JavaScript is disabled in your browser. Please enable JavaScript to view this website.
AB308289

Anti-Porcine circovirus 2-Capsid protein antibody [EPR28077-77]

  • BOND RX™ Validated
  • 20ul selling size
  • RabMAb
  • Recombinant
  • What is this?

Be the first to review this product! Submit a review

|

(0 Publication)

Rabbit Recombinant Monoclonal CAPSD antibody. Suitable for WB, IHC-P, ICC/IF and reacts with Transfected cell lysate - Porcine circovirus 2, Transfected cell line - Porcine circovirus 2 samples.

View Alternative Names

ORF2, Cap, Capsid protein

6 Images
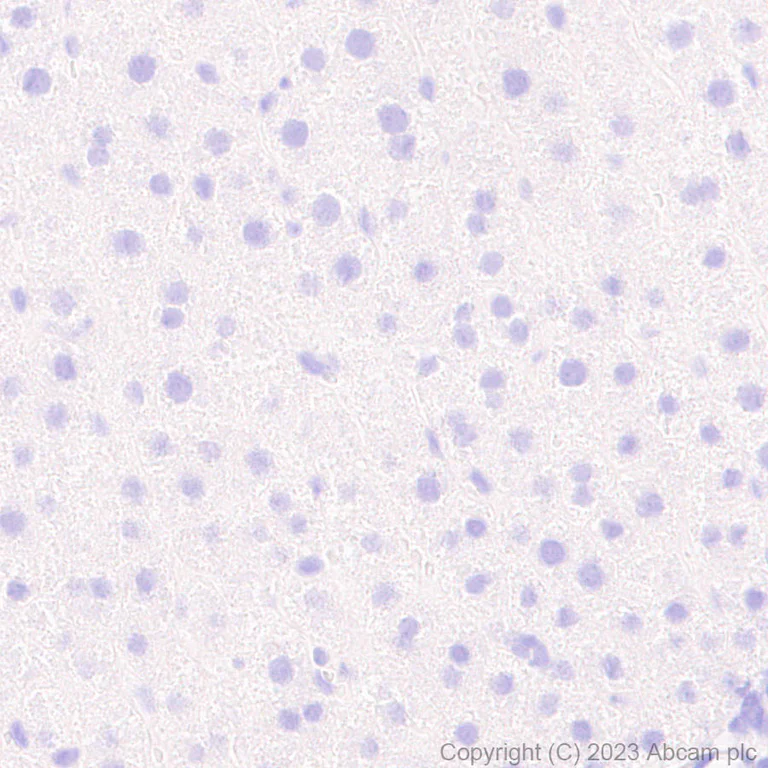
Immunohistochemistry (Formalin/PFA-fixed paraffin-embedded sections) - Anti-Porcine circovirus 2-Capsid protein antibody [EPR28077-77] (AB308289)
  • IHC-P

Supplier Data

Immunohistochemistry (Formalin/PFA-fixed paraffin-embedded sections) - Anti-Porcine circovirus 2-Capsid protein antibody [EPR28077-77] (AB308289)

Immunohistochemical analysis of paraffin-embedded human liver tissue labeling Porcine circovirus 2-Capsid protein with ab308289 at 1/4000 (0.124 ug/ml) followed by ready to use LeicaDS9800 (Bond® Polymer Refine Detection). Negative control : no staining on human liver. The section was incubated with ab308289 for 30 mins at room temperature. The immunostaining was performed on a Leica Biosystems BOND® RX instrument. Counterstained with Hematoxylin. Secondary antibody only control : Secondary antibody is ready to use LeicaDS9800 (Bond® Polymer Refine Detection). Heat mediated antigen retrieval was performed with Tris-EDTA buffer (pH 9.0, Epitope Retrieval Solution2) for 20 mins.

Immunohistochemistry (Formalin/PFA-fixed paraffin-embedded sections) - Anti-Porcine circovirus 2-Capsid protein antibody [EPR28077-77] (AB308289)
  • IHC-P

Supplier Data

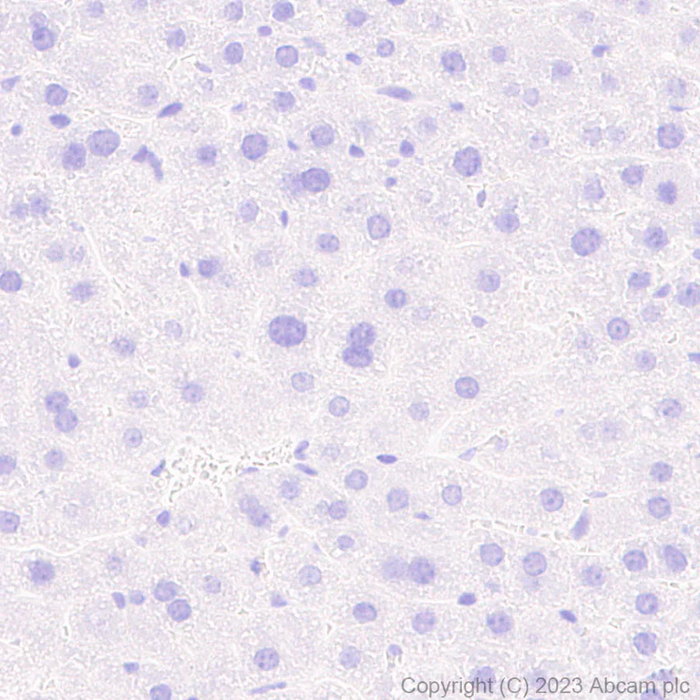
Immunohistochemistry (Formalin/PFA-fixed paraffin-embedded sections) - Anti-Porcine circovirus 2-Capsid protein antibody [EPR28077-77] (AB308289)

Immunohistochemical analysis of paraffin-embedded rat liver tissue labeling Porcine circovirus 2-Capsid protein with ab308289 at 1/4000 (0.124 ug/ml) followed by ready to use LeicaDS9800 (Bond® Polymer Refine Detection). Negative control : no staining on rat liver. The section was incubated with ab308289 for 30 mins at room temperature. The immunostaining was performed on a Leica Biosystems BOND® RX instrument. Counterstained with Hematoxylin. Secondary antibody only control : Secondary antibody is ready to use LeicaDS9800 (Bond® Polymer Refine Detection). Heat mediated antigen retrieval was performed with Tris-EDTA buffer (pH 9.0, Epitope Retrieval Solution2) for 20 mins.

Immunohistochemistry (Formalin/PFA-fixed paraffin-embedded sections) - Anti-Porcine circovirus 2-Capsid protein antibody [EPR28077-77] (AB308289)
  • IHC-P

Supplier Data

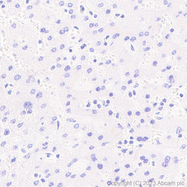
Immunohistochemistry (Formalin/PFA-fixed paraffin-embedded sections) - Anti-Porcine circovirus 2-Capsid protein antibody [EPR28077-77] (AB308289)

Immunohistochemical analysis of paraffin-embedded mouse liver tissue labeling Porcine circovirus 2-Capsid protein with ab308289 at 1/4000 (0.124 ug/ml) followed by ready to use LeicaDS9800 (Bond® Polymer Refine Detection). Negative control : no staining on mouse liver. The section was incubated with ab308289 for 30 mins at room temperature. The immunostaining was performed on a Leica Biosystems BOND® RX instrument. Counterstained with Hematoxylin. Secondary antibody only control : Secondary antibody is ready to use LeicaDS9800 (Bond® Polymer Refine Detection). Heat mediated antigen retrieval was performed with Tris-EDTA buffer (pH 9.0, Epitope Retrieval Solution2) for 20 mins.

Immunohistochemistry (Formalin/PFA-fixed paraffin-embedded sections) - Anti-Porcine circovirus 2-Capsid protein antibody [EPR28077-77] (AB308289)
  • IHC-P

Supplier Data

Immunohistochemistry (Formalin/PFA-fixed paraffin-embedded sections) - Anti-Porcine circovirus 2-Capsid protein antibody [EPR28077-77] (AB308289)

Immunohistochemical analysis of paraffin-embedded cell pellets labeling Porcine circovirus 2-Capsid protein with ab308289 at 1/4000 (0.124 ug/ml) followed by ready to use LeicaDS9800 (Bond® Polymer Refine Detection). Positive staining on (A) HEK-293T transfected with a PCV2-Cap expression vector containing a His tag, no staining on (B) HEK-293T transfected with empty vector containing a His tag. The section was incubated with ab308289 for 30 mins at room temperature. The immunostaining was performed on a Leica Biosystems BOND® RX instrument. Counterstained with Hematoxylin. Secondary antibody only control : Secondary antibody is ready to use LeicaDS9800 (Bond® Polymer Refine Detection). Heat mediated antigen retrieval was performed with Tris-EDTA buffer (pH 9.0, Epitope Retrieval Solution2) for 20 mins.

Immunocytochemistry/ Immunofluorescence - Anti-Porcine circovirus 2-Capsid protein antibody [EPR28077-77] (AB308289)
  • ICC/IF

Supplier Data

Immunocytochemistry/ Immunofluorescence - Anti-Porcine circovirus 2-Capsid protein antibody [EPR28077-77] (AB308289)

Immunofluorescent analysis of 4% Paraformaldehyde-fixed, 0.1% Triton X-100 permeabilized HEK-293T (human embryonic kidney epithelial cell) cells labelling Porcine circovirus 2-Capsid protein with ab308289 at 1/100 dilution (4.945 ug/ml) followed by ab150081 Goat Anti-Rabbit IgG H&L (Alexa Fluor® 488) preadsorbed antibody at 1/1000 dilution (2 ug/ml) (Green). Confocal image showing positive staining in HEK-293T cells transfected with a PCV2-Cap expression vector containing a myc tag. Image was taken with a confocal microscope (Leica-Microsystems, TCS SP8). Myc-Tag Mouse mAb (Alexa Fluor® 647) was used to counterstain tubulin at 1/100 dilution (0.38 ug/ml) (Red). The nuclear counterstain was DAPI (Blue). Secondary antibody only control : Secondary antibody is ab150081 Goat Anti-Rabbit IgG H&L (Alexa Fluor® 488) preadsorbed at 1/1000 dilution (2 ug/ml).

Western blot - Anti-Porcine circovirus 2-Capsid protein antibody [EPR28077-77] (AB308289)
  • WB

Supplier Data

Western blot - Anti-Porcine circovirus 2-Capsid protein antibody [EPR28077-77] (AB308289)

Blocking and diluting buffer and concentration : 5% NFDM/TBST. This antibody does not cross-react with PCV1-Cap. In Western blot, anti-His antibody (ab213204) staining at 1/5000 dilution. Exposure time : 180 seconds.

All lanes:

Western blot - Anti-Porcine circovirus 2-Capsid protein antibody [EPR28077-77] (ab308289) at 1/1000 dilution

Lane 1:

293T cells transfected with a PCV2-Cap expression vector containing a His-tag whole cell lysate at 2 µg

Lane 2:

293T cells transfected with a PCV1-Cap expression vector containing a His-tag whole cell lysate at 20 µg

Secondary

All lanes:

Western blot - Goat Anti-Rabbit IgG H&L (HRP) (<a href='/en-us/products/secondary-antibodies/goat-rabbit-igg-h-l-hrp-ab97051'>ab97051</a>) at 1/20000 dilution

Observed band size: 28 kDa

false

  • Carrier free

    Anti-Porcine circovirus 2-Capsid protein antibody [EPR28077-77] - BSA and Azide free

Key facts

Host species

Rabbit

Clonality

Monoclonal

Clone number

EPR28077-77

Isotype

IgG

Carrier free

No

Reacts with

Porcine circovirus 2

Applications

ICC/IF, WB, IHC-P

applications

Immunogen

The exact immunogen used to generate this antibody is proprietary information.

Reactivity data

{ "title": "Reactivity Data", "filters": { "stats": ["", "Species", "Dilution Info", "Notes"], "tabs": { "all-applications": {"fullname" : "All Applications", "shortname": "All Applications"}, "WB" : {"fullname" : "Western blot", "shortname":"WB"}, "IHCP" : {"fullname" : "Immunohistochemistry (Formalin/PFA-fixed paraffin-embedded sections)", "shortname":"IHC-P"}, "ICCIF" : {"fullname" : "Immunocytochemistry/ Immunofluorescence", "shortname":"ICC/IF"}, "FlowCytIntra" : {"fullname" : "Flow Cytometry (Intracellular)", "shortname":"Flow Cyt (Intra)"}, "IP" : {"fullname" : "Immunoprecipitation", "shortname":"IP"} }, "product-promise": { "all": "all", "testedAndGuaranteed": "tested", "guaranteed": "expected", "predicted": "predicted", "notRecommended": "not-recommended" } }, "values": { "Porcine circovirus 2": { "WB-species-checked": "predicted", "WB-species-dilution-info": "", "WB-species-notes": "", "IHCP-species-checked": "predicted", "IHCP-species-dilution-info": "", "IHCP-species-notes": "", "ICCIF-species-checked": "predicted", "ICCIF-species-dilution-info": "", "ICCIF-species-notes": "", "FlowCytIntra-species-checked": "notRecommended", "FlowCytIntra-species-dilution-info": "", "FlowCytIntra-species-notes": "<p></p>", "IP-species-checked": "notRecommended", "IP-species-dilution-info": "", "IP-species-notes": "<p></p>" }, "Transfected cell line - Porcine circovirus 2": { "WB-species-checked": "notRecommended", "WB-species-dilution-info": "", "WB-species-notes": "", "IHCP-species-checked": "testedAndGuaranteed", "IHCP-species-dilution-info": "1/4000", "IHCP-species-notes": "<p></p> Perform heat-mediated antigen retrieval with Tris/EDTA buffer pH 9.0 before commencing with IHC staining protocol.", "ICCIF-species-checked": "testedAndGuaranteed", "ICCIF-species-dilution-info": "1/100", "ICCIF-species-notes": "<p></p>", "FlowCytIntra-species-checked": "notRecommended", "FlowCytIntra-species-dilution-info": "", "FlowCytIntra-species-notes": "", "IP-species-checked": "notRecommended", "IP-species-dilution-info": "", "IP-species-notes": "" }, "Transfected cell lysate - Porcine circovirus 2": { "WB-species-checked": "testedAndGuaranteed", "WB-species-dilution-info": "1/1000", "WB-species-notes": "<p></p>", "IHCP-species-checked": "notRecommended", "IHCP-species-dilution-info": "", "IHCP-species-notes": "", "ICCIF-species-checked": "notRecommended", "ICCIF-species-dilution-info": "", "ICCIF-species-notes": "", "FlowCytIntra-species-checked": "notRecommended", "FlowCytIntra-species-dilution-info": "", "FlowCytIntra-species-notes": "", "IP-species-checked": "notRecommended", "IP-species-dilution-info": "", "IP-species-notes": "" } } }

Product details

Patented technology
Our RabMAb® technology is a patented hybridoma-based technology for making rabbit monoclonal antibodies. For details on our patents, please refer to RabMAb® patents.

What are the advantages of a recombinant monoclonal antibody?
This product is a recombinant monoclonal antibody, which offers several advantages including:

  • - High batch-to-batch consistency and reproducibility
  • - Improved sensitivity and specificity
  • - Long-term security of supply
  • - Animal-free batch production

For more information, read more on recombinant antibodies.

Properties and storage information

Form
Liquid
Purification technique
Affinity purification Protein A
Storage buffer
pH: 7.2 - 7.4 Preservative: 0.01% Sodium azide Constituents: PBS, 40% Glycerol (glycerin, glycerine), 0.05% BSA
Shipped at conditions
Blue Ice
Appropriate short-term storage duration
1-2 weeks
Appropriate short-term storage conditions
+4°C
Appropriate long-term storage conditions
-20°C
Aliquoting information
Upon delivery aliquot
Storage information
Avoid freeze / thaw cycle

Supplementary information

This supplementary information is collated from multiple sources and compiled automatically.

The porcine circovirus capsid protein also known as the PCV2 capsid is a primary structural protein integral to the assembly of the virus's protective shell. This protein has a molecular mass of approximately 25 kDa. It is expressed in infected host cells where it plays a significant role in the packaging and protection of the viral genome. The capsid protein is essential for the virion's entry into host cells and subsequent infection cycle.
Biological function summary

The porcine circovirus capsid protein enables the virus to persist in swine hosts by facilitating the immune evasion mechanisms. It forms part of the complete virion structure contributing to the virus's stability in the environment and subsequent transmission between animals. The protein does not alone form a complex but interacts closely with viral genomic elements and host cell machinery to carry out its biological role efficiently.

Pathways

The capsid protein of porcine circovirus integrates into viral replication and immune modulation pathways. It interacts with host signaling proteins that regulate antiviral responses potentially interfering with pathways such as the interferon signaling pathway. These interactions help the virus evade host immunity and support the viral lifecycle within infected swine leading to persistent infection.

Porcine circovirus capsid protein has direct links to porcine circovirus-associated diseases (PCVAD). These include post-weaning multisystemic wasting syndrome (PMWS) which severely impacts swine health and productivity. The capsid protein interacts with host cellular proteins influencing disease outcomes and pathology. Continued research into capsid-host interactions might offer insights into therapeutic interventions or vaccine development strategies against PCV2-associated diseases.

Product protocols

For this product, it's our understanding that no specific protocols are required. You can visit:

Target data

Self-assembles to form the virion icosahedral capsid with a T=1 symmetry. This very small capsid (17 - 22 nm in diameter) allows the virus to be very stable in the environment and resistant to some disinfectants, including detergents. Essential for the initial attachment to heparan sulfate moieties and chondroitin sulfate B of the host cell surface proteoglycans. After attachment, the virus is internalized in a clathrin-, caveolae- and dynamin-independent, actin and Rho-GTPase-mediated pathway and traffics to the nucleus. The capsid protein binds and transports the viral genome and Rep across the nuclear envelope (By similarity).
See full target information Cap

Product promise

We are committed to supporting your work with high-quality reagents, and we're here for you every step of the way. In the unlikely event that one of our products does not perform as expected, you're protected by our Product Promise.
For full details, please see our Terms & Conditions

Please note: All products are 'FOR RESEARCH USE ONLY. NOT FOR USE IN DIAGNOSTIC OR THERAPEUTIC PROCEDURES'.

For licensing inquiries, please contact partnerships@abcam.com