JavaScript is disabled in your browser. Please enable JavaScript to view this website.
AB222486

Anti-POMC antibody [EPR17571] - BSA and Azide free

Be the first to review this product! Submit a review

|

(1 Publication)

Rabbit Recombinant Monoclonal POMC antibody. Carrier free. Suitable for IP, WB, IHC-P and reacts with Rat, Human, Recombinant fragment, Mouse samples. Cited in 1 publication.

View Alternative Names

Pro-opiomelanocortin, POMC, Corticotropin-lipotropin

8 Images
Immunohistochemistry (Formalin/PFA-fixed paraffin-embedded sections) - Anti-POMC antibody [EPR17571] - BSA and Azide free (AB222486)
  • IHC-P

Supplier Data

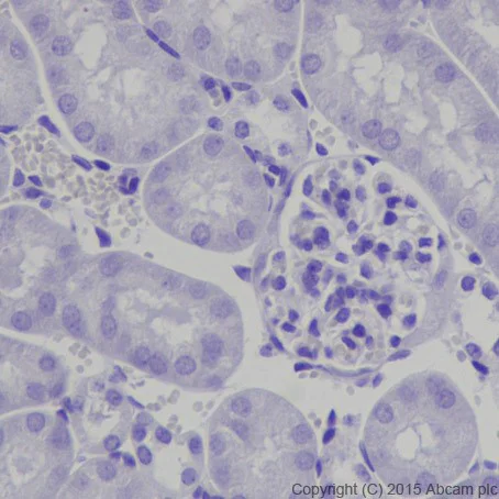
Immunohistochemistry (Formalin/PFA-fixed paraffin-embedded sections) - Anti-POMC antibody [EPR17571] - BSA and Azide free (AB222486)

Immunohistochemical analysis of paraffin-embedded human kidney tissue labeling POMC with ab210605 at 1/16000 dilution, followed by Goat Anti-Rabbit IgG H&L (HRP) (ab97051) at 1/500 dilution.

Negative staining on human kidney.

Counter stained with Hematoxylin.

This data was developed using the same antibody clone in a different buffer formulation containing PBS, BSA, glycerol, and sodium azide (ab210605).

Perform heat mediated antigen retrieval with Tris/EDTA buffer pH 9.0 before commencing with IHC staining protocol.

Immunohistochemistry (Formalin/PFA-fixed paraffin-embedded sections) - Anti-POMC antibody [EPR17571] - BSA and Azide free (AB222486)
  • IHC-P

Supplier Data

Immunohistochemistry (Formalin/PFA-fixed paraffin-embedded sections) - Anti-POMC antibody [EPR17571] - BSA and Azide free (AB222486)

Immunohistochemical analysis of paraffin-embedded human colon cancer tissue labeling POMC with ab210605 at 1/16000 dilution, followed by Goat Anti-Rabbit IgG H&L (HRP) (ab97051) at 1/500 dilution.

Negative staining on human colon cancer.

Counter stained with Hematoxylin.

This data was developed using the same antibody clone in a different buffer formulation containing PBS, BSA, glycerol, and sodium azide (ab210605).

Perform heat mediated antigen retrieval with Tris/EDTA buffer pH 9.0 before commencing with IHC staining protocol.

Immunohistochemistry (Formalin/PFA-fixed paraffin-embedded sections) - Anti-POMC antibody [EPR17571] - BSA and Azide free (AB222486)
  • IHC-P

Supplier Data

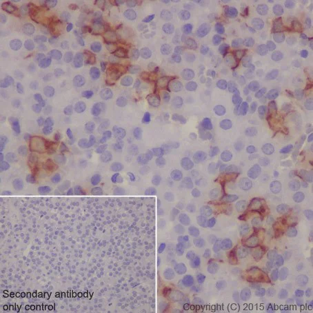
Immunohistochemistry (Formalin/PFA-fixed paraffin-embedded sections) - Anti-POMC antibody [EPR17571] - BSA and Azide free (AB222486)

Immunohistochemical analysis of paraffin-embedded human pituitary tissue labeling POMC with ab210605 at 1/16000 dilution, followed by Goat Anti-Rabbit IgG H&L (HRP) (ab97051) at 1/500 dilution.

Cytoplasmic staining on human pituitary is observed.

Counter stained with Hematoxylin.

Secondary antibody only control : Used PBS instead of primary antibody, secondary antibody is Goat Anti-Rabbit IgG H&L (HRP) (ab97051) at 1/500 dilution.

This data was developed using the same antibody clone in a different buffer formulation containing PBS, BSA, glycerol, and sodium azide (ab210605).

Perform heat mediated antigen retrieval with Tris/EDTA buffer pH 9.0 before commencing with IHC staining protocol.

Immunohistochemistry (Formalin/PFA-fixed paraffin-embedded sections) - Anti-POMC antibody [EPR17571] - BSA and Azide free (AB222486)
  • IHC-P

Supplier Data

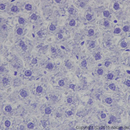
Immunohistochemistry (Formalin/PFA-fixed paraffin-embedded sections) - Anti-POMC antibody [EPR17571] - BSA and Azide free (AB222486)

Immunohistochemical analysis of paraffin-embedded rat liver tissue labeling POMC with ab210605 at 1/16000 dilution, followed by Goat Anti-Rabbit IgG H&L (HRP) (ab97051) at 1/500 dilution.

Negative staining on rat liver.

Counter stained with Hematoxylin.

This data was developed using the same antibody clone in a different buffer formulation containing PBS, BSA, glycerol, and sodium azide (ab210605).

Perform heat mediated antigen retrieval with Tris/EDTA buffer pH 9.0 before commencing with IHC staining protocol.

Immunohistochemistry (Formalin/PFA-fixed paraffin-embedded sections) - Anti-POMC antibody [EPR17571] - BSA and Azide free (AB222486)
  • IHC-P

Supplier Data

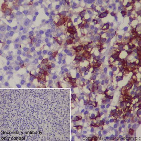
Immunohistochemistry (Formalin/PFA-fixed paraffin-embedded sections) - Anti-POMC antibody [EPR17571] - BSA and Azide free (AB222486)

Immunohistochemical analysis of paraffin-embedded rat pituitary tissue labeling POMC with ab210605 at 1/16000 dilution, followed by Goat Anti-Rabbit IgG H&L (HRP) (ab97051) at 1/500 dilution.

Cytoplasmic staining on rat pituitary is observed.

Counter stained with Hematoxylin.

Secondary antibody only control : Used PBS instead of primary antibody, secondary antibody is Goat Anti-Rabbit IgG H&L (HRP) (ab97051) at 1/500 dilution.

This data was developed using the same antibody clone in a different buffer formulation containing PBS, BSA, glycerol, and sodium azide (ab210605).

Perform heat mediated antigen retrieval with Tris/EDTA buffer pH 9.0 before commencing with IHC staining protocol.

Immunohistochemistry (Formalin/PFA-fixed paraffin-embedded sections) - Anti-POMC antibody [EPR17571] - BSA and Azide free (AB222486)
  • IHC-P

Supplier Data

Immunohistochemistry (Formalin/PFA-fixed paraffin-embedded sections) - Anti-POMC antibody [EPR17571] - BSA and Azide free (AB222486)

Immunohistochemical analysis of paraffin-embedded mouse pituitary tissue labeling POMC with ab210605 at 1/16000 dilution, followed by Goat Anti-Rabbit IgG H&L (HRP) (ab97051) at 1/500 dilution.

Cytoplasmic staining on mouse pituitary is observed.

Counter stained with Hematoxylin.

Secondary antibody only control : Used PBS instead of primary antibody, secondary antibody is Goat Anti-Rabbit IgG H&L (HRP) (ab97051) at 1/500 dilution.

This data was developed using the same antibody clone in a different buffer formulation containing PBS, BSA, glycerol, and sodium azide (ab210605).

Perform heat mediated antigen retrieval with Tris/EDTA buffer pH 9.0 before commencing with IHC staining protocol.

Immunohistochemistry (Formalin/PFA-fixed paraffin-embedded sections) - Anti-POMC antibody [EPR17571] - BSA and Azide free (AB222486)
  • IHC-P

Supplier Data

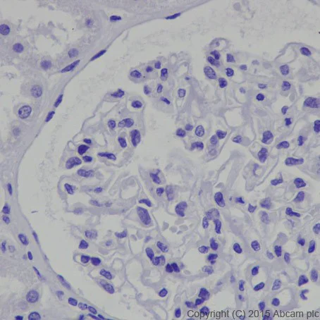
Immunohistochemistry (Formalin/PFA-fixed paraffin-embedded sections) - Anti-POMC antibody [EPR17571] - BSA and Azide free (AB222486)

Immunohistochemical analysis of paraffin-embedded mouse kidney tissue labeling POMC with ab210605 at 1/16000 dilution, followed by Goat Anti-Rabbit IgG H&L (HRP) (ab97051) at 1/500 dilution.

Negative staining on mouse kidney.

Counter stained with Hematoxylin.

This data was developed using the same antibody clone in a different buffer formulation containing PBS, BSA, glycerol, and sodium azide (ab210605).

Perform heat mediated antigen retrieval with Tris/EDTA buffer pH 9.0 before commencing with IHC staining protocol.

Immunoprecipitation - Anti-POMC antibody [EPR17571] - BSA and Azide free (AB222486)
  • IP

Lab

Immunoprecipitation - Anti-POMC antibody [EPR17571] - BSA and Azide free (AB222486)

ab210605 at 1/80 immunoprecipitating POMC in Rat pituitary whole cell lysate observed at 29 KDa (lanes 1 and 2).

Lane 1 (input) : Rat pituitary whole cell lysate 10μg

Lane 2 (+) : ab210605 + Rat pituitary whole cell lysate

Lane 3 (-) : Rabbit monoclonal IgG (ab172730) instead of ab210605 in Rat pituitary whole cell lysate

For western blotting, ab210605 at 1/1000 dilution and ab131366 VeriBlot for IP (HRP) was used for detection at 1/10000 dilution.

Blocking/Diluting buffer and concentration : 5% NFDM/TBST.

This data was developed using the same antibody clone in a different buffer formulation containing PBS, BSA, glycerol, and sodium azide (ab210605).

All lanes:

Immunoprecipitation - Anti-POMC antibody [EPR17571] (<a href='/en-us/products/primary-antibodies/pomc-antibody-epr17571-ab210605'>ab210605</a>)

Predicted band size: 29 kDa

false

Exposure time: 1s

Key facts

Host species

Rabbit

Clonality

Monoclonal

Clone number

EPR17571

Isotype

IgG

Carrier free

Yes

Reacts with

Mouse, Rat, Human

Applications

IHC-P, WB, IP

applications

Immunogen

The exact immunogen used to generate this antibody is proprietary information.

Reactivity data

{ "title": "Reactivity Data", "filters": { "stats": ["", "Species", "Dilution Info", "Notes"], "tabs": { "all-applications": {"fullname" : "All Applications", "shortname": "All Applications"}, "IP" : {"fullname" : "Immunoprecipitation", "shortname":"IP"}, "WB" : {"fullname" : "Western blot", "shortname":"WB"}, "IHCP" : {"fullname" : "Immunohistochemistry (Formalin/PFA-fixed paraffin-embedded sections)", "shortname":"IHC-P"} }, "product-promise": { "all": "all", "testedAndGuaranteed": "tested", "guaranteed": "expected", "predicted": "predicted", "notRecommended": "not-recommended" } }, "values": { "Human": { "IP-species-checked": "guaranteed", "IP-species-dilution-info": "", "IP-species-notes": "", "WB-species-checked": "guaranteed", "WB-species-dilution-info": "", "WB-species-notes": "<p></p>", "IHCP-species-checked": "testedAndGuaranteed", "IHCP-species-dilution-info": "", "IHCP-species-notes": "<p></p>" }, "Mouse": { "IP-species-checked": "predicted", "IP-species-dilution-info": "", "IP-species-notes": "", "WB-species-checked": "guaranteed", "WB-species-dilution-info": "", "WB-species-notes": "<p></p>", "IHCP-species-checked": "predicted", "IHCP-species-dilution-info": "", "IHCP-species-notes": "" }, "Rat": { "IP-species-checked": "testedAndGuaranteed", "IP-species-dilution-info": "", "IP-species-notes": "<p></p>", "WB-species-checked": "guaranteed", "WB-species-dilution-info": "", "WB-species-notes": "<p></p>", "IHCP-species-checked": "guaranteed", "IHCP-species-dilution-info": "", "IHCP-species-notes": "" }, "Recombinant fragment": { "IP-species-checked": "notRecommended", "IP-species-dilution-info": "", "IP-species-notes": "", "WB-species-checked": "guaranteed", "WB-species-dilution-info": "", "WB-species-notes": "<p></p>", "IHCP-species-checked": "notRecommended", "IHCP-species-dilution-info": "", "IHCP-species-notes": "" } } }

Product details

ab222486 is the carrier-free version of ab210605.

Patented technology
Our RabMAb® technology is a patented hybridoma-based technology for making rabbit monoclonal antibodies. For details on our patents, please refer to RabMAb® patents.

Conjugation ready
Our carrier-free antibodies are typically supplied in a PBS-only formulation, purified and free of BSA, sodium azide and glycerol. This conjugation-ready format is designed for use with fluorochromes, metal isotopes, oligonucleotides, and enzymes, which makes them ideal for antibody labelling, functional and cell-based assays, flow-based assays (e.g. mass cytometry) and Multiplex Imaging applications.

Use our conjugation kits for antibody conjugates that are ready-to-use in as little as 20 minutes with 1 minute hands-on-time and 100% antibody recovery: available for fluorescent dyes, HRP, biotin and gold.

Compatibility
This product is compatible with the Maxpar® Antibody Labeling Kit from Fluidigm, without the need for antibody preparation. Maxpar® is a trademark of Fluidigm Canada Inc.

Properties and storage information

Form
Liquid
Purification technique
Affinity purification Protein A
Storage buffer
pH: 7.2 - 7.4 Constituents: PBS
Shipped at conditions
Blue Ice
Appropriate short-term storage conditions
+4°C
Appropriate long-term storage conditions
+4°C
Storage information
Do Not Freeze

Product protocols

For this product, it's our understanding that no specific protocols are required. You can visit:

Target data

Corticotropin. Stimulates the adrenal glands to release cortisol.. Melanocyte-stimulating hormone alpha. Anorexigenic peptide. Increases the pigmentation of skin by increasing melanin production in melanocytes.. Melanocyte-stimulating hormone beta. Increases the pigmentation of skin by increasing melanin production in melanocytes.. Beta-endorphin. Endogenous orexigenic opiate.. Met-enkephalin. Endogenous opiate.
See full target information POMC

Publications (1)

Recent publications for all applications. Explore the full list and refine your search

Cell & bioscience 14:19 PubMed38311785

2024

Tunable PhenoCycler imaging of the murine pre-clinical tumour microenvironments.

Applications

Unspecified application

Species

Unspecified reactive species

Madelyn J Abraham,Christophe Goncalves,Paige McCallum,Vrinda Gupta,Samuel E J Preston,Fan Huang,Hsiang Chou,Natascha Gagnon,Nathalie A Johnson,Wilson H Miller,Koren K Mann,Sonia V Del Rincon
View all publications

Product promise

We are committed to supporting your work with high-quality reagents, and we're here for you every step of the way. In the unlikely event that one of our products does not perform as expected, you're protected by our Product Promise.
For full details, please see our Terms & Conditions

Please note: All products are 'FOR RESEARCH USE ONLY. NOT FOR USE IN DIAGNOSTIC OR THERAPEUTIC PROCEDURES'.

For licensing inquiries, please contact partnerships@abcam.com