JavaScript is disabled in your browser. Please enable JavaScript to view this website.
AB255334

Anti-POMC antibody [EPR22534-165] - BSA and Azide free

Be the first to review this product! Submit a review

|

(1 Publication)

Rabbit Recombinant Monoclonal POMC antibody. Carrier free. Suitable for ICC/IF, WB, IHC-Fr, IHC-P and reacts with Mouse, Rat, Human samples. Cited in 1 publication.

View Alternative Names

Pro-opiomelanocortin, POMC, Corticotropin-lipotropin

8 Images
Immunohistochemistry (Formalin/PFA-fixed paraffin-embedded sections) - Anti-POMC antibody [EPR22534-165] - BSA and Azide free (AB255334)
  • IHC-P

Unknown

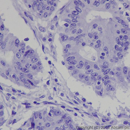
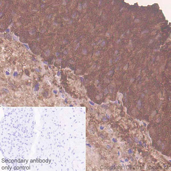
Immunohistochemistry (Formalin/PFA-fixed paraffin-embedded sections) - Anti-POMC antibody [EPR22534-165] - BSA and Azide free (AB255334)

Immunohistochemical analysis of paraffin-embedded human pituitary tissue labeling POMC with ab254257 at 1/4000 dilution at room temperature for 30 mins, followed by ready to use rabbit specific IHC polymer detection kit HRP/DAB (ab209101). Positive staining on human pituitary is observed (PMID : 21622576). Counterstained with hematoxylin. Heat mediated antigen retrieval with Tris-EDTA buffer (pH 9.0, epitope retrieval solution 2) for 20 mins was performed. The immunostaining was performed on a Leica Biosystems BOND® RX instrument.

Secondary antibody only control : Used PBS instead of primary antibody, secondary antibody is ready to use rabbit specific IHC polymer detection kit HRP/DAB (ab209101).

This data was developed using the same antibody clone in a different buffer formulation containing PBS, BSA, glycerol, and sodium azide (ab254257).

Immunohistochemistry (Formalin/PFA-fixed paraffin-embedded sections) - Anti-POMC antibody [EPR22534-165] - BSA and Azide free (AB255334)
  • IHC-P

Unknown

Immunohistochemistry (Formalin/PFA-fixed paraffin-embedded sections) - Anti-POMC antibody [EPR22534-165] - BSA and Azide free (AB255334)

Negative control : No staining on mouse spleen (PMID : 10395956)

Immunohistochemical analysis of paraffin-embedded mouse pituitary tissue labeling POMC with ab254257 at 1/4000 dilution at room temperature for 30 mins, followed by ready to use rabbit specific IHC polymer detection kit HRP/DAB (ab209101). Counterstained with hematoxylin. Heat mediated antigen retrieval with Tris-EDTA buffer (pH 9.0, epitope retrieval solution 2) for 20 mins was performed. The immunostaining was performed on a Leica Biosystems BOND® RX instrument.

This data was developed using the same antibody clone in a different buffer formulation containing PBS, BSA, glycerol, and sodium azide (ab254257).

Immunohistochemistry (Formalin/PFA-fixed paraffin-embedded sections) - Anti-POMC antibody [EPR22534-165] - BSA and Azide free (AB255334)
  • IHC-P

Unknown

Immunohistochemistry (Formalin/PFA-fixed paraffin-embedded sections) - Anti-POMC antibody [EPR22534-165] - BSA and Azide free (AB255334)

Immunohistochemical analysis of paraffin-embedded rat pituitary tissue labeling POMC with ab254257 at 1/4000 dilution at room temperature for 30 mins, followed by ready to use rabbit specific IHC polymer detection kit HRP/DAB (ab209101). Positive staining on rat pituitary is observed (PMID : 21622576). Counterstained with hematoxylin. Heat mediated antigen retrieval with Tris-EDTA buffer (pH 9.0, epitope retrieval solution 2) for 20 mins was performed. The immunostaining was performed on a Leica Biosystems BOND® RX instrument.

Secondary antibody only control : Used PBS instead of primary antibody, secondary antibody is ready to use rabbit specific IHC polymer detection kit HRP/DAB (ab209101).

This data was developed using the same antibody clone in a different buffer formulation containing PBS, BSA, glycerol, and sodium azide (ab254257).

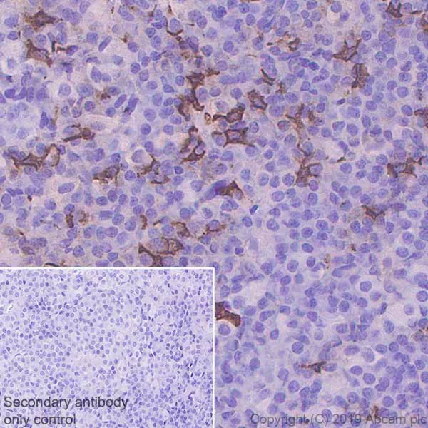
Immunohistochemistry (Formalin/PFA-fixed paraffin-embedded sections) - Anti-POMC antibody [EPR22534-165] - BSA and Azide free (AB255334)
  • IHC-P

Unknown

Immunohistochemistry (Formalin/PFA-fixed paraffin-embedded sections) - Anti-POMC antibody [EPR22534-165] - BSA and Azide free (AB255334)

Immunohistochemical analysis of paraffin-embedded mouse pituitary tissue labelling POMC with ab254257 at 1/4000 dilution at room temperature for 30 mins, followed by ready to use rabbit specific IHC polymer detection kit HRP/DAB (ab209101). Positive staining on mouse pituitary is observed (PMID : 21622576). Counterstained with hematoxylin. Heat mediated antigen retrieval with Tris-EDTA buffer (pH 9.0, epitope retrieval solution 2) for 20 mins was performed. The immunostaining was performed on a Leica Biosystems BOND® RX instrument.

Secondary antibody only control : Used PBS instead of primary antibody, secondary antibody is ready to use rabbit specific IHC polymer detection kit HRP/DAB (ab209101).

This data was developed using the same antibody clone in a different buffer formulation containing PBS, BSA, glycerol, and sodium azide (ab254257).

Immunohistochemistry (Frozen sections) - Anti-POMC antibody [EPR22534-165] - BSA and Azide free (AB255334)
  • IHC-Fr

Unknown

Immunohistochemistry (Frozen sections) - Anti-POMC antibody [EPR22534-165] - BSA and Azide free (AB255334)

Immunohistochemical analysis of 0.2% Triton X-100 permeabilized, 4% PFA fixed rat pituitary tissue labeling POMC with ab254257 at 1/500 dilution, followed by AlexaFluor®488 Goat anti-Rabbit secondary (ab150077) at 1/1000 dilution. DAPI was used as nuclear counterstain. Heat mediated antigen retrieval using sodium citrate buffer (10mM citrate pH 6.0 + 0.05% Tween-20) was performed. Positive staining on rat pituitary (PMID : 18601691).

Secondary antibody only control : Used PBS instead of primary antibody, secondary antibody is AlexaFluor®488 Goat anti-Rabbit secondary (ab150077) at 1/1000 dilution

This data was developed using the same antibody clone in a different buffer formulation containing PBS, BSA, glycerol, and sodium azide (ab254257).

Immunohistochemistry (Frozen sections) - Anti-POMC antibody [EPR22534-165] - BSA and Azide free (AB255334)
  • IHC-Fr

Unknown

Immunohistochemistry (Frozen sections) - Anti-POMC antibody [EPR22534-165] - BSA and Azide free (AB255334)

Negative control : No stain on liver (PMID : 14578285)

Immunohistochemical analysis of 0.2% Triton X-100 permeabilized, 4% PFA fixed mouse liver tissue labeling POMC with ab254257 at 1/100 dilution, followed by AlexaFluor®488 Goat anti-Rabbit secondary (ab150077) at 1/1000 dilution. DAPI was used as nuclear counterstain. Heat mediated antigen retrieval using sodium citrate buffer (10mM citrate pH 6.0 + 0.05% Tween-20) was performed. No staining on mouse liver.

Secondary antibody only control : Used PBS instead of primary antibody, secondary antibody is AlexaFluor®488 Goat anti-Rabbit secondary (ab150077) at 1/1000 dilution

This data was developed using the same antibody clone in a different buffer formulation containing PBS, BSA, glycerol, and sodium azide (ab254257).

Immunohistochemistry (Frozen sections) - Anti-POMC antibody [EPR22534-165] - BSA and Azide free (AB255334)
  • IHC-Fr

Unknown

Immunohistochemistry (Frozen sections) - Anti-POMC antibody [EPR22534-165] - BSA and Azide free (AB255334)

Immunohistochemical analysis of 0.2% Triton X-100 permeabilized, 4% PFA fixed mouse pituitary tissue labeling POMC with ab254257 at 1/500 dilution, followed by AlexaFluor®488 Goat anti-Rabbit secondary (ab150077) at 1/1000 dilution. DAPI was used as nuclear counterstain. Heat mediated antigen retrieval using sodium citrate buffer (10mM citrate pH 6.0 + 0.05% Tween-20) was performed. Positive staining on mouse pituitary (PMID : 18601691).

Secondary antibody only control : Used PBS instead of primary antibody, secondary antibody is AlexaFluor®488 Goat anti-Rabbit secondary (ab150077) at 1/1000 dilution

This data was developed using the same antibody clone in a different buffer formulation containing PBS, BSA, glycerol, and sodium azide (ab254257).

Immunohistochemistry (Frozen sections) - Anti-POMC antibody [EPR22534-165] - BSA and Azide free (AB255334)
  • IHC-Fr

Unknown

Immunohistochemistry (Frozen sections) - Anti-POMC antibody [EPR22534-165] - BSA and Azide free (AB255334)

Negative control : No stain on liver (PMID : 14578285)

Immunohistochemical analysis of 0.2% Triton X-100 permeabilized, 4% PFA fixed rat liver tissue labeling POMC with ab254257 at 1/100 dilution, followed by AlexaFluor®488 Goat anti-Rabbit secondary (ab150077) at 1/1000 dilution. DAPI was used as nuclear counterstain. Heat mediated antigen retrieval using sodium citrate buffer (10mM citrate pH 6.0 + 0.05% Tween-20) was performed. No staining on rat liver.

Secondary antibody only control : Used PBS instead of primary antibody, secondary antibody is AlexaFluor®488 Goat anti-Rabbit secondary (ab150077) at 1/1000 dilution

This data was developed using the same antibody clone in a different buffer formulation containing PBS, BSA, glycerol, and sodium azide (ab254257).

Key facts

Host species

Rabbit

Clonality

Monoclonal

Clone number

EPR22534-165

Isotype

IgG

Carrier free

Yes

Reacts with

Mouse, Rat, Human

Applications

ICC/IF, IHC-P, IHC-Fr, WB

applications

Immunogen

The exact immunogen used to generate this antibody is proprietary information.

Reactivity data

{ "title": "Reactivity Data", "filters": { "stats": ["", "Species", "Dilution Info", "Notes"], "tabs": { "all-applications": {"fullname" : "All Applications", "shortname": "All Applications"}, "ICCIF" : {"fullname" : "Immunocytochemistry/ Immunofluorescence", "shortname":"ICC/IF"}, "IP" : {"fullname" : "Immunoprecipitation", "shortname":"IP"}, "WB" : {"fullname" : "Western blot", "shortname":"WB"}, "IHCFr" : {"fullname" : "Immunohistochemistry (Frozen sections)", "shortname":"IHC-Fr"}, "IHCP" : {"fullname" : "Immunohistochemistry (Formalin/PFA-fixed paraffin-embedded sections)", "shortname":"IHC-P"} }, "product-promise": { "all": "all", "testedAndGuaranteed": "tested", "guaranteed": "expected", "predicted": "predicted", "notRecommended": "not-recommended" } }, "values": { "Human": { "ICCIF-species-checked": "predicted", "ICCIF-species-dilution-info": "", "ICCIF-species-notes": "", "IP-species-checked": "notRecommended", "IP-species-dilution-info": "", "IP-species-notes": "<p></p>", "WB-species-checked": "guaranteed", "WB-species-dilution-info": "", "WB-species-notes": "<p></p>", "IHCFr-species-checked": "predicted", "IHCFr-species-dilution-info": "", "IHCFr-species-notes": "", "IHCP-species-checked": "predicted", "IHCP-species-dilution-info": "", "IHCP-species-notes": "" }, "Mouse": { "ICCIF-species-checked": "testedAndGuaranteed", "ICCIF-species-dilution-info": "", "ICCIF-species-notes": "<p></p>", "IP-species-checked": "notRecommended", "IP-species-dilution-info": "", "IP-species-notes": "<p></p>", "WB-species-checked": "guaranteed", "WB-species-dilution-info": "", "WB-species-notes": "<p></p>", "IHCFr-species-checked": "guaranteed", "IHCFr-species-dilution-info": "", "IHCFr-species-notes": "", "IHCP-species-checked": "guaranteed", "IHCP-species-dilution-info": "", "IHCP-species-notes": "" }, "Rat": { "ICCIF-species-checked": "guaranteed", "ICCIF-species-dilution-info": "", "ICCIF-species-notes": "", "IP-species-checked": "notRecommended", "IP-species-dilution-info": "", "IP-species-notes": "<p></p>", "WB-species-checked": "guaranteed", "WB-species-dilution-info": "", "WB-species-notes": "<p></p>", "IHCFr-species-checked": "testedAndGuaranteed", "IHCFr-species-dilution-info": "", "IHCFr-species-notes": "<p></p>", "IHCP-species-checked": "testedAndGuaranteed", "IHCP-species-dilution-info": "", "IHCP-species-notes": "<p></p>" } } }

Product details

ab255334 is the carrier-free version of ab254257.

Patented technology
Our RabMAb® technology is a patented hybridoma-based technology for making rabbit monoclonal antibodies. For details on our patents, please refer to RabMAb® patents.

What are the advantages of a recombinant monoclonal antibody?
This product is a recombinant monoclonal antibody, which offers several advantages including:

  • - High batch-to-batch consistency and reproducibility
  • - Improved sensitivity and specificity
  • - Long-term security of supply
  • - Animal-free batch production

For more information, read more on recombinant antibodies.

Conjugation ready
Our carrier-free antibodies are typically supplied in a PBS-only formulation, purified and free of BSA, sodium azide and glycerol. This conjugation-ready format is designed for use with fluorochromes, metal isotopes, oligonucleotides, and enzymes, which makes them ideal for antibody labelling, functional and cell-based assays, flow-based assays (e.g. mass cytometry) and Multiplex Imaging applications.

Use our conjugation kits for antibody conjugates that are ready-to-use in as little as 20 minutes with 1 minute hands-on-time and 100% antibody recovery: available for fluorescent dyes, HRP, biotin and gold.

Compatibility
This product is compatible with the Maxpar® Antibody Labeling Kit from Fluidigm, without the need for antibody preparation. Maxpar® is a trademark of Fluidigm Canada Inc.

Properties and storage information

Form
Liquid
Purification technique
Affinity purification Protein A
Storage buffer
pH: 7.2 - 7.4 Constituents: PBS
Shipped at conditions
Blue Ice
Appropriate short-term storage conditions
+4°C
Appropriate long-term storage conditions
+4°C
Storage information
Do Not Freeze

Product protocols

For this product, it's our understanding that no specific protocols are required. You can visit:

Target data

Corticotropin. Stimulates the adrenal glands to release cortisol.. Melanocyte-stimulating hormone alpha. Anorexigenic peptide. Increases the pigmentation of skin by increasing melanin production in melanocytes.. Melanocyte-stimulating hormone beta. Increases the pigmentation of skin by increasing melanin production in melanocytes.. Beta-endorphin. Endogenous orexigenic opiate.. Met-enkephalin. Endogenous opiate.
See full target information POMC

Publications (1)

Recent publications for all applications. Explore the full list and refine your search

Lipids in health and disease 23:368 PubMed39529018

2024

NAT10 promotes liver lipogenesis in mouse through N4-acetylcytidine modification of Srebf1 and Scap mRNA.

Applications

Unspecified application

Species

Unspecified reactive species

Zhouqi Wang,Xinxing Wan,Md Asaduzzaman Khan,Lin Peng,Xiaoying Sun,Xuan Yi,Ke Chen
View all publications

Product promise

We are committed to supporting your work with high-quality reagents, and we're here for you every step of the way. In the unlikely event that one of our products does not perform as expected, you're protected by our Product Promise.
For full details, please see our Terms & Conditions

Please note: All products are 'FOR RESEARCH USE ONLY. NOT FOR USE IN DIAGNOSTIC OR THERAPEUTIC PROCEDURES'.

For licensing inquiries, please contact partnerships@abcam.com