JavaScript is disabled in your browser. Please enable JavaScript to view this website.
AB104455

Anti-Polyubiquitin-C antibody

Be the first to review this product! Submit a review

|

(1 Publication)

Rabbit Polyclonal UBC antibody. Suitable for IHC-P, WB and reacts with Human samples. Cited in 1 publication. Immunogen corresponding to Synthetic Peptide within Human UBC aa 1-100.

View Alternative Names

Polyubiquitin-C, UBC

3 Images
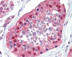
Immunohistochemistry (Formalin/PFA-fixed paraffin-embedded sections) - Anti-Polyubiquitin-C antibody (AB104455)
  • IHC-P

Unknown

Immunohistochemistry (Formalin/PFA-fixed paraffin-embedded sections) - Anti-Polyubiquitin-C antibody (AB104455)

ab104455, at 10 μg/ml, staining Polyubiquitin-C in formalin-fixed, paraffin-embedded Human Testis by Immunohistochemistry, followed by biotinylated goat anti-rabbit IgG secondary antibody, alkaline phosphatase-streptavidin and chromogen.

Immunohistochemistry (Formalin/PFA-fixed paraffin-embedded sections) - Anti-Polyubiquitin-C antibody (AB104455)
  • IHC-P

Unknown

Immunohistochemistry (Formalin/PFA-fixed paraffin-embedded sections) - Anti-Polyubiquitin-C antibody (AB104455)

ab104455, at 10 μg/ml, staining Polyubiquitin-C in formalin-fixed, paraffin-embedded Human Prostate by Immunohistochemistry, followed by biotinylated goat anti-rabbit IgG secondary antibody, alkaline phosphatase-streptavidin and chromogen.

Western blot - Anti-Polyubiquitin-C antibody (AB104455)
  • WB

Supplier Data

Western blot - Anti-Polyubiquitin-C antibody (AB104455)

Western blot analysis of anti-Ubiquitin Pab (ab104455) in HeLa cell lysate. Ubiquitin (Arrow) was detected using purified Pab. Secondary HRP-anti-rabbit was used for signal visualization with chemiluminescence.

All lanes:

Western blot - Anti-Polyubiquitin-C antibody (ab104455)

Predicted band size: 77 kDa

false

Key facts

Host species

Rabbit

Clonality

Polyclonal

Isotype

IgG

Carrier free

No

Reacts with

Human

Applications

WB, IHC-P

applications

Immunogen

Synthetic Peptide within Human UBC aa 1-100. The exact immunogen used to generate this antibody is proprietary information.

P0CG48

Specificity

This Ubiquitin antibody is generated from rabbits immunized with a KLH conjugated synthetic peptide between 36-66 amino acids of human Ubiquitin.

Reactivity data

{ "title": "Reactivity Data", "filters": { "stats": ["", "Species", "Dilution Info", "Notes"], "tabs": { "all-applications": {"fullname" : "All Applications", "shortname": "All Applications"}, "IHCP" : {"fullname" : "Immunohistochemistry (Formalin/PFA-fixed paraffin-embedded sections)", "shortname":"IHC-P"}, "WB" : {"fullname" : "Western blot", "shortname":"WB"} }, "product-promise": { "all": "all", "testedAndGuaranteed": "tested", "guaranteed": "expected", "predicted": "predicted", "notRecommended": "not-recommended" } }, "values": { "Human": { "IHCP-species-checked": "testedAndGuaranteed", "IHCP-species-dilution-info": "10 µg/mL", "IHCP-species-notes": "<p></p>", "WB-species-checked": "testedAndGuaranteed", "WB-species-dilution-info": "1/100 - 1/500", "WB-species-notes": "<p></p>" } } }

Properties and storage information

Form
Liquid
Purification technique
Precipitation Ammonium Sulphate
Storage buffer
pH: 7.4 Preservative: 0.09% Sodium azide Constituents: PBS
Shipped at conditions
Blue Ice
Appropriate short-term storage duration
Up to 6 months
Appropriate short-term storage conditions
+4°C
Appropriate long-term storage conditions
-20°C

Supplementary information

This supplementary information is collated from multiple sources and compiled automatically.

Polyubiquitin-C often referred to simply as UBC plays an important role in the process of polyubiquitination. This protein with a mass of approximately 26.0 kDa is found in various tissues throughout the body and is expressed ubiquitously. It participates actively in tagging substrates for degradation by the proteasome effectively maintaining protein homeostasis. Polyubiquitin-C consists of a repeating sequence of ubiquitin which serves as a signal for the proteasome to recognize and degrade the tagged protein.
Biological function summary

Polyubiquitin-C functions in diverse cellular processes beyond protein degradation. It is part of broader complexes involved in DNA repair cell cycle regulation and response to oxidative stress. By attaching ubiquitin molecules to target proteins polyubiquitin-C facilitates their recognition and processing by specific cellular machinery. These roles ensure the cell can degrade misfolded or damaged proteins preventing their accumulation and potential cytotoxic effects.

Pathways

Polyubiquitin-C plays a critical role in the ubiquitin-proteasome system and NF-kB signaling. It interacts with E3 ubiquitin ligases like Mdm2 which adds ubiquitin molecules to p53 marking it for degradation. This pathway has implications for cell cycle regulation and apoptosis. Polyubiquitin-C also regulates NF-kB signaling by modifying components like IκBα controlling its stability and therefore NF-kB activation. These relationships place polyubiquitin-C at the center of numerous signaling networks.

Dysfunctions associated with polyubiquitin-C can lead to cancer and neurodegenerative diseases. Overactivity in its pathway is often linked to cancerous transformations due to improper degradation of tumor suppressors such as p53. Similarly in neurodegenerative diseases like Alzheimer's polyubiquitin-C's role in degrading misfolded proteins becomes central. Failure to manage protein aggregates due to pathway impairments can result in cytotoxicity. The involvement with proteins like tau further reveals polyubiquitin-C's influence in these contexts emphasizing its importance in cellular health and disease management.

Product protocols

For this product, it's our understanding that no specific protocols are required. You can visit:

Target data

Ubiquitin. Exists either covalently attached to another protein, or free (unanchored). When covalently bound, it is conjugated to target proteins via an isopeptide bond either as a monomer (monoubiquitin), a polymer linked via different Lys residues of the ubiquitin (polyubiquitin chains) or a linear polymer linked via the initiator Met of the ubiquitin (linear polyubiquitin chains). Polyubiquitin chains, when attached to a target protein, have different functions depending on the Lys residue of the ubiquitin that is linked : Lys-6-linked may be involved in DNA repair; Lys-11-linked is involved in ERAD (endoplasmic reticulum-associated degradation) and in cell-cycle regulation; Lys-29-linked is involved in proteotoxic stress response and cell cycle; Lys-33-linked is involved in kinase modification; Lys-48-linked is involved in protein degradation via the proteasome; Lys-63-linked is involved in endocytosis, DNA-damage responses as well as in signaling processes leading to activation of the transcription factor NF-kappa-B. Linear polymer chains formed via attachment by the initiator Met lead to cell signaling. Ubiquitin is usually conjugated to Lys residues of target proteins, however, in rare cases, conjugation to Cys or Ser residues has been observed. When polyubiquitin is free (unanchored-polyubiquitin), it also has distinct roles, such as in activation of protein kinases, and in signaling. During ubiquitination, the acceptor ubiquitin is positioned in the active site via direct interaction with the E2 ubiquitin-conjugating enzymes such as UBE2R2 (PubMed : 38326650).
See full target information UBC

Publications (1)

Recent publications for all applications. Explore the full list and refine your search

Translational lung cancer research 11:1479-1496 PubMed35958325

2022

Identification of a three-gene expression signature and construction of a prognostic nomogram predicting overall survival in lung adenocarcinoma based on TCGA and GEO databases.

Applications

Unspecified application

Species

Unspecified reactive species

Yuwei Zhou,Shenhu Gao,Rong Yang,Chengli Du,Yanli Wang,Yihe Wu
View all publications

Product promise

We are committed to supporting your work with high-quality reagents, and we're here for you every step of the way. In the unlikely event that one of our products does not perform as expected, you're protected by our Product Promise.
For full details, please see our Terms & Conditions

Please note: All products are 'FOR RESEARCH USE ONLY. NOT FOR USE IN DIAGNOSTIC OR THERAPEUTIC PROCEDURES'.

For licensing inquiries, please contact partnerships@abcam.com