JavaScript is disabled in your browser. Please enable JavaScript to view this website.
AB247559

Anti-PON1 antibody [EPR2892] - BSA and Azide free

Be the first to review this product! Submit a review

|

(0 Publication)

Rabbit Recombinant Monoclonal PON1 antibody. Carrier free. Suitable for IHC-P, WB and reacts with Mouse, Human samples.

View Alternative Names

PON, PON1, Serum paraoxonase/arylesterase 1, PON 1, Aromatic esterase 1, K-45, Serum aryldialkylphosphatase 1, A-esterase 1

9 Images
Immunohistochemistry (Formalin/PFA-fixed paraffin-embedded sections) - Anti-PON1 antibody [EPR2892] - BSA and Azide free (AB247559)
  • IHC-P

Unknown

Immunohistochemistry (Formalin/PFA-fixed paraffin-embedded sections) - Anti-PON1 antibody [EPR2892] - BSA and Azide free (AB247559)

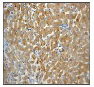
This data was developed using ab92466, the same antibody clone in a different buffer formulation.

ab92466, at 1/100 dilution, staining PON1 in formalin-fixed, paraffin-embedded Human liver tissue.

Heat mediated antigen retrieval was performed before commencing with IHC staining protocol.

Immunohistochemistry (Formalin/PFA-fixed paraffin-embedded sections) - Anti-PON1 antibody [EPR2892] - BSA and Azide free (AB247559)
  • IHC-P

Unknown

Immunohistochemistry (Formalin/PFA-fixed paraffin-embedded sections) - Anti-PON1 antibody [EPR2892] - BSA and Azide free (AB247559)

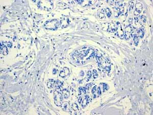
This data was developed using ab92466, the same antibody clone in a different buffer formulation.

ab92466 showing negative staining in Normal breast tissue.

Heat mediated antigen retrieval was performed before commencing with IHC staining protocol.

Immunohistochemistry (Formalin/PFA-fixed paraffin-embedded sections) - Anti-PON1 antibody [EPR2892] - BSA and Azide free (AB247559)
  • IHC-P

Unknown

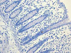
Immunohistochemistry (Formalin/PFA-fixed paraffin-embedded sections) - Anti-PON1 antibody [EPR2892] - BSA and Azide free (AB247559)

This data was developed using ab92466, the same antibody clone in a different buffer formulation.

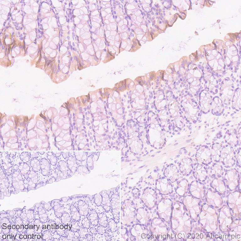
ab92466 showing negative staining in Normal colon tissue.

Heat mediated antigen retrieval was performed before commencing with IHC staining protocol.

Immunohistochemistry (Formalin/PFA-fixed paraffin-embedded sections) - Anti-PON1 antibody [EPR2892] - BSA and Azide free (AB247559)
  • IHC-P

Lab

Immunohistochemistry (Formalin/PFA-fixed paraffin-embedded sections) - Anti-PON1 antibody [EPR2892] - BSA and Azide free (AB247559)

This data was developed using ab92466, the same antibody clone in a different buffer formulation.

Immunohistochemistry (Formalin/PFA-fixed paraffin-embedded sections) analysis of Mouse liver tissue labelling PON1 with ab92466 at 1/100 dilution. Heat mediated antigen retrieval was performed using Tris/EDTA buffer pH 9 for 20 min. The section was incubated with ab92466 for 30 mins at room temperature. Cytoplasmic localization of PON1 visualized using Rabbit specific IHC polymer detection kit HRP/DAB (ab209101). Counterstained with hematoxylin. The immunostaining was performed on a Leica Biosystems BOND® RX instrument.

Immunohistochemistry (Formalin/PFA-fixed paraffin-embedded sections) - Anti-PON1 antibody [EPR2892] - BSA and Azide free (AB247559)
  • IHC-P

Lab

Immunohistochemistry (Formalin/PFA-fixed paraffin-embedded sections) - Anti-PON1 antibody [EPR2892] - BSA and Azide free (AB247559)

This data was developed using ab92466, the same antibody clone in a different buffer formulation.

Immunohistochemistry (Formalin/PFA-fixed paraffin-embedded sections) analysis of Mouse colon tissue labelling PON1 with ab92466 at 1/100 dilution. Heat mediated antigen retrieval was performed using Tris/EDTA buffer pH 9 for 20 min. The section was incubated with ab92466 for 30 mins at room temperature. Cytoplasmic localization of PON1 visualized using Rabbit specific IHC polymer detection kit HRP/DAB (ab209101). Counterstained with hematoxylin. The immunostaining was performed on a Leica Biosystems BOND® RX instrument.

Immunohistochemistry (Formalin/PFA-fixed paraffin-embedded sections) - Anti-PON1 antibody [EPR2892] - BSA and Azide free (AB247559)
  • IHC-P

Lab

Immunohistochemistry (Formalin/PFA-fixed paraffin-embedded sections) - Anti-PON1 antibody [EPR2892] - BSA and Azide free (AB247559)

This data was developed using ab92466, the same antibody clone in a different buffer formulation.

Immunohistochemistry (Formalin/PFA-fixed paraffin-embedded sections) analysis of Mouse kidney tissue labelling PON1 with ab92466 at 1/100 dilution. Heat mediated antigen retrieval was performed using Tris/EDTA buffer pH 9 for 20 min. The section was incubated with ab92466 for 30 mins at room temperature. Cytoplasmic localization of PON1 visualized using Rabbit specific IHC polymer detection kit HRP/DAB (ab209101). Counterstained with hematoxylin. The immunostaining was performed on a Leica Biosystems BOND® RX instrument.

Immunohistochemistry (Formalin/PFA-fixed paraffin-embedded sections) - Anti-PON1 antibody [EPR2892] - BSA and Azide free (AB247559)
  • IHC-P

Unknown

Immunohistochemistry (Formalin/PFA-fixed paraffin-embedded sections) - Anti-PON1 antibody [EPR2892] - BSA and Azide free (AB247559)

This data was developed using ab92466, the same antibody clone in a different buffer formulation.

ab92466 showing negative staining in Normal brain tissue.

Heat mediated antigen retrieval was performed before commencing with IHC staining protocol.

Immunohistochemistry (Formalin/PFA-fixed paraffin-embedded sections) - Anti-PON1 antibody [EPR2892] - BSA and Azide free (AB247559)
  • IHC-P

Unknown

Immunohistochemistry (Formalin/PFA-fixed paraffin-embedded sections) - Anti-PON1 antibody [EPR2892] - BSA and Azide free (AB247559)

This data was developed using ab92466, the same antibody clone in a different buffer formulation.

ab92466 showing negative staining in Skeletal muscle tissue.

Heat mediated antigen retrieval was performed before commencing with IHC staining protocol.

Western blot - Anti-PON1 antibody [EPR2892] - BSA and Azide free (AB247559)
  • WB

Unknown

Western blot - Anti-PON1 antibody [EPR2892] - BSA and Azide free (AB247559)

This data was developed using ab92466, the same antibody clone in a different buffer formulation.

All lanes:

Western blot - Anti-PON1 antibody [EPR2892] (<a href='/en-us/products/primary-antibodies/pon1-antibody-epr2892-ab92466'>ab92466</a>) at 1/1000 dilution

Lane 1:

Human plasma cell lysate at 10 µg

Lane 2:

ovarian cancer lysate at 10 µg

Secondary

Lane 1:

HRP labelled Goat anti-Rabbit IgG at 1/2000 dilution

Lane 2:

HRP labelled goat anti-rabbit IgG at 1/2000 dilution

Predicted band size: 40 kDa

false

Key facts

Host species

Rabbit

Clonality

Monoclonal

Clone number

EPR2892

Isotype

IgG

Carrier free

Yes

Reacts with

Mouse, Human

Applications

WB, IHC-P

applications

Immunogen

The exact immunogen used to generate this antibody is proprietary information.

Specificity

Mouse species is recommended based on IHC results, we do not guarantee WB for mouse.

Reactivity data

{ "title": "Reactivity Data", "filters": { "stats": ["", "Species", "Dilution Info", "Notes"], "tabs": { "all-applications": {"fullname" : "All Applications", "shortname": "All Applications"}, "IHCP" : {"fullname" : "Immunohistochemistry (Formalin/PFA-fixed paraffin-embedded sections)", "shortname":"IHC-P"}, "ICCIF" : {"fullname" : "Immunocytochemistry/ Immunofluorescence", "shortname":"ICC/IF"}, "WB" : {"fullname" : "Western blot", "shortname":"WB"} }, "product-promise": { "all": "all", "testedAndGuaranteed": "tested", "guaranteed": "expected", "predicted": "predicted", "notRecommended": "not-recommended" } }, "values": { "Human": { "IHCP-species-checked": "guaranteed", "IHCP-species-dilution-info": "", "IHCP-species-notes": "", "ICCIF-species-checked": "notRecommended", "ICCIF-species-dilution-info": "", "ICCIF-species-notes": "<p></p>", "WB-species-checked": "testedAndGuaranteed", "WB-species-dilution-info": "", "WB-species-notes": "<p></p>" }, "Mouse": { "IHCP-species-checked": "testedAndGuaranteed", "IHCP-species-dilution-info": "", "IHCP-species-notes": "<p></p>", "ICCIF-species-checked": "notRecommended", "ICCIF-species-dilution-info": "", "ICCIF-species-notes": "<p></p>", "WB-species-checked": "guaranteed", "WB-species-dilution-info": "", "WB-species-notes": "" } } }

Product details

ab247559 is the carrier-free version of ab92466.

Species reactivity
Mouse, Rat: We have preliminary internal testing data to indicate this antibody may not react with these species.
Please contact us for more information.

Patented technology
Our RabMAb® technology is a patented hybridoma-based technology for making rabbit monoclonal antibodies. For details on our patents, please refer to RabMAb® patents.

What are the advantages of a recombinant monoclonal antibody?
This product is a recombinant monoclonal antibody, which offers several advantages including:

  • - High batch-to-batch consistency and reproducibility
  • - Improved sensitivity and specificity
  • - Long-term security of supply
  • - Animal-free batch production

For more information, read more on recombinant antibodies.

Conjugation ready
Our carrier-free antibodies are typically supplied in a PBS-only formulation, purified and free of BSA, sodium azide and glycerol. This conjugation-ready format is designed for use with fluorochromes, metal isotopes, oligonucleotides, and enzymes, which makes them ideal for antibody labelling, functional and cell-based assays, flow-based assays (e.g. mass cytometry) and Multiplex Imaging applications.

Use our conjugation kits for antibody conjugates that are ready-to-use in as little as 20 minutes with 1 minute hands-on-time and 100% antibody recovery: available for fluorescent dyes, HRP, biotin and gold.

Compatibility
This product is compatible with the Maxpar® Antibody Labeling Kit from Fluidigm, without the need for antibody preparation. Maxpar® is a trademark of Fluidigm Canada Inc.

Properties and storage information

Form
Liquid
Purification technique
Affinity purification
Storage buffer
pH: 7.2 - 7.4 Constituents: PBS
Shipped at conditions
Blue Ice
Appropriate short-term storage conditions
+4°C
Appropriate long-term storage conditions
+4°C
Storage information
Do Not Freeze

Product protocols

For this product, it's our understanding that no specific protocols are required. You can visit:

Target data

Hydrolyzes the toxic metabolites of a variety of organophosphorus insecticides. Capable of hydrolyzing a broad spectrum of organophosphate substrates and lactones, and a number of aromatic carboxylic acid esters. Mediates an enzymatic protection of low density lipoproteins against oxidative modification and the consequent series of events leading to atheroma formation.
See full target information PON1

Product promise

We are committed to supporting your work with high-quality reagents, and we're here for you every step of the way. In the unlikely event that one of our products does not perform as expected, you're protected by our Product Promise.
For full details, please see our Terms & Conditions

Please note: All products are 'FOR RESEARCH USE ONLY. NOT FOR USE IN DIAGNOSTIC OR THERAPEUTIC PROCEDURES'.

For licensing inquiries, please contact partnerships@abcam.com