JavaScript is disabled in your browser. Please enable JavaScript to view this website.
AB307450

Anti-Polyoma virus, Large T antigen antibody [CM2B4]

Be the first to review this product! Submit a review

|

(0 Publication)

Mouse Recombinant Monoclonal Large T antigen antibody. Suitable for WB, IHC-P and reacts with Merkel cell polyomavirus samples.
4 Images
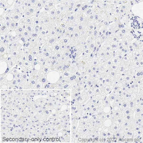
Immunohistochemistry (Formalin/PFA-fixed paraffin-embedded sections) - Anti-Polyoma virus, Large T antigen antibody [CM2B4] (AB307450)
  • IHC-P

Supplier Data

Immunohistochemistry (Formalin/PFA-fixed paraffin-embedded sections) - Anti-Polyoma virus, Large T antigen antibody [CM2B4] (AB307450)

Immunohistochemical analysis of paraffin-embedded human liver tissue labeling Polyoma virus, Large T antigen with ab307450 at 1/2000 (0.2115 ug/ml) followed by a ready to use LeicaDS9800 (Bond™ Polymer Refine Detection). Negative control : No staining on human liver. The section was incubated with ab307450 for 15 mins at room temperature. The immunostaining was performed on a Leica Biosystems BOND® RX instrument. Counterstained with Hematoxylin. Secondary antibody only control : Secondary antibody is a ready to use LeicaDS9800 (Bond™ Polymer Refine Detection). Heat mediated antigen retrieval was performed with Citrate buffer (pH 6.0, Epitope Retrieval Solution 1) for 20 mins.

Immunohistochemistry (Formalin/PFA-fixed paraffin-embedded sections) - Anti-Polyoma virus, Large T antigen antibody [CM2B4] (AB307450)
  • IHC-P

Supplier Data

Immunohistochemistry (Formalin/PFA-fixed paraffin-embedded sections) - Anti-Polyoma virus, Large T antigen antibody [CM2B4] (AB307450)

Immunohistochemical analysis of paraffin-embedded 293T cells labeling Polyoma virus, Large T antigen with ab307450 at 1/2000 (0.2115 ug/ml) followed by a ready to use LeicaDS9800 (Bond™ Polymer Refine Detection). Negative control : No staining on 293T cells. The section was incubated with ab307450 for 15 mins at room temperature. The immunostaining was performed on a Leica Biosystems BOND® RX instrument. Counterstained with Hematoxylin. Heat mediated antigen retrieval was performed with Citrate buffer (pH 6.0, Epitope Retrieval Solution 1) for 20 mins.

Immunohistochemistry (Formalin/PFA-fixed paraffin-embedded sections) - Anti-Polyoma virus, Large T antigen antibody [CM2B4] (AB307450)
  • IHC-P

Supplier Data

Immunohistochemistry (Formalin/PFA-fixed paraffin-embedded sections) - Anti-Polyoma virus, Large T antigen antibody [CM2B4] (AB307450)

Immunohistochemical analysis of paraffin-embedded MLK-1 cells labeling Polyoma virus, Large T antigen with ab307450 at 1/2000 (0.2115 ug/ml) followed by a ready to use LeicaDS9800 (Bond™ Polymer Refine Detection). Positive staining on MLK-1 cells. The section was incubated with ab307450 for 15 mins at room temperature. The immunostaining was performed on a Leica Biosystems BOND® RX instrument. Counterstained with Hematoxylin. Secondary antibody only control : Secondary antibody is a ready to use LeicaDS9800 (Bond™ Polymer Refine Detection). Heat mediated antigen retrieval was performed with Citrate buffer (pH 6.0, Epitope Retrieval Solution 1) for 20 mins.

Western blot - Anti-Polyoma virus, Large T antigen antibody [CM2B4] (AB307450)
  • WB

Supplier Data

Western blot - Anti-Polyoma virus, Large T antigen antibody [CM2B4] (AB307450)

Negative control : 293T (PMID : 20444890). The expression profile is consistent with what has been described in the literature (PMID : 20444890). This blot was produced using a 4-12% Bis-Tris gel and MOPS buffer. The gel was run at 200V for 54 minutes and then transferred to a Nitrocellulose membrane at 25V for 10 minutes. The membrane was blocked for an hour using 3% milk and incubated overnight at 4°C with Mouse monoclonal [CM2B4] to Polyoma virus, Large T antigen ( ab307450) and Rabbit anti-ACTN4 (loading control, ab108198) at a 1/1000 and 1/20 000 dilution, respectively. Antibody binding was detected using Goat Anti-Mouse IgG H&L (IRDye® 800CW, green) and Goat Anti-Rabbit IgG H&L (IRDye® 680RD, red) secondary antibodies at a 1/20 000 dilution (1h at room temperature) before imaging. Blocking/Dilution buffer : 3% NFDM/TBST.

All lanes:

Western blot - Anti-Polyoma virus, Large T antigen antibody [CM2B4] (ab307450) at 1/1000 dilution

Lane 1:

MKL-1 whole cell lysate at 20 µg

Lane 2:

293T whole cell lysate at 20 µg

Secondary

All lanes:

Western blot - Goat anti-Mouse IgG H&L (IRDye® 800CW) preadsorbed (<a href='/en-us/products/secondary-antibodies/goat-mouse-igg-h-l-irdye-800cw-preadsorbed-ab216772'>ab216772</a>) at 1/20000 dilution

Observed band size: 48 kDa

false

  • Carrier free

    Anti-Polyoma virus, Large T antigen antibody [CM2B4] - BSA and Azide free

Key facts

Host species

Mouse

Clonality

Monoclonal

Clone number

CM2B4

Isotype

IgG2b

Carrier free

No

Reacts with

Merkel cell polyomavirus

Applications

IHC-P, WB

applications

Immunogen

The exact immunogen used to generate this antibody is proprietary information.

Reactivity data

{ "title": "Reactivity Data", "filters": { "stats": ["", "Species", "Dilution Info", "Notes"], "tabs": { "all-applications": {"fullname" : "All Applications", "shortname": "All Applications"}, "IP" : {"fullname" : "Immunoprecipitation", "shortname":"IP"}, "WB" : {"fullname" : "Western blot", "shortname":"WB"}, "IHCP" : {"fullname" : "Immunohistochemistry (Formalin/PFA-fixed paraffin-embedded sections)", "shortname":"IHC-P"} }, "product-promise": { "all": "all", "testedAndGuaranteed": "tested", "guaranteed": "expected", "predicted": "predicted", "notRecommended": "not-recommended" } }, "values": { "Human": { "IP-species-checked": "notRecommended", "IP-species-dilution-info": "", "IP-species-notes": "<p></p>", "WB-species-checked": "notRecommended", "WB-species-dilution-info": "", "WB-species-notes": "", "IHCP-species-checked": "notRecommended", "IHCP-species-dilution-info": "", "IHCP-species-notes": "" }, "Merkel cell polyomavirus": { "IP-species-checked": "notRecommended", "IP-species-dilution-info": "", "IP-species-notes": "", "WB-species-checked": "testedAndGuaranteed", "WB-species-dilution-info": "1/1000", "WB-species-notes": "<p></p>", "IHCP-species-checked": "testedAndGuaranteed", "IHCP-species-dilution-info": "1/2000", "IHCP-species-notes": "<p></p>" } } }

Product details

What are the advantages of a recombinant monoclonal antibody?
This product is a recombinant monoclonal antibody, which offers several advantages including:

  • - High batch-to-batch consistency and reproducibility
  • - Improved sensitivity and specificity
  • - Long-term security of supply
  • - Animal-free batch production

For more information, read more on recombinant antibodies.

Want a custom formulation?
This antibody clone is manufactured by Abcam. If you require a custom buffer formulation or conjugation for your experiments, please contact orders@abcam.com

Properties and storage information

Form
Liquid
Purification technique
Affinity purification Protein A
Storage buffer
pH: 7.2 - 7.4 Preservative: 0.01% Sodium azide Constituents: PBS, 40% Glycerol (glycerin, glycerine), 0.05% BSA
Shipped at conditions
Blue Ice
Appropriate short-term storage duration
1-2 weeks
Appropriate short-term storage conditions
+4°C
Appropriate long-term storage conditions
-20°C
Aliquoting information
Upon delivery aliquot
Storage information
Avoid freeze / thaw cycle

Supplementary information

This supplementary information is collated from multiple sources and compiled automatically.

Polyoma virus Large T antigen also known as TAg is a protein that plays an important role in the viral life cycle. It has a molecular mass of approximately 100 kDa. TAg is expressed in infected cells during the early phase of virus replication. It binds to the viral origin of replication to initiate DNA synthesis and has helicase activity which unwinds the DNA. This protein also binds to various cellular proteins including p53 and pRb leading to disruption of regular cellular functions and promoting viral replication.
Biological function summary

Large T antigen acts as a multifunctional protein involved in both viral replication and cell transformation. It is critical for the assembly of replication complexes. TAg interacts with host proteins to promote cell proliferation and prevents apoptosis which is a programmed cell death. This interaction forms a complex that is important in driving the cell into S-phase where DNA replication occurs. Large T antigen mimics normal cellular signals to facilitate uncontrolled cell division.

Pathways

Large T antigen connects to significant regulatory mechanisms involved in cell cycle control. It acts in the RB tumor suppressor pathway by inactivating the retinoblastoma protein family including pRb. This disruption allows cells to bypass normal growth signals leading to continuous entry into the S-phase. Large T antigen also impacts the p53 pathway inhibiting this tumor suppressor protein and further promoting cell cycle progression and DNA replication similar to pathways seen in other oncogenes.

Large T antigen associates notably with various cancers and polyomavirus-related diseases. It contributes to oncogenesis by interfering with the tumor suppressor functions of p53 and pRb proteins both well-known for their roles in preventing cancer. Large T antigen's interactions with these proteins disrupt normal cell cycle regulation and promote the development of tumors such as in cases of Merkel cell carcinoma and JC virus-related progressive multifocal leukoencephalopathy. These interactions highlight the significant role of Large T antigen in disease manifestation particularly in immune-compromised individuals.

Product protocols

For this product, it's our understanding that no specific protocols are required. You can visit:

Product promise

We are committed to supporting your work with high-quality reagents, and we're here for you every step of the way. In the unlikely event that one of our products does not perform as expected, you're protected by our Product Promise.
For full details, please see our Terms & Conditions

Please note: All products are 'FOR RESEARCH USE ONLY. NOT FOR USE IN DIAGNOSTIC OR THERAPEUTIC PROCEDURES'.

For licensing inquiries, please contact partnerships@abcam.com