JavaScript is disabled in your browser. Please enable JavaScript to view this website.
AB183718

Anti-PON2 antibody [EPR15295-58]

Be the first to review this product! Submit a review

|

(2 Publications)

Rabbit Recombinant Monoclonal PON2 antibody. Suitable for IP, WB, ICC/IF and reacts with Human samples. Cited in 2 publications.

View Alternative Names

Serum paraoxonase/arylesterase 2, PON 2, Aromatic esterase 2, Serum aryldialkylphosphatase 2, A-esterase 2, PON2

5 Images
Immunocytochemistry/ Immunofluorescence - Anti-PON2 antibody [EPR15295-58] (AB183718)
  • ICC/IF

Supplier Data

Immunocytochemistry/ Immunofluorescence - Anti-PON2 antibody [EPR15295-58] (AB183718)

Immunofluorescent analysis of acetone fixed HeLa cells labeling PON2 using ab183718 at a 1/100 dilution. A Goat anti rabbit IgG (Alexa Fluor®555) was used as the secondary at a 1/200 dilution.

Immunoprecipitation - Anti-PON2 antibody [EPR15295-58] (AB183718)
  • IP

Supplier Data

Immunoprecipitation - Anti-PON2 antibody [EPR15295-58] (AB183718)

Lysate from HepG2 cells was immunoprecipitated with ab183718 at a 1/50 dilution. For the subsequent blot, ab183718 was used at a 1/1000 dilution with Anti-Rabbit IgG (HRP), specific to the non-reduced form of IgG at a 1/1500 dilution for the secondary. Blocking/ Dilution buffer : 5% NFDM/TBST. Lane 2 : TBS instead of HepG2 lysates.

All lanes:

Immunoprecipitation - Anti-PON2 antibody [EPR15295-58] (ab183718)

Predicted band size: 39 kDa

false

Western blot - Anti-PON2 antibody [EPR15295-58] (AB183718)
  • WB

Supplier Data

Western blot - Anti-PON2 antibody [EPR15295-58] (AB183718)

Blocking/ Dilution buffer : 5% NFDM /TBST.

All lanes:

Western blot - Anti-PON2 antibody [EPR15295-58] (ab183718) at 1/5000 dilution

All lanes:

HepG2 whole cell lysate at 20 µg

Secondary

All lanes:

Goat Anti-Rabbit IgG, (H+L), Peroxidase conjugated at 1/1000 dilution

Predicted band size: 39 kDa

false

Western blot - Anti-PON2 antibody [EPR15295-58] (AB183718)
  • WB

Supplier Data

Western blot - Anti-PON2 antibody [EPR15295-58] (AB183718)

Blocking/ Dilution buffer : 5% NFDM /TBST.

All lanes:

Western blot - Anti-PON2 antibody [EPR15295-58] (ab183718) at 1/1000 dilution

Lane 1:

HeLa whole cell lysate at 20 µg

Lane 2:

U87-MG whole cell lysate at 20 µg

Secondary

All lanes:

Goat Anti-Rabbit IgG, (H+L), Peroxidase conjugated at 1/1000 dilution

Predicted band size: 39 kDa

false

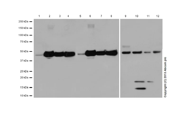
Western blot - Anti-PON2 antibody [EPR15295-58] (AB183718)
  • WB

Supplier Data

Western blot - Anti-PON2 antibody [EPR15295-58] (AB183718)

Blocking and diluting buffer and concentration : 5% NFDM/TBST.

All lanes:

Western blot - Anti-PON2 antibody [EPR15295-58] (ab183718) at 1/1000 dilution

Lane 1:

Mouse brain tissue lysate at 20 µg

Lane 2:

Mouse heart tissue lysate at 20 µg

Lane 3:

Mouse kidney tissue lysate at 20 µg

Lane 4:

Mouse spleen tissue lysate at 20 µg

Lane 5:

Rat brain tissue lysate at 20 µg

Lane 6:

Rat heart tissue lysate at 20 µg

Lane 7:

Rat kidney tissue lysate at 20 µg

Lane 8:

Rat spleen tissue lysate at 20 µg

Lane 9:

C6 (Rat glial tumor glial cell) whole cell lysate at 20 µg

Lane 10:

Raw264.7 (Mouse abelson murine leukemia virus-induced tumor macrophage) whole cell lysate at 20 µg

Lane 11:

PC-12 (Rat adrenal gland pheochromocytoma) whole cell lysate at 20 µg

Lane 12:

NIH/3T3 (Mouse embryonic fibroblast) whole cell lysate at 20 µg

Secondary

All lanes:

Western blot - Goat Anti-Rabbit IgG H&L (HRP) (<a href='/en-us/products/secondary-antibodies/goat-rabbit-igg-h-l-hrp-ab97051'>ab97051</a>) at 1/20000 dilution

Predicted band size: 39 kDa

Observed band size: 39 kDa

false

Exposure time: 30s

  • Carrier free

    Anti-PON2 antibody [EPR15295-58] - BSA and Azide free

Key facts

Host species

Rabbit

Clonality

Monoclonal

Clone number

EPR15295-58

Isotype

IgG

Carrier free

No

Reacts with

Human

Applications

IP, WB, ICC/IF

applications

Immunogen

The exact immunogen used to generate this antibody is proprietary information.

Reactivity data

{ "title": "Reactivity Data", "filters": { "stats": ["", "Species", "Dilution Info", "Notes"], "tabs": { "all-applications": {"fullname" : "All Applications", "shortname": "All Applications"}, "IP" : {"fullname" : "Immunoprecipitation", "shortname":"IP"}, "WB" : {"fullname" : "Western blot", "shortname":"WB"}, "ICCIF" : {"fullname" : "Immunocytochemistry/ Immunofluorescence", "shortname":"ICC/IF"} }, "product-promise": { "all": "all", "testedAndGuaranteed": "tested", "guaranteed": "expected", "predicted": "predicted", "notRecommended": "not-recommended" } }, "values": { "Human": { "IP-species-checked": "testedAndGuaranteed", "IP-species-dilution-info": "1/30 - 1/50", "IP-species-notes": "<p></p>", "WB-species-checked": "testedAndGuaranteed", "WB-species-dilution-info": "1/1000 - 1/10000", "WB-species-notes": "<p></p>", "ICCIF-species-checked": "testedAndGuaranteed", "ICCIF-species-dilution-info": "1/100", "ICCIF-species-notes": "<p></p>" }, "Mouse": { "IP-species-checked": "predicted", "IP-species-dilution-info": "", "IP-species-notes": "", "WB-species-checked": "predicted", "WB-species-dilution-info": "", "WB-species-notes": "", "ICCIF-species-checked": "predicted", "ICCIF-species-dilution-info": "", "ICCIF-species-notes": "" }, "Rat": { "IP-species-checked": "predicted", "IP-species-dilution-info": "", "IP-species-notes": "", "WB-species-checked": "predicted", "WB-species-dilution-info": "", "WB-species-notes": "", "ICCIF-species-checked": "predicted", "ICCIF-species-dilution-info": "", "ICCIF-species-notes": "" } } }

Product details

Patented technology
Our RabMAb® technology is a patented hybridoma-based technology for making rabbit monoclonal antibodies. For details on our patents, please refer to RabMAb® patents.

What are the advantages of a recombinant monoclonal antibody?
This product is a recombinant monoclonal antibody, which offers several advantages including:

  • - High batch-to-batch consistency and reproducibility
  • - Improved sensitivity and specificity
  • - Long-term security of supply
  • - Animal-free batch production

For more information, read more on recombinant antibodies.

Properties and storage information

Form
Liquid
Purification technique
Affinity purification Protein A
Storage buffer
pH: 7.2 Preservative: 0.01% Sodium azide Constituents: PBS, 40% Glycerol (glycerin, glycerine), 0.05% BSA
Shipped at conditions
Blue Ice
Appropriate short-term storage duration
1-2 weeks
Appropriate short-term storage conditions
+4°C
Appropriate long-term storage conditions
-20°C
Aliquoting information
Upon delivery aliquot
Storage information
Avoid freeze / thaw cycle

Product protocols

For this product, it's our understanding that no specific protocols are required. You can visit:

Target data

Capable of hydrolyzing lactones and a number of aromatic carboxylic acid esters. Has antioxidant activity. Is not associated with high density lipoprotein. Prevents LDL lipid peroxidation, reverses the oxidation of mildly oxidized LDL, and inhibits the ability of MM-LDL to induce monocyte chemotaxis.
See full target information PON2

Publications (2)

Recent publications for all applications. Explore the full list and refine your search

Redox biology 69:103007 PubMed38150993

2023

Inhibiting the compensatory elevation of xCT collaborates with disulfiram/copper-induced GSH consumption for cascade ferroptosis and cuproptosis.

Applications

Unspecified application

Species

Unspecified reactive species

Ping Zhang,Chaoting Zhou,Xueying Ren,Qiangan Jing,Yan Gao,Chen Yang,Yuhuan Shen,Yi Zhou,Wanye Hu,Feifan Jin,Haifeng Xu,Lingyan Yu,Yingchao Liu,Xiangmin Tong,Yanchun Li,Ying Wang,Jing Du

Scientific reports 12:21483 PubMed36509805

2022

Paraoxonase-2 contributes to promoting lipid metabolism and mitochondrial function via autophagy activation.

Applications

Unspecified application

Species

Unspecified reactive species

Gu-Choul Shin,Hyeong Min Lee,Nayeon Kim,Sang-Ku Yoo,Hyung Soon Park,Leo Sungwong Choi,Kwang Pyo Kim,Ah-Ra Lee,Sang-Uk Seo,Kyun-Hwan Kim
View all publications

Product promise

We are committed to supporting your work with high-quality reagents, and we're here for you every step of the way. In the unlikely event that one of our products does not perform as expected, you're protected by our Product Promise.
For full details, please see our Terms & Conditions

Please note: All products are 'FOR RESEARCH USE ONLY. NOT FOR USE IN DIAGNOSTIC OR THERAPEUTIC PROCEDURES'.

For licensing inquiries, please contact partnerships@abcam.com