Biosystems BOND® RX instrument. Counterstained with Hematoxylin.

Secondary antibody only control : Secondary antibody is a ready to use Rabbit specific IHC polymer detection kit HRP/DAB (ab209101).

Heat mediated antigen retrieval with Tris-EDTA buffer (pH 9.0, epitope retrieval solution2) for 20 mins.

Immunohistochemistry (Formalin/PFA-fixed paraffin-embedded sections) - Anti-Polymeric immunoglobulin receptor/PIGR antibody [EPR23314-256] - BSA and Azide free (AB275030)
  • IHC-P

Unknown

Immunohistochemistry (Formalin/PFA-fixed paraffin-embedded sections) - Anti-Polymeric immunoglobulin receptor/PIGR antibody [EPR23314-256] - BSA and Azide free (AB275030)

This data was developed using ab275020, the same antibody clone in a different buffer formulation.

Immunohistochemical analysis of paraffin-embedded Human colon carcinoma tissue labeling Polymeric immunoglobulin receptor/PIGR with ab275020 at 1/100 dilution followed by a ready to use Rabbit specific IHC polymer detection kit HRP/DAB (ab209101). Cytoplasmic staining on human colon carcinoma (PMID : 19338768). The section was incubated with ab275020 for 30 mins at room temperature. The immunostaining was performed on a Leica Biosystems BOND® RX instrument Counterstained with Hematoxylin.

Secondary antibody only control : Secondary antibody is a ready to use Rabbit specific IHC polymer detection kit HRP/DAB (ab209101).

Heat mediated antigen retrieval with Tris-EDTA buffer (pH 9.0, epitope retrieval solution2) for 20 mins.

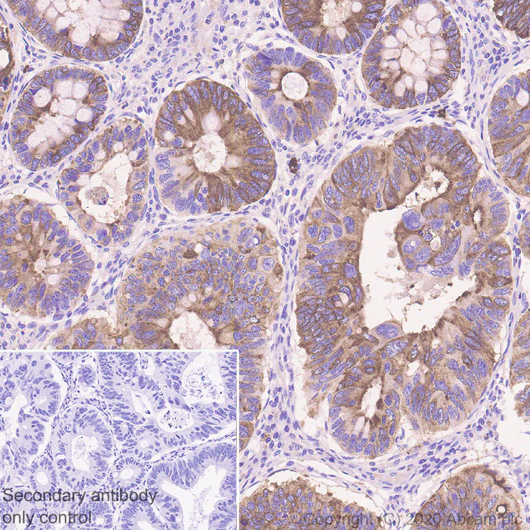
Immunohistochemistry (Formalin/PFA-fixed paraffin-embedded sections) - Anti-Polymeric immunoglobulin receptor/PIGR antibody [EPR23314-256] - BSA and Azide free (AB275030)
  • IHC-P

Unknown

Immunohistochemistry (Formalin/PFA-fixed paraffin-embedded sections) - Anti-Polymeric immunoglobulin receptor/PIGR antibody [EPR23314-256] - BSA and Azide free (AB275030)

This data was developed using ab275020, the same antibody clone in a different buffer formulation.

Immunohistochemical analysis of paraffin-embedded Human colon tissue labeling Polymeric immunoglobulin receptor/PIGR with ab275020 at 1/100 dilution followed by a ready to use Rabbit specific IHC polymer detection kit HRP/DAB (ab209101). Cytoplasmic staining on human colonic mucosa (PMID : 19338768). The section was incubated with ab275020 for 30 mins at room temperature. The immunostaining was performed on a Leica Biosystems BOND® RX instrument Counterstained with Hematoxylin.

Secondary antibody only control : Secondary antibody is a ready to use Rabbit specific IHC polymer detection kit HRP/DAB (ab209101).

Heat mediated antigen retrieval with Tris-EDTA buffer (pH 9.0, epitope retrieval solution2) for 20 mins.

Immunoprecipitation - Anti-Polymeric immunoglobulin receptor/PIGR antibody [EPR23314-256] - BSA and Azide free (AB275030)
  • IP

Unknown

Immunoprecipitation - Anti-Polymeric immunoglobulin receptor/PIGR antibody [EPR23314-256] - BSA and Azide free (AB275030)

This data was developed using ab275020, the same antibody clone in a different buffer formulation.

Polymeric immunoglobulin receptor/PIGR was immunoprecipitated from 0.35 mg Human colon tissue lysate with ab275020 at 1/30 dilution (2ug in 0.35mg lysates). Western blot was performed on the immunoprecipitate using ab275020 at 1/1000 dilution. VeriBlot for IP Detection Reagent (HRP)(ab131366) was used at 1/5000 dilution.

Lane 1 : Human colon tissue lysate 10 ug

Lane 2 : ab275020 IP in Human colon tissue lysate

Lane 3 : Rabbit monoclonal IgG (ab172730) instead of ab275020 in human colon tissue lysate

Blocking and dilution buffer and concentration : 5% NFDM/TBST.

Exposure time : 3 seconds.

All lanes:

Immunoprecipitation - Anti-Polymeric immunoglobulin receptor/PIGR antibody [EPR23314-256] (<a href='/en-us/products/primary-antibodies/polymeric-immunoglobulin-receptor-pigr-antibody-epr23314-256-ab275020'>ab275020</a>)

Predicted band size: 83 kDa

Observed band size: 85-100 kDa

false

Western blot - Anti-Polymeric immunoglobulin receptor/PIGR antibody [EPR23314-256] - BSA and Azide free (AB275030)
  • WB

Supplier Data

Western blot - Anti-Polymeric immunoglobulin receptor/PIGR antibody [EPR23314-256] - BSA and Azide free (AB275030)

This data was developed using ab275020, the same antibody clone in a different buffer formulation.

Blocking and dilution buffer : 5% NFDM/TBST.

Exposure time : 10 seconds.

Low expression cell line : A549 (PMID : 21965228).

All lanes:

Western blot - Anti-Polymeric immunoglobulin receptor/PIGR antibody [EPR23314-256] (<a href='/en-us/products/primary-antibodies/polymeric-immunoglobulin-receptor-pigr-antibody-epr23314-256-ab275020'>ab275020</a>) at 1/1000 dilution

Lane 1:

Human colon tissue lysate at 20 µg

Lane 2:

Human colon cancer tissue lysate at 20 µg

Lane 3:

A549 (human lung carcinoma epithelial cell) whole cell lysate at 20 µg

Secondary

All lanes:

VeriBlot for IP secondary antibody(HRP)(<a href='/en-us/products/reagents/veriblot-for-ip-detection-reagent-hrp-ab131366'>ab131366</a>) at 1/1000 dilution

Predicted band size: 83 kDa

Observed band size: 85-100 kDa

false

Western blot - Anti-Polymeric immunoglobulin receptor/PIGR antibody [EPR23314-256] - BSA and Azide free (AB275030)
  • WB

Supplier Data

Western blot - Anti-Polymeric immunoglobulin receptor/PIGR antibody [EPR23314-256] - BSA and Azide free (AB275030)

This data was developed using ab275020, the same antibody clone in a different buffer formulation.

Blocking and dilution buffer : 5% NFDM/TBST.

Exposure time : 6 seconds.

All lanes:

Western blot - Anti-Polymeric immunoglobulin receptor/PIGR antibody [EPR23314-256] (<a href='/en-us/products/primary-antibodies/polymeric-immunoglobulin-receptor-pigr-antibody-epr23314-256-ab275020'>ab275020</a>) at 1/1000 dilution

All lanes:

His-tagged recombinant human Polymeric immunoglobulin receptor/PIGR protein 10 ng

Secondary

All lanes:

Goat Anti-Rabbit IgG, (H+L), Peroxidase conjugated (<a href='/en-us/products/secondary-antibodies/goat-rabbit-igg-h-l-hrp-ab97051'>ab97051</a>) at 1/100000 dilution

Predicted band size: 83 kDa

false

Key facts

Host species

Rabbit

Clonality

Monoclonal

Clone number

EPR23314-256

Isotype

IgG

Carrier free

Yes

Reacts with

Human

Applications

IP, WB, IHC-P

applications

Immunogen

The exact immunogen used to generate this antibody is proprietary information.

Reactivity data

{ "title": "Reactivity Data", "filters": { "stats": ["", "Species", "Dilution Info", "Notes"], "tabs": { "all-applications": {"fullname" : "All Applications", "shortname": "All Applications"}, "ICCIF" : {"fullname" : "Immunocytochemistry/ Immunofluorescence", "shortname":"ICC/IF"}, "IP" : {"fullname" : "Immunoprecipitation", "shortname":"IP"}, "FlowCyt" : {"fullname" : "Flow Cytometry", "shortname":"Flow Cyt"}, "WB" : {"fullname" : "Western blot", "shortname":"WB"}, "IHCP" : {"fullname" : "Immunohistochemistry (Formalin/PFA-fixed paraffin-embedded sections)", "shortname":"IHC-P"} }, "product-promise": { "all": "all", "testedAndGuaranteed": "tested", "guaranteed": "expected", "predicted": "predicted", "notRecommended": "not-recommended" } }, "values": { "Human": { "ICCIF-species-checked": "notRecommended", "ICCIF-species-dilution-info": "", "ICCIF-species-notes": "<p></p>", "IP-species-checked": "testedAndGuaranteed", "IP-species-dilution-info": "", "IP-species-notes": "<p></p>", "FlowCyt-species-checked": "notRecommended", "FlowCyt-species-dilution-info": "", "FlowCyt-species-notes": "<p></p>", "WB-species-checked": "testedAndGuaranteed", "WB-species-dilution-info": "", "WB-species-notes": "<p></p>", "IHCP-species-checked": "testedAndGuaranteed", "IHCP-species-dilution-info": "", "IHCP-species-notes": "<p></p>" }, "Mouse": { "ICCIF-species-checked": "notRecommended", "ICCIF-species-dilution-info": "", "ICCIF-species-notes": "", "IP-species-checked": "notRecommended", "IP-species-dilution-info": "", "IP-species-notes": "", "FlowCyt-species-checked": "notRecommended", "FlowCyt-species-dilution-info": "", "FlowCyt-species-notes": "", "WB-species-checked": "notRecommended", "WB-species-dilution-info": "", "WB-species-notes": "<p></p>", "IHCP-species-checked": "notRecommended", "IHCP-species-dilution-info": "", "IHCP-species-notes": "<p></p>" }, "Rat": { "ICCIF-species-checked": "notRecommended", "ICCIF-species-dilution-info": "", "ICCIF-species-notes": "", "IP-species-checked": "notRecommended", "IP-species-dilution-info": "", "IP-species-notes": "", "FlowCyt-species-checked": "notRecommended", "FlowCyt-species-dilution-info": "", "FlowCyt-species-notes": "", "WB-species-checked": "notRecommended", "WB-species-dilution-info": "", "WB-species-notes": "<p></p>", "IHCP-species-checked": "notRecommended", "IHCP-species-dilution-info": "", "IHCP-species-notes": "<p></p>" } } }

Product details

This antibody (ab275030, clone EPR23314-256) is a different clone to ab273512 (clone EPR23314-78).

ab275030 is the carrier-free version of ab275020.

Patented technology
Our RabMAb® technology is a patented hybridoma-based technology for making rabbit monoclonal antibodies. For details on our patents, please refer to RabMAb® patents.

What are the advantages of a recombinant monoclonal antibody?
This product is a recombinant monoclonal antibody, which offers several advantages including:

  • - High batch-to-batch consistency and reproducibility
  • - Improved sensitivity and specificity
  • - Long-term security of supply
  • - Animal-free batch production

For more information, read more on recombinant antibodies.

Conjugation ready
Our carrier-free antibodies are typically supplied in a PBS-only formulation, purified and free of BSA, sodium azide and glycerol. This conjugation-ready format is designed for use with fluorochromes, metal isotopes, oligonucleotides, and enzymes, which makes them ideal for antibody labelling, functional and cell-based assays, flow-based assays (e.g. mass cytometry) and Multiplex Imaging applications.

Use our conjugation kits for antibody conjugates that are ready-to-use in as little as 20 minutes with 1 minute hands-on-time and 100% antibody recovery: available for fluorescent dyes, HRP, biotin and gold.

Compatibility
This product is compatible with the Maxpar® Antibody Labeling Kit from Fluidigm, without the need for antibody preparation. Maxpar® is a trademark of Fluidigm Canada Inc.

Properties and storage information

Form
Liquid
Purification technique
Affinity purification Protein A
Storage buffer
Constituents: PBS
Shipped at conditions
Blue Ice
Appropriate short-term storage conditions
+4°C
Appropriate long-term storage conditions
+4°C
Storage information
Do Not Freeze

Supplementary information

This supplementary information is collated from multiple sources and compiled automatically.

The polymeric immunoglobulin receptor often referred to as PIGR or the polymeric Ig receptor is a critical component in the immune system. This protein which has a mass of approximately 83 kDa is expressed primarily on the basolateral surface of epithelial cells. Common expression sites include the respiratory gastrointestinal and genital tracts. PIGR facilitates the transcytosis of polymeric immunoglobulins like IgA and IgM across epithelial cells ensuring that these antibodies reach mucosal sites where they perform functions.
Biological function summary

The polymeric immunoglobulin receptor plays an essential role in mucosal immunity by transporting IgA and IgM antibodies to mucosal surfaces. The PIGR is a part of a complex that includes the secretory component which protects immunoglobulins from proteolytic degradation. This mechanism is fundamental for safeguarding mucosal surfaces while allowing the immune system to respond swiftly to pathogens.

Pathways

The interaction of PIGR with polymeric immunoglobulins is an important event in the mucosal immune pathway. This pathway is important in maintaining mucosal homeostasis and pathogen defense. PIGR works closely with immunoglobulin proteins like IgA and IgM enabling their rapid and efficient transport across epithelial barriers. This ensures that the immune system rapidly addresses potential threats at mucosal sites.

Defects in PIGR function can lead to conditions like IgA nephropathy and selective IgA deficiency. These disorders highlight the importance of the polymeric Ig receptor in immune health and suggest its role in maintaining immunoglobulin balance. There is evidence suggesting potential connections between PIGR dysfunction and the proteins involved in immune regulation which helps in understanding how PIGR contributes to disease pathology.

Product protocols

For this product, it's our understanding that no specific protocols are required. You can visit:

Target data

Polymeric immunoglobulin receptor. Mediates selective transcytosis of polymeric IgA and IgM across mucosal epithelial cells. Binds polymeric IgA and IgM at the basolateral surface of epithelial cells. The complex is then transported across the cell to be secreted at the apical surface. During this process, a cleavage occurs that separates the extracellular (known as the secretory component) from the transmembrane segment.. Secretory component. Through its N-linked glycans ensures anchoring of secretory IgA (sIgA) molecules to mucus lining the epithelial surface to neutralize extracellular pathogens (PubMed : 12150896). On its own (free form) may act as a non-specific microbial scavenger to prevent pathogen interaction with epithelial cells (PubMed : 16543244).
See full target information PIGR

Product promise

We are committed to supporting your work with high-quality reagents, and we're here for you every step of the way. In the unlikely event that one of our products does not perform as expected, you're protected by our Product Promise.
For full details, please see our Terms & Conditions

Please note: All products are 'FOR RESEARCH USE ONLY. NOT FOR USE IN DIAGNOSTIC OR THERAPEUTIC PROCEDURES'.

For licensing inquiries, please contact partnerships@abcam.com