JavaScript is disabled in your browser. Please enable JavaScript to view this website.
AB247159

Anti-POU3F3/Brain1 antibody

Be the first to review this product! Submit a review

|

(2 Publications)

Rabbit Polyclonal POU3F3/Brain1 antibody. Suitable for IHC-P and reacts with Human samples. Cited in 2 publications. Immunogen corresponding to Recombinant Fragment Protein within Human POU3F3 aa 200-300.

View Alternative Names

BRN1, OTF8, POU3F3, Brain-specific homeobox/POU domain protein 1, Octamer-binding protein 8, Octamer-binding transcription factor 8, Brain-1, Brn-1, Oct-8, OTF-8

3 Images
Immunohistochemistry (Formalin/PFA-fixed paraffin-embedded sections) - Anti-POU3F3/Brain1 antibody (AB247159)
  • IHC-P

Unknown

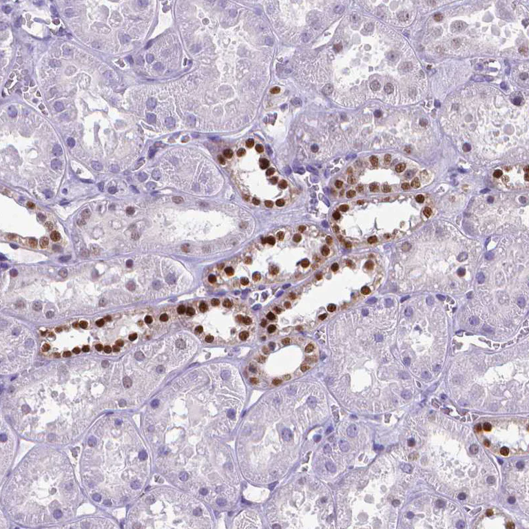
Immunohistochemistry (Formalin/PFA-fixed paraffin-embedded sections) - Anti-POU3F3/Brain1 antibody (AB247159)

Paraffin-embedded human kidney tissue stained for POU3F3/Brain1 using ab247159 at 1/200 dilution in immunohistochemical analysis.

Immunohistochemistry (Formalin/PFA-fixed paraffin-embedded sections) - Anti-POU3F3/Brain1 antibody (AB247159)
  • IHC-P

Unknown

Immunohistochemistry (Formalin/PFA-fixed paraffin-embedded sections) - Anti-POU3F3/Brain1 antibody (AB247159)

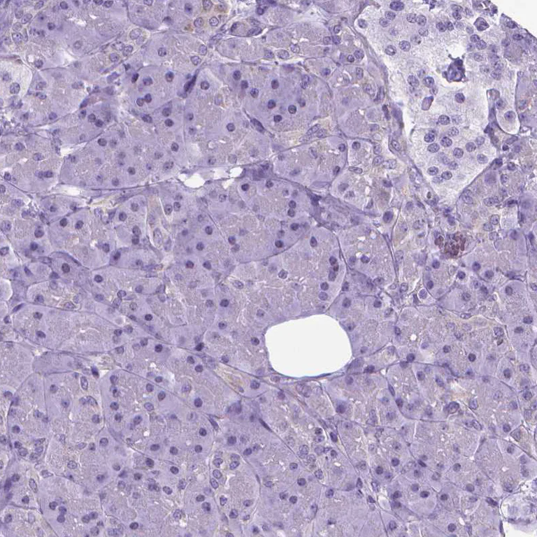
Paraffin-embedded human pancreas tissue stained for POU3F3/Brain1 using ab247159 at 1/200 dilution in immunohistochemical analysis. No positivity in exocrine glandular cells as expected.

Immunohistochemistry (Formalin/PFA-fixed paraffin-embedded sections) - Anti-POU3F3/Brain1 antibody (AB247159)
  • IHC-P

Unknown

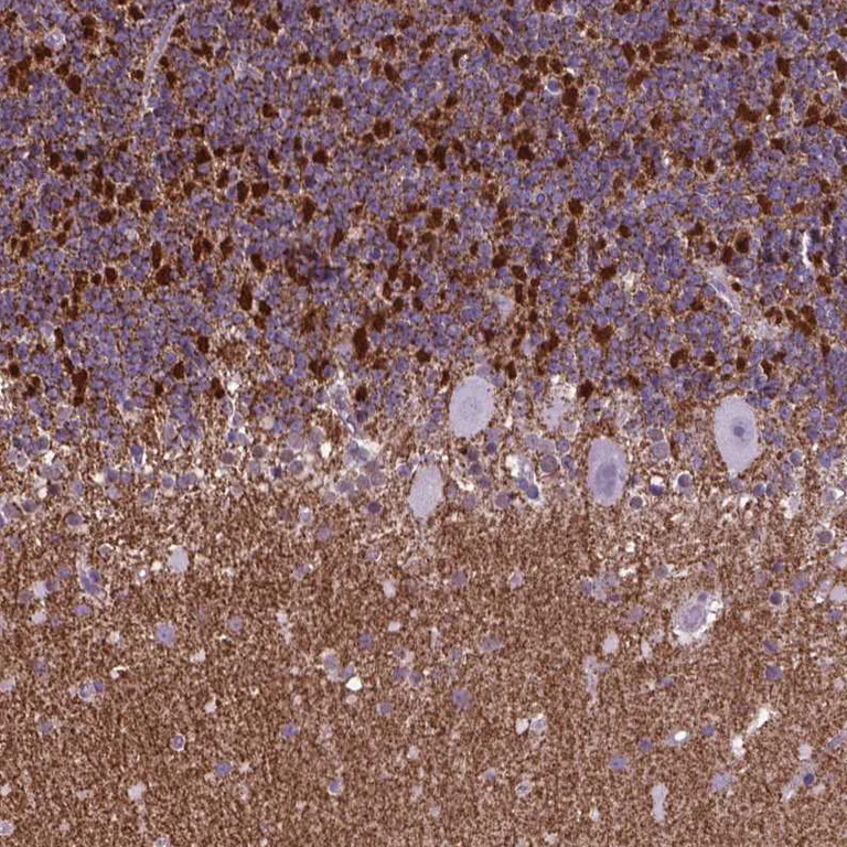
Immunohistochemistry (Formalin/PFA-fixed paraffin-embedded sections) - Anti-POU3F3/Brain1 antibody (AB247159)

Paraffin-embedded human cerebellum tissue stained for POU3F3/Brain1 using ab247159 at 1/200 dilution in immunohistochemical analysis.

Key facts

Host species

Rabbit

Clonality

Polyclonal

Isotype

IgG

Carrier free

No

Reacts with

Human

Applications

IHC-P

applications

Immunogen

Recombinant Fragment Protein within Human POU3F3 aa 200-300. The exact immunogen used to generate this antibody is proprietary information.

P20264

Reactivity data

{ "title": "Reactivity Data", "filters": { "stats": ["", "Species", "Dilution Info", "Notes"], "tabs": { "all-applications": {"fullname" : "All Applications", "shortname": "All Applications"}, "IHCP" : {"fullname" : "Immunohistochemistry (Formalin/PFA-fixed paraffin-embedded sections)", "shortname":"IHC-P"} }, "product-promise": { "all": "all", "testedAndGuaranteed": "tested", "guaranteed": "expected", "predicted": "predicted", "notRecommended": "not-recommended" } }, "values": { "Human": { "IHCP-species-checked": "testedAndGuaranteed", "IHCP-species-dilution-info": "1/200 - 1/500", "IHCP-species-notes": "<p></p>" } } }

Properties and storage information

Form
Liquid
Purification technique
Affinity purification Immunogen
Storage buffer
pH: 7.2 Preservative: 0.02% Sodium azide Constituents: PBS, 40% Glycerol (glycerin, glycerine)
Shipped at conditions
Blue Ice
Appropriate short-term storage duration
1-2 weeks
Appropriate short-term storage conditions
+4°C
Appropriate long-term storage conditions
-20°C
Aliquoting information
Upon delivery aliquot
Storage information
Avoid freeze / thaw cycle

Product protocols

For this product, it's our understanding that no specific protocols are required. You can visit:

Target data

Transcription factor that acts synergistically with SOX11 and SOX4. Plays a role in neuronal development (PubMed : 31303265). Is implicated in an enhancer activity at the embryonic met-mesencephalic junction; the enhancer element contains the octamer motif (5'-ATTTGCAT-3') (By similarity).
See full target information POU3F3

Publications (2)

Recent publications for all applications. Explore the full list and refine your search

Cell communication and signaling : CCS 23:329 PubMed40634958

2025

In vivo CRISPR screening identifies POU3F3 as a novel regulator of ferroptosis resistance in hepatocellular carcinoma via retinoic acid signaling.

Applications

Unspecified application

Species

Unspecified reactive species

Yu Tian,Xin Bao,Shan Lei,Youcai Huang,Xiaoling Wang,Yanyang Tu,Qinglian He,Feixiang Zhang,Haicheng Xu,Milad Ashrafizadeh,Gautam Sethi,Furong Wang,Zhirui Zeng

Advanced science (Weinheim, Baden-Wurttemberg, Germany) 11:e2305907 PubMed38126621

2023

NNMT/1-MNA Promote Cell-Cycle Progression of Breast Cancer by Targeting UBC12/Cullin-1-Mediated Degradation of P27 Proteins.

Applications

Unspecified application

Species

Unspecified reactive species

Yilei Ma,Xucheng Huang,Yanzhong Wang,Yinjiao Lei,Jinwei Yu,Shaobo Yu,Yuzhen Gao,Jun Yang,Feng Zhao,Haitao Yu,Jin Zeng,Yadong Chu,Min Yang,Guoli Li,Xinyou Xie,Jun Zhang
View all publications

Product promise

We are committed to supporting your work with high-quality reagents, and we're here for you every step of the way. In the unlikely event that one of our products does not perform as expected, you're protected by our Product Promise.
For full details, please see our Terms & Conditions

Please note: All products are 'FOR RESEARCH USE ONLY. NOT FOR USE IN DIAGNOSTIC OR THERAPEUTIC PROCEDURES'.

For licensing inquiries, please contact partnerships@abcam.com