JavaScript is disabled in your browser. Please enable JavaScript to view this website.
AB325274

Anti-POT1a antibody [EPR30481-543]

Be the first to review this product! Submit a review

|

(0 Publication)

Rabbit Recombinant Monoclonal POT1 antibody. Suitable for WB, IP and reacts with Transfected cell lysate - Mouse, Mouse samples.

View Alternative Names

Pot1a, Protection of telomeres protein 1, mPot1, POT1-like telomere end-binding protein

5 Images
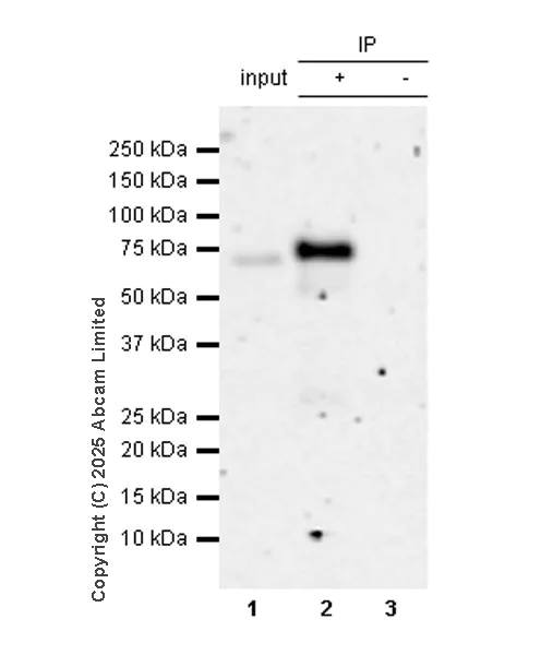
Immunoprecipitation - Anti-POT1a antibody [EPR30481-543] (AB325274)
  • IP

Lab

Immunoprecipitation - Anti-POT1a antibody [EPR30481-543] (AB325274)

Pot1a was immunoprecipitated from 0.35 mg NIH/3T3 (mouse embryonic fibroblast) whole cell lysate with ab325274 at 1/30 dilution (2µg in 0.35mg lysates). Western blot was performed on the immunoprecipitate using ab325274 at 1/325274 1000 dilution. VeriBlot for IP secondary antibody(HRP)(ab131366) was used at 1/5000 dilution.

Lane 1 : NIH/3T3 (mouse embryonic fibroblast) whole cell lysate
Lane 2 : ab325274 IP in NIH/3T3 (mouse embryonic fibroblast) whole cell lysate
Lane 3 : Rabbit monoclonal IgG (ab172730) instead of ab325274 in NIH/3T3 whole cell lysate

Blocking and dilution buffer and concentration : 5% NFDM/TBST.

Exposure time : 180 seconds.

To minimize protein degradation, cells were lysed immediately after harvest and then applied for Immunoprecipitation as soon as possible.

All lanes:

Immunoprecipitation - Anti-POT1a antibody [EPR30481-543] (ab325274)

Lane 1:

NIH/3T3 (mouse embryonic fibroblast) whole cell lysate at 10 µg

Lane 2:

ab325274 IP in NIH/3T3 (mouse embryonic fibroblast) whole cell lysate at 1/30 dilution

Lane 3:

Immunoprecipitation - Rabbit IgG, monoclonal [EPR25A] - Isotype Control (<a href='/en-us/products/primary-antibodies/rabbit-igg-monoclonal-epr25a-isotype-control-ab172730'>ab172730</a>)

Secondary

All lanes:

Immunoprecipitation - VeriBlot for IP Detection Reagent (HRP) (<a href='/en-us/products/reagents/veriblot-for-ip-detection-reagent-hrp-ab131366'>ab131366</a>) at 1/5000 dilution

Observed band size: 71 kDa

false

Exposure time: 180s

Western blot - Anti-POT1a antibody [EPR30481-543] (AB325274)
  • WB

Lab

Western blot - Anti-POT1a antibody [EPR30481-543] (AB325274)

Blocking and diluting buffer and concentration : 5% NFDM/TBST.

In Western blot, Anti-GAPDH antibody [EPR16891] - Loading Control (ab181602) (1 : 200000) (36KDa).

All lanes:

Western blot - Anti-POT1a antibody [EPR30481-543] (ab325274) at 1/1000 dilution

Lane 1:

NIH/3T3 (mouse embryonic fibroblast) transfected with scrambled siRNA control whole cell lysate at 20 µg

Lane 2:

NIH/3T3 transfected with siRNA specifically targeting Pot1a whole cell lysate at 20 µg

Secondary

All lanes:

Western blot - Goat Anti-Rabbit IgG H&L (HRP) (<a href='/en-us/products/secondary-antibodies/goat-rabbit-igg-h-l-hrp-ab97051'>ab97051</a>) at 1/20000 dilution

Observed band size: 71 kDa,36 kDa

false

Exposure time: 180s

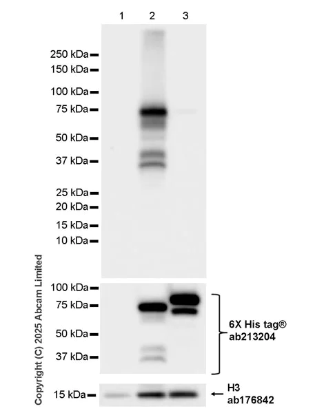
Western blot - Anti-POT1a antibody [EPR30481-543] (AB325274)
  • WB

Lab

Western blot - Anti-POT1a antibody [EPR30481-543] (AB325274)

Blocking and diluting buffer and concentration : 5% NFDM/TBST.

This antibody does not cross-react with mouse Pot1b.

In Western blot, Anti-6XHis tag® antibody [EPR20547] - ChIP Grade (ab213204) (1 : 5000)(71KDa); Anti-Histone H3 antibody [EPR16987] - Nuclear Marker and ChIP Grade (ab176842) 1 : 100000 (15Kda).

All lanes:

Western blot - Anti-POT1a antibody [EPR30481-543] (ab325274) at 1/1000 dilution

Lane 1:

293T cells transfected with an empty vector containing a His-tag, whole cell lysate at 20 µg

Lane 2:

293T cells transfected with a mouse Pot1a expression vector containing a His-tag, whole cell lysate at 20 µg

Lane 3:

293T cells transfected with a mouse Pot1b expression vector containing a His-tag, whole cell lysate at 20 µg

Secondary

All lanes:

Western blot - Goat Anti-Rabbit IgG H&L (HRP) (<a href='/en-us/products/secondary-antibodies/goat-rabbit-igg-h-l-hrp-ab97051'>ab97051</a>) at 1/100000 dilution

Observed band size: 71 kDa,15 kDa

false

Exposure time: 6s

Western blot - Anti-POT1a antibody [EPR30481-543] (AB325274)
  • WB

Lab

Western blot - Anti-POT1a antibody [EPR30481-543] (AB325274)

Blocking and diluting buffer and concentration : 5% NFDM/TBST.

In Western blot, Anti-GAPDH antibody [EPR16891] - Loading Control (ab181602) (1 : 200000) (36KDa).

All lanes:

Western blot - Anti-POT1a antibody [EPR30481-543] (ab325274) at 1/1000 dilution

Lane 1:

Mouse liver tissue lysate at 20 µg

Lane 2:

Mouse lung tissue lysate at 20 µg

Lane 3:

Mouse testis tissue lysate at 20 µg

Lane 4:

Mouse kidney tissue lysate at 20 µg

Secondary

All lanes:

Western blot - Goat Anti-Rabbit IgG H&L (HRP) (<a href='/en-us/products/secondary-antibodies/goat-rabbit-igg-h-l-hrp-ab97051'>ab97051</a>) at 1/20000 dilution

Observed band size: 71 kDa,36 kDa

false

Exposure time: 180s

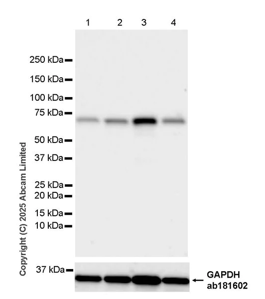
Western blot - Anti-POT1a antibody [EPR30481-543] (AB325274)
  • WB

Lab

Western blot - Anti-POT1a antibody [EPR30481-543] (AB325274)

Blocking and diluting buffer and concentration : 5% NFDM/TBST.

In Western blot, Anti-GAPDH antibody [EPR16891] - Loading Control (ab181602) (1 : 200000) (36KDa).

All lanes:

Western blot - Anti-POT1a antibody [EPR30481-543] (ab325274) at 1/1000 dilution

Lane 1:

MEF (mouse embryo fibroblast) whole cell lysate at 20 µg

Lane 2:

Neuro-2a (mouse neuroblastoma neuroblast) whole cell lysate at 20 µg

Lane 3:

F9 (mouse embryonal carcinoma epithelial cell) whole cell lysate at 20 µg

Lane 4:

CT26.WT (mouse colon fibroblast) whole cell lysate at 20 µg

Secondary

All lanes:

Western blot - Goat Anti-Rabbit IgG H&L (HRP) (<a href='/en-us/products/secondary-antibodies/goat-rabbit-igg-h-l-hrp-ab97051'>ab97051</a>) at 1/20000 dilution

Observed band size: 71 kDa,36 kDa

false

Exposure time: 37s

Key facts

Host species

Rabbit

Clonality

Monoclonal

Clone number

EPR30481-543

Isotype

IgG

Carrier free

No

Reacts with

Mouse

Applications

WB, IP

applications

Immunogen

The exact immunogen used to generate this antibody is proprietary information.

Reactivity data

{ "title": "Reactivity Data", "filters": { "stats": ["", "Species", "Dilution Info", "Notes"], "tabs": { "all-applications": {"fullname" : "All Applications", "shortname": "All Applications"}, "WB" : {"fullname" : "Western blot", "shortname":"WB"}, "IHCFr" : {"fullname" : "Immunohistochemistry (Frozen sections)", "shortname":"IHC-Fr"}, "ICCIF" : {"fullname" : "Immunocytochemistry/ Immunofluorescence", "shortname":"ICC/IF"}, "IHCP" : {"fullname" : "Immunohistochemistry (Formalin/PFA-fixed paraffin-embedded sections)", "shortname":"IHC-P"}, "IP" : {"fullname" : "Immunoprecipitation", "shortname":"IP"} }, "product-promise": { "all": "all", "testedAndGuaranteed": "tested", "guaranteed": "expected", "predicted": "predicted", "notRecommended": "not-recommended" } }, "values": { "Mouse": { "WB-species-checked": "testedAndGuaranteed", "WB-species-dilution-info": "1/1000", "WB-species-notes": "<p></p>", "IHCFr-species-checked": "notRecommended", "IHCFr-species-dilution-info": "", "IHCFr-species-notes": "<p></p>", "ICCIF-species-checked": "notRecommended", "ICCIF-species-dilution-info": "", "ICCIF-species-notes": "<p></p>", "IHCP-species-checked": "notRecommended", "IHCP-species-dilution-info": "", "IHCP-species-notes": "<p></p>", "IP-species-checked": "testedAndGuaranteed", "IP-species-dilution-info": "1/30", "IP-species-notes": "<p></p>" }, "Transfected cell lysate - Mouse": { "WB-species-checked": "testedAndGuaranteed", "WB-species-dilution-info": "1/1000", "WB-species-notes": "<p></p>", "IHCFr-species-checked": "notRecommended", "IHCFr-species-dilution-info": "", "IHCFr-species-notes": "", "ICCIF-species-checked": "notRecommended", "ICCIF-species-dilution-info": "", "ICCIF-species-notes": "", "IHCP-species-checked": "notRecommended", "IHCP-species-dilution-info": "", "IHCP-species-notes": "", "IP-species-checked": "notRecommended", "IP-species-dilution-info": "", "IP-species-notes": "" } } }

Product details

Patented technology
Our RabMAb® technology is a patented hybridoma-based technology for making rabbit monoclonal antibodies. For details on our patents, please refer to RabMAb® patents.

What are the advantages of a recombinant monoclonal antibody?
This product is a recombinant monoclonal antibody, which offers several advantages including:

  • - High batch-to-batch consistency and reproducibility
  • - Improved sensitivity and specificity
  • - Long-term security of supply
  • - Animal-free batch production

For more information, read more on recombinant antibodies.

Properties and storage information

Form
Liquid
Purification technique
Affinity purification Protein A
Storage buffer
pH: 7.2 - 7.4 Preservative: 0.01% Sodium azide Constituents: PBS, 40% Glycerol (glycerin, glycerine), 0.05% BSA
Shipped at conditions
Blue Ice
Appropriate short-term storage duration
1-2 weeks
Appropriate short-term storage conditions
+4°C
Appropriate long-term storage conditions
-20°C
Aliquoting information
Upon delivery aliquot
Storage information
Avoid freeze / thaw cycle

Product protocols

For this product, it's our understanding that no specific protocols are required. You can visit:

Target data

Component of the telomerase ribonucleoprotein (RNP) complex that is essential for the replication of chromosome termini. Is a component of the double-stranded telomeric DNA-binding TRF1 complex which is involved in the regulation of telomere length by cis-inhibition of telomerase. Also acts as a single-stranded telomeric DNA-binding protein and thus may act as a downstream effector of the TRF1 complex and may transduce information about telomere maintenance and/or length to the telomere terminus. Component of the shelterin complex (telosome) that is involved in the regulation of telomere length and protection. Shelterin associates with arrays of double-stranded TTAGGG repeats added by telomerase and protects chromosome ends; without its protective activity, telomeres are no longer hidden from the DNA damage surveillance and chromosome ends are inappropriately processed by DNA repair pathways. Binds to two or more telomeric single-stranded 5'-TTAGGG-3' repeats (G-strand) and with high specificity to a minimal telomeric single-stranded 5'-TAGGGTTAG-3' sequence. Binds telomeric single-stranded sequences internally or at proximity of a 3'-end. Its activity is TERT dependent but it does not increase TERT activity (By similarity).
See full target information Pot1

Product promise

We are committed to supporting your work with high-quality reagents, and we're here for you every step of the way. In the unlikely event that one of our products does not perform as expected, you're protected by our Product Promise.
For full details, please see our Terms & Conditions

Please note: All products are 'FOR RESEARCH USE ONLY. NOT FOR USE IN DIAGNOSTIC OR THERAPEUTIC PROCEDURES'.

For licensing inquiries, please contact partnerships@abcam.com